Search Dental Tribune

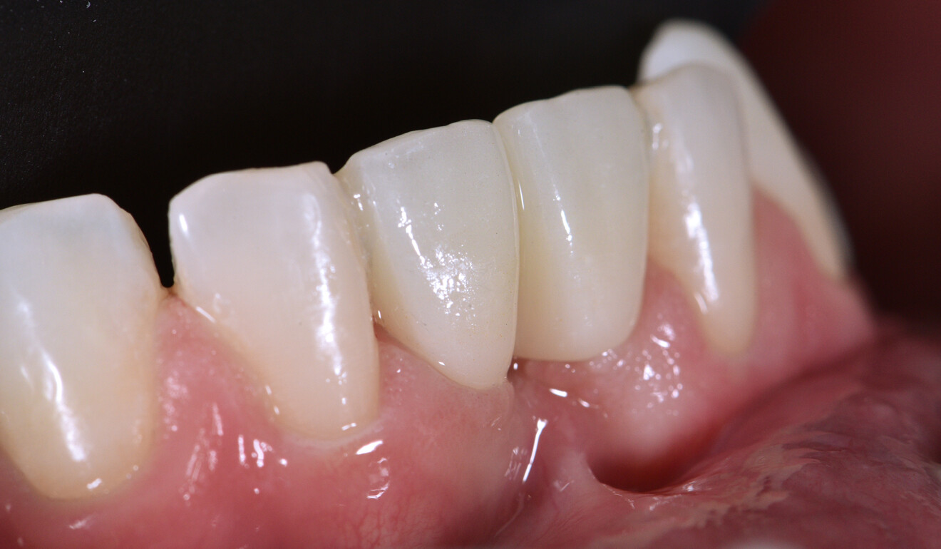
Fig. 1: Intra-oral scan of the initial situation. (All images: Drs Tom Boujenah and Olivier Boujenah)

Every day in our practices, we are faced with a choice between different treatment options. Experience, scientific literature and patient preferences all help guide us in one direction or another. The case presented in this article could have been managed using a different approach, but the solution chosen aligned with our philosophy: keep it simple while meeting the patient’s individual demands.

A patient with high aesthetic demands

A patient in his early twenties presented for consultation with a purely aesthetic concern. He had been wearing a double-retainer resin-bonded prosthesis (Fig. 1) for several years, placed owing to the congenital absence of the mandibular central incisors. Although the bridge had served him well functionally, the patient now wished to have it replaced with a more aesthetic solution that better matched the shade of his natural teeth.

After clinical and radiographic assessment, several treatment options were considered, taking into account the patient’s age, bone volume and aesthetic expectations. The final decision was to fabricate a new resin-bonded bridge, optimised in terms of both design and shade, using a multilayered zirconia to achieve a natural-looking result.

Preliminary steps in the dental office

A pretreatment impression of the bridge was taken before its removal, using the iTero Element 5D Plus intra-oral scanner (Align Technology; Fig. 2). These pretreatment scans, which are performed almost routinely for our prosthetic reconstructions, allow the laboratory to capture the volume of the existing prosthesis, replicate the shape (if suitable) and often visualise wear facets. This helps minimise or even eliminate the need for subsequent adjustments. The existing resin-bonded bridge was then removed, and the abutment teeth were prepared as minimally invasively as possible. Once again, the intra-oral scanner was used to take an impression of the situation (Fig. 3).

Fig. 2: Using the iTero Element 5D Plus for the intra-oral scan.

Fig. 2: Using the iTero Element 5D Plus for the intra-oral scan.

Fig. 3: Intra-oral scan after bridge removal and minimal preparation of the lingual surfaces of the abutment teeth.

Fig. 3: Intra-oral scan after bridge removal and minimal preparation of the lingual surfaces of the abutment teeth.

Production of the resin-bonded bridge

The scan was sent directly from the intra-oral scanner to the design4me platform (DIGISMILE) to carry out the digital design of the planned bridge (Figs. 4 & 5). A repositioning key was also designed by the dental technicians to provide for accurate seating of the bridge during cementation (Fig. 6). The material of choice was KATANA Zirconia YML (Shade B1; Kuraray Noritake Dental), a multilayered zirconia, owing to its outstanding physical and aesthetic properties—specifically its gradient in shade translucency and flexural strength (Fig. 7).

The production centre, DIGISMILE, subsequently received the STL files of the bridge and the positioning key, modelled by the dental technicians on the design4me platform (using exocad), ready for milling and printing. The laboratory was also provided with intra-oral photographs to replicate the surface texture, possible characterisations and shades. The bridge was milled using a DWX-52D milling machine (Roland DG). Polishing, surface finishing and staining were carried out using burs (Komet Dental) and MiYO liquid porcelain (Jensen Dental). The repositioning key meanwhile was 3D-printed with a NextDent 5100 printer (3D Systems) using surgical guide resin (Fig. 8).

Fig. 4: Design of the new bridge using exocad software (via the design4me platform).

Fig. 4: Design of the new bridge using exocad software (via the design4me platform).

Fig. 5: View of the soft tissue underneath the bridge, showing slight gingival compression.

Fig. 5: View of the soft tissue underneath the bridge, showing slight gingival compression.

Fig. 6: Repositioning key designed using exocad software (via the design4me platform).

Fig. 6: Repositioning key designed using exocad software (via the design4me platform).

Definitive placement in the dental office

The adhesive cementation procedure is one of the most critical steps of the whole workflow. Once the bridge had arrived in the dental office and try-in was successfully completed, the focus was on moisture control and the establishment of ideal bonding conditions. In this regard, strict isolation of the working field with saliva ejectors, cotton rolls and ideally a dental dam is essential, followed by pretreatment of the abutment teeth and of the retainer wings of the bridge.

