Bone loss is one of the greatest challenges in dentistry. Bone volume is linked to the presence of natural teeth. With loss of its anchors, that is, the teeth, the bone will gradually resorb, and this phenomenon is less likely to keep under control. The same occurs with bacterial invasion in the case of periodontal disease. Many teeth are considered hopeless because of vertical bone loss, sometimes combined with horizontal bone loss. This article aims to provide hope for such cases.
The technique presented is based on the zero apicectomy technique, which treats the problems of apical cyst in two parts: the first problem concerns the internal root canal, which is solved with root canal therapy, and the second problem is related to the cyst itself and the exposed part of the root inside the cyst. The zero apicectomy technique is based on maintaining the integrity of the root canal and treating the exposed part of the root. The main challenge is the bacteria present on the external surface of the root, for which 1% citric acid is applied with a micro-brush smoothly on the exposed part of the root after removing the cyst. The citric acid eliminates the bacteria that have accumulated on the surface. It is necessary to be particularly careful not to scratch the root. The next step is copious sterile water irrigation to rinse off the acid. Thereafter, 17% EDTA is applied with a micro-brush in order to repair the periodontal ligament cells that are preserved with this technique. This is left on for 1 minute, followed by copious sterile water irrigation.
This approach creates a safe environment for the periodontal ligament cells to regrow over the exposed part of the root, creating a scaffold for the bone on which to regrow by reforming the periodontal ligament and thereby preventing external resorption or ankylosis and promoting vertical and horizontal bone regrowth.
