Clear aligner attachments can help bring about complex teeth movements during the treatment. However, a large number of attachments is not always necessary. (Image: Andrey_Popov/Shutterstock; clinical images: Bruce McFarlane)
In my practices, lecturing and life, I live by the acronym I:CAN—Improvement: Constant and Never-Ending. This means a constant search for better ways of doing things and not simply accepting the status quo. Most modern clear aligner systems rely a great deal on composite resin attachments for various orthodontic movements, and attachments are becoming increasingly prevalent: nearly 60% of dentists survey in a poll conducted by Orthotown from 25 January to 8 March 2019.1
I personally do not like attachments. I find them tedious, labour-intensive, ugly and irritating. They stain, wear and fall off. Patients do not like them either, especially on anterior teeth. My teams object to them also; applying and maintaining attachments are not their favourite tasks.
I do, however, want to utilise clear aligners for most of my cases, and I am always pushing the limits of aligner capabilities in my practices. If I could crack the code to performing complex orthodontic movements with no or fewer composite attachments, that would be an absolute game-changer for my practices.
Henry Schein Orthodontics (HSO) has developed clear aligner systems that help me towards that goal. They are available in over 30 markets globally as Reveal and SLX aligners. There are three key differences with these aligners that allow them to deliver predictable tooth movements with minimal or no attachments in many cases. The three differences are fit, trim line and material.
Fit
Thanks to high-resolution moulds and automated thermoforming, HSO’s processes create micron printing that is approximately 30% finer than that of the leading brand and produces minimal striations. This helps create remarkably well-fitting aligners that are very clear.
Fig. 1: Grip on teeth for aligners with gingival scalloping.
Fig. 2: Grip of Henry Schein Orthodontics aligners on teeth.
Trim line
Teeth are like slippery pumpkin seeds when it comes to grabbing hold of them for efficient movement with clear aligners. A non-slipping design is therefore vital for aligners to be able to achieve the movements planned in the software.
Other aligners in the market have heavy gingival scalloping, their trim lines extending only to the gingival margin (Fig. 1). This design will often result in slippage, loss of tracking, less reliable achievement of the plan and greater dependence on attachments.
HSO aligners have trim lines extending beyond the zeniths of the gingival margins and into the undercut areas of the teeth (Fig. 2). This trim line is intended to provide a much better grip on teeth, less slippage and reliability regarding the software prediction and the actual clinical outcome. A less intuitive advantage of this is elimination of the need to employ overcorrection in one’s clear aligner plan, an inherently inaccurate endeavour.
Material
The third difference with HSO clear aligners is the plastic they are made of. The ClearWear material is considerably more robust and less yielding than most of its contemporaries, resulting in reduced distortion, better grip and closer fit to the tooth surface with minimal attachments. It is also very clear and remarkably stain-resistant (Fig. 3).
The three differences add up to a system that is very predictable, efficient and clear. This means more profound achievement of the movement plan with the goal of minimising attachments and refinements. In fact, it has now become routine for me to promptly identify cases that can be started without any attachments. The first round will reveal by its end where there is need for attachments for a given manoeuvre. This results in a much more educated application of attachments in the second round and only exactly where they are needed. I employ the same concept for interproximal reduction.
Fig. 3: Visual comparison of the material used to fabricate the leading brand aligners (left) compared with the material used for Henry Schein Orthodontics aligners.
Case 1
A 29-year-old male patient presented with the chief complaint of excessive tooth spacing in the anterior (Fig. 4). From the situation nine months after treatment was begun (Fig. 5), it was evident that two attachments were required to correct the tip of the maxillary incisors. These will be introduced at the refinement stage for this case. Long vertical attachments were indicated for the lateral incisor root tip control (Fig. 6).
Fig. 4: Excessive spacing in a 29-year-old male patient.
Fig. 5: Movement achieved after nine months.
Fig. 6: Studio Pro 4.0 model with new attachments.
