Search Dental Tribune

The authors demonstrated that the implementation of digital workflows, such as merging the intra-oral scans, provides better information on the thickness of the gingiva during dental implant treatment. (All images: Ariel Savion et al.)

Digitalisation has penetrated the dental implantology field extensively, considerably changing how patients are treated. Widespread access to digital tools has expedited clinical research focused on peri-implant soft tissue.1–4 CBCT uses a digitalisation process to provide a 3D visualisation of the bone and soft tissue;3,5 however, the radiation emitted drastically limits its use in clinical research. Intra-oral scanning generates an accurate image of the external outline of the gingiva, and the absence of emitted radiation and its user friendliness make it a valuable tool in clinical research. The efficacy of soft-tissue augmentation protocols can be observed by comparing intra-oral scans (IOSs) taken before and after treatment and following changes over time.6–9

IOSs are easily superimposed and matched on dedicated software with the help of a specific digital feature. It is then possible to follow locally the evolution of the external outline of the gingiva and translate it into gained or lost tissue dimensions and volumes. However, these merging protocols can only convey the relative changes of the soft-tissue dimensions. For example, Lilet et al.10 showed that implementation of a custom-made sealing socket abutment, combined with peri-implant socket filling, led after one year to a –0.66±0.79 mm change in the buccal gingival envelope 1mm below the gingival margin. With this methodology, however, they were unable to determine whether the lost buccal width occurred to a 1, 2 or 3 mm soft tissue substrate.

Determination of the absolute horizontal and vertical dimensions of the supracrestal peri-implant soft tissue can be obtained by probing with endodontic files,11 by histology12–14 or by CBCT scans;5,15 none of them can be used extensively and without limitation. The dental implant scientifc community is still looking for an affordable methodology that gives direct access to these critical dimensions. Recently, a group of authors described a straightforward methodology that leads to a direct reading of the dimensions of the gingiva at the level of the healing or prosthetic abutment.16–18 They found that introducing the STL files of the implantrelated components, that is, the healing abutment, the prosthetic abutment and the prosthesis, into the merged IOSs rendered the gingiva transparent. It was then possible to read the height and width of the peri-implant gingiva at every step of the treatment.

The aim of the present report is to illustrate, using a case study of an edentulous site in the posterior maxilla, some of the possibilities that this enhanced digital merging workflow creates for clinical research.

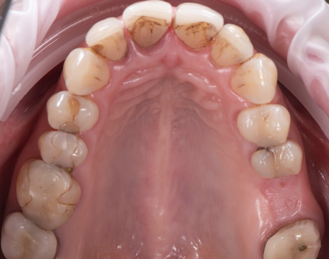
Fig. 1a: Pre-op situation. Occlusal view of the edentulous first left molar site of the maxilla.

Fig. 1a: Pre-op situation. Occlusal view of the edentulous first left molar site of the maxilla.

Fig. 1b: Pre-op situation. Buccal view of the edentulous site.

Fig. 1b: Pre-op situation. Buccal view of the edentulous site.

Fig. 1c: Pre-op situation. Sagittal section of the site taken from the CBCT examination.

Fig. 1c: Pre-op situation. Sagittal section of the site taken from the CBCT examination.

Description of the case

A 45-year-old female patient attended for restoration of her missing left first molar in the maxilla (Fig. 1a). The patient had no history of smoking or alcohol consumption at the time of treatment and did not have any medical conditions that would affect implant therapy. Clinical examination showed a moderate loss of the local buccal convexity and height of the gingival margin (Fig. 1b). The radiographic examination revealed a residual bone height of 5.25–7.10 mm below the maxillary sinus (Fig. 1c). These conditions allowed placement of an 8 mm long implant after crestal sinus lift involving osseodensification burs.19

The treatment plan called for restoration of the edentulous site with an implant-supported crown after a one-stage surgery and a transmucosal healing period of ten weeks. The patient signed an informed consent allowing her data to be used for research purposes.

