Shaping the soft-tissue contour around implants with provisional resin crowns after implant placement has become a frequently used technique in implant dentistry.[1] For most implant-supported restorations, there is a 3 to 4 mm transmucosal attachment surrounding both the implant and the restoration.[2] Therefore, adjusting the soft-tissue contour by modifying the emergence profile of the provisional crowns to optimise the aesthetic outcome has become a regular practice in implant dentistry.[3]
In consideration of the health of periodontal tissue around natural teeth, the location of the crown margin is preferably placed supragingivally or flush with the gingival margin so that the contour of the restoration will not influence the gingival contour.[4,5] However, in the case of covering the original colour of the abutment tooth, forming the ferrule, and/or improving retention and resistance form, the crown margin can be placed subgingivally.[6] Because the sulcular depth around a healthy natural tooth is around 1 mm, the cervical margin of the crown is usually located 0.5 mm below the free gingival margin.[7,8] Thus, unlike an implant-supported crown, a tooth-supported crown can hardly influence the gingival contour.
However, when the sulcular depth of the abutment is sufficiently deep, as with a thick gingival biotype, it is possible to sculpt the gingival contour around the abutment teeth using provisional resin crowns. The treatment process will be demonstrated in this article through a typical case with a seven-year retrospective review.
embedImagecenter("Imagecenter_1_2418",2418, "large");
Case report
A 48-year-old female patient whose general health condition was good, was referred to the Peking University Hospital of Stomatology in Beijing in China in 2008. The patient’s main concern was the restoration of her maxillary anterior teeth that had been compromised by severe dental caries and treated with root canal therapy. The patient had no discomfort and desired not only restoration of the defective anterior teeth but also an aesthetic outcome. However, financial limitations meant not all of her dental problems could be addressed.
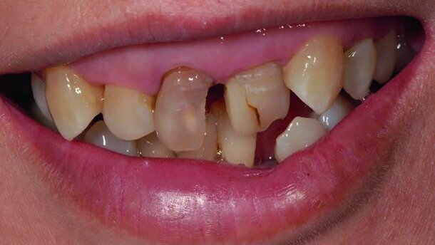
The dental examination revealed that tooth #22 was missing and tooth #23 had shifted mesially. In ad dition, there were visible defects on teeth #21, 11 and 12. The roots of teeth #21 and 12 were apparently palatally inclined and so were the crowns. Tooth #11 was slightly inclined to the palatal side and so was the crown. During examination of the occlusion, a deep overbite and a large overjet of the anterior teeth became evident. In addition, the contour of the patient’s gingival line was inharmonious. The angle of her mouth was asymmetrical when she smiled (Figs. 1–4).
Treatment plan
For patients with malocclusion and misalignment of teeth, the restorative procedures should be performed once the primary orthodontic treatment has been completed. However, considering the length of treatment and her financial limitations, the patient refused orthodontic treatment and only accepted the restorative treatment. Since the patient’s inharmonious gingival line may have interfered with the final aesthetic outcome, certain methods to improve the gingival contour were considered before tooth preparation.
Crown lengthening has been widely used for improving the contour of the gingival line.[9-11] However, even if the contour of the gingival line could be modified through periodontal surgery from the vertical direction, the palatally inclined maxillary anterior teeth would cause the inclination of the teeth’s long axes in the sagittal direction. Therefore, the ideal aesthetic outcome would be difficult to achieve (Fig. 5). In this case, the restoration’s entire labial face needed to be shifted labially so that the height of the gingival contour could be improved (Fig. 6). Therefore, a more suitable treatment option was considered.
During further examination, we found that the patient had a thick gingival biotype with a 3 mm deep gingival sulcus around the maxillary right lateral incisor and maxillary left central incisor and 1 mm deep around the maxillary right central incisor (Figs. 7 & 8). In implant dentistry, when the soft tissue around the implant is of a thick biotype, modifying the contour of the soft tissue by shaping the transmucosal soft tissue with a provisional resin crown of a certain shape has been proved to be an effective method for improving the aesthetic outcome.[12-15] However, for restoring defective natural teeth, there is insufficient clinical evidence to prove whether provisional resin crowns are capable of shaping the gingival contour. Such a treatment protocol was deemed worth attempting in the current case.
