The philosophy of prevention in all medical professions is increasing from a global perspective. In fact, prevention of chronic non-communicable diseases, the major burden of illness and disability in almost all countries in the world, has been strengthened in recent years.[1] The motivation is to ensure a better quality of life for people and to reduce public health expenditures.
In dentistry, periodontitis is one of the major chronic non-communicable diseases. World experts in periodontics and science have published several principles regarding the prevention of periodontal diseases.[2]
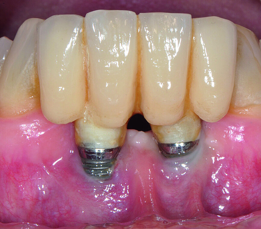
Peri-implantitis is a twenty-first-century version of periodontitis and increasing in occurrence as implant placement is increasing (Figs. 1–3). Like periodontitis, it is a biofilm-associated pathological condition, but instead of affecting periodontal ligaments and bone, it is characterised by inflammation in the peri-implant mucosa and subsequent progressive loss of supporting bone.[3] The main reasons for concerns in this area are an aetiology in which several risk factors can play a determining role[4] and a lack of a gold standard therapy. Primary and secondary preventative measures are really important to prevent mucositis and peri-implantitis and to avoid recurrences, but there are many details to consider before placing implants to mitigate iatrogenic problems. There are many different prosthetic solutions besides implants that dental professionals could propose to patients if consideration is given from the beginning to the entire situation. Implants may not always be in the best interest of the patient.
Fig. 1a: Implant in position #14 affected by peri-implantitis: periimplant probing a) with the prosthetic crown in situ and b) after prosthetic crown removal.
Fig. 1b: Implant in position #14 affected by peri-implantitis: periimplant probing a) with the prosthetic crown in situ and b) after prosthetic crown removal.
Fig. 2: Radiographic examination of the implant.
Fig. 3: Excess resin cement around the implant.
Fig. 4a: Peri-implant home care with a) AirFloss (Philips), b) X-Floss (ROEN) and c) interdental brush (TePe).
Fig. 4b: Peri-implant home care with a) AirFloss (Philips), b) X-Floss (ROEN) and c) interdental brush (TePe).
Fig. 4c: Peri-implant home care with a) AirFloss (Philips), b) X-Floss (ROEN) and c) interdental brush (TePe).
Fig. 5a: Professional peri-implant biofilm removal by a) AIRFLOW with erythritol powder (PLUS powder, EMS), b) PERIOFLOW with PLUS powder and c) with PEEK tip (PI, EMS).
Fig. 5b: Professional peri-implant biofilm removal by a) AIRFLOW with erythritol powder (PLUS powder, EMS), b) PERIOFLOW with PLUS powder and c) with PEEK tip (PI, EMS).
Fig. 5c: Professional peri-implant biofilm removal by a) AIRFLOW with erythritol powder (PLUS powder, EMS), b) PERIOFLOW with PLUS powder and c) with PEEK tip (PI, EMS).
Fig. 6: Improper planning led to poor performance.
Fig. 7: Careful removal of excess cement after prosthesis cementation using a PEEK tip (PI).
Fig. 8: Careful removal of excess cement with dental floss after prosthesis cementation.
For these reasons, every clinician, before placing an implant, should consider not only patient- and site-specific aspects, but also surgeon, prosthodontist, dental hygienist and dental technician skills in order to minimise the possibility of peri-implantitis in the future.
The following should be considered before primary and secondary prevention, and it is the proposal of the authors that this approach be called “Prevention 0”.
Patient-specific considerations
When deciding to rehabilitate a patient with dental implants, before surgical planning, we have to carefully inform the patient about the characteristics of this procedure. It is important to underline that personal daily maintenance at home and appropriate compliance regarding follow-up controls and dental hygiene therapies are effective preventative measures.[5] Procedure awareness and compliance are the foundation for success, but the clinician must also inform the patient about the impact of systemic disorders (osteogenesis imperfecta, ectodermal dysplasia, diabetes), medications (bisphos-phonates), therapies (radiotherapy in the jawbone), habits (smoking, poor biofilm control) and a history of aggressive periodontitis[6] as being relevant risk factors for peri-implant disease.[7]
Site-specific considerations
The healing process after tooth loss leads to a variable reduction of the alveolar process, inducing hard- and soft-tissue deficiencies. The clinician must evaluate carefully all sites exposed to the following factors, because they have the potential for major healing deficiencies: loss of periodontal support, endodontic infections, longitudinal root fractures, thin buccal bone plates, buccal/lingual tooth position in relation to the arch, extraction with additional trauma to the tissue, injury, pneumatisation of the maxillary sinus, medications and systemic diseases reducing the amount of naturally formed bone, agenesis of teeth and pressure from soft-tissue-supported removable prostheses.
Other site considerations relate to anatomical knowledge and in respect to the suitable anatomical structure of the area (maxillary sinus, inferior alveolar nerve), endodontic and periodontal health of adjacent teeth, and patient phenotype. According to Linkevicius et al. there is significant evidence that thin soft tissue leads to increased marginal bone loss compared with thick soft tissue around implants.[3, 8] Lack of bone has led to the development of various alternative surgical techniques to avoid large bone regenerations or grafts, such as short implants, tilted implants, pterygoid implants and palatal implant mesh, with questionable results, but definitely decreasing the cleanability and maintainability of implants and prostheses.