Fig. 7: KATANA Zirconia YML disc (shade shown not representative of the case presented).

Fig. 7: KATANA Zirconia YML disc (shade shown not representative of the case presented).

Pretreatment of the tooth structure
Since the tooth preparation was strictly limited to the enamel, the following conservative bonding protocol was adopted:

  • etching with phosphoric acid for 30 seconds on the enamel surfaces;
  • thorough rinsing with water, followed by gentle drying without desiccating the enamel; and
  • application of PANAVIA V5 Tooth Primer (Kuraray Noritake Dental—this primer contains MDP, which is essential for reliable enamel–zirconia adhesion), followed by gentle drying after a 20-second waiting time.

Pretreatment of the wings of the bridge
Even though the intaglio surface had been sand-blasted in the laboratory, it was crucial to repeat this step in the clinic, and the protocol was as follows:

  • cleaning with KATANA Cleaner for 10 seconds (or ultrasonic cleaning for 5 minutes), followed by rinsing with water;
  • sand-blasting with 50 μm aluminium oxide at 200 kPa; and
  • application of CLEARFIL CERAMIC PRIMER PLUS (Kuraray Noritake Dental—this primer also contains MDP, providing for a proper chemical bond to zirconia) to the intaglio surface, followed by gentle drying.
Fig. 8: Milled bridge and 3D-printed key after polishing and staining.

Fig. 8: Milled bridge and 3D-printed key after polishing and staining.

Adhesive cementation
After all the surfaces had been pretreated appropriately, adhesive cementation proceeded as follows:

  • application of PANAVIA V5 Paste (Universal; Shade A2) to the intaglio of the bridge;
  • insertion of the bridge using the repositioning key;
  • light polymerisation for 3–5 seconds to stabilise the restoration;
  • removal of excess resin cement with a dental explorer (alternatively, excess may be removed immediately with a soft brush after seating); and
  • final complete light polymerisation according to the manufacturer’s instructions (Figs. 9 & 10).

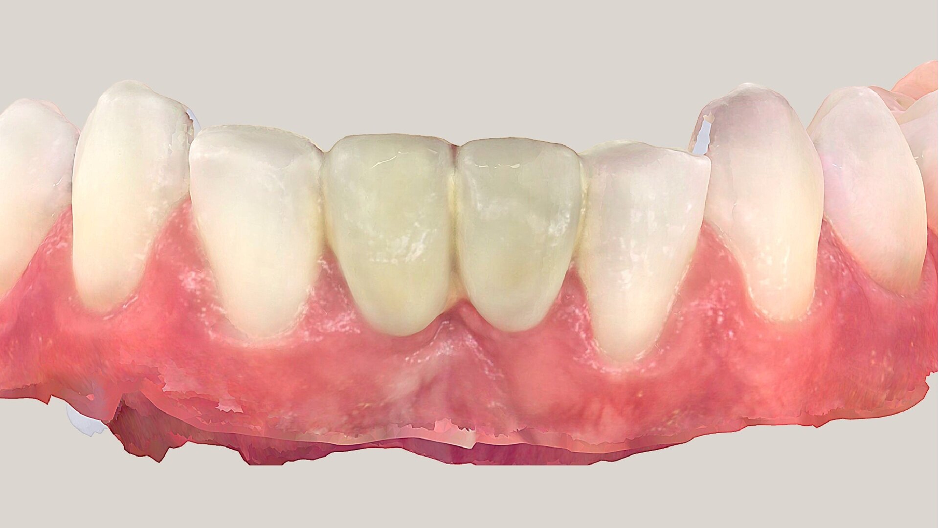
Treatment outcome

Thanks to the pretreatment scan and the overlay of the old bridge with the new one, no adjustments were necessary, although occlusion checking remained essential. At a recall after 18 months, gingival integration was satisfactory: the patient was able to use interdental brushes and maintain the prosthesis properly (Figs. 11 & 12).

Fig. 9: Clinical situation immediately after cementation.

Fig. 9: Clinical situation immediately after cementation.

Fig. 10: Lateral view of the restoration immediately after cementation.

Fig. 10: Lateral view of the restoration immediately after cementation.

Fig. 11: Clinical situation 18 months after definitive placement.

Fig. 11: Clinical situation 18 months after definitive placement.

Fig. 12: Lateral view at 18 months.

Fig. 12: Lateral view at 18 months.

Conclusion

In this clinical case, the choice to produce a double-retainer resin-bonded bridge almost identical in design to the previous one may seem conservative. However, this decision was supported by several factors: the patient’s good tolerance of the previous prosthesis, the tissue integrity of the abutment teeth and, most importantly, the opportunity to significantly improve aesthetics thanks to advances in materials and bonding techniques, allowing us to keep preparation minimal.

The new bridge, designed with highly aesthetic multilayer zirconia and bonded using a strict protocol, achieved a perfectly integrated and natural result without the need for more invasive options (therapeutic gradient). Furthermore, this approach invites the restorative team to consider emerging trends in resin-bonded bridge design, notably the option of two single-retainer cantilever bridges, which might be considered in similar cases in the future.

This case highlights the importance of individualised treatment planning, which does not rely solely on innovation, but on precise clinical assessment, attentive listening to patient needs and expectations, careful implementation of available tools, and the use of high-quality materials and protocols.

Topics:
Tags:
To post a reply please login or register
advertisement
advertisement