Individualised, digitally produced complete maxillary and mandibular dentures in situ (CediTEC). (All image: Francesco Zingari, Eleonora Carozzi & Salvatore Belvedere)
Digitalisation in the world of dentistry and dental technology is advancing rapidly, and it is now difficult to imagine everyday clinical practice without it. Sophisticated solutions are available in the fields of diagnostics, treatment planning and the production of permanent restorations in particular.1 Capture of digital radiographs, implant planning and the design of permanent restorations using hardware and software solutions are already well-established procedures in modern dentistry and dental technology. The weak points of solutions available to date included soft tissue and functionally intrinsic structures, which were difficult to integrate into the digital workflow.2
Furthermore, the production of removable dentures has been widely accepted for many years and is now a firmly established everyday procedure in practices and laboratories alike.3 Increasingly, however, the production of removable dentures is now also being satisfactorily digitalised thanks to continuous improvement of the system components. This progress brings with it changes for the workflow, especially as far as dental laboratories are concerned, evolving from a predominantly manual into a predominantly digital task.4 The following case report describes the use of the CediTEC system (VOCO), which allows production of complete dentures in just a few appointments.
Case description
A 62-year-old female patient presented at our practice of her own volition, complaining of serious difficulties when chewing and speaking as a result of poorly fitting maxillary and mandibular dentures. From an aesthetic perspective, the patient also complained that her old dentures bothered her every day and confirmed that she was no longer happy with them at all. When asked about her medical history, she stated that she was undergoing treatment with bisphosphonates for diagnosed osteoporosis. Many years ago, the patient had also had five implants inserted into her lower jaw and two into her upper jaw, to which the existing removable dentures from her former dentist were attached. The patient’s request was for accurately fitting dentures again to improve both her appearance and her ability to chew and speak properly.
Findings
The clinical, instrumental and radiographic findings revealed generalised horizontal and vertical bone loss in the edentulous regions. The mucous membranes did not appear to be irritated. The implant abutments, which had clearly been individualised multiple times, were inadequate for support of the removable dentures. All the implants displayed a degree of loosening and the peri-implant tissue appeared both slightly red and swollen. We found that the complete maxillary and mandibular dentures were inadequate and diagnosed peri-implantitis around all the implants.
Treatment planning
The prognosis for the implants was not predictable at the time the findings were recorded, for which reason the implants were initially left as they were (Figs. 1 & 2). The treatment of the peri-implantitis would be initiated after production of the new complete maxillary and mandibular dentures. With special consideration of the patient’s existing condition and medication, replacement of the implants in the upper jaw with zygomatic and pterygoid implants at a later point in time might also have been conceivable. However, this will not be discussed in further detail at this point.
Fig. 1: Situation in the mandible before treatment.
Fig. 2: Situation in the maxilla before treatment.
The patient requested that the functional impairments and aesthetic aspects be resolved as quickly as possible. For cost and time reasons, the complete maxillary and mandibular dentures to be produced were designed using CAD/CAM technology. To do so, we decided for the sake of simplicity on the CediTEC system, in which all the necessary components are coordinated.
Treatment
Using the existing dentures as customised trays, the situation impressions were taken (Flexitime Monophase Pro Scan, Kulzer; Figs. 3 & 4) and digitalised using a laboratory scanner in the first appointment after the recording of the findings, diagnosis, dental hygiene and treatment planning. At the dental laboratory, the individual impressions and dentures were digitalised with a laboratory scanner (BEGO LabScan, BEGO Medical) and the data was converted to STL format. The individual holders for an intra-oral registration instrument were designed and produced.
Fig. 3: Taking of the mandibular impression with the existing denture.
Fig. 4: Taking of the maxillary impression with the existing denture.