Surgical steps

After extra-oral disinfection of the surgical site, the patient was instructed to rinse with a 0.12% chlorhexidine solution for 1 minute. Antibiotics were not prescribed either before surgery or afterwards because of the use of laser for local decontamination.20

The osteotomy was prepared according to an osseodensification crestal sinus lift protocol.19 A 4.2 × 8.0 mm conical connection implant (C1, MIS Implants Technologies) was placed in a slightly sub-crestal position with a 60 Ncm insertion torque. A modified palatal roll flap technique with two intrasulcular incisions involving the adjacent mesial and distal teeth was performed21 with the aim of increasing the width of the soft tissue and improving the buccal tissue volume. De-epithelialisation was realised with a Er,Cr:YSGG Laser, photon emission at 2.78 µm (Waterlase iPlus, BIOLASE) and a gold handpiece with the new Z-type glass MZ6 tip (0.6 × 17.0 mm) using the following parameters: an average output power of 2.5 W, a pulse duration of 60 µs (H-mode), a pulse repetition rate of 50 Hz and a water spray (air: 20%; water: 40%). The graft was rolled under the buccal flap. It was allowed to heal standing against a 4.8 × 4.0 mm anodised concave healing abutment affixed to the implant. The flap was repositioned buccally and sutured with two simple interrupted sutures (5/0 GLYCOLON, Resorba Medical) on the mesial and distal sides. Primary closure of the occlusal gingiva was not intended. The monofllament sutures were removed after five days to promote a healing process of secondary intention.

Ten weeks after surgery, the patient returned for an osseointegration check of the implant (Fig. 2a). The usual clinical and radiographic examinations were performed, and it was found that the graft had healed uneventfully and provided a satisfactory contour to the peri-implant soft tissue. In addition, the implant was biomechanically tested, as recommended by several authors,22–25 with a 30 cm reverse torque.23 The manufacturer recommends a 30 Ncm torque for attachment of the prosthetic components.

Prosthetic steps

The healing abutment was removed to check the health of the gingiva (Fig. 2b) and start the prosthetic steps. An IOS (TRIOS 4, 3Shape) was taken with a scan body affixed to the neck of the implant. The STL file was sent to the dental laboratory for CAD/CAM processing. A monolithic zirconia crown was milled (Roland DGA) and prepared based on the digital design. The crown was cemented on a 1.5 mm high titanium base (Ti-Base; MIS Implants Technologies). The crown with the Ti-Base was screwed in by applying the 30 Ncm torque recommended by the manufacturer. Pressure of the crown on the gingival margin provoked a transient buccal and palatal bleaching (Figs. 2c–f).

Merging procedures

Before surgery, a CBCT scan was obtained to analyse the local bone features and determine the various anatomical obstacles to be aware of. IOSs were subsequently taken at the various milestones:

  • before surgery (IOS #0);
  • at the end of the healing period with the healing abutment in place (IOS #1); and
  • at prosthesis delivery, after pressure on the gingival margin had resolved (IOS #2).

The digital merging involved the STL files of the healing abutment, the prosthetic abutment and the crown. These were provided by the manufacturer and the dental laboratory, respectively. The digital superimposition sequence was performed with exoplan software (exocad). The mere merging of IOSs, as reported by other authors,6,7 does not enable measurement of the dimensions of the peri-implant soft tissue (Fig. 3). It is only after merging the IOSs with the STL file of each implant-related component that the height and width dimensions of the gingiva can be read.16–18

Fig. 3: Standard superimposition of the intra-oral scans taken before surgery (yellow line), at soft-tissue healing (green line) and at prosthesis delivery (purple line) on the pre-op CBCT scan (the right side is the buccal side).

Fig. 3: Standard superimposition of the intra-oral scans taken before surgery (yellow line), at soft-tissue healing (green line) and at prosthesis delivery (purple line) on the pre-op CBCT scan (the right side is the buccal side).

