Intra-oral and panoramic images are not 3-D and clinicians can obtain only vague measurements from them owing to magnification changes due to positioning. In addition, they are not efficient for viewing certain pathologies. In response to these limitations, CBCT 3-D imaging technologies were developed.
CBCT 3-D captures a volume of data and, through a reconstruction process, it delivers images that do not contain magnification, distortion and/or overlapping anatomy.
In recent years, CBCT 3-D has begun to make significant inroads into every discipline in our dental profession, expanding the horizons of clinical dental practice by adding a third dimension to cranio-facial treatment planning. CBCT uses advanced 3-D technology to provide the most complete anatomical information on a patient’s mouth, face and jaws areas, leading to enhanced treatment planning and predictable treatment outcomes.
Essentially, this represents a paradigm shift, where measurements and anatomical relationships are precise and provide practitioners with a clear understanding of their patients’ anatomical relationships. According to dental practitioners using this technology, it helps them perform treatment more efficiently.
embedImagecenter("Imagecenter_1_755",755, "large");
Regarding oral implantology, it is estimated that growth in implant-based dental reconstruction products will outstrip all other areas of dentistry, according to Kalorama Information.1 The traditional method of replacing a tooth with a dental bridge has been shown to be problematic, and more permanent solutions are urgently needed.
With a rapidly ageing population in the developed world and the resulting enormous need for dental restoration, a large number of companies have seen the opportunity to adopt these sophisticated dental techniques. And indeed, as some have predicted, the growth in dental implant-based procedures has increased considerably in recent years. As a result, there has been a rapid increase in the number of practitioners involved in implant placement, including specialists and generalists, with different levels of expertise. At the same time, a number of unusual complications associated with these procedures have arisen.
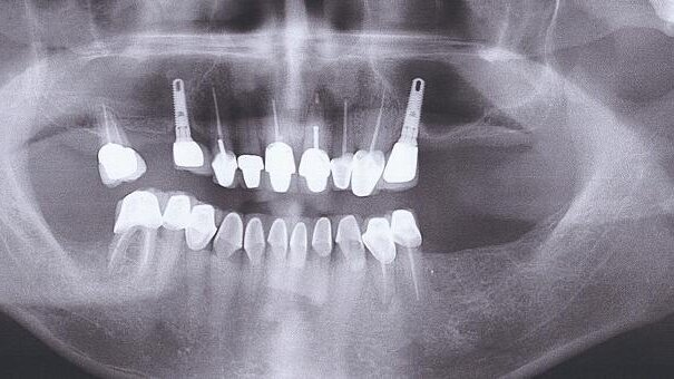
A literature and web search revealed several published reports of such complications, which include implant fractures (Fig. 1), impingement on adjacent teeth (Fig. 2), perforation of the lingual undercut (Fig. 3), sinus perforations (Fig. 4) and implants displaced into the maxillary sinus (Fig. 5). The clinical management associated with some of these complications is difficult at times and considered very invasive. Therefore, while the quantitative relationship between successful outcomes in dental implant treatment and CBCT-based dental imaging is unknown and awaits discovery through large prospective clinical trials, I strongly believe that using CBCT- and 3-D-based dental imaging is becoming a reliable procedure from a precautionary standpoint based on a series of recent preliminary clinical studies and case reports.
I also strongly believe that by taking 3-D CBCT images prior to placing dental implants, many of the above-mentioned complications can be circumvented .
Editorial note: Dr Almog’s presentation, Introduction to CBCT, especially as it pertains to prevention of failures in oral implantology, at the Dental Tribune Study Club Symposia at Greater New York Dental Meeting 2010 is still available online at www.DTStudyClub.com.
This article was published in CAD/CAM international magazine of digital dentistry, No. 4/2012.
BUENOS AIRES, Argentina: Sunstar proudly announces the launch of Oral Cancer: Prevention and Patient Management, an FDI World Dental Federation chairside ...
BRISBANE, Australia: In light of the ageing population, dentists need to be aware of the risks posed by retained dentition and exposed root surfaces in ...
On 17 October, the DT Study Club will host the Implants Symposium, a free-of-charge online event dedicated to the latest developments in oral implantology. ...
Next week, clinicians can learn about how to manage implant restoration complications in a free webinar by prosthodontist Dr Varisha Parikh hosted on ...
COPENHAGEN, Denmark: During EuroPerio10, attendees enjoyed opportunities not only to immerse themselves in a comprehensive scientific programme but also to ...
The population is ageing rapidly because of the prolonged life expectancy evident in most industrialised countries in the world. Accordingly, the number of ...
ROME, Italy: The 2023 Oral Reconstruction (OR) Global Symposium, themed “Quo Vadis Implant Dentistry?”, will be held from 18 to 20 May at the Auditorium...
BRUSSELS, Belgium: The European Federation of Periodontology (EFP) has announced a new guideline aimed at helping oral health professionals around the world...
BILBAO, Spain: While the systemic health implications of neuropsychiatric disorders are well recognised, their connection to poor oral health—in ...
The ongoing pandemic has had a great impact on many fields in dentistry, including routine procedures and the way in which dental education is delivered. In...
Live webinar
Tue. 12 May 2026
1:00 pm EST (New York)
Live webinar
Thu. 14 May 2026
12:00 pm EST (New York)
Live webinar
Thu. 14 May 2026
2:00 pm EST (New York)
Prof. Hani Ounsi DDS PhD FICD
Live webinar
Tue. 19 May 2026
11:00 am EST (New York)
Live webinar
Tue. 19 May 2026
1:00 pm EST (New York)
Prof. Dr. med. dent. Ivo Krejci
Live webinar
Wed. 20 May 2026
7:00 am EST (New York)
Dr. Graham Carmichael BDSc (Hons), DClinDent (Pros), FRACDS, Dr. Robert Gottlander DDS
Live webinar
Wed. 20 May 2026
9:00 am EST (New York)
To post a reply please login or register