In the second treatment appointment, the digital maxillomandibular relationship registration and axiography were performed with Prosystom (SDiMatriX; Fig. 5). At the dental laboratory, data sets were imported into exocad software (Figs. 6–8), diagnostic and digital tooth arrangement was performed (Figs. 9 & 10), and digital modelling of the complete maxillary and mandibular dentures was performed (Fig. 11). The data sets were transferred to nesting software (Netfabb, Autodesk) and the files were exported to a 3D printer (SolFlex 170 HD, VOCO). The dental laboratory printed modified wax try-ins (V Print Try-In, VOCO; Fig. 12). These were tried in (Fig. 13) and the static and dynamic occlusion, phonation and aesthetics were checked at the third appointment. Next, the dental laboratory 3D-printed (SolFlex 170 HD) and finished the master models (V-Print model fast, VOCO) and the denture bases on the basis of the existing data sets (V-Print dentbase, VOCO; Figs. 14 & 15). Thereafter, the dental laboratory milled the 24 denture teeth from a disc (CediTEC DT, Shade A2), finished them (Fig. 16), fixed them to the printed denture bases (CediTEC Adhesive) and finished the bases (Figs. 17 & 18). The occlusal surfaces on the complete dentures were then individualised (FinalTouch, VOCO; Figs. 19–22). In the fourth treatment appointment, the final complete maxillary and mandibular dentures were inserted (Fig. 23) and selective grinding was performed.
Fig. 5: Digital maxillomandibular relationship registration and axiography.
Fig. 6: Visualisation of digital maxillomandibular relationship registration.
Figs. 7 & 8: Import into the exocad software after scanning of the individual impressions and dentures using the laboratory scanner.
Fig. 9: Diagnostic tooth arrangement in the maxilla.
Fig. 10: Diagnostic tooth arrangement in the mandible.
Fig. 11: Digital tooth arrangement with static and dynamic occlusion.
Fig. 12: Modified wax try-ins (V-Print Try-In).
Fig. 13: Try-in of modified wax try-ins.
Figs. 14a & b: Printing of the denture base for the mandible (SolFlex 170 HD & V-Print dentbase).
Figs. 15a & b: Printing of the denture base for the maxilla (SolFlex 170 HD & V-Print dentbase).
Fig. 16: Production of denture teeth by milling (CediTEC DT).
Fig. 17: Silicone wall for fixing the denture teeth in their defined positions in the mandibular denture base (CediTEC Adhesive).
Fig. 18: Silicone wall for fixing the denture teeth in their defined positions in the maxillary denture base (CediTEC Adhesive).
Fig. 19: Individualisation of the occlusal surfaces of the mandibular denture with composite stains (FinalTouch).
