In today’s economy, we have seen dramatic changes in lifestyle, health and income. Because of this, we have seen patients delay dental treatment until their condition finally becomes very painful. Although patients may want full-mouth dental implant treatment with fixed restorations, this may not always be something that fits into their budget. As dental providers, we need to offer our patients a variety of different treatment options in order to restore their dentition to proper form and function. This article focuses on the steps involved in providing denture and overdenture treatment in addition to extractions, grafting and dental implant placement.
Case presentation
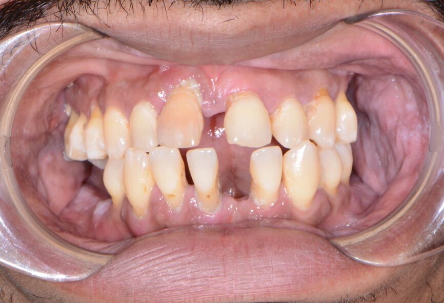
A patient presented to my practice for a consultation wanting to restore his smile. He complained of generalised discomfort in his mouth owing to the caries and periodontal disease that was readily apparent (Figs. 1 & 2). Previously, the patient had had teeth removed, on different occasions, when there was severe pain or infection. However, this time, he wanted to have a plan and be proactive in any suggested treatment that would fit into his budget. He had already been informed by several dental providers that he would probably need all his remaining teeth removed owing to his advanced periodontal disease, so he was aware that this might be the case.
Fig. 1: Retracted pre-op smile view.
Fig. 2: Retracted pre-op frontal view.
Fig. 3: CBCT scan obtained using the CS 8100 3D.
Fig. 4: Pre-op bite registration with Futar.
Fig. 5: Immediate dentures.
Fig. 6: Physics Forceps used for extractions.
Fig. 7: Area grafted and sutured.
Fig. 8: Try-in of immediate denture.
Fig. 9: Chairside soft denture relining material.
Fig. 10: Dispensing SOFRELINER TOUGH into immediate denture.
Fig. 11: Removing mandibular teeth.
Fig. 12: Remaining ridge after tooth removal.
Fig. 13: Levelling bone using a CBCT-based guide.
Fig. 14: Positioning implant surgical guide.
Fig. 15: Seven dental implant.
Fig. 16: Overdenture attachments inserted, followed by grafting material.
Fig. 17: Overdenture housings ready for the pick-up impression.
Fig. 18: Chairside hard denture relining material TOKUYAMA REBASE II.
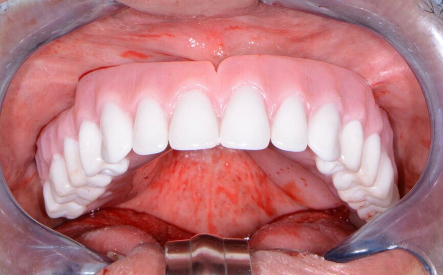
Fig. 19: Immediate post-op retracted view.
Fig. 20: Retracted post-op smile view.
Planning
At the consultation appointment, the patient was informed that we would require a CBCT scan to assist us in accurately diagnosing his dental conditions. Using the CS 8100 3D (Carestream Dental), a CBCT scan was taken so that we would be able to identify the areas of infection and decay, but also the areas remaining bone for dental implant placement (Fig. 3). Since the patient had expressed his concern about cost, our goal was not only to find a treatment modality that would restore aesthetics and function economically in terms of cost, but also to provide a treatment that could potentially be upgraded in the future.
Preliminary impressions for immediate dentures were obtained using Silginat (Kettenbach), a cost-effective elastomeric polyvinylsiloxane impression material. Orthodontic retractors were utilised in order to ensure that the patient was accurately biting in centric occlusion when capturing the bit registration with fast-setting Futar bite material (Kettenbach; Fig. 4). Photographs of the patient’s smile and midline were acquired in order to properly inform the dental laboratory (Advanced Implant Dental Lab) of any changes that were desired, including tooth position, tooth size and arch form for the immediate dentures (Fig. 5).
All risks, benefits and alternatives were fully described to the patient and any questions fully answered. Upon listening to the various treatment options, the patient decided to have all his remaining teeth extracted and those sites grafted. In the maxillary arch, the patient would be getting a complete denture, whereas in the mandibular arch, he would be getting an overdenture retained by four dental implants.
In order to assist the patient with this investment, financing options using a third-party payment option (Alphaeon Credit) were discussed. This consideration was a very important part of facilitating acceptance of his care, since it made the cost of treatment more economical.
