TEL AVIV, Israel: Reconstructing bone defects that are too large to heal spontaneously remains a great challenge for clinicians. Therefore, the development of biocompatible materials that stimulate and accelerate bone formation are of great importance. Researchers from Tel Aviv University (TAU), in collaboration with the University of Michigan Ann Arbor in the US, have developed and successfully tested a hydrogel that corrects large bone defects in a laboratory model and will now move to clinical trials as a next step.
Substantial bone loss might occur as a result of tumour resection, tooth extraction, physical trauma or periodontal disease. In order to perform successful implant placement, a sufficient amount of bone is necessary for the osseointegration of the implant. According to Dr Lihi Adler-Abramovich, associate professor at the TAU’s School of Dental Medicine, up until now clinicians have used additional bone material from a different part of the body—a very complex medical procedure. Another option is adding bone substitutes, which might result in an immune response.
Human cells are surrounded by an extracellular matrix that provides them with structural support. All the different types of tissues in the body have a specific extracellular matrix, consisting of suitable substances with the correct mechanical properties. Therefore, the researchers developed a hydrogel that mimics the natural substances in the extracellular matrix of bones so that the new material would stimulate bone growth and accelerate the healing process, said Dr Adler-Abramovich in a press release.
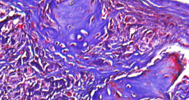
The research team tested the properties of the hydrogel first in vitro and then in vivo on animal models having large bone defects, which they monitored for two months. It was found that the application of the hydrogel resulted in 93% bone restoration in the in vivo model. In addition, the newly formed bone was well integrated and indistinguishable from the surrounding native tissue, meaning that the hydrogel-derived bone had a similar bone density as the original bone. “To our delight, the bone defects were fully corrected through regeneration, with the bones regaining their original thickness, and generating new blood vessels,” said Dr Adler-Abramovich.
The researchers concluded that the simple production, competitive production price and the easy handling of the hydrogel—both in the form of an injectable material or customised construct—point out its potential for application in clinical settings for bone regeneration.
Dr Adler-Abramovich emphasised: “I hope that in the future the hydrogel we have developed will enable faster, safer, and simpler bone restoration.”
The study, titled “Immunomodulatory fibrous hyaluronic acid-Fmoc-diphenylalanine-based hydrogel induces bone regeneration”, was published online on 15 September 2022 in the Journal of Clinical Periodontology, ahead of inclusion in an issue.
Tags:
LOS ANGELES, U.S.: Researchers from the University of California, Los Angeles School of Dentistry have developed a new hydrogel that shows high porosity and...
GUANGZHOU, China: Dental pulp regeneration has been a great challenge to researchers in the field of endodontics for decades. It has been widely regocnised ...
Live webinar
Thu. 14 May 2026
12:00 pm EST (New York)
Live webinar
Thu. 14 May 2026
2:00 pm EST (New York)
Prof. Hani Ounsi DDS PhD FICD
Live webinar
Tue. 19 May 2026
11:00 am EST (New York)
Live webinar
Tue. 19 May 2026
1:00 pm EST (New York)
Prof. Dr. med. dent. Ivo Krejci
Live webinar
Wed. 20 May 2026
7:00 am EST (New York)
Dr. Graham Carmichael BDSc (Hons), DClinDent (Pros), FRACDS, Dr. Robert Gottlander DDS
Live webinar
Wed. 20 May 2026
9:00 am EST (New York)
Live webinar
Wed. 20 May 2026
1:00 pm EST (New York)
Prof. Dr. med. dent. Tim Joda PhD, MSc, eMBA
To post a reply please login or register