Search Dental Tribune

Fig. 1: The exceptionally sharp cutting edge of a ZenFlex CM file. (All images: Dr Philippe Sleiman)

Thu. 10. July 2025

save

What is the secret behind waking up every day, looking forward to peering into the microscope in search of a new adventure or a fresh challenge to solve? This is endodontics—the art of precision in pursuit of the best possible treatment for our patients. After all, this is what truly matters. What more can we do to treat our patients better?

Looking beyond the field of dentistry and seeking ways to implement scientific advancements in root canal treatment is a sensitive undertaking—yet one that can be highly rewarding when new insights and ideas emerge. Heat treatment in metallurgy dates back to the Iron Age, and still today, we are discovering innovative ways to apply it to nickel–titanium (NiTi) in order to produce safer rotary files.

It all began with Twisted Files from Sybron Endo (today part of Kerr Dental)—the first time that heat treatment was applied to NiTi rotary files—starting a new chapter in root canal therapy. Years later, a different approach to heat treatment was introduced, allowing engineers to combine two distinct alloy structures within a single file. This innovation brought greater safety and built-in flexibility to rotary instrumentation. ZenFlex (Kerr Dental) is one such example, taking file technology to a new level with a fresh perspective.

But how should these files be used? Is a single-file approach the right choice? Or should we employ a sequence? The core question remains: should all root canals be approached the same way? Can we treat every tooth—even within the same patient—the same way? What about the variation between patients and canal anatomies? The answer lies in the anatomy itself. We must adapt our instrumentation to the canal anatomy—not the other way around. Anatomy cannot be standardised, and it is up to the clinician to select the appropriate sequence to shape the canal. Of course, shaping is just one step of the treatment. The key to a successful root canal therapy lies in irrigation.

Another advantage of the new procedure used in the creation of ZenFlex files lies in the development of an exceptionally sharp cutting edge (Fig. 1). As it is responsible for the actual cutting of dentine and therefore the shaping of the canal, the cutting edge is the essential working component of any file. This innovation brings multiple benefits: improved rotational speed, better preservation of the original anatomy, reduced working time within the canal, enhanced safety—and many more.

Building on the benefits of ZenFlex files, Kerr developed ZenFlex CM files, which are produced through an advanced heat treatment process that lowers the percentage of austenite and increases the martensite—without compromising any of the file’s core features. This new generation of ZenFlex offers greater flexibility while maintaining the same cutting efficiency and level of safety. Clinically, we have observed several advantages of both generations of ZenFlex files:

  • These files can be used in full rotation as well as in Adaptive Motion—a combination of continuous rotation and reciprocation (Figs. 2 & 3). The angle of rotation depends on the level of stress within the canal: when stress is low, the adaptive angles remain small, and vice versa.
  • Fewer files are needed during the procedure.
  • The 13/0.04 ZenFlex CM file is an excellent tool for extremely narrow canals, creating an initial shape that guides the subsequent files.

The new file sequence can address the majority of clinical situations. Whether using continuous rotation or Adaptive Motion, the system offers the flexibility and performance to address different anatomical challenges.

Adaptive Motion offers many advantages. The variable clockwise and counterclockwise movements, adjusted according to the stress within the canal, reduce the overall stress on the file. This leads to improved debris removal compared with standard reciprocation while maintaining excellent cutting efficiency—especially in curved and complex canals. However, this approach requires equipment with software capable of supporting Adaptive Motion.

Fig. 2: ZenFlex CM file sequence in full rotation.

Fig. 2: ZenFlex CM file sequence in full rotation.

Fig. 3: ZenFlex CM file sequence in Adaptive Motion.

Fig. 3: ZenFlex CM file sequence in Adaptive Motion.

Case 1

The first case presents two different root canal treatments—of a premolar and a molar—in the same patient, both indicated owing to deep caries and irreversible pulpitis. Surprisingly, the premolar proved more challenging than the molar.