Once anaesthesia was acquired, we started removing the teeth in the maxillary arch using the Physics Forceps (GoldenDent; Fig. 6). Since the Physics Forceps act like a Class I lever, the only force applied with the beak is on the lingual aspect of the tooth. With the beak positioned at the lingual cervical portion, the soft bumper is placed on the buccal alveolar ridge at the approximate location of the mucogingival junction. While the beak grasps the tooth, the bumper acts as the fulcrum, providing leverage and stability for the beak. Extraction is accomplished with slight wrist movement rotation in the buccal direction for about 30–60 seconds, depending on the length and curvature of the roots.
Once the teeth in the maxillary arch had been removed, any granulation tissue remaining within the sockets was removed using a curette (GoldenDent), and any sharp areas of the alveolar crest were levelled with a bone bur (GoldenDent). OsteoGen plugs (Impladent) were placed in each socket to facilitate bone growth within the sockets over a four- to five-month period for future implant placement if the patient desired. Using resorbable sutures, the OsteoGen plugs were further stabilised and the tissue sutured (Fig. 7).
The immediate maxillary denture was tried in to confirm passive placement as well as for a visual inspection of the patient’s midline (Fig. 8). Once this had been confirmed and the immediate denture had been fully seated, a self-autopolymerising silicone-based soft relining material (SOFRELINER TOUGH Medium, Tokuyama Dental) was used to line the inner aspects (Figs. 9 & 10). According to the manufacturer, SOFRELINER TOUGH is designed to provide long-lasting consistent relief with outstanding durability for up to two years, superb stain and odour resistance, and excellent adhesion to the denture.
Similar to what was done in the maxillary arch, the Physics Forceps were used to remove the remaining teeth in the mandibular arch (Fig. 11). The remaining sockets were curetted to remove any debris or granulation tissue. Once the sockets had been cleaned out, the bone levelling guide (Advanced Implant Dental Lab) was positioned over the mandibular ridge (Fig. 12). This bone levelling guide is used as a reduction guide to eliminate any undercuts while creating a levelled area with sufficient width for dental implant placement (Fig. 13). Once the ridge had been completely levelled to the height of this guide, the next layer, which was the implant surgical guide, was placed over it (Fig. 14). Using the MGuide Set (MIS Implants Technologies), the drilling sequence for four Seven (MIS Implants Technologies) dental implants was initiated. This computer-based planning system enhances both accuracy and effectiveness for a more ideal implant placement procedure. The drills in the MGuide kit are designed with built-in stoppers to allow precision preparation and placement to the planned depth and positions without the need for keys.
The four 3.75 × 13.00 mm Seven dental implants (Fig. 15) were torqued to the desired depth at approximately 50 Ncm. Once the implants had been fully inserted, four 5 mm high Zest LOCATOR attachments (Zest Dental Solutions) were inserted within the implants using the Zest tool. Using a torque wrench with the appropriate adapter, the Zest LOCATOR attachments were tightened to 30 Ncm (Fig. 16). The internal aspect of the dental implants having been sealed, bone grafting putty material (GoldenDent) was injected into any remaining voids in the bone (Fig. 17). Using resorbable sutures, primary closure was accomplished around the locations of the implants. In order to avoid tearing the sutures during the pick-up procedure of the Zest housings, small strips of C-fold towel were used to cover any exposed areas of the sutures. Since the bone had been levelled with the guide, there were no interferences detected between the denture base and attachments in the anterior portion of the immediate denture. Using TOKUYAMA REBASE II chairside hard denture relining material (Tokuyama Dental; Fig. 18), the female components of the Zest LOCATOR attachments would be picked up. Since this material is free of methyl methacrylate, it does not have a strong odour or taste, and it generates very minimal heat.
The first step in the pick-up process was to brush on a thin coat of TOKUYAMA REBASE II adhesive included in the TOKUYAMA REBASE II kit into the area of the overdenture attachments. This would enhance the chemical retention between the denture base and the hard relining or pick-up material. KY lubricant was applied to the surrounding surfaces of the denture to prevent unwanted adherence of excess material. Once the powder and liquid of TOKUYAMA REBASE II had been mixed, the material was placed into a plastic dispensing syringe and injected into the internal anterior portion of the mandibular immediate denture as well as on to the receptor attachments.
The prosthesis was held in position by the patient biting in centric occlusion (Fig. 19). After approximately 3 minutes, the overdenture with the incorporated retention caps was removed and any excess material was removed with a trimming bur. The bite of the maxillary immediate denture with soft relining opposing the mandibular overdenture was verified and any interference eliminated (Fig. 20).
Conclusion
As we see more and more patients presenting with dental issues requiring full-mouth rehabilitation, we need to offer a variety of different treatment modalities to accommodate their aesthetic and functional needs in addition to fitting their budget. Overdentures are a great treatment option for these patients, and they can later be upgraded to fixed restorations with additional dental implant therapy.
Editorial note: A list of references is available from the publisher. This article was published in digital–international magazine of digital dentistry Vol. 1, Issue 3/2020.
Tags:
To post a reply please login or register