My learning pathway with the IAS Academy was slightly different from the normal route in that I took the ClearSmile Aligner course first, then the ClearSmile Inman Aligner one and then the ClearSmile Brace course. I trained with aligners first by shadowing my former principal, who used a different clear aligner system to great effect.
I have been nothing but impressed with the ethos of the IAS Academy. There are three main factors of why I believe that its courses are superior to other orthodontic courses. Everything is under one roof. While planning a case, if one particular treatment modality or even a combination is preferable, one can be sure that it will be suggested. All cases go to the same laboratory, so mixed modalities are no problem. The leading figures running the courses I took were Drs Tif Qureshi, Anoop Maini and Jorge Perez. They are very dynamic, inspiring dentists, also fully engaged in social media, and expand the knowledge base of and equip dentists with the skills to perform what I believe is conservative, safe and, above all, ethical treatment. In addition, the number of orthodontic cases course presenter Dr Ross Hobson has completed is still beyond comprehension. Overall, the IAS Academy presents an intuitive pathway for acquisition, improvement and, if desired, mastery of general dental practitioner (GDP) orthodontics.
Case presentation
A 32-year-old male patient presented to our practice after he saw that we provide GDP orthodontics on our website. He came from an NHS practice and it was agreed that he would remain with that practice for his routine care. He was fit and well, took no medication, had no allergies and was a non-smoker. However, he was struggling with his oral hygiene and did not like the appearance of his maxillary teeth, specifically the colour and the alignment. He was not keen on the idea of fixed orthodontic appliances, but had heard about clear aligners.
My examination revealed nothing abnormal with his extra- or intra-oral soft tissue, temporomandibular joint or range of motion. However, his oral hygiene was poor, which was not helped by the crowding of his maxillary anterior segment. In addition, tooth #48 was carious. I carried out a full orthodontic assessment (Table 1) and took photographs.
Table 1
| Skeletal pattern |
Class II |
| Frankfort-mandibular plane angle |
Average |
| Lower face height |
Increased |
| Facial asymmetry |
Symmetrical |
| Soft tissue |
Competent lips at rest, average smile line |
| Incisor relationship |
Class II, Division I |
| Overjet |
3 mm |
| Overbite |
20% |
| Displacement on closure |
No |
| Molar relationship |
Class III, ½ unit |
Class III, ¼ unit |
| Canine relationship |
Class II, ½ unit |
Class II, full unit |
| Teeth present |
All except mandibular second premolars |
| Centre line |
Dental centre line approx. 2 mm right |
I explained that the maxillary teeth could and should be aligned, as this would likely result in easier cleaning of the teeth, plus it would improve the appearance. The patient and I agreed that the mandibular teeth could remain untouched, as this would keep the cost down, but mainly because they did not bother him. The priority was to stabilise his periodontal condition. A basic periodontal examination Code 3 and heavy bleeding were recorded in each sextant. At that visit, I performed a gross scaling using the ultrasonic scaler and used a model to demonstrate both the use of flossettes and an oscillating toothbrush.
Twenty days later, tooth #48 was restored and I was pleased to find the patient’s cleaning had clearly been consistent and diligent. The improvement was extremely impressive and exceeded my expectations. A fine scaling was carried out with further encouragement to maintain this level of home care.
Two weeks later, the colour and contour of the patient’s gingival margins were as healthy as could be considering the crowding of the teeth. We discussed what treatment with ClearSmile Aligners would involve, such as interproximal reduction (IPR), compliance and risks, and a referral for specialist orthodontics was offered. Preferring to proceed with clear aligners, the patient signed off his full consent, and a two-stage putty impression was taken using a separation wafer. The Archwize digital planning software was used to predict tooth movement and necessary IPR throughout treatment. It suggested that 18 maxillary aligners would be needed.
Treatment
IPR was carried out progressively over the first three visits, and yellow strip filing was performed for the remaining five appointments. All of the visits passed without problems. The patient was very diligent in his wearing and care of the aligners and reported no pain or difficulty.
At the end of the 18 planned aligners, there was still a central diastema of approximately 0.2 mm and tooth #23 had not rotated completely. The laboratory offered three (free) or six (for a fee) refinement aligners. The patient chose the latter, reasoning that as we had come this far, we should finish properly. He was charged the laboratory cost only.
As the refinement aligners were progressing, I took impressions for whitening trays, and the patient wore 16% carbamide peroxide gel for three weeks between wearing his aligners. By the end, the diastema had closed and tooth #23 had improved a little but not entirely. However, the patient declared himself happy and elected for Essix retainers over a fixed wire, as he liked the idea of being able to floss all of his teeth, plus he was so used to wearing aligners that wearing retainers at night posed no problem.
