Complete dentistry is the aesthetic and occlusal harmonisation of the teeth with the gingiva, lips, and face. As dentists, we can directly affect the aesthetics of the teeth and gingiva. However, we can also indirectly affect the lips and face by how we design teeth to sit in the oral cavity.
It is paramount in an aesthetic case to have healthy gum tissue that enhances the beauty of a full smile makeover. The best, quickest, healthiest, and most profitable way of treating gum disease is by laser therapy.
Laser Assisted New Attachment Procedure (LANAP) is the standard of care for periodontal laser therapy and beyond that of conventional treatment, which amputates, leading to results that can be less than desirable. LANAP is a patented soft-tissue technique specifically utilising the Periolase MVP-7 Nd:YAG (1064 nm wavelength) laser (Millennium Dental Technologies Inc.) with the aim of regeneration rather than traditional resection of the gum tissue, which is done solely for pocket maintenance.
The patient, a woman in her early 60s, came to my office because she was having problems with a bridge (lower left) that had recently been replaced; she was unable to chew well. During the discussion she revealed that she was also having problems on the lower right, indicating that the problem was not local but one that involved the bite (Fig. 1).
On further examination, it was revealed that she not only had occlusal problems, but she also had moderate periodontitis throughout with bone loss especially impacting the lower anteriors. The patient had worn away her teeth and, as a result, suffered from severe malocclusion.
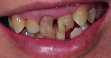
Figs. 4–5: Maloccluded smile with multiple diastemas (Fig. 4). Pre-op intraoral view: note the severe overbite and canted maxilla (Fig. 5).
She had large diastemas between the upper and lower centrals with little occlusal guidance. Her temporal mandibular joints demonstrated hypermobility while opening and closing. The patient also had ill-fitting porcelain fused to metal crowns on teeth 3–5 and 31, 30, 12, 21 with metal exposure and a new zirconium bridge with flat occlusion on teeth 18–20. All prosthesis had poor colour matching and flat occlusion.
The periodontitis and bone loss were partially due to a traumatic bite that improperly distributed the occlusal forces laterally rather than perpendicularly so that the loading forces were forcing the lower anteriors to splay (Figs. 2–5).
In order to inhibit the mechanical progression of the periodontitis and bone loss, and prevent the teeth from splaying further, it was decided to completely restore the teeth to a fully functional platform. The patient was at first intimidated by the idea of a complete smile makeover, and yet she was at the same time ready for this life-changing event. The patient understood that the aesthetics would be built functionally so that the occlusion, teeth, arches and periodontium would support each other and thereby help keep the entire oral cavity healthy.
Having a functionally beautiful smile not only affects a patient’s self-esteem, it also has an effect on the health of the head, neck, and body as the patient tends to have better posture and better body integration, because aligned jaws might proprioceptively affect the body in space. Although the patient’s main concern was dental health, the added benefit of a gorgeous aesthetics appealed to her greatly.
Due to her severe malocclusion, the patient’s habitual centric bite could not be used as the guide for her smile-makeover. The proper functional height for the patient’s teeth needed to be found and established. The patient had ground down her posterior teeth and much of the forces of mastication were pathologically loading on the lower anteriors, causing them to splay and repetitively injuring the gingiva.
LANAP’s uniqueness allows for the prepping and placing of restorations without having to wait an inordinate amount of time for the gums to heal as the gingiva is not cut and sutured; therefore, healing is quicker, less traumatic and aesthetically more pleasing.
The patient was neuromuscularly tested using the K7 Evaluation System (Myotronics) in order to determine where the bite ought to be before restoring. The patient received a fixed orthotic/occlusal device that was worn for approximately six months in order to relax the pathologic forces, arrive at the correct vertical dimension for the patient and gradually retrain the neuromuscular defects. The splint would also help to abate any negative forces affecting the gingiva (Figs. 6–7).
Figs. 6–7: Phase 1 with lower orthotic (Fig. 6). Phase 2 with lower orthotic and provisionals on the uppers (Fig. 7).
The patient would be restored with an eye toward the correct Shimbashi measurement and with golden proportion principles in mind. A myocentric position is derived from the orthotic, and the use of a transcutaneous electrical nerve stimulator (TENS) that erases the habitual bite and helps to create healthy neuromuscular conditions, which inhibits occlusal breakdown.
She was tested again a few months later with the K7 to evaluate the temporal mandibular/neuromuscular complex with the occlusal device determining the health of the new vertical on the entire system. At approximately four months after the mandibular trajectory was found, the upper teeth were ideally levelled with the provisionals to correct the maxillary cant by proportioning the anteriors canine to canine and harmonising them with the posterior curve of Wilson.
The patient received LANAP on all quadrants using the Periolase MVP-7 laser for pockets that were between 4–7 mm, approximately three weeks before the orthotic was fixed to the lower arch. Had this been done conventionally, the patient would have needed to wait at least three months or more for the tissue to heal. Dental lasers are site specific, biostimulative, allow for excellent hemostasis, and are intrinsically antiseptic and bactericidal on contact.
Figs. 8 & 9: Intraoral view of new smile (Fig. 8). New functional smile (Fig. 9).
The patient received 28 units made of a pressible ceramic (IPS Empress Esthetic, Ivoclar Vivadent). The zirconium bridge was not removed as it was new, in good condition and the occlusion and stability could be added directly on to it by building it up. The patient’s vertical dimension was permanently raised with the prosthetics throughout, to compensate for the collapsed occlusion. This altered the facial structure and smile by enhancing how the teeth, lips gums and face work together as a whole (Figs. 8–10). Also, the patient benefited from a healthier oral cavity. Two years later, there is bone regeneration in the lower anteriors (a benefit of LANAP), the pockets have disappeared and the patient is enjoying occlusal health with aesthetic accompaniment.
Fig. 10: The patient two years later.
Editorial note: This article was originally published in Cosmetic Tribune Vol. 1, No. 3, 2008.
LONDON, England: The inextricable relationship between a person’s oral and overall health has the potential to radically transform the dental industry and...
For the longest time, I have been talking about how important it is to practise Slow Dentistry. Never before has it made more sense to take the appropriate ...
HATTERSHEIM AM MAIN, Germany: No matter how clean and sterile your dental practice is, contamination during the try-in stage of prosthetic restorations is ...
LEIPZIG, Germany: Under the slogan “Health begins with healthy gums” the European Federation of Periodontology (EFP), joined by 29 affiliated European ...
Shaping the soft-tissue contour around implants with provisional resin crowns after implant placement has become a frequently used technique in implant ...
The Dawson Academy, a provider of postgraduate dental education, has launched a new online campus and opened registration for its inaugural Fundamentals of ...
In recent decades, we have witnessed the substantial development and expansion of the use of fixed orthodontic appliances. While their application has many ...
BRISBANE, Australia: While some dental clinics are still using conventional dental radiographs, digital dental radiographs are becoming increasingly popular...
FARMINGTON, Conn., U.S.: Numerous studies have established that oral health can play a significant role in systemic health. A new review study has found ...
Education
Live webinar Tue. 12 May 2026 1:00 pm EST (New York)
LEIPZIG, Germany: Gum Health Day 2026 marks the start of a three-year global awareness campaign by the European Federation of Periodontology (EFP) under the...
Most practices believe that excellence is built through outcomes—achieved through technology, innovation, reputation or visibility. In reality, excellence...
XI’AN, China: As patients increasingly turn to artificial intelligence (AI) tools for oral health advice, questions arise not only about the reliability ...
To post a reply please login or register