Minimally invasive—the most well-known oxymoron in dentistry—is probably nowadays considered the new standard of care in almost every field of dental medicine, but more so in endodontics. Despite improved oral and dental health, the demand for endodontic treatment and restorations remains high among individuals with relatively complete dentition and dental awareness.[1] The need for adequate endodontic treatment is most likely one of the driving forces behind all the improvements that have reached practitioners in recent years. The use of nickel-titanium (NiTi) rotary files in root canal preparation is one of those improvements and has provided a reduction in the frequency of procedural errors and the time required for chemomechanical preparation in relation to manual files.[2]
Shaping is considered a crucial phase in root canal therapy because it not only is aimed at removing remaining pulp tissue, microorganisms and debris, but should also create the preconditions for effective irrigation and obturation. [1, 3, 4] These tasks should be accomplished without altering the diameter and position of the apical foramen or excessively weakening the root in any part. New instruments have been introduced every year, each claiming to be better than the previous one and having the ability to provide a better outcome. Regardless of any commercial interests, with regard to root canal shaping, from the aspect of the success of endodontic treatment, it is very important to maintain the original form of the canal as far as possible while the root canal is being gradually enlarged from the apical to the coronal region. [3]
The need for successful endodontics has probably set the stage for a new generation of rotary files, made with heat-treated NiTi. The various thermomechanical procedures and the improvement in composition of the alloy that is used in manufacturing NiTi files are aimed at improving the flexibility of NiTi files. [5–7] Improved flexibility of NiTi files would minimise the intracanal irregularities, such as canal transportation, and would ensure an increase in the success of root canal therapy.
One of the most well-known instruments when it comes to heat-treated rotary files are the HyFlex CM files (COLTENE). The controlled memory (CM) wire made with a thermally treated NiTi alloy, owing to the austenite/martensite transformation, has a stable martensitic microstructure at body temperature. [8] Therefore, the structure of HyFlex CM enables significant fatigue resistance, ease of bending and the ability to return to its original shape when heated above the transformation temperature. [9]
Recently, COLTENE has introduced a new type of file, the 20/05 EDM (the preparation file), which comes as a much-needed addition to the already existing EDM shaping system. HyFlex EDM instruments (COLTENE) are manufactured using the technique of electrical discharge machining and are the first endodontic files to be made with this method. [10] Electrical discharge machining can be used in manufacturing all types of conductive materials (e.g. metals, alloys, graphite and ceramics) of any hardness at high precision levels. [11] This manufacturing process uses spark erosion to harden the surface of the NiTi file, resulting in superior fracture resistance and improved cutting efficiency. HyFlex EDM NiTi files are manufactured using CM alloy technology just like the HyFlex CM NiTi files. HyFlex EDM 25 has a taper that changes throughout the file shaft and a 0.25 mm apical diameter. Throughout the file shaft, HyFlex EDM 25 has three different cross sections: quadratic in the apical third, trapezoidal in the middle third and almost triangular in the coronal third. [12] The other HyFlex EDM files (10/05 and 20/05) have a single taper of 0.05 throughout the working part.
The purpose of this case report is to present a new protocol that uses only three files in order to reach an optimum result, sacrificing a minimal amount of dental structure. One of the most important things that a clinician can focus on is being open-minded to question the paradigms of our profession. In time, some paradigms can become a false “standard of care” to those who blindly follow statements that are not supported by valid information. Adherence to some ideas promoted in the virtual or actual professional environment may ruin the balance of accurate knowledge, leading both clinicians and researchers to understand things solely from their perspective, for it seems evident to them that there is no other way to be. This is what we have come to know as the settlement of the paradigm. [14]
One of the most well-known paradigms in endodontics concerns the instrumentation of curved root canals, for which it is believed that the use of a #25 file in the apical portion fulfils all of the cleaning and shaping objectives of root canal therapy. The idea behind this theory is mostly centred around what can happen if one over-instruments the root canal. Failures such as deviations, perforations and zipping may have a higher rate of occurrence when one enlarges the apical diameter beyond a #25 file. [15–17] However, when one is treating a tooth exhibiting signs and symptoms of periapical periodontitis, further enlargement by hand files might be required, since it appears that the minimum instrumentation size needed for penetration of irrigants to the apical third of the root canal is a #30 file. [18]
Case report
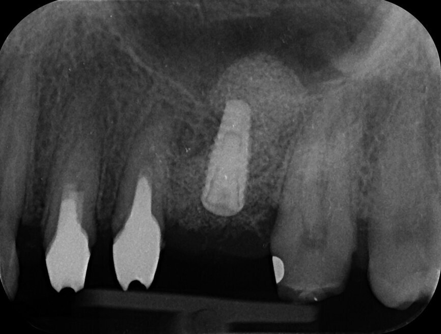
The patient who is the focus of our discussion came to our office reporting intense pain in response to hot and cold stimuli in the left maxilla (Fig. 1). He described the pain as being spontaneous at times and that in order for it to subside administration of anti-inflammatory medication was required. Upon examination, an accurate diagnosis was established of symptomatic irreversible pulpitis affecting tooth #27. The patient had had the tooth prepared for a crown sometime in the last 60 days (Fig. 2), but unfortunately the treatment was not completed for unknown reasons. Caries seemed to be absent; therefore, a minimally invasive approach was planned. Most likely, the pathology was caused by either trauma or an iatrogenic event.
