Melanin depigmentation of gingiva using various laser wavelengths have been reported for over ten years.[1–5] Layer by layer, the mucosa is ablated to the basal layer of the epithelium where the melanocytes are located. The use of lasers have been compared with the use of scalpel and diamond bur (Fig. 1).[6–9] By incorporating the optical properties and absorption characteristics of 810 nm together with specific power parameters, a non-ablative technique was developed (Fig. 2).[10, 11]
Another similar non-ablative technique described as microcoagulation was also reported using a 20 W 980 nm diode laser.[12] The 445 nm blue wavelength was introduced in the dental market in 2015. By using 320 μm uninitiated fiber delivering 1 W continuous wave of 445 nm, the same non-ablative procedure and result can also be realised.
Background with non-ablative technique
Diode laser at 810 nm is poorly absorbed in water, but it is well absorbed by pigment such as haemoglobin and melanin. The use of high power, short pulse duration concentrated the thermal energy on the surface over deep tissue thermal conduction with lower power and long pulse.[13, 14]
The author has used the 810 nm wavelength ( elexxion claros 810 nm diode laser, elexxion AG, Singen, Germany) with the power parameters of 30 W, 20 kHz, 16 μsec giving an average power of 10 W. Under local anaesthesia, a non-initiated 600 μm fiber was used. The fiber was placed at a distance of 2 mm to 5 mm from the pigmented mucosa. Coagulation can be observed with immediate effect upon irradiation.
A constant movement must be performed in order to avoid thermal damage deep into the tissue. Water irrigation can be used as coolant during the treatment. There is no surface ablation of the pigmented mucosa but rather the haemoglobin and melanin absorbing the laser energy (Fig. 2). This technique (Figs. 3–6) showed a treatment time of two minutes compared to the ablative technique time up to 30 minutes in an area of first premolar to first premolar of one dental arch.
The wavelength of 445 nm is much better absorbed by melanin and haemoglobin than 810 nm (Fig. 7). Hence, a much lower power density may be used to produce the same effect.
Case outline
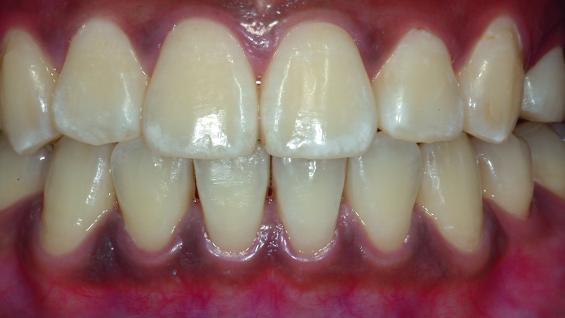
A 26-year-old female patient of Chinese ancestry presented with melanin pigmentation in 2007. Congenital melanin pigmentation of the labial gingiva was diagnosed. Depigmentation on the upper arch using 810 nm at 30 W, 20 kHz, 16 μsec was carried out. Eight years post-op showed mild relapse of pigmentation, but the patient was satisfied with the cosmetic appearance (Figs. 3–6). She now wanted the melanin pigment on her lower anterior segment to be removed (Fig. 8).
Purpose
Pigment removal in the requested sites was discussed using 445 nm diode laser. The same technique would be used and the patient consented to the treatment.
Material and method
SIROLaser Blue (Dentsply Sirona) with an emission wavelength of 445 nm was used at 1 W, cw delivered through a 320 μm fiber.
Procedure
Depigmentation technique is the same as described with the 810 nm wavelength (above). Under local anaesthesia, a non-initiated 320 μm fiber delivers the energy at a distance of 2 mm to the pigmented area with constant movement. Immediate change to pink colour without surface ablation of the pigmented mucosa was observed. The procedure took approximately 40 seconds to complete between lower left and right canine region.
Results
In this case, the mucosa turns pink without any signs of surface mucosal ablation except one spot between teeth 31, 32 (Fig. 9). Sub-surface coagulation of blood vessels gave a pink coloured appearance. There was very mild post-op discomfort for about one hour after loss of the anaesthetic effect. No analgesics were required as the discomfort feeling disappeared fast.
