Search Dental Tribune

Immediate full-arch zirconia implant therapy utilising the power of robotic assistance and digital scanning

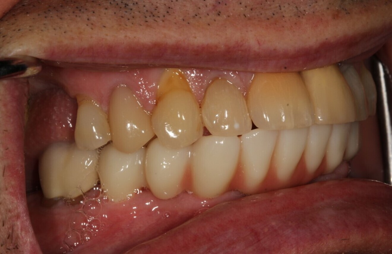
Fig. 1: Failing mandibular dentition. (All images: Daniel Madden)

Mon. 15. April 2024

save

In the ever-evolving realm of modern dentistry, innovations are continually reshaping the landscape of patient care, bringing greater precision, efficiency and comfort to the forefront of dental procedures. Among these groundbreaking advancements, the fusion of CBCT, robot-assisted surgery, digital scanning and prosthesis manufacturing with dental implantology has been an absolute game-changer.

Gone are the days of planning surgeries on 2D images and messy impressions and patients leaving toothless. In their place, modern dentistry now has seamless integration of CBCT with digital planning of implant surgeries, and this digital plan can be carried over to the operatory and reproduced with robotic assistance.1–4 Digital scanning of implant positions can produce accurate 3D modelling, and advancements in materials and prosthesis fabrication methods allow patients to leave with teeth the same day as the surgery. These advancements have revolutionised the art and science dentists use to approach treatment of their patients. This article will demonstrate some of the innovative technology, materials and techniques and possibilities of full-arch zirconia implant treatments by way of a case report.

Figs. 2a–c: CBCT scan showing the failing endodontically treated tooth with an abscess.

Figs. 2a–c: CBCT scan showing the failing endodontically treated tooth with an abscess.

Fig. 2b.

Fig. 2b.

Fig. 2c.

Fig. 2c.