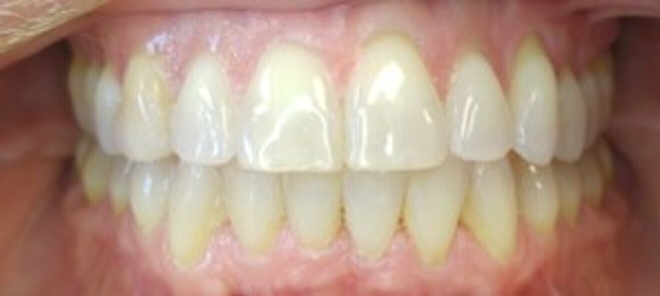
Case 2
A 54-year-old female patient presented with crowding and overjet (Fig. 7). Only one case refinement was necessary in the 11 months of treatment—during which time no attachments were used (Fig. 8)—including some interproximal reduction for dark triangles between the mandibular incisors.
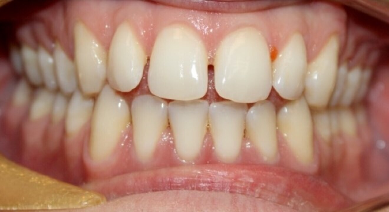
Case 3
A 17-year-old male patient presented with crowding and deep bite (Fig. 9). I would not have attempted this case without attachments had I been using the leading brand’s aligners. I was able to achieve substantial corrective movement in this patient in seven months without attachments or interproximal reduction (Fig. 10). There will indeed be some interproximal reduction prescribed for case refinement between the mandibular incisors, but no attachments will be required to finish this case.
Fig. 7: Crowding and overjet in a 54-year-old female patient.
Fig. 8: Movement achieved after 11 months without attachments.
Fig. 9: Crowding and deep bite in a 17-year-old male patient.
Fig. 10: Movement achieved after seven months without attachments.
The idea of treating clear aligner cases without attachments or with minimal attachments is indeed compelling.
One can imagine the many advantages of this aligner system for a busy practice with a desire for greater efficiency, patient satisfaction and profitability. Truly, a large number of attachments for clear aligner cases is not always necessary or desirable.
Soon after the mass adoption of clear aligners, it became apparent that a plastic shell did not provide sufficient purchase on the teeth for all movements. ...
Today, most aligner systems incorporate attachments as part of their treatment protocol. In most cases, dentists are requested to add a substantial number ...
As dentistry continues to evolve, new technologies and materials are continually being offered to the dental profession. Throughout the years, restorative ...
Over the last two decades, extensive research has been carried out to alleviate the two major shortcomings of orthodontic treatment: visibility and ...
KRIENS, Switzerland: In the UK, despite significant advancements in oral health awareness, there remains a critical gap in education around interdental ...
If one seeks to explore the future of dentistry, the road undoubtedly leads to the International Dental Show (IDS). The trade fair is more than just an ...
BRUSSELS, Belgium: On 1 December, dental professionals from around the world gathered for the launch of a new, virtual reality (VR) environment called ...
RHODES, Greece: The sixth congress of the European Aligner Society (EAS), which took place in late May, began with unexpected movement—not of teeth but of...
LEIPZIG, Germany: Last year, clear aligner therapy provided dentists around the world with an attractive income stream even as patient volumes remained ...
Education
Live webinar Mon. 15 December 2025 5:30 am EST (New York)
SCHAAN, Liechtenstein: The Ivoclar Group, a leading manufacturer of integrated solutions for high-quality dental care, has published the fourth volume of ...
Kraków, Poland: Seamless and streamlined cooperation between dentists and dental technicians is a recipe for success. In Japanese, “kizuna” describes a...
DARMSTADT, Germany: Exocad, an Align Technology company and a leading provider of dental CAD/CAM software, has recently released DentalCAD 3.3 Chemnitz. ...
To post a reply please login or register