Diagnostic wax-up
In order to preview the expected outcome and guide the treatment, a diagnostic wax-up was prepared. On the model, the incisal edges of both central incisors were located on the palatal side of the red line (wet–dry border) of the lower lip; hence, the position of the incisal edges was to be shifted 2 mm to the labial side. Furthermore, in order to improve the patient’s deep overbite and large overjet, we decided to shift the incisal edges of the maxillary central incisors by 2 mm in the vertical direction, where the lip–teeth relationship could still tolerate changes palatally. According to the varied gingival sulcular depth, in order to protect the connective epithelium of the gingival sulcus, the top of the gingival line of the maxillary right lateral incisor, maxillary right central incisor and maxillary left central incisor would be shifted in the apical direction by 2.5 mm, 0.7 mm and 2.5 mm, respectively. The entire restoration would be inclined to the labial side by 1.5 to 2 mm so that the palatally inclined roots would not interfere with the aesthetic outcome (Figs. 9–14).
Tooth preparation and provisional restoration
According to the diagnostic wax-up, two silicone indices were fabricated. One of the indices was cut in the labiolingual direction to guide the preparation of the abutment teeth. The margin of the prostheses was designed to be placed 0.5 mm subgingivally (Figs. 15– 17). The provisional restorations would be fabricated according to the other silicone index, in which the improvement of the aesthetic outcome could be observed clearly. However, the shape of the provisional restorations was not designed to emulate the erupted natural teeth, but for the cervical part of the restorations to cover the labial gingiva. After a long period of remodelling and reshaping, the form of erupted natural teeth would be established (Figs. 22 & 23). The impressions for the post and cores were taken at the same time. Because the restorations were labially inclined, a gold alloy post and cores was chosen.
Shaping the gingival contour
The patient attended a follow-up two weeks after placement of the provisional restorations. At that time, the intra-oral examination showed recession of the gingiva and exposure of the shoulders on the labial side of both tooth #21 and tooth #12 (Fig. 24). The margins of tooth #11 could also be observed and the gingiva was healthy. At this appointment, the post and cores were placed and further tooth preparation was carried out to shift the margins in the apical direction. The new provisional restorations were fabricated to increase the convexity of the cervical part in order to enhance the effect of the gingival contour shaping. In accordance with the patient’s wishes, the incisal edges of the crowns were extended slightly by about 1 mm (Figs. 25–27).
After another two weeks, the patient returned to our clinic and examination found that the gingival contour had changed noticeably and the reconstruction of the transmucosal gingival contour was almost complete. The gingiva around the restorations was healthy (Fig. 28). The transgingival parts of the restorations were modified and the incisal edges were shortened in keeping with the patient’s wishes.
Two weeks after the new provisional crowns had been placed, the patient returned to our clinic for further treatment. At that time, the patient expressed her satisfaction with both the gingival contour and the position of the incisal edges (Fig. 29). Once the provisional crowns had been removed, the gingival contour around the abutment teeth was similar to the soft-tissue collar around dental implants. The final impression was taken in order to fabricate the master model, which would replicate the gingival contour accurately (Figs. 30–32). The final all-ceramic restorations were fabricated according to the master model.
Completing the final restorations
Once the final restorations had been completed, the clear transgingival contours of the crowns could be seen and were consistent with the shape of the gingival collars around the abutment teeth on the master model (Figs. 33–35). During the try-in procedure, the marginal fit, the shape and the contact points, the consistency of the transgingival contours of the restorations and gingival collars around the abutment teeth were examined carefully. The transgingival contours of the restorations should maintain the shape of the gingiva, but not increase the pressure, allowing the gingiva to remain healthy and maintaining the contour in the long term (Figs. 36–39).
Revisits
The one-week follow-up after placement of the final restorations found that the gingiva was healthy and stable around the crowns. When compared with the preoperative intra-oral photographs, the aesthetic outcome was a significant improvement (Figs. 1, 3, 40–43). The patient unfortunately did not attend the remainder of the follow-ups until seven years after placement of the final restoration. At this appointment, the examination revealed an undesirable oral health status, with a Debirs Index (+) and Dental Calculus Index (++). The gingiva was mildly reddened and swollen. However, the health of the gingiva around teeth #21, 11 and 12 was better than around any other teeth. Around teeth #21 and 12, the gingiva was healthy and the gingival contour was stable without noticeable gingival recession. Around tooth #11, slight gingival recession was found with slight reddening and swelling of the gingiva. However, the aesthetic outcome of the modified gingival contour had been maintained (Figs. 44–47).