Case report

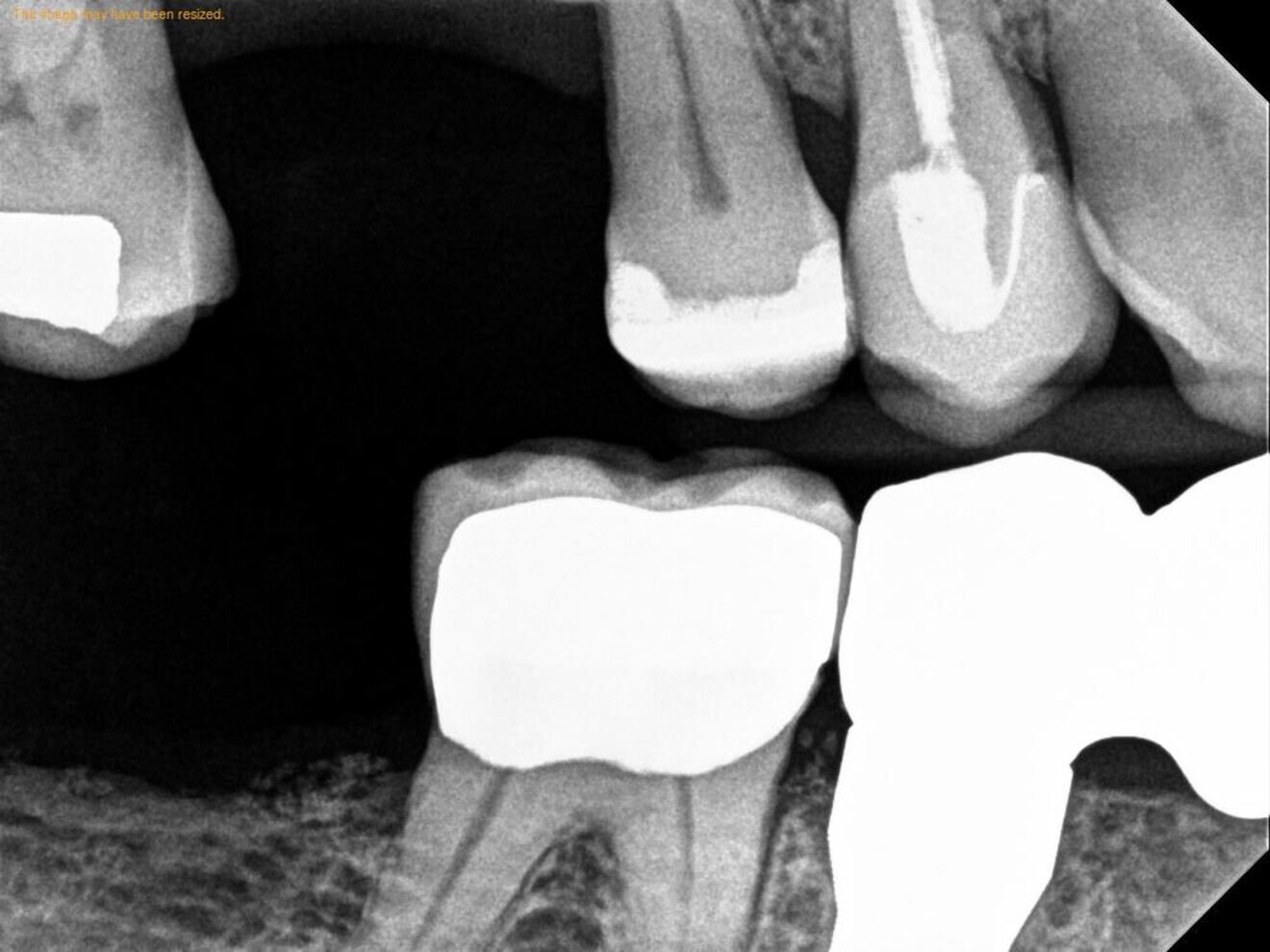
The patient presented with multiple periapical radiolucencies associated with failing endodontically treated teeth, a horizontal root fracture and a failing long-span bridge (Fig. 1). A poor long-term prognosis was given to all the remaining mandibular teeth except tooth #46 (Fig. 2), and the treatment options, limitations and risks were reviewed thoroughly with the patient. The patient did not want a removable restoration and did not want to go a day without teeth and wanted to have biologically friendly materials used for treatment. It was decided to perform an immediate implant surgery and provide the patient with a stable temporary restoration to protect the healing implants for long-term success.

One-piece zirconia implants (SDS Swiss Dental Solutions) were chosen for their variety of diameters and lengths, strength and suitability for immediate temporisation. Zirconia implants have shown similar long-term success to titanium implants and less bacterial adhesion,5–7 making them a great candidate for a fixed full-arch solution. Teeth #37, 44 and 46 were to remain in place during the temporary healing phase to help stabilise the temporary restoration, provide posterior stops for occlusion and protect the implants during the healing phase.

Preoperative planning was performed using CBCT (Axeos and Galileos, Dentsply Sirona; Fig. 3) and YomiPlan planning software (Neocis) to select and parallel all the implants (Fig. 4). Preoperative maxillary, mandibular and bite scans were taken with CEREC Primescan (Dentsply Sirona) and sent to the laboratory for a temporary mock-up (Fig. 5). This allowed the laboratory technician to pre-plan a temporary restoration and discuss implant positions and final prosthetic solutions.

Fig. 3: 3D implant planning with the Galileos software.

Fig. 3: 3D implant planning with the Galileos software.

Fig. 4: Implant planning and parallelisation with YomiPlan.

Fig. 4: Implant planning and parallelisation with YomiPlan.

Fig. 5: Laboratory virtual mock-up of the temporary restoration.

Fig. 5: Laboratory virtual mock-up of the temporary restoration.

Surgical phase

Advanced platelet-rich fibrin (A-PRF+) and injectable platelet-rich fibrin (i-PRF) were produced using horizontal centrifugation (Bio-PRF). Atraumatic extractions were performed, and the sockets decontaminated using curettage, degranulation burs and ozone therapy.