After isolation of the tooth (Fig. 3), an access cavity was created using high-speed diamond burs and ultrasonic tips (Figs. 4–8). Pre-flaring in the coronal and middle thirds was done with the HyFlex EDM 25 instrument (at a torque of 4 Ncm and a speed of 500 rpm). It is a proven fact that pre-flaring allows an increase in the instrument size that binds in the root canal, irrespective of the discrepancy between the size of the file and anatomical diameter. [19–21] Afterwards, canal scouting was performed using an ISO size 10 stainless-steel K-file up to working length. Upon establishing the working length, with the help of an apex locator, the 10/05 EDM file (glide path file) was used up to working length (at a torque of 3 Ncm and a speed of 300 rpm). Subsequently before finishing the preparation with the 25 EDM file, the 20/05 EDM (preparation file) was used to full working length (at a torque of 3 Ncm and a speed of 400 rpm). At this point, the working length was confirmed again with an ISO size 20 NiTi K-file. Root canal shaping was completed with the 25 EDM file, which was inserted to full working length (at a torque of 3 Ncm and a speed of 400 rpm; Figs. 9–12).
This recommended shaping protocol also has the benefit of extruding less debris outside the root canal, thus improving the patient’s quality of life after the completion of the therapy. Dentinal and pulp tissue debris, microorganisms and irrigating solutions may extrude into periradicular tissue during the preparation of root canals, [22] thus causing complications such as postoperative pain, inflammation/infection and flare-up, and possibly delaying the healing process. [23]
The instruments in such an order are also very well suited for maintaining the anatomy of the root canals. The HyFlex EDM 25 file determines slightly less transportation at every level and in most cases stays a little more centred compared with other instruments available. [24]
Using the HyFlex EDM instruments as opposed to the HyFlex CM ones is no random choice. HyFlex CM files are manufactured via a grinding procedure. Grinding procedures during the production of NiTi files cause the formation of irregular areas, such as pits, fissures and metal folds. [25] Being subjected to huge flexural and torsional forces, the instruments need to be resistant and the surface of the file must not change throughout the therapy. According to a study by Uslu et al., the surface of used HyFlex EDM files was found to be statistically significantly rougher than that of used HyFlex CM files. [25] The surface properties of HyFlex EDM files, when compared with those of HyFlex CM files, were better retained after use for severely curved root canal preparation.
The sequence proposed in the present article is easy to use, easy to learn and highly versatile. One may adapt it to different cases, be it a severely curved mesial root of a mandibular molar or a highly calcified canal in a mandibular central incisor. Following several easy steps, but respecting the order in which the files must be used, success is just around the corner.
After chemomechanical treatment, the root canals were filled using a single-cone filling technique (ROEKO Guttapercha Points and ROEKO GuttaFlow bioseal, both COLTENE), and the access cavity was sealed using composite materials (Figs. 12–16).
Conclusion
Living in a world full of endodontic opportunities, it is important that the clinician use all the means available to provide the best quality of care for patients. Hopefully by applying this particular sequence in root canal therapy, the clinician can achieve the task more easily and in a much safer manner.
Editorial note: A list of references is available from the publisher. This article was published in roots – international magazine of endodontics No. 03/2018.
Increased media coverage and the availability of free web-based information has lead to heightened public awareness and thus to a dramatic increase in ...
What is the secret behind waking up every day, looking forward to peering into the microscope in search of a new adventure or a fresh challenge to solve? ...
After access preparation and location of anatomy, the next challenge facing the endodontic clinician is to select the proper file alloy and sequence for the...
VEVEY, Switzerland: Introduced by Swiss endodontic company Produits Dentaires (PD) at the 2019 International Dental Show, EssenSeal is an innovative sealer ...
PORTLAND, Ore., USA: Researchers at the Oregon Health and Science University (OHSU) have developed a revolutionary process by which to engineer new blood ...
The major causative role of micro-organisms in the pathogenesis of pulp and periapical diseases has clearly been demonstrated.[1] The main aim of endodontic...
The ultimate goal of endodontic treatment is the prevention and/or treatment of apical periodontitis, such that there is complete healing and absence of ...
Introduced in 2023, the Invisalign Smile Architect is an effective orthodontic and restorative treatment planning software on the Align digital platform. ...
The patient reported on in this article is a student in dentistry and his parents are both dentists. They referred their son to a good endodontist, who then...
The patient reported on in this article is a student in dentistry and his parents are both dentists. They referred their son to a good endodontist, who then...
Live webinar
Thu. 14 May 2026
12:00 pm EST (New York)
Live webinar
Thu. 14 May 2026
2:00 pm EST (New York)
Prof. Hani Ounsi DDS PhD FICD
Live webinar
Tue. 19 May 2026
11:00 am EST (New York)
Live webinar
Tue. 19 May 2026
1:00 pm EST (New York)
Prof. Dr. med. dent. Ivo Krejci
Live webinar
Wed. 20 May 2026
7:00 am EST (New York)
Dr. Graham Carmichael BDSc (Hons), DClinDent (Pros), FRACDS, Dr. Robert Gottlander DDS
Live webinar
Wed. 20 May 2026
9:00 am EST (New York)
Live webinar
Wed. 20 May 2026
1:00 pm EST (New York)
Prof. Dr. med. dent. Tim Joda PhD, MSc, eMBA
Thanks