Fig. 20: Individualisation of the occlusal surfaces of the maxillary denture with composite stains (FinalTouch).
Fig. 21: Individualised, digitally produced complete maxillary and mandibular dentures in their finished state (CediTEC).
Fig. 22: Individualised, digitally produced complete maxillary and mandibular dentures in their finished state on the 3D-printed master models in the articulator (CediTEC).
Fig. 23: Individualised, digitally produced complete maxillary and mandibular dentures in situ (CediTEC).
Result
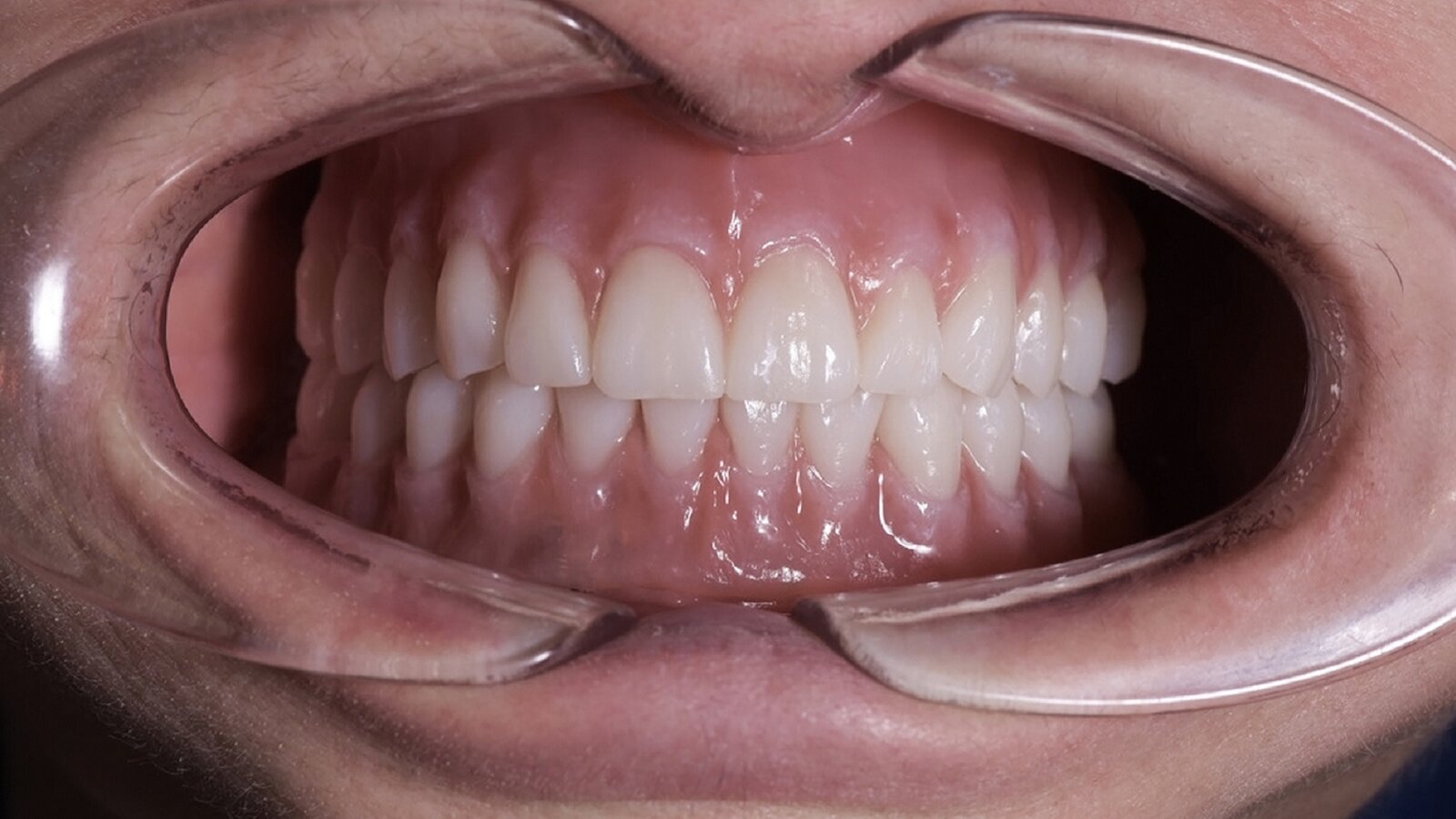
The complete dentures were produced using CAD/CAM technology. The finished result is in no way inferior to a manually produced workpiece. The patient was also unable to identify any disadvantages. After insertion, the patient’s en face profile during phonation and smiling had a natural appearance (Figs. 24 & 25). The soft tissue of the face was harmonious and naturally padded. In a before and after comparison, the nasolabial and peri-labial folds were considerably reduced with the new complete dentures. Clinical aspects such as static and dynamic occlusion were normal.
Fig. 24: Individualised, digitally produced complete maxillary and mandibular dentures in situ, en face view, habitual bite (CediTEC).
Fig. 25: Individualised, digitally produced complete maxillary and mandibular dentures in situ, smiling (CediTEC).
VIENNA, Austria: Beginning tomorrow, the International Osteology Symposium 2026 will bring together the global oral regeneration community at VIECON in ...
JINAN, China: 3D printing of lithium disilicate still faces challenges in achieving precise results. The material’s high transparency allows laser light ...
RIYADH, Saudi Arabia: While many artificial intelligence (AI) systems for dental diagnosis demonstrate high accuracy, their real clinical value depends on ...
TIRUCHIRAPPALLI, India: The integration of artificial intelligence (AI) into medical imaging can support diagnosis and reduce clinical workload. A new study...
Over the past four decades, the digitalisation of dental practice has profoundly transformed oral care in the Asia-Pacific region. In the 1980s, early ...
Within dentistry, what once involved a small number of independent systems now increasingly relies on continuous connectivity between devices, software ...
At IDEM Singapore 2026, American Board-certified prosthodontist and oral rehabilitation specialist Dr Anas Aloum will discuss how digital workflows are ...
As part of its specialty symposia series, Dental Tribune International will host an online symposium on artificial intelligence (AI) and digital dentistry ...
Education
Live webinar Thu. 23 April 2026 11:00 am EST (New York)
To post a reply please login or register