Fig. 4a: Implementation of the enhanced merging methodology at the end of the soft-tissue healing. Superimposition of the intra-oral scan taken before surgery (yellow line) and the one taken at soft-tissue healing (green line). In all the following figures the bony background of the CBCT is the one obtained before surgery; it is not representative of the crestal bone situation afterwards.

Fig. 4a: Implementation of the enhanced merging methodology at the end of the soft-tissue healing. Superimposition of the intra-oral scan taken before surgery (yellow line) and the one taken at soft-tissue healing (green line). In all the following figures the bony background of the CBCT is the one obtained before surgery; it is not representative of the crestal bone situation afterwards.

Fig. 4b: Merging of the STL file of the healing abutment (white line)

Fig. 4b: Merging of the STL file of the healing abutment (white line)

Fig. 4c: Drawing of the shape of the peri-implant gingiva around the healing abutment (red lines) after merging of the STL file of the implant.

Fig. 4c: Drawing of the shape of the peri-implant gingiva around the healing abutment (red lines) after merging of the STL file of the implant.

First, IOS #0 was merged with the CBCT scan and then with IOS #1 (Fig. 4a). At this stage, the STL file of the healing abutment was then merged with these (Fig. 4b). The implant was then added to the file, and the shape of the gingival margin, including the gingival seal, was identified (Fig. 4c). The superimposition enabled measurement of the height and width of the gingiva at the end of the healing period. After prosthesis delivery, IOS #2 was superimposed on the previous set of IOSs. The STL files of the crown, of the Ti-Base and of the implant were then merged sequentially. This superimposition enables measurement of the dimensions of the periimplant soft tissue at the time of prosthesis delivery (Fig. 5).

Fig. 5a:  Implementation of the enhanced merging methodology at prosthesis delivery. Superimposition of the intra-oral scan taken at prosthesis delivery (purple line) on the pre-op CBCT scan (the right side is the buccal side).

Fig. 5a: Implementation of the enhanced merging methodology at prosthesis delivery. Superimposition of the intra-oral scan taken at prosthesis delivery (purple line) on the pre-op CBCT scan (the right side is the buccal side).

Fig. 5b: Merging of the STL file of the crown (white line) in addition.

Fig. 5b: Merging of the STL file of the crown (white line) in addition.

Fig. 5c: Merging of the STL file of the prosthetic abutment (thin white line) with the previous superimposition.

Fig. 5c: Merging of the STL file of the prosthetic abutment (thin white line) with the previous superimposition.

Fig. 5d: Merging of the STL file of the implant according to its height.

Fig. 5d: Merging of the STL file of the implant according to its height.

Reading of the vertical and horizontal dimensions of the gingiva

Before surgery

Reading the height of the gingiva at the crest and on the buccal and palatal sides of the abutment was made possible by superimposing IOS #0 and IOS #1 on top of the CBCT scan (Fig. 6a). This helped determine the height of the gingiva at the implant site.

At the end of the healing period

Merging of the STL flle of the healing abutment and of the implant with the IOS superimposition set provided access to the gingival height (Fig. 6b) and width (Fig. 6c) at the end of the healing period. The changes in gingival height induced by the flap surgery on the buccal and palatal sides were measured by comparing IOS #0 and IOS #1. The gingival height down to the implant neck was also measured on both sides. Similarly, changes in the gingival width at the end of the healing period were followed at various levels of the healing abutment. In addition, the entire thickness of the gingiva resulting from the modified palatal roll flap technique could be determined. The gingival width at the level of the implant neck was 4.87 mm.

Fig. 6a: Dimensions (mm) of the gingiva at the end of the healing period. Comparison, before surgery (yellow line) and at the end of healing (green line), of the gingival height (GH) measured at the middle of the crest and on the buccal and palatal sides of the healing abutment.

Fig. 6a: Dimensions (mm) of the gingiva at the end of the healing period. Comparison, before surgery (yellow line) and at the end of healing (green line), of the gingival height (GH) measured at the middle of the crest and on the buccal and palatal sides of the healing abutment.