Laser peeling of mucosa between 31 and 41 was noted during photograph taking at one day post-op review (Figs. 10 and 11). The three day post-op photo taken by the patient showed that the laser peel disappeared with new gingival mucosa formation (Fig. 12). Two weeks post-op showed complete recovery of the gingival mucosa without melanin pigmentation (Fig. 13).
Discussion
There has not been much information on this new wavelength. From Fig. 7, the absorption coefficient for haemoglobin is estimated at 7 x 10²/cm–1 and 10³/cm-1 for melanin. Penetration depth for haemoglobin is calculated at 140 μm and 10 μm for melanin. The penetration depth of haemoglobin and melanin with 810 nm are 2 mm and 0.1 mm respectively. Furthermore, scattering curve showed higher tissue scattering effect with 445 nm than 810 nm.
In comparison with the NIR diode lasers, the absorption of collagen and scattering increases in the blue light spectrum. In view of the above together with high absorption of haemoglobin and melanin to 445 nm, 1 W cw was used. Power density of 88 W/cm² (Fig. 14) delivering at 88 J/cm² fluence at 2 mm distance was calculated. Although the power density of 1,697 W/cm² (Fig. 15) delivering 543 J/cm² fluence used by 810 nm is higher than 445 nm delivered, the eight years post-op showed stable gingival contour with no recession (Fig. 6). The understanding of the optical properties of the wavelength, power parameters and laser tissue interaction are important information for the clinician to achieve the desired treatment outcome.
Conclusion
The use of 1 W cw 445 nm blue diode laser is effective in non-ablative depigmentation of oral mucosa. This non-ablative technique provide immediate aesthetic result with very short procedure time. To the author’s knowledge, this is the first case presented using 445 nm for melanin depigmentation.
Editorial note: A list of references is available from the publisher. Dr Luk reports no potential conflicts of interest. This article was published in the Cosmetic dentistry beauty & science No. 1/2017.
GOTHENBURG, Sweden: As the popularity of snus continues to grow, so too does the diversity of products available, which now include portion-packed snus and ...
Digitalisation has penetrated the dental implantology field extensively, considerably changing how patients are treated. Widespread access to digital tools ...
GREIFSWALD, Germany: Periodontitis has been associated with a risk for Alzheimer’s disease in previous studies. The long-term Study of Health in Pomerania...
According to the Classification System for Periodontal Diseases and Conditions (1999)(1), drug-induced gingival enlargement belongs to the group of gingival...
In recent decades, we have witnessed the substantial development and expansion of the use of fixed orthodontic appliances. While their application has many ...
Complete dentistry is the aesthetic and occlusal harmonisation of the teeth with the gingiva, lips, and face. As dentists, we can directly affect the ...
MUNICH, Germany: As the use of artificial intelligence (AI) becomes increasingly established in dentistry, questions have arisen regarding the justification...
BILBAO, Spain: While the systemic health implications of neuropsychiatric disorders are well recognised, their connection to poor oral health—in ...
CHICAGO, US: The American Dental Association (ADA) has issued updated recommendations on dental imaging, reinforcing that radiographs and CBCT scans should ...
SYDNEY, Australia: Research shows that facial attractiveness can significantly influence social decisions, including those related to dating, recruitment ...
Live webinar
Tue. 12 May 2026
1:00 pm EST (New York)
Live webinar
Thu. 14 May 2026
12:00 pm EST (New York)
Live webinar
Thu. 14 May 2026
2:00 pm EST (New York)
Prof. Hani Ounsi DDS PhD FICD
Live webinar
Tue. 19 May 2026
11:00 am EST (New York)
Live webinar
Tue. 19 May 2026
1:00 pm EST (New York)
Prof. Dr. med. dent. Ivo Krejci
Live webinar
Wed. 20 May 2026
7:00 am EST (New York)
Dr. Graham Carmichael BDSc (Hons), DClinDent (Pros), FRACDS, Dr. Robert Gottlander DDS
Live webinar
Wed. 20 May 2026
9:00 am EST (New York)
To post a reply please login or register