Dental hygienist skills and devices
This professional figure plays a key role in disease prevention and oral health promotion.[9] Dental hygienists should not limit their activities to being an oral cleaner, but act as the patient’s dental coach or personal oral trainer, motivating patients not only in dental habits but also in lifestyle, for example regarding smoking cessation and diet. This is a friendly expert who strengthens patient fidelity to the dental office, even in fearful patients, and maintains restorative work and rehabilitations undertaken by the dentist.[10]
To perform professional care in a minimally invasive way, wearing loupes and using plaque disclosing agents and appropriate devices are mandatory, especially if prosthetic rehabilitation is difficult for the patient to maintain. Correct and periodic biofilm removal should be considered the standard of care for prevention and management of peri-implant disease.[11] For this reason, patients should be motivated and instructed in daily implant maintenance, which should begin before implant placement and be continued after treatment within a regular, personalised recall regime (Figs. 4 & 5).
Surgeon skills
Nowadays, especially in Italy, a new professional figure has appeared: the implantologist, who is a graduate dentist, generally a co-worker, and goes to different dental offices or clinics and mainly places implants, often without sufficient expertise in periodontal and prosthetic fields. That means, in some cases, implant mispositioning, resulting in reconstructive and maintenance problems. In order to avoid fabrication of specific prosthetic parts, unrestored implants and surgical interventions to remove or reposition them in favourable prosthetic positions, this surgical intervention should only be performed by an elite clinician.[7] This is an expert dentist with the necessary surgical skills to manage both soft and hard tissue (before and after implant placement) perfectly and with adequate expertise in the prosthetic field to allow a prothesis-guided implant surgery and, subsequently, a functioning, not overloaded, patient-tailored, cleanable and aesthetically pleasant rehabilitation.
Prosthodontist skills
Skilled clinicians know that there is no such thing as a gold standard prosthesis, but every patient needs a tailored rehabilitation, which takes into consideration his or her resources and requirements and which has to be planned before surgical intervention. After data collection and decision planning regarding the numbers of implants requested, Toronto versus overdenture, cemented versus screwed work, with a motivated and aware patient, the surgical and prosthetic work with careful load management can start.[12] Only careful and considerate planning can prevent poor outcomes (Fig. 6).
Prosthesis fabrication and cementation
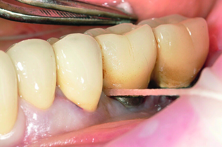
Dental technicians should work in direct contact with prosthodontists in order to create aesthetically pleasant, patient-tailored and comfortable cleaning spaces. After dental hygienist instruction and training, patients should be able to clean their prostheses daily with minimal effort to maintain healthy mouths.[13] Another important factor associated with clinical signs of peri-implant disease is excess cement.[14–17] To avoid excess cement, restoration margins should be located at or above the peri-implant mucosal margin; otherwise, excess cement must to be removed.[18]
Despite world literature demonstrating an increased interest in excess cement as one of the key factors in aetio-pathogenesis of peri-implant disease, a standard protocol guiding clinicians in this delicate removal procedure is still needed. From the authors’ point of view, the cementation procedure requires time, attention, loupes and meticulousness. For these reasons, an accurate protocol, dependent on cement composition, should be published (Figs. 7 & 8).
Conclusion
Implant rehabilitation provides a therapeutic alternative that is more similar to natural teeth than other alternatives. Nevertheless, while an implant-supported prosthesis can be a permanent successful solution, it lasts only if carefully planned with the patient, properly surgically performed, correctly loaded, and constantly maintained by the patient and the dental professionals. Successful results can be achieved only by an expert, patient-centred dental team.
Editorial note: A list of references is available from the publisher. This article was published in implants - international magazine of oral implantology No. 04/2018.
BRUSSELS, Belgium: The European Federation of Periodontology (EFP) has announced a new guideline aimed at helping oral health professionals around the world...
WASHINGTON, U.S.: Evidence suggests that sipping red wine has several health benefits for the body, possibly because of the beverage’s abundant and ...
Biofilm formation around implants is the main aetiology of peri-implant inflammation. In a free webinar on Tuesday, 21 April, dentist Dr Viktoriia Gabal ...
Procurement, waste generation and water management are three major categories where dental practices could potentially become more sustainable. This is in ...
BRUSSELS, Belgium: The European Federation of Periodontology (EFP) recently commissioned the Economist Intelligence Unit (EIU), a provider of forecasting ...
Too often, dental students have to rely on textbook examples or only receive limited practical training when it comes to improving their oral hygiene ...
BRUSSELS, Belgium/BIRMINGHAM, UK: Treat your gums” is the slogan for Gum Health Day 2022, a worldwide awareness campaign organised by the European ...
Dr Magda Mensi is a researcher at the University of Brescia in Italy with a special interest in non-surgical therapy of periodontal diseases. In preparation...
AMSTERDAM, Netherlands: A new global classification system for periodontal health, diseases and conditions, as well as peri-implant diseases and conditions,...
Our teeth are constantly exposed to mechanical and chemical wear, and with age, our oral immune system becomes less effective at fighting pathogenic ...
Live webinar
Thu. 14 May 2026
12:00 pm EST (New York)
Live webinar
Thu. 14 May 2026
2:00 pm EST (New York)
Prof. Hani Ounsi DDS PhD FICD
Live webinar
Tue. 19 May 2026
11:00 am EST (New York)
Live webinar
Tue. 19 May 2026
1:00 pm EST (New York)
Prof. Dr. med. dent. Ivo Krejci
Live webinar
Wed. 20 May 2026
7:00 am EST (New York)
Dr. Graham Carmichael BDSc (Hons), DClinDent (Pros), FRACDS, Dr. Robert Gottlander DDS
Live webinar
Wed. 20 May 2026
9:00 am EST (New York)
Live webinar
Wed. 20 May 2026
1:00 pm EST (New York)
Prof. Dr. med. dent. Tim Joda PhD, MSc, eMBA
To post a reply please login or register