Different materials and treatment options are available in aesthetic and restorative dentistry for the anterior region. The conventional protocol, including an analogue impression with polyether or polyvinylsiloxane, a master cast and die fabrication, waxing and pressing of ceramic materials, requires exceptional skills and is technique-sensitive. Intraoral scanning and digital impression taking provide an accurate alternative method for transferring information from the mouth to the dental laboratory. [1] The digital file is always on the computer and can be immediately processed or at any time, unlike with the conventional procedure.
Regarding materials, various newer products, such as pressed or milled ceramics, offer enhanced strength and functionality; however, in thinner dimensions, they lack the inherent aesthetic beauty of conventional materials such as feldspathic porcelain. As patient demand for better aesthetics has increased in recent years so too has the need for restorative materials that closely mimic the patient’s natural dentition. Initially used for the creation of porcelain dentures, feldspathic porcelain has emerged as the premier aesthetic material for custom veneer restorations. In recent years, the use of hand-layered powder/liquid feldspathic porcelain has been revived based on its highly aesthetic values and little to no preparation requirements. By keeping preparation to a minimum, less tooth structure is removed and procedures are much less invasive, which is exactly what patients desire. [2]
Fig. 1: Initial photograph of the anterior teeth prior to orthodontic treatment.
Fig. 2a: Anterior teeth after orthodontic treatment.
Fig. 2b: Extraoral photographs after orthodontic treatment.
Fig. 3: Digital smile design indicating crown lengthening of teeth #13, 12, 11 and 21 and restorative treatment of the ten anterior teeth
Fig. 4: Wax-up on the stone model concerning the restorative treatment of the ten anterior teeth.
Fig. 5: Three-dimensionally printed model of the digital smile design planning, bearing a mock-up shell. A cervical opening was introduced for surgical access and guidance for crown lengthening.
Figs. 6a: Intraoral fi t of the surgical guide for crown lengthening.
Figs. 6b: Intraoral fi t of the surgical guide for crown lengthening.
Fig. 7: Periodontal tissue of the anterior teeth six months after crown lengthening.
Fig. 8a: Mock-up silicone index.
Fig. 8b: Intraoral photograph of the mock-up.
Fig. 9a: Preparation through the mock-up.
Fig. 9b: Check of the preparation depth, with the use of the silicone guide, palatal aspect.
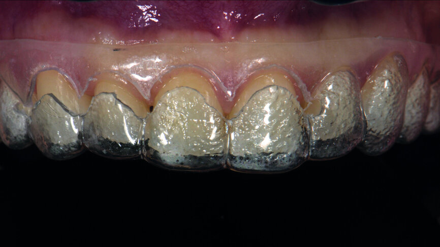
Fig. 9c: Final preparation of the teeth.
Fig. 10: Analogue impression with polyvinylsiloxane.
Fig. 11: Digital impression
with TRIOS.
Fig. 12a: Digital planning of the provisional restorations.
Fig. 12b: Provisional restorations intraorally (Telio CAD).
Fig. 13: Analogue workflow (refractory dies, built-up veneers, adjustments, staining/glazing).
Fig. 14: Digital workflow (3-D printed model, CAD/CAM veneers, adjustments, staining/glazing).
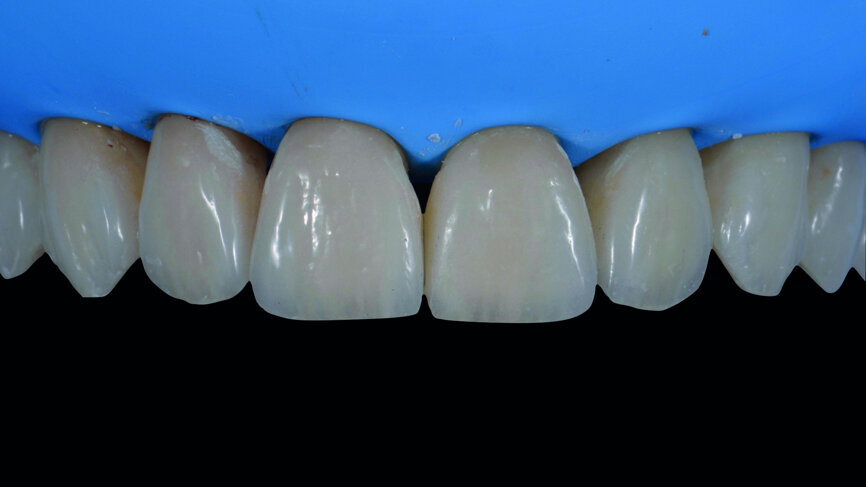
Fig. 15a: Feldspathic veneers with try-in paste.
