Planmeca is known for high-tech innovations and continuous product development. The company’s powerful Planmeca Romexis software platform allows all stages of the dental implant and aesthetic prosthodontic treatment to be completed using one piece of software, from the computer-assisted design of patients’ smiles to the fabrication of surgical guides.
The following clinical case, which I performed together with my colleagues Dr Ponomarev, Dr Kozhevin and Dr Yarokhin, illustrates how digital solutions can be used in prosthodontic treatment, implant placement and restoration design. According to our experiences, digital CAD/CAM technologies enable maximal functional and aesthetic results compared to traditional methods.
Clinical case report
The clinical case illustrates the advantages of using Planmeca CAD/CAM solutions in the digital planning of an implant placement and surgical guide, as well as in the fabrication of a ceramic restoration. This article presents a clinical case in which the treatment was completed using the Planmeca Romexis 3D Implant Guide software, Planmeca PlanCAD Premium software and Planmeca PlanMill 40 milling unit.
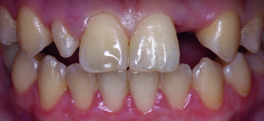
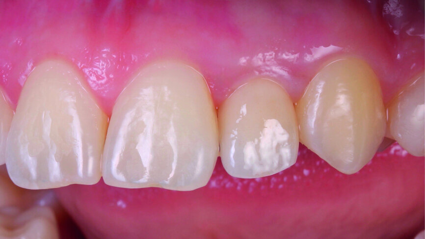
The clinical case features a female patient, who complained about missing tooth #22, as well as the shield-like shape of tooth #12 (Figs. 1 & 2). During the initial examination, the area around the missing tooth was estimated to be quite narrow for an implant. However, the patient declined orthodontic preparation, as she had already previously had orthodontic treatment with orthodontic surgery.
Fig. 1: The patient’s upper teeth before treatment.
Fig. 2: The patient’s upper teeth before treatment.
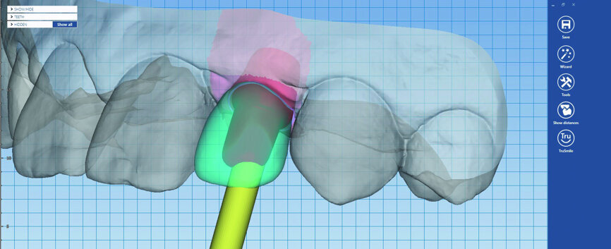
Fig. 3: Digital implant and surgical guide planning in Planmeca Romexis software.
Fig. 4: Digital implant and surgical guide planning in Planmeca Romexis software.
Fig. 5: Surgical guide was fabricated for maximum precision.
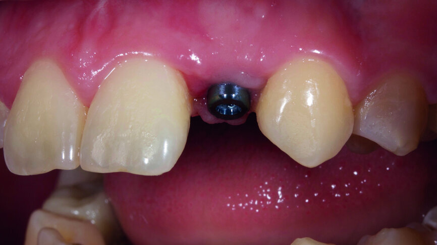
Fig. 6: Successful placement of the implant.
Fig. 7: Successful placement of the implant.
Fig. 8: Temporary crown was installed to support the formation of soft tissues.
Fig. 9: Temporary crown was installed to support the formation of soft tissues.
Fig. 10: Temporary crown was installed to support the formation of soft tissues.
Fig. 11: Crown lengthening was performed on tooth #12.
Fig. 12: Crown lengthening was performed on tooth #12.
Fig. 13: Crown lengthening was performed on tooth #12.
Fig. 14: The final restorations were designed in Planmeca PlanCAD Premium.
Fig. 15: The final restorations were designed in Planmeca PlanCAD Premium.
Fig. 16: The final restorations were designed in Planmeca PlanCAD Premium.
Fig. 17: The final restorations were designed in Planmeca PlanCAD Premium.
Fig. 18: The final restorations were designed in Planmeca PlanCAD Premium.
Fig. 19: The final restorations were designed in Planmeca PlanCAD Premium.
Fig. 20: Final restorations: Zirconium abutment screw with a ceramic facing and a fully anatomical Empress crown.
Fig. 21: Final restorations: Zirconium abutment screw with a ceramic facing and a fully anatomical Empress crown.
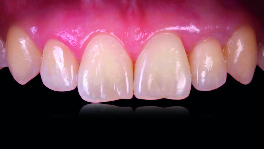
Fig. 22: Final outcome after the completion of the treatment.