Support
The IAS support forum helped me a great deal in my first case. When I was concerned about the midline diastema and the uprighting of tooth #23, I was advised by Dr Qureshi to obtain a leaf gauge, which I did, and I cannot now imagine working without it. Dr Perez also helped me to understand that the anterior–posterior relationship was working against this case in uprighting tooth #23 completely. The mandibular teeth would have required aligning for this to be possible and now that I am more experienced I feel I could spot this from the beginning.
Dr Perez also helped improve the mid-treatment impressions stage, which included impression taking first then removal of the existing composite force drivers and replacement with the new drivers at the fit stage. I did not then realise this was the ideal sequence, as it is only something that one becomes aware of as treatment progresses. However, at no stage did I feel isolated or unsupported during this case.
Outcome
While the patient arrived with misaligned teeth that were difficult to clean and gingivae that reflected this, he left with clean, light teeth, pink gingivae and a much straighter smile. He was very pleased and expressed warm gratitude for his treatment. He practised every bit of advice given with conspicuous diligence and as a result he reaped the rewards.
I was even happy with this having been a compromised case. Of course, a comprehensive orthodontic treatment plan would have intruded the central incisors, de-rotated the canines further and closed the mandibular spaces, but this is not what the patient wanted. His molar relationships did not change, but we affordably and conservatively made his visible teeth straighter, whiter and easier to clean, and to me this is the very essence of what GDP orthodontics is.