Fig. 15b: CAD/CAM veneers with try-in paste.
Fig. 15c: First quadrant feldspathic veneers and second quadrant CAD/CAM veneers simultaneously with try-in paste.
Fig. 16a: Isolation fi eld and try-in of the fi t of the veneers on teeth #11 and 21.
Fig. 16b: Etching of the enamel for 30 seconds with a 32 % orthophosphoric acid.
Fig. 16c: Application of the bonding agent.
Fig. 16d: Final polymerisation of the veneers.
Fig. 16e: Veneers in situ before finishing and polishing procedures.
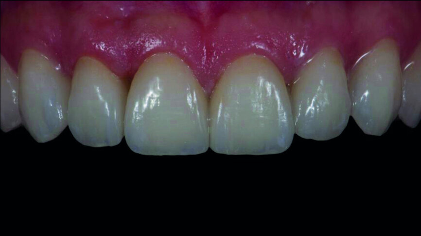
Fig. 16f: Final outcome immediately after removal of the rubber dam.
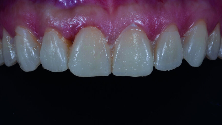
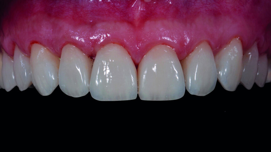
Fig. 17a: Final outcome one week later.
Fig. 17b: Final outcome one week later, frontal view.
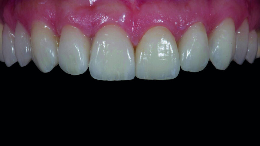
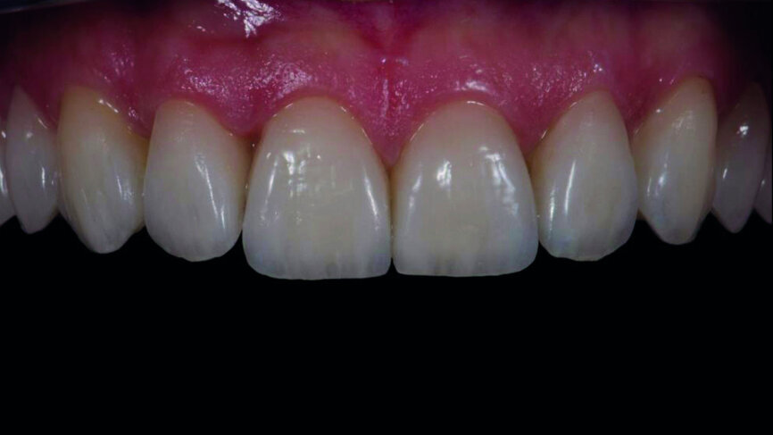
Fig. 17c: Lips at rest, exposure of the incisal edges.
Fig. 17e: Extraoral final photographs.
Fig. 18a: Subjective comparison criteria per step between analogue and digital workflows. PVS=polyvinylsiloxane.
Fig. 18b: Laboratory duration per step between analogue and digital workflows. PVS = polyvinylsiloxane.
In contrast, the conventional methods of ceramic fabrication have been described as time-consuming, technique-sensitive and unpredictable owing to the many variables, and thus CAD/CAM may be a good alternative for both dentists and laboratories. [3] CAD/CAM may also reduce the fabrication time of high-strength ceramics by up to 90 per cent. [1] Furthermore, industrially fabricated blocks are more homogenous, with minimal flaws, and CAD/CAM restorations have been found to compare favourably with other restorative options. [4,5]
As far as optical properties and CAD/ CAM are concerned, the fact of complex optical illusion phenomena in anterior aesthetics cannot always be met with monochromatic aesthetic materials without the need for final characterisation by a dental technician. In order to overcome such aesthetic disadvantages of a monochromatic restoration, multichromatic ceramic blocks have been developed to create a 3-D layered structure. These ceramic blocks offer a gradient of chroma from the cervical to the incisal areas that replicate dentine and enamel in the same block. [6-8] The aim of this case report is to compare the analogue versus the digital workflow on ten ceramic veneers in the maxilla, in terms of aesthetic outcome, length of procedures and technical sensitivity for both the dentist and the dental technician.