Discussion
Shaping the transmucosal contour around implants using provisional crowns has been frequently used in implant dentistry. By using an individualised transfer coping, the collar-like soft-tissue contour around an implant can be replicated on the working model accurately.[3,16,17] In this manner, the contour of the final restoration will fit the exact contour of the soft tissue, thus assuring the long-term stability of the shape and position of the soft tissue around the implant.
In this case, the treatment protocol was drawn from the experience of the restorative process of implant-supported crowns. Taking advantage of the relatively deep gingival sulcus and thick biotype, the gingival contours around the abutment teeth were modified by the provisional restorations; therefore, the gingival contour was reshaped in 3-D and the ideal aesthetic outcome was achieved.
Throughout the relatively long-term follow-up period, the gingiva around the maxillary right lateral incisor and left central incisor with their larger transgingival depth and convexity was quite stable. The stability of the gingiva around these two teeth was greater than around the maxillary right central incisor with its relatively shallow transgingival depth and smaller convexity. In addition, the gingiva was healthy, proving the effectiveness of the treatment protocol applied.
In this case, the treatment protocol lay between the concept of the biologically oriented preparation technique (BOPT) and biological tissue adaptation (BTA), both of which have gained gradual acceptance. The BOPT approach suggests modification of the gingival contour by provisional restorations. Once the ideal gingival contour has been achieved, the gingival contour is replicated to the final restorations precisely. The BOPT approach suggests finishing the tooth preparation without a defined shoulder so that the gingival margin can be modified freely. In the present case, the maxillary right lateral incisor and maxillary left central incisor were prepared without a defined shoulder, thus fulfilling BOPT’s requirements for tooth preparation.[18] However, for BOPT, the convexity of the final restoration should be similar to that of the natural teeth and could play a role in remodeling the cemento-enamel junction. For the present case, the convexity of the final restorations was greater than that of the natural teeth and in that manner the current treatment protocol differed from BOPT.
The BTA protocol suggests cutting and modifying the gingiva in order to achieve an ideal gingival contour, and thereafter fabricating provisional restorations with a larger cervical convexity to remodel the gingiva. Once the gingival contour is stable and meets the requirement, the final restoration with the same transgingival contour is placed to maintain the gingival contour.[19]
According to the BTA approach, cutting part of the gingiva directly may damage the biologic width; thus, the gingiva is stimulated to regrow. However, the larger labial cervical convexity of the provisional or final restoration will interfere with the regeneration of gingiva in the vertical direction. The gingiva will only be able to regenerate along the contour of the restorations, and thus a gingival sulcus with a sealing function will develop and the gingival contour will be consistent with the shape of the restorations.[19]
In the BTA approach, the gingival–alveolar relationships are defined as 3-D biologic widths and the re lationship between the gingival contour and restorations is deemed to be a stable relationship.[19] In the present case, the treatment protocol differed from BTA; however, the outcome of the final restorations was similar.
Both BOPT and BTA are creative aesthetic gingival treatment concepts that have been established in recent years. The protocol applied in the current study lay somewhere between these two approaches. After seven years of follow-up, the maxillary right lateral incisor and maxillary left central incisor demonstrated better final aesthetic outcomes compared with the maxillary right central incisor, for which the restorative procedure was close to conventional restoration. Such a result encourages some consideration.
Editorial note: A complete list of references is available from the publisher. This article was published in cosmetic dentistry No. 01/2016.
Dental erosion caused by direct acid exposure without bacterial involvement has become increasingly clinically relevant in recent years.1 The extent of ...
Complete dentistry is the aesthetic and occlusal harmonisation of the teeth with the gingiva, lips, and face. As dentists, we can directly affect the ...
As an oral surgeon and prosthodontist specialising in full-mouth rehabilitation, I have consistently sought to integrate advanced technologies into my