Upon reflection, a leaf gauge is essential. Accurate IPR underpins aligner treatment and I should have been aware of the existence of these tools earlier. Also, I wish I had seen the interference of tooth #33 with tooth #23 sooner, instead of towards the end of treatment.
Looking back at this case, it is apparent that I had not quite mastered my photography, leading to darker before photographs. I steadily eliminated errors in my technique throughout the case by use of better mirrors, de-steaming, better retraction, greater knowledge of exposure and suchlike. This case just happened to be right at the start of the learning curve. I also wish I had taken more photographs during treatment.
Finally, not something I would have changed, as it was a successful and calculated risk, but it is worth mentioning that orthodontics should not be carried out when the periodontium is not demonstrably stable. However, I knew that the tooth positions were getting in the way of this patient’s oral hygiene and so took the decision to treat based on his initial response to treatment and the way he applied himself.
For other practitioners approaching their first anterior alignment orthodontic cases, I would encourage them and advise them not to let mental blocks stop them, because most of the time if one pushes past these, one will realise they did not really exist. At the very worst, one will make minor mistakes, but the IAS support forum and community exist to help identify issues early and correct them. One literally gains nothing when things go perfectly. Mistakes are how improvement happens.
I would advise practitioners to consider the patients they see and just how many adults have crowded teeth. They should ask them if they know that they might be able to straighten their teeth without metal orthodontic appliances, and whether they had ever wondered why their anterior teeth are worn and chipped whereas their posterior teeth