Case report
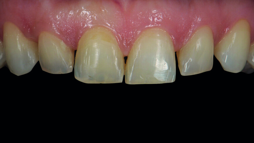
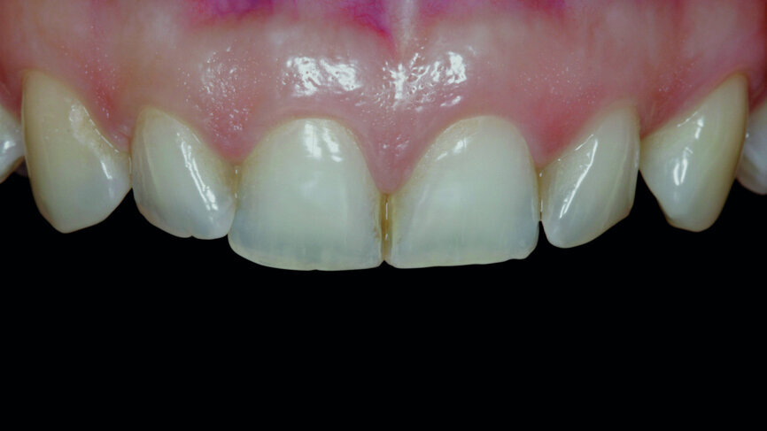
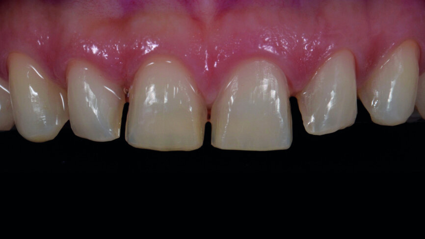
A 35-year-old patient presented at the office with the chief desire that the aesthetics in the anterior region be changed (Fig. 1). A diagnostic wax-up was performed, followed by mock-up fabrication, in order to obtain a preliminary visualisation of the final outcome. Orthodontic treatment was proposed in order to align the teeth in a more favourable position for veneers requiring minimal preparation and to reduce the overbite. One year after treatment, the patient returned for the final prosthetic rehabilitation (Figs. 2a & b).
Methods and materials
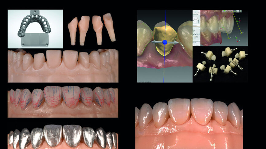
Digital smile design according to Coachman and Calamita9 was performed, from which a treatment plan of crown lengthening and veneers on teeth #15–25 (Fig. 3) was proposed. A conventional diagnostic wax-up was also produced (Fig. 4). Both digital and conventional mockups were applied, and agreement was attained concerning tooth shapes and proportions. Crown lengthening was performed, guided by the digital mock-up, with the use of an acrylic transparent double crown lengthening guide that indicated the borders of the gingivectomy and alveolectomy needed in periodontal surgery for aesthetic rehabilitation (Figs. 5 & 6). [10]
After six months of tissue stabilisation (Fig. 7), a mock-up was produced with Telio CS C&B (Ivoclar Vivadent) chairside (Figs. 8a & b), and tooth preparations with silicone guides were performed (Figs. 9a–c). Both conventional impressions with polyvinylsiloxane (Fig. 10) and digital impressions (TRIOS, 3Shape) were taken (Fig. 11).
Provisionalisation was executed digitally, using Telio CAD (Ivoclar Vivadent) in the Wieland Select CNC milling machine. The design was performed with the 3Shape DentalDesigner 2015 software (Figs. 12a & b). Two sets of final restorations were fabricated. The set of feldspathic veneers was fabricated on a stone model using IPS Style (Ivoclar Vivadent), while IPS Empress CAD Multi (Ivoclar Vivadent) was used for the digitalset (Figs. 13 & 14). Both sets were examined intraorally with a try-in paste to compare the optical properties of the feldspathic and the CAD/CAM veneers (Figs. 15a–c).