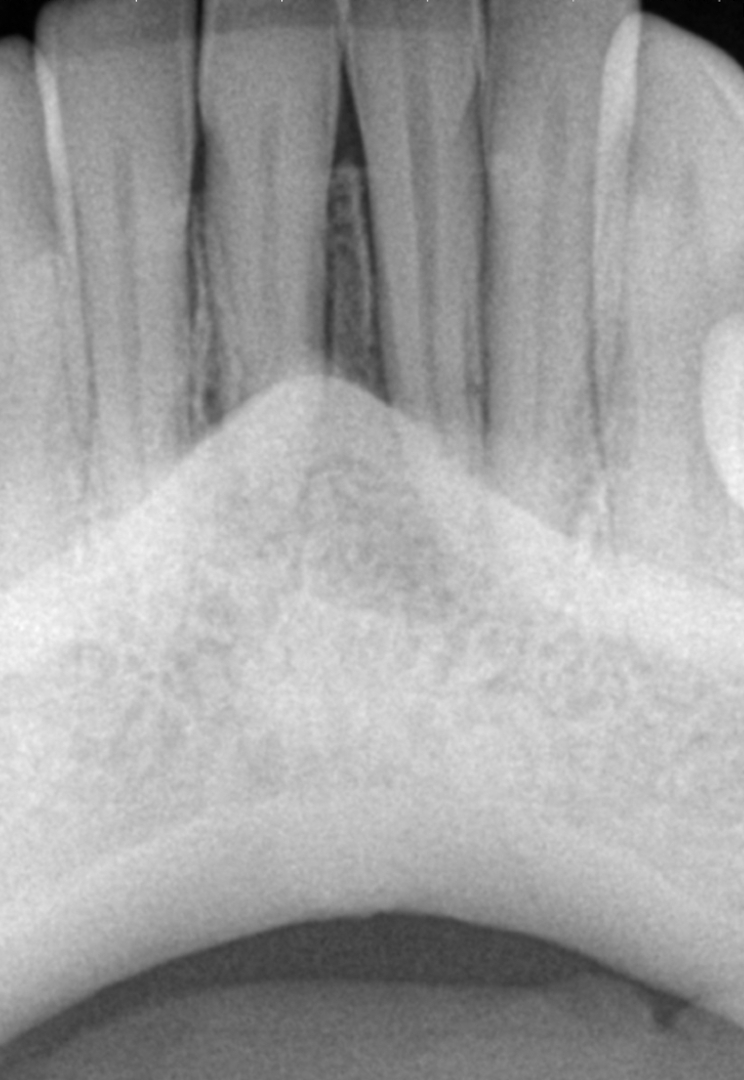
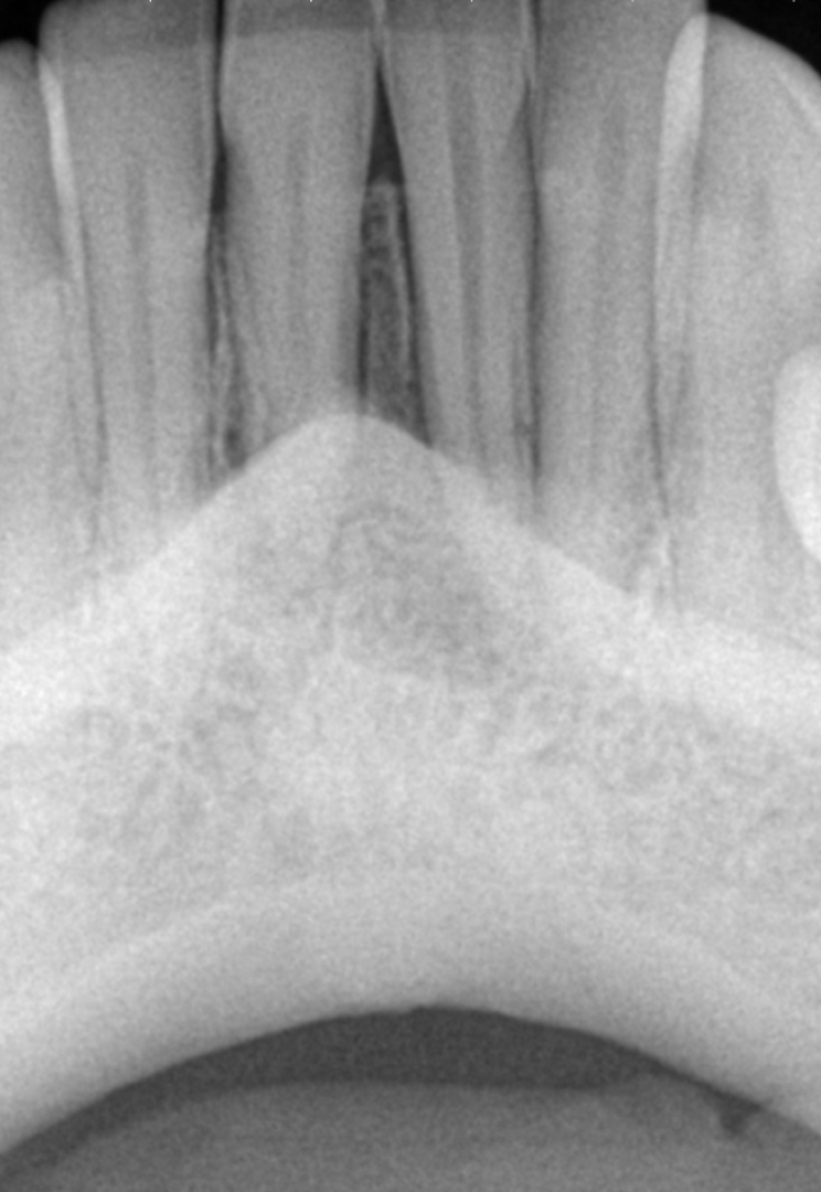
Fig. 1: Pre-op radiograph of the patient.
Case presentation
A young female patient, a model who cared a great deal about her appearance and wished to keep it natural-looking, came to our office with a swelling of her lower jaw under the two central incisors. Upon consulting with our periodontist and prosthodontist, a pocket of over 20 mm width, going from one central incisor to the other, was discovered, indicating that the entire cortical plate was gone. This, along with the Class III mobility of both central incisors, was a red flag to the periodontist. In vitality testing of the teeth, the two central incisors did not respond to a cold test and the remaining teeth were normal. On the radiograph, the problem was not visible (Fig. 1). An i-CAT scan was taken to gain a better understanding of the problem. The scan showed a horizontal and a vertical view of the lesion. The horizontal view showed loss of both the cortical and trabecular bone from the left central incisor to the right lateral incisor, with a total length of almost 14.11 mm and a depth of 6.28 mm (Fig. 2a). The vertical views showed that there was no bone on the buccal aspect and no bone under the central incisors almost to the level of the apex (Figs. 2b & c). There was horizontal bone loss of 5.5 mm to 6.3 mm. This was a situation often considered hopeless, and saving these teeth seemed impossible.
The patient was not happy with this prognosis. I asked her to tell me the story of those teeth in order to figure out the reason for the lesion. She recounted that long before she had sustained a frontal trauma to her lower jaw. I deduced that she had suffered from a traumatic cyst for several years. I proposed performing the zero apicectomy technique, hoping to save her teeth, but I explained the risk of failure, as the bone loss was very advanced.