The Yomi link was attached on the mandibular left via bite registration, and a CBCT scan with fiducial arrays was taken (Fig. 6). The link placement allowed complete visual access of the surgical field from tooth #33 to tooth #46. Surgery was initiated under robotic assistance at sites #45, 43, 41 and 31. The osteotomies were incrementally increased according to manufacturer’s recommendations, and drill orientation were confirmed intra-orally and via Yomi dynamic live CBCT navigation. Successful placement according to tight anatomical parameters and with parallelisation of implants was possible with high confidence via the haptic controls and locked drill path and depth using Yomi robot assistance. SDS1.2 implants were placed into the sites. The sockets were subsequently grafted with allograft (Cortical Mineralized/Demineralized Blend, particle size: 0.25–1.00 mm; Maxxeus CTS) hydrated with i-PRF, and an A-PRF+ membrane was placed over each site and sutured in place. The first phase of surgery was completed in approximately 90 minutes, and the Yomi link was removed and the guide arm detached.

Fig. 6: The Yomi link with ducial arrays attached in a CBCT scan.

Fig. 6: The Yomi link with ducial arrays attached in a CBCT scan.

Fig. 7: Scan of the implants at the time of surgery taken with CEREC Primescan.

Fig. 7: Scan of the implants at the time of surgery taken with CEREC Primescan.

Fig. 8: 3D-printed temporary restoration.

Fig. 8: 3D-printed temporary restoration.

Fig. 9: Temporary restoration in situ.

Fig. 9: Temporary restoration in situ.

Fig. 10: Preparation of the abutment.

Fig. 10: Preparation of the abutment.

Fig. 11: Bite jig in place to maintain the vertical dimension of occlusion and test the vertical clearance.

Fig. 11: Bite jig in place to maintain the vertical dimension of occlusion and test the vertical clearance.

Surgery continued on the mandibular left quadrant, and an attempt was made to re-link the patient with Yomi robot using the implants, but it was unsuccessful. Yomi’s conventional workflow allows approximately one quadrant at a time to be worked on. A new scan and four or more stable teeth are needed to anchor the link. This has now been overcome with the newer Yomi bone link, which would have been ideal in this particular case. However, freehand immediate placement and parallelisation of implants were possible with the visualisation of the four previously placed implants.

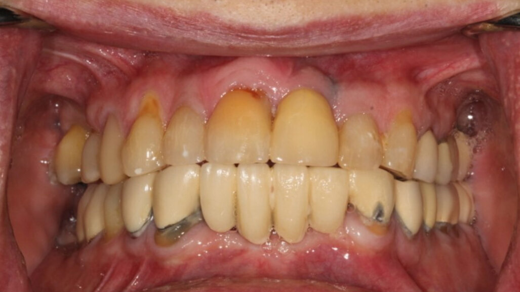
Digital impressions were taken with CEREC Primescan (Fig. 7) and sent to the laboratory for same-day fabrication of the temporary restoration (Flexcera Smile Ultra+, Desktop Metal; Fig. 8). Suturing was completed, and the full-arch temporary restoration was adjusted and seated with temporary cement (Fig. 9).

At five months of healing, the remaining failed dentition was removed and the soft tissue allowed to heal for seven weeks. Preparation of the implants for the final restoration consisted of removal of the temporary restoration, preparation of the abutments using a fine (red-striped) diamond bur and fabrication of a bite jig to capture the vertical dimension of occlusion (Figs. 10 & 11). This would be used when preparing the implants to verify proper reduction of the abutments. All the implants were prepared to allow passive draw, and haemostatic agent and retraction paste were placed at the sulcus (Fig. 12).

Fig. 12: Prepared and parallelised abutments.

Fig. 12: Prepared and parallelised abutments.

Fig. 13: New temporary restoration in situ.