Fig. 6b: Measurement of the GH variables—change in GH (∆H) and GH at the level of the implant neck (GHNeck) on the buccal and palatal sides by the end of the soft-tissue healing. The surgical technique did not increase the GH on the buccal side, and GH on the palatal side decreased slightly. Red lines = the limits of the healing abutment.

Fig. 6b: Measurement of the GH variables—change in GH (∆H) and GH at the level of the implant neck (GHNeck) on the buccal and palatal sides by the end of the soft-tissue healing. The surgical technique did not increase the GH on the buccal side, and GH on the palatal side decreased slightly. Red lines = the limits of the healing abutment.

Fig. 6c: Measurement of GW by the end of healing and of the change in gingival width (∆GW) on the buccal side from before surgery until the end of the healing period. GW was measured at 1 mm (GW1mm) and 2 mm (GW2mm) from the gingival margin and at the level of the implant neck (GWNeck).

Fig. 6c: Measurement of GW by the end of healing and of the change in gingival width (∆GW) on the buccal side from before surgery until the end of the healing period. GW was measured at 1 mm (GW1mm) and 2 mm (GW2mm) from the gingival margin and at the level of the implant neck (GWNeck).

The addition of IOS #2 and the STL file of the crown and of the Ti-Base to IOS #1 showed precisely to what extent the gingiva was compressed apically at crown delivery (Fig. 7a) and how much gingival height remained up to the level of the neck of the implant (Fig. 7b). It was then possible to visualise the changes induced by the fastened crown at the level of the gingival margin and the biological seal (Fig. 7c). Both the shape and the dimensions of the gingival seal had changed. On the buccal side, 0.34 mm of the external slope of the sulcus was compressed under the crown. On the palatal side, it was 0.95 mm of the keratinised epithelium that would undergo histological modification in order to form the sulcus and the soft-tissue sealing structure. The final gingival width and its changes from the previous stages could also be determined (Figs. 7d–f).

Fig. 7a: Dimensions (mm) of the gingiva at prosthesis delivery. The prosthesis (white line) compressed the soft tissue as evident from the changes in the gingival height between the end of the healing (green line) and prosthesis delivery (purple line).

Fig. 7a: Dimensions (mm) of the gingiva at prosthesis delivery. The prosthesis (white line) compressed the soft tissue as evident from the changes in the gingival height between the end of the healing (green line) and prosthesis delivery (purple line).

Fig. 7b: Height available for the gingiva down to the level of the neck of the implant.

Fig. 7b: Height available for the gingiva down to the level of the neck of the implant.

Fig. 7c: Comparison of the shape and estimated length of the gingival seal at the end of healing (red line) and at prosthesis delivery (blue line). On the palatal side (left side of the image), the gingival seal at prosthesis delivery under the crown is larger by 0.95 mm than the one obtained at the end of the healing. Yellow dotted lines = top of the gingival margin and beginning of the sulcus.

Fig. 7c: Comparison of the shape and estimated length of the gingival seal at the end of healing (red line) and at prosthesis delivery (blue line). On the palatal side (left side of the image), the gingival seal at prosthesis delivery under the crown is larger by 0.95 mm than the one obtained at the end of the healing. Yellow dotted lines = top of the gingival margin and beginning of the sulcus.

Fig. 7d: Measurement of the gingival width (GW) at various levels of the abutment, according to the various steps of implant therapy. Yellow line = pre-op. Green line = at the end of the healing period. Purple line = at prosthesis delivery. The numbers for each step are shown in the respective line colours.

Fig. 7d: Measurement of the gingival width (GW) at various levels of the abutment, according to the various steps of implant therapy. Yellow line = pre-op. Green line = at the end of the healing period. Purple line = at prosthesis delivery. The numbers for each step are shown in the respective line colours.

Fig. 7e: Measurement of the negative change in GW on the buccal side between the end of the healing period and prosthesis delivery at the level of the sulcus (∆GW) and the most apical level of the crown (∆GW1mm). GW lost 1.57 mm at the level of the sulcus.