In a single session, root canal therapy of both central incisors was performed, a flap was elevated the cyst was carefully removed and the surface treatment of both roots was conducted carefully (Fig. 3). During the procedure, it is imperative to keep the area well hydrated to keep the cells alive. Tight and neat suturing was performed, a hard retainer was put in place and the bite was checked. The hard retainer was replaced after six weeks with a soft one. The patient was prescribed antibiotics for seven days, ibuprofen for several days and a non-alcoholic mouthwash for seven days, to start the day after the surgery. A week after the surgery, the sutures were removed and a final filling was placed in both access cavities of the central incisors.
Figs. 2a–c: Horizontal view of the i-CAT scan showing a large bone defect (a). Vertical views of both central incisors showing the bone loss (b & c).
Fig. 3: Zero apicectomy technique performed on both central incisors.
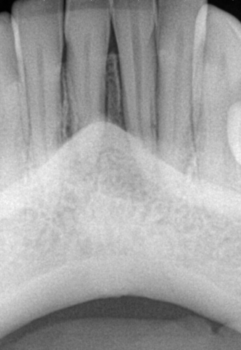
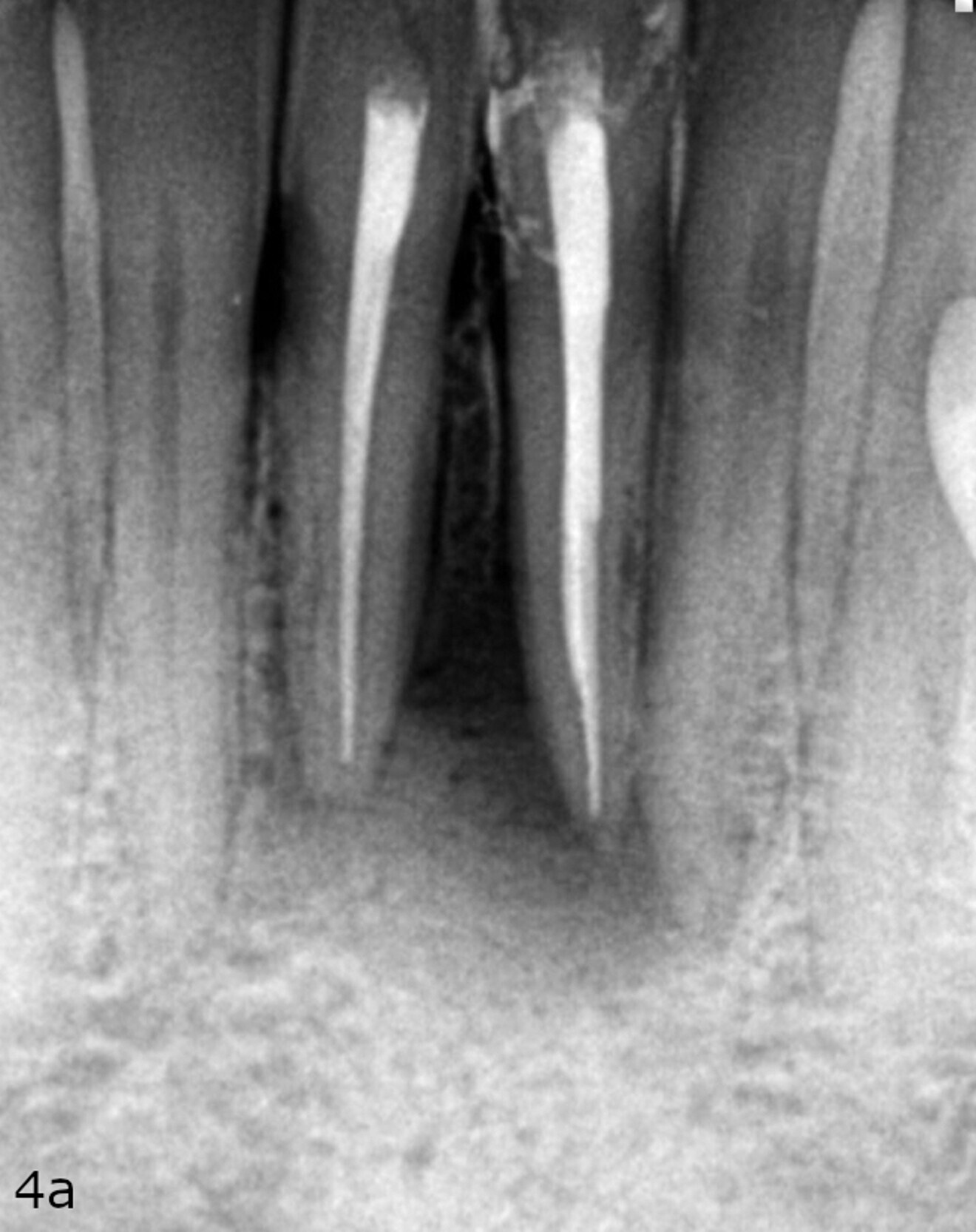
A radiograph was taken of the immediate postoperative situation and at the nine-month follow-up. Comparison showed bone apposition between the two central incisors (Fig. 4). An i-CAT scan was also taken at the nine-month follow-up to check the bone growth. The horizontal view, taken at the same level as that taken preoperatively, clearly showed the reduction of the gap from 14.11 mm to 4.42 mm at the cortical level and the trabecular bone showed the same trend in healing (Fig. 5). The vertical view showed that the bone on the buccal plate was growing towards the root and growing vertically (Fig. 6). Almost 8.2 mm in height had been regained and in direct contact with the roots of the teeth. Indeed, when provided with a scaffold on which to grow, the bone can grow in all directions, including vertically, where there was an open periodontal pocket. This is the major breakthrough of this technique. No bone grafting material or a membrane was placed. The periosteum was in great condition, and for me, it was the best membrane I could wish for.