Fig. 13: New temporary restoration in situ.

Fig. 14: Digital impression using titanium dioxide powder.

Fig. 14: Digital impression using titanium dioxide powder.

A full-arch digital impression was taken using CEREC Primescan and a conventional impression was taken with polyvinylsiloxane (PVS) impression material. The laboratory confirmed the quality of the scan and then returned a new temporary full-arch restoration (Fig. 13). This would be used to test the occlusion and accuracy of the digital and PVS impressions. When merging the digital scans and PVS impression and seating the temporary restoration, a discrepancy was noted. A jig made out of zirconia was fabricated to seat over the abutments. The patient returned a few weeks later, and the zirconia abutment jig was seated, sectioned and luted, and a pick-up PVS impression was taken. Serving as a checkpoint in the final restoration fabrication, a new digital impression using titanium dioxide scanning powder was taken (Fig. 14), because it has been noted that highly polished or reflective material may distort the digital impression (Fig. 15). The dental technician verified the scan data (Fig. 16) and noted a significant change from our first scan.1, 2, 8

Fig. 15: Scanner interpreting the diffusion of light from the surface of objects. Shiny surfaces can interfere with the matching of the point of interest by the software owing to overexposure.

Fig. 15: Scanner interpreting the diffusion of light from the surface of objects. Shiny surfaces can interfere with the matching of the point of interest by the software owing to overexposure.

Fig. 16: Laboratory model of the prepared abutments indexed for final restoration.

Fig. 16: Laboratory model of the prepared abutments indexed for final restoration.

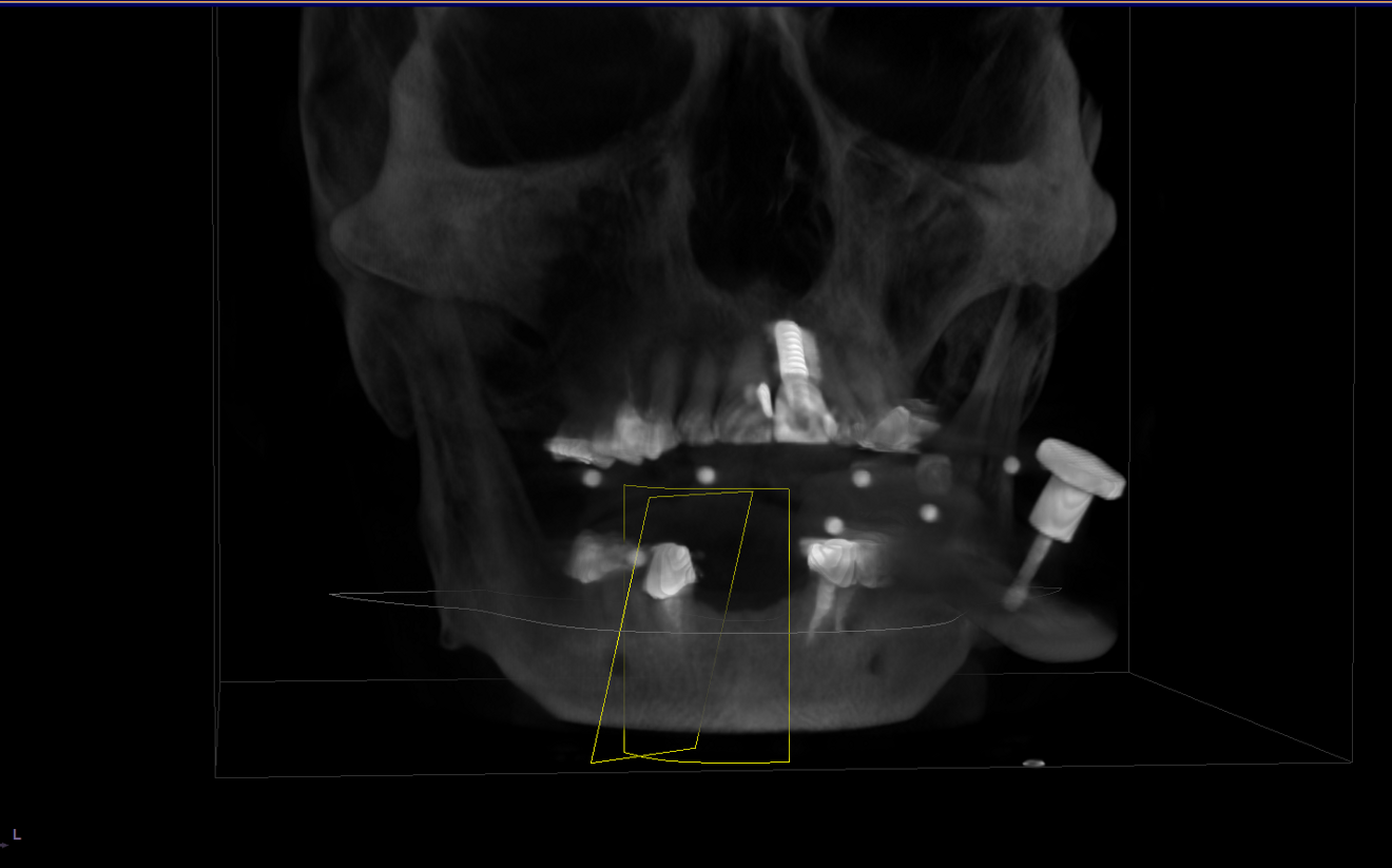
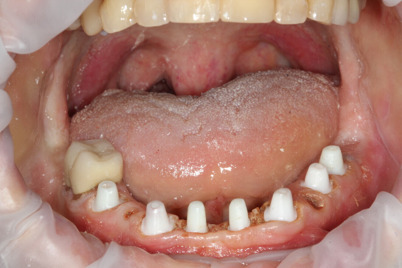
A final full-arch zirconia restoration was manufactured, and the final seating was verified with radiographs (Fig. 17) and cemented with PANAVIA SA Cement Universal (Kuraray Noritake Dental). The patient returned two weeks later for an occlusion check and adjustment along with an oral hygiene check. Pink firm gingiva around all the implants was noted such that it was even difficult to get a probe into the sulcus (Fig. 18).