Fig. 7e: Measurement of the negative change in GW on the buccal side between the end of the healing period and prosthesis delivery at the level of the sulcus (∆GW) and the most apical level of the crown (∆GW1mm). GW lost 1.57 mm at the level of the sulcus.

Fig. 7f: GW at prosthesis delivery measured at 1 mm from where the sulcus begins (GW1mm) and at the level of the implant neck (GWNeck). Despite a loss of thickness, GW was still above 3 mm.

Fig. 7f: GW at prosthesis delivery measured at 1 mm from where the sulcus begins (GW1mm) and at the level of the implant neck (GWNeck). Despite a loss of thickness, GW was still above 3 mm.

Discussion

The aim of this report was to describe, through a clinical case, the type of dimensional data that it is possible to obtain from the peri-implant soft tissue with an innovative digital protocol that was very recently published16–18 and that cannot be obtained otherwise. The additional clinical effort to gain this data is minor: it requires performing three IOSs and obtaining the STL files of the various items from the manufacturer and the dental laboratory.

The preoperative gingival height can be read by merging IOS #0 with the CBCT scan.1–3 Determining gingival height during implant planning is important because this variable can affect how deep the implant should be placed sub-crestally without risking the implant neck being insufficiently surrounded by bone.26, 27 The routine way to measure the thickness of the gingiva is with a periodontal probe on the crest of the ridge after flap elevation;26 however, the actual place to determine the thickness is where the biological width (BW) concept applies, that is, at the emergence of the gingival margin in contact with the healing abutment. Szmukler-Moncler et al. showed that determination of the thickness at the crest does not provide an accurate estimate of the gingival thickness measured at the buccal and palatal sides of the healing abutment.28

In the present case, the 2.38 mm measured at the crest suggests that the gingiva is thicker than 2 mm and might be classified as thick.26,29 However, at the place it should be measured, taking into account the biological width concept, the initial gingival heights on the buccal and palatal sides of the abutment are 1.73 mm and 1.41 mm, and therefore the gingiva should be characterised as thin. Consequently, it makes sense to anticipate crestal bone loss down to at least the implant neck in order to achieve acceptable dimensions of the biological width.

At the end of the healing period, it appeared that the modified roll technique did not affect the gingival height; however, it did increase the width of the buccal gingiva significantly. The gain in width was 1.84 mm and 1.73 mm at 1.0 mm and 2.0 mm below the gingival margin, respectively, and the overall width reached 4.66 mm and 4.87 mm. Today, this digital protocol is the only way to access these clinical variables in a non-invasive way. Placement of the crown instantly and substantially modified the gingival height by 0.70–1.33 mm on the buccal side and by 0.54–1.44 mm on the palatal side. Pressure on the gingiva was clinically evidenced by bleaching of the buccal and palatal gingiva. Again, only this digital methodology is able to provide such a precise insight into the resulting dimensional changes. One can legitimately assume that this compression of the gingiva might lead to a subsequent rearrangement between the compressed soft tissue and the underlying crestal bone and in turn to bone resorption. After delivery of the crown, the digital superimposition showed that part of the width gained by the end of soft-tissue healing by the time-consuming modified palatal roll technique had vanished.

Conclusion

The inventive step of the present digital methodology consists of merely merging the IOSs that are typically obtained 6,7 with the STL files of the various implant-related items.16-18,28 This single addition brings about an illuminating difference, as it renders the gingiva transparent, enabling reading of the vertical and horizontal dimensions of the peri-implant gingiva and their changes at every level of the abutment and at every stage of the treatment. This is otherwise unattainable in clinical research.

Implementation of this digital workflow in clinical research will help refine the data acquired from protocols and techniques of soft-tissue thickening, providing information on not only the tissue thickness that has been gained but also the entire thickness of the gingiva.

Editorial note:

This article was published in digital—international magazine of digital dentistry vol. 4, issue 3/2023. The complete list of references can be found here.

Tags:
To post a reply please login or register
advertisement
advertisement