Fig. 4a: Radiographs showing the immediate post-op situation ...
Fig. 4b: ... and the situation at the nine-month follow-up.
Fig. 5a: Comparison of the horizontal views of the i-CAT scans taken pre-op ....
Fig. 5b: ...and at the nine-month follow-up.
Fig. 6a: Horizontal view of the i-CAT scan taken at the nine-month follow-up showing a bone defect of only 4.42 mm.
Fig. 6b: Vertical views of both central incisors showing bone healing under the apices and bone growing vertically on the buccal aspect (b & c).
Fig. 6c.
A comparison of the i-CAT scans taken preoperatively and at the nine-month and 18 month follow-ups showed complete regeneration of the cortical and trabecular bone in great biological detail, showing even the groove of the frenum (Figs. 7 & 8). The bone view clearly showed the preoperative major horizontal and vertical bone defect and open periodontal defect, the beautifully regenerated, natural looking bone and the emergence of the mandibular nerve. Happily, the bone continued growing vertically (Fig. 9).
Figs. 7a–e: Comparison of the horizontal views of the i-CAT scans taken pre-op (a & b) and at the nine-month follow-up (c) and 18-month follow-up (d & e), showing complete healing of the area.
Figs. 8a–d: Comparison of the bone and horizontal views of the pre-op (a & b) and 18-month follow-up i-CAT scans (c & d) regarding the bone healing and the closure of the pocket.
Figs. 9a–f: Comparison of the vertical views of the i-CAT scans taken pre-op (a & b) and at the nine-month follow-up (c & d) and 18-month follow-up (e & f), showing continued growth of the bone vertically.
Conclusion
The human body never stops amazing us. It is a very complex structure and we have not yet unlocked all its mysteries. It does not require a complex treatment in order to obtain the results that we desire. A simple targeted treatment is what it is needed in a biological approach.
The possibilities and risks of endodontic retreatments in the pursuit of saving natural teeth will be presented at AEEDC Dubai 2024 by endodontist Dr Ahmed ...
Prof. Adam Nulty is a leading expert in digital implant workflows. At IDEM 2026 in Singapore, he will challenge a common assumption in all-on-X dentistry: ...
CUXHAVEN, Germany: In order to fulfil the high expectations of patients, definitive dental prostheses need to be robust and durable, as well as provide ...
DOHA, Qatar: Virtual reality (VR) is rapidly gaining ground in dental training, particularly for restorative dentistry. A new bibliometric study from a team...
A vertical root fracture (VRF) is a longitudinally oriented fracture of the root that, depending on its cause, can originate from the apex and propagate to ...
Dr. José Carlos Martins da Rosa has a Master of Science in Prosthodontics and a PhD in implantology, and specializes in periodontics and prosthodontics. He...
The most important innovation in recent years in the field of guided bone regeneration (GBR) is customised CAD/CAM titanium meshes, which allow for ...
Traditionally, anterior open bites have been considered one of the most challenging malocclusions to treat in orthodontics. In fact, the majority of such ...
CLEARFIL MAJESTY ES-2 is a composite that allows for the effortless creation of natural-looking aesthetic restorations. The combination of its self-adaptive...
Education
Live webinar Thu. 23 April 2026 11:00 am EST (New York)
To post a reply please login or register