Figs. 17a–c: Final radiographs showing the bone levels and final restoration.

Figs. 17a–c: Final radiographs showing the bone levels and final restoration.

Fig. 17b.

Fig. 17b.

Fig. 17c.

Fig. 17c.

Conclusion

This case study has showcased the transformative potential of modern dental technology in immediate full-arch zirconia implant therapy. The implementation of CBCT imaging, robotic assistance, digital scanning and advanced manufacturing with biocompatible materials has revolutionised the field of dentistry, offering patients enhanced precision, comfort and immediate results.

As implementation of new technologies increases, learning some limitations of the technology is part of the evolution. In this case, it was noted that scanning powder for taking digital impressions of multiple prepared zirconia implants was necessary and that multiple one-piece zirconia implant abutments did not provide enough retention for a Yomi-linked surgery. These challenges were addressed and overcome with modifications of technique, learning the capabilities of the technology and leaning on the fundamentals of implant surgery and restorative dentistry.

Overall, these new approaches to full-arch zirconia implant therapy represent a paradigm shift in dental care. They not only provide patients with a rapid and biologically friendly solution, but also enable precision implant placement and prosthesis fabrication. With solid clinical fundamentals in dentistry, the clinician can utilise the constant evolution of dental technology to enhance the possibilities and services offered, elevating the standard of care for dental patients.

Figs. 18a & b: Final restoration in function.

Figs. 18a & b: Final restoration in function.

Fig. 18b.

Fig. 18b.

Editorial note:

This article was published in digital—international magazine of digital dentistry vol. 1, issue 4/2023.

Topics:
Tags:
To post a reply please login or register
advertisement
advertisement