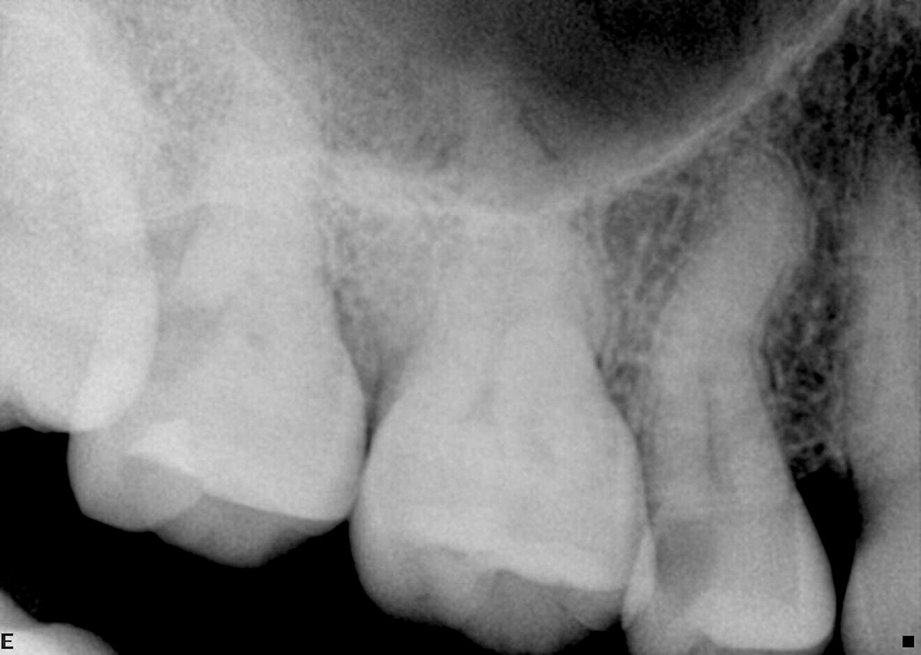
The preoperative radiograph of the premolar offers insight into the complex anatomy and multiple curvatures of the canals (Fig. 4). Two distinct canals are visible, yet they are so closely positioned that they could easily be misinterpreted as one. On the postoperative radiographs, the different apical foramina are clearly identifiable (Figs. 5 & 6). The images also show how well the file respected the original canal anatomy—shaping without excessive coronal enlargement to accommodate the multiple curves. No ledge formation or apical transportation had occurred.

In this case, the 13/0.04 ZenFlex CM file was used as a pre-shaping instrument in the premolar after the orifice opener (Traverse, Kerr Dental). The rest of the sequence followed smoothly in continuous rotation. Both the orifice opener and the 13/0.04 file are part of the pre-shaping concept.

The molar was shaped using the same sequence, though the 13/0.04 file was not required. After using the orifice opener, shaping proceeded directly with the 17/0.04 ZenFlex CM file, followed by the rest of the files in the sequence.

Case 1—Fig. 4: Initial periapical radiograph.

Case 1—Fig. 4: Initial periapical radiograph.

Fig. 5: Post-op periapical radiograph.

Fig. 5: Post-op periapical radiograph.

ig. 6: Post-op periapical radiograph, angled view.

ig. 6: Post-op periapical radiograph, angled view.

Case 2

The patient was referred for treatment of irreversible pulpitis of a maxillary second molar. The preoperative radiograph revealed more roots than typically expected (Fig. 7). After accessing the cavity, a second palatal root was identified.

Shaping was performed using the Adaptive Motion sequence of ZenFlex CM files. When comparing the preoperative and postoperative radiographs, it is evident that the original anatomy was preserved and the curves were shaped in a conservative manner (Fig. 8).

Case 2—Fig. 7: Initial periapical radiograph.

Case 2—Fig. 7: Initial periapical radiograph.

Fig. 8: Postoperative periapical radiograph.

Fig. 8: Postoperative periapical radiograph.

Conclusion

In conclusion, choosing the appropriate sequence and motion depends on individual preference and tactile feedback. Both full rotation and Adaptive Motion offer distinct advantages. In brief, full rotation is generally faster owing to its higher cutting efficiency and improved debris removal, whereas Adaptive Motion offers a safer option, particularly in complex anatomies.

Editorial note:

This article was published in roots—international magazine of endodontics Vol. 21Issue 1/2025.

Topics:
Tags:
To post a reply please login or register
advertisement
advertisement