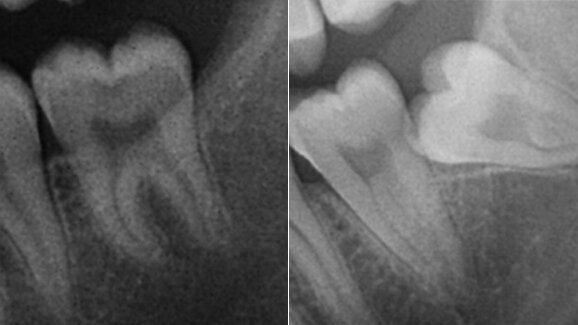
Objective: The objectives of the study were to evaluate the correlation between the degree of surgical difficulty measured by an established scale and the total surgical time, the ostectomy time and the tooth sectioning time, and to analyze which of the factors involved had a greater influence on total surgical time.
Materials and methods
A presurgical radiographic scale was developed, based on ten parameters. Each parameter was scored from 1 to 3, and the individual scores were summed. A retrospective analysis using panoramic radiographs was performed of patients subjected to surgical extraction of a mandibular third molar, with recording of the surgical times. A statistical analysis was performed to establish correlations between the study parameters and scale and the surgical times.
Results
A greater Winter’s distance prolonged ostectomy time and, conversely, a greater distance from the mandibular ramus to the distal surface of the second molar was observed to shorten ostectomy time. Separate or dysmorphic root shape increased ostectomy time and total surgical time. Total surgical time was longer in the presence of greater coronal width and a shorter distance from the ramus to the second molar. The only variable correlated to tooth sectioning time was coronal width.
Conclusion
The final score was correlated to ostectomy time and total surgical time. Ostectomy time in turn was influenced by Winter’s distance, the distance from the mandibular ramus to the second molar, and root shape. Tooth sectioning time was influenced by the coronal width of the third molar. The parameters with the closest correlation to total surgical time were coronal width and the distance between the ramus and second molar.
Editorial note: The full article was published in the 1/2017 issue of the Journal of Oral Science and Rehabilitation. It can be accessed free of charge at www.dtscience.com.
PHILADELPHIA, U.S.: Taste disorders and other neurosensory defects have been reported postoperatively in a number of patients who have undergone extraction ...
MICHIGAN, U.S.: Opioid addiction has been a concern in America for some time. In a new study, researchers have found that teens and young adults who have ...
This was a challenging case with the combined issues of a failed root canal therapy and an iatrogenic perforation of the floor of the pulp chamber. Though ...
A 75-year-old female patient visited our dental clinic reporting a loose crown on tooth #26. The tooth had been endodontically treated in the past and had a...
Dental implants have become one of the most predictable treatment alternatives for patients who are missing teeth. Despite the high success rates, which are...
Adult orthodontic patients insist on aesthetic treatment options that have the least possible impact on their work and life. Clear aligners are an excellent...
Nowadays, virtual planning and the assisted placement of implants in 3-D positions relative to the bone, soft tissue and final planned prosthesis are ...
Eiichi Nakanishi, President and CEO of Nakanishi, explained the four product innovations of the traditional Japanese company NSK in an interview at IDS ...
GOTHENBURG, Sweden: In Sweden, free dental check-ups are provided for children and adolescents until they reach the age of 20. Whereas this means that much ...
Live webinar
Wed. 29 April 2026
7:00 pm EST (New York)
Dr. Renato Leonardo D.M.D.
Live webinar
Thu. 30 April 2026
1:00 pm EST (New York)
Live webinar
Sun. 3 May 2026
12:00 pm EST (New York)
Dr. Rickard Brånemark MSc, MD, PhD, Dr. Robert Gottlander DDS
Live webinar
Sun. 3 May 2026
8:00 pm EST (New York)
Live webinar
Tue. 5 May 2026
10:00 am EST (New York)
Live webinar
Tue. 5 May 2026
12:00 pm EST (New York)
Live webinar
Tue. 5 May 2026
1:00 pm EST (New York)
Dr. Maximilian Dobbertin M.Sc
To post a reply please login or register