Fig. 23: Final outcome after the completion of the treatment.
Fig. 24: Final outcome after the completion of the treatment.
In this particular case, we started with an aesthetic analysis of the patient’s CBCT data and concluded that a Straumann implant with a 2.9 mm diameter would fit in the area of tooth 22, if we used a surgical guide for maximum precision (Figs. 3–5). For tooth #12, we decided to fabricate a thin-walled IPS e.max ceramic restoration (Ivoclar Vivadent).
Thanks to digital planning and a carefully fabricated surgical guide, the implant was placed successfully, even though the anatomical conditions appeared to be less than advantageous. We achieved a torque of 30 Ncm and attached a healing abutment to the implant (Figs. 6 & 7).
Three months after the implant placement operation, the osseointegration of the implant fixture was completed. A temporary crown was fabricated on the implant from a VITA ENAMIC multiColor block to support the formation of soft tissues (Figs. 8–10). We improved the original design on the Straumann superstructure with gum contouring. On tooth #12, crown lengthening was performed with an electrocoagulator (Figs. 11–13).
Once the formation of the soft tissues was complete, tooth #12 was minimally prepared for the ceramic crown with the help of a surgical microscope. After the preparation, the teeth were scanned in order to digitally design a custom abutment and crowns (Figs. 14–19).
The final smile design was planned digitally together with the patient. For the implant structure, we chose an individual zirconium abutment screw with a ceramic facing and a fully anatomical Empress crown (Figs. 20 & 21).
The ceramic facing concealed the excessive brightness of the zirconium, and we were able to achieve the desired colour. Thanks to the digital workflow, we managed to fulfil the wishes of the patient. (Figs. 22–24).
Conclusion
With digital technologies, the entire implant workflow can be completed in the dental clinic, from planning to fabrication of the restorations. Digital planning increases the reliability of the implant treatment and helps the dentist to succeed in the operation. Digital tools allow achieving the maximum functional and aesthetic result even in combined operations in which an implant placement and ceramic restoration are performed simultaneously.
Thanks to the development of modern technologies, a 3D model of a patient’s set of teeth can now be acquired in only a few minutes, without infringing on the comfort of the patient. At the same time, combining a CBCT image with an intraoral scan enables the dentist to plan the implant placement and surgical guide accurately and with just a few mouse clicks.
Finally, digital technologies also enable visualising the treatment outcome for the patient. Clear visualisations of the end result facilitate communication with the patient, which, in turn, can increase case acceptance.
Editorial note: A list of references is available from the publisher. This article was published in CAD/CAM - international magazine of digital dentistry No. 01/2019.
COLOGNE, Germany: Since its establishment in 2004, Ray has been dedicated to creating a better world by providing reliable and innovative radiographic ...
Whether we like it or not, we are embracing the digital era in our brave new world. Many dental practices are now becoming paper-free—a digital ...
Single-unit and short-span restorations present clinicians with an excellent opportunity to utilise digital workflows. These high-accuracy appliances ...
The German company Schütz Dental promotes innovative dentistry and dental technology with its products made in Germany for a complete digital workflow in ...
While CAD/CAM technology has traditionally been at the heart of digital dentistry, the emergence of artificial intelligence (AI) is redefining what is ...
This is not just another article about 3D printing. It is a practical, clinically grounded reflection on how the Midas 3D printer (SprintRay) has overcome ...
MISGAV, Israel: Digital workflows connect the dots in modern dentistry by merging several connected procedures into one complete treatment. The harnessing ...
Modern dentistry is undergoing a technological revolution, driven by the integration of advanced digital tools in diagnostics, planning and treatment. Among...
Achieving a successful outcome in aesthetic dentistry can be a formidable challenge for all dental practitioners, regardless of their experience level. The ...
Live webinar
Mon. 20 April 2026
1:00 pm EST (New York)
Dr. Alberto Monje DDS, MS, PhD
Live webinar
Wed. 22 April 2026
11:00 am EST (New York)
MDT Andreas Chatzimpatzakis
Live webinar
Wed. 22 April 2026
11:00 am EST (New York)
Live webinar
Wed. 22 April 2026
12:00 pm EST (New York)
Live webinar
Thu. 23 April 2026
11:00 am EST (New York)
Live webinar
Thu. 23 April 2026
12:30 pm EST (New York)
Live webinar
Thu. 23 April 2026
1:00 pm EST (New York)
To post a reply please login or register