are not. Also, they should ask whether they know why plaque builds up around their crowded teeth more than anywhere else. If they are interested and want to know more, the practitioner could consider providing a free consultation, including an orthodontic assessment. At the very least, he or she will gain useful practise and at most will gain a patient desiring an enjoyable, ethical and rewarding treatment.
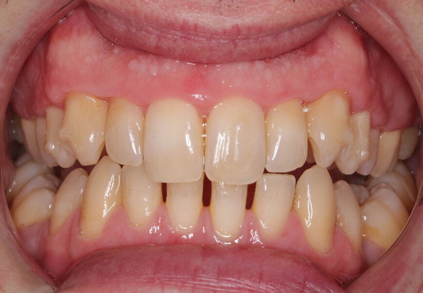
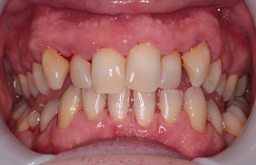
Fig. 2: Pre treatment smile
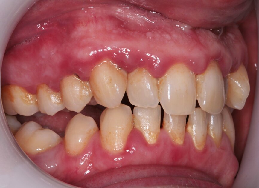
Fig. 3: Pre treatment left lateral
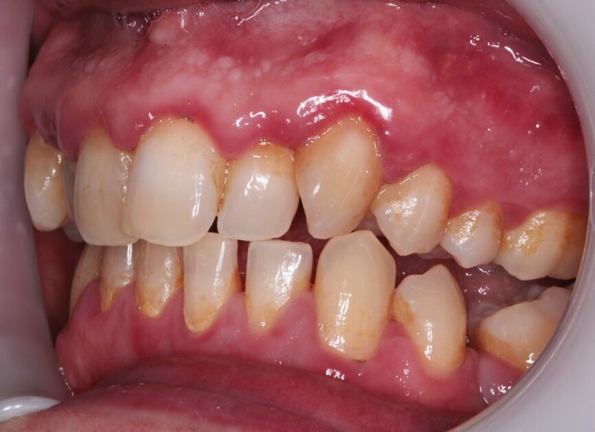
Fig. 4: Pre-treatment right lateral
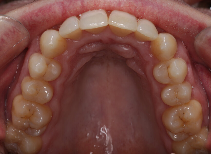
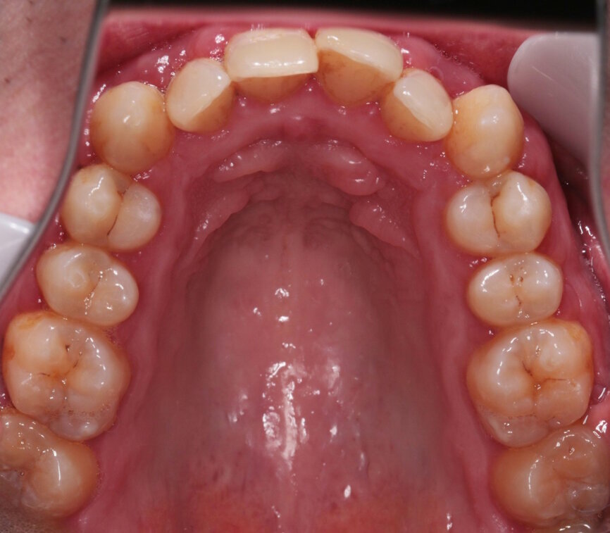
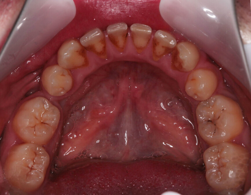
Fig. 5: Pre-treatment upper occlusal view
Fig. 6: Pre-treatment lower occlusal view
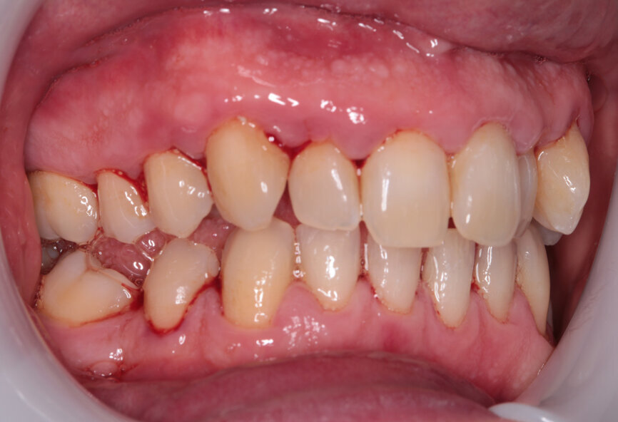
Fig. 7: Post-scaling anterior view
Fig. 8: Post-scaling right lateral view
Fig. 9: Post-scaling left lateral view
Fig. 10: Post-initial alignment, prior to refinement aligners anterior view
Fig. 11: Post-initial alignment, prior to refinement aligners left lateral view
Fig. 12: Post-initial alignment, prior to refinement aligners right lateral view
Fig. 13a: Current position
Fig. 13b: Three refinement aligners
Fig. 13c: Six refinement aligners
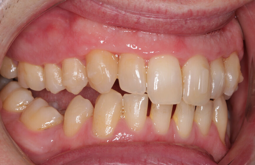
Fig. 14: Post-treatment 1
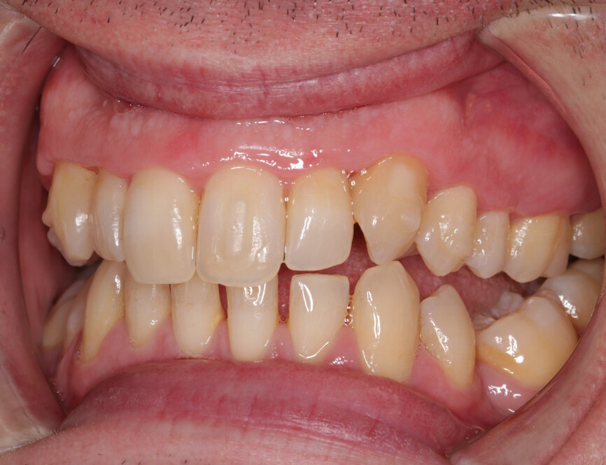
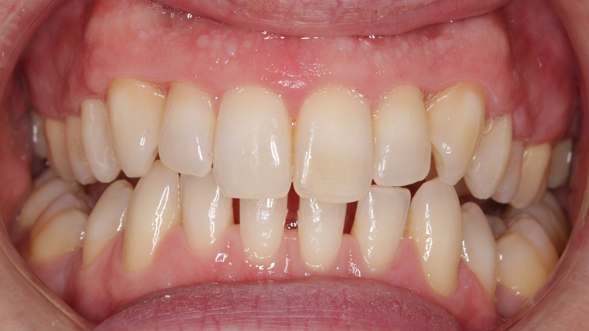
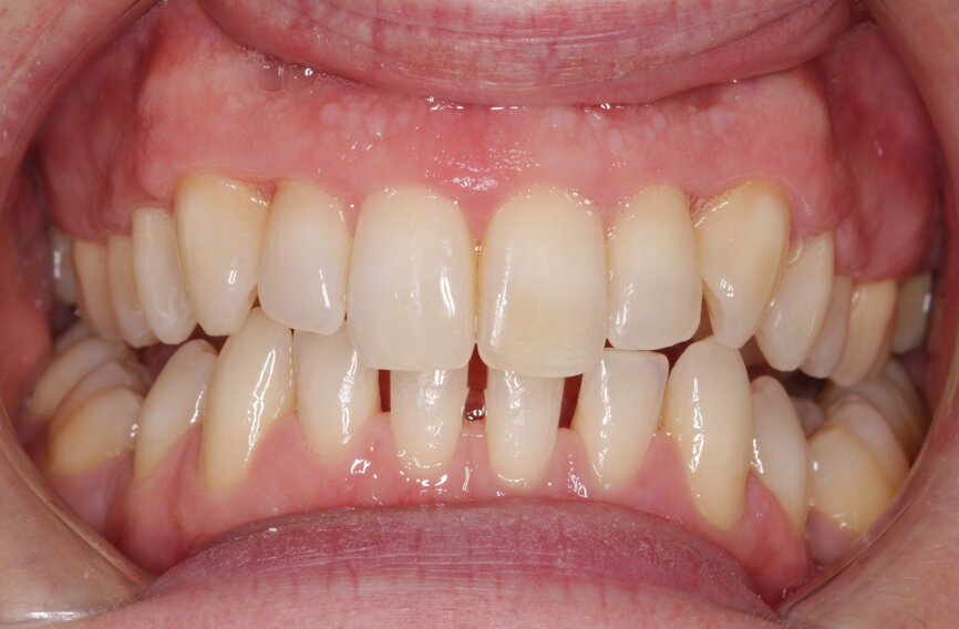
Fig. 15: Post-treatment smile
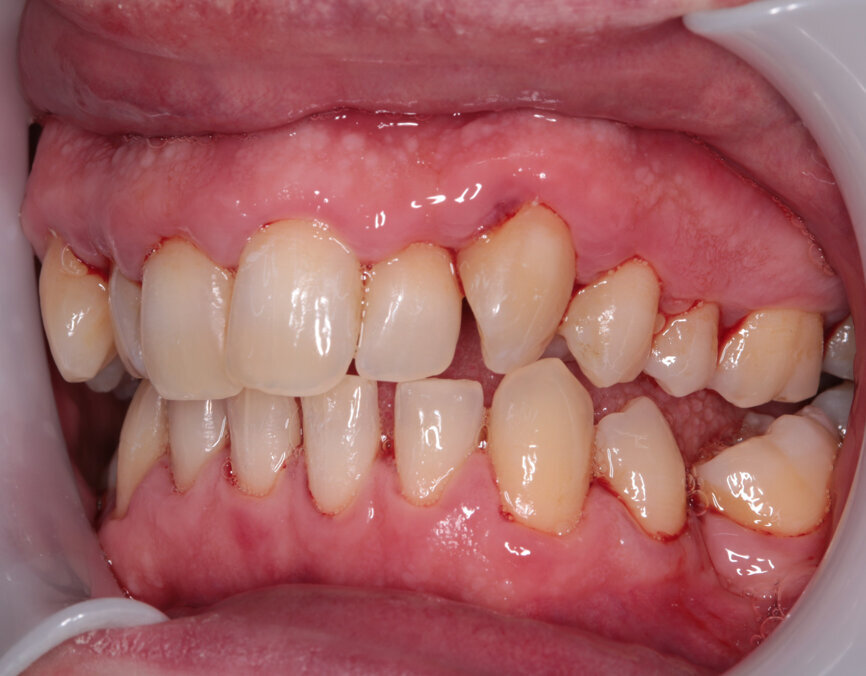
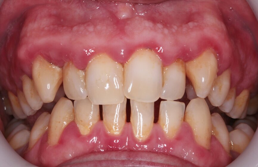
Fig. 16: Post-treatment anterior view
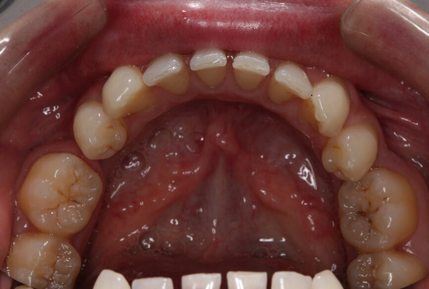
Fig. 17: Post-treatment upper occlusal view
Fig. 18: Post-treatment lower occlusal view
To post a reply please login or register