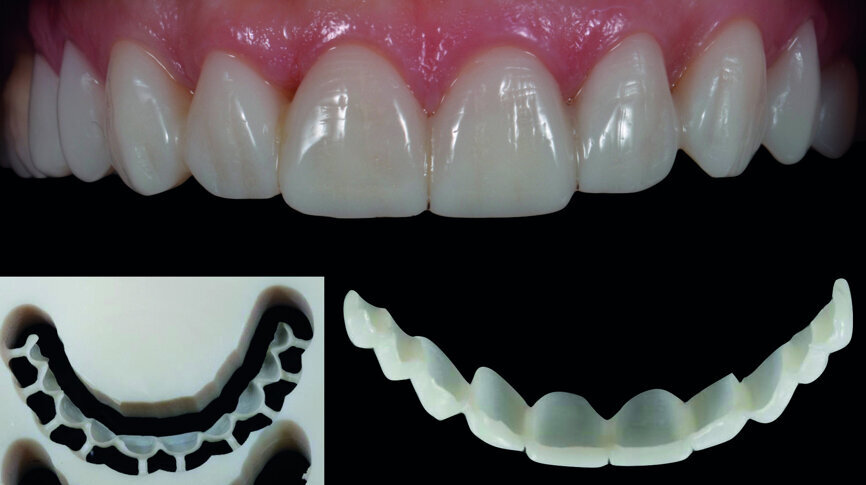
The subjective decision of the clinician and the patient was to cement the feldspathic veneers, owing to slight differences in the length of the central incisors between the two sets. Adhesive procedures followed (Figs. 16a–f), and final intraoral and extraoral photographs were captured one week later (Figs. 17a–e).
Results
Intraoral digital scanning is a perfect alternative clinical procedure compared with the conventional impression technique. The digital planning and mock-up procedure is a powerful communication tool for the dentist, although special skills in using computer software are required. Regarding the laboratory workflow, most of the analogue procedures require more time (refractory dies, built-up veneers, adjustments), except the staining/glazing (Figs. 18a & b). Although the aesthetic outcome of the feldspathic veneers was subjectively chosen in this case, the analogue workflow is much more demanding. The digital approach, because of the reduced difficulty, speed, complexity and patient discomfort, tends to be preferable (Figs. 18a & b).
Conclusion
Knowledge and application of virtual smile design procedures, coupled with innovative dental laboratory technologies, allow dentists to diagnose, plan, create and deliver aesthetically pleasing new dental compositions. Furthermore, advances in CAD/CAM technology have catalysed the development of aesthetic veneer restorations with industrially produced materials possessing superior biomechanical properties and good aesthetics.
Editorial note: A list of references is available from the publisher. This article was published in the Cosmetic dentistry beauty & science No. 1/2018.
Achieving a successful outcome in aesthetic dentistry can be a formidable challenge for all dental practitioners, regardless of their experience level. The ...
In my experience, the cementation of glass-ceramic veneers is one of the most technique-sensitive procedures in restorative dentistry, owing to the minimal ...
This is not just another article about 3D printing. It is a practical, clinically grounded reflection on how the Midas 3D printer (SprintRay) has overcome ...
Dental implants are widely acknowledged for their success in replacing missing teeth. Several factors influence the effectiveness of implant treatment, ...
During the 2025 International Dental Show, Dental Tribune International sat down with Terri Capriolo, senior vice president of oral health at Carbon, to ...
The use of digital technologies in dentistry is on the rise, a fact that clinicians Dr Galip Gurel, Dr Stefan Koubi and dental technician Hilal Kuday are ...
While CAD/CAM technology has traditionally been at the heart of digital dentistry, the emergence of artificial intelligence (AI) is redefining what is ...
COLOGNE, Germany: Since its establishment in 2004, Ray has been dedicated to creating a better world by providing reliable and innovative radiographic ...
In March last year, Dr Ahmad al-Hassiny, director of the Institute of Digital Dentistry, noted that over 90% of US dental laboratories and nearly 50% of ...
Live webinar
Tue. 12 May 2026
1:00 pm EST (New York)
Live webinar
Thu. 14 May 2026
12:00 pm EST (New York)
Live webinar
Thu. 14 May 2026
2:00 pm EST (New York)
Prof. Hani Ounsi DDS PhD FICD
Live webinar
Tue. 19 May 2026
11:00 am EST (New York)
Live webinar
Tue. 19 May 2026
1:00 pm EST (New York)
Prof. Dr. med. dent. Ivo Krejci
Live webinar
Wed. 20 May 2026
7:00 am EST (New York)
Dr. Graham Carmichael BDSc (Hons), DClinDent (Pros), FRACDS, Dr. Robert Gottlander DDS
Live webinar
Wed. 20 May 2026
9:00 am EST (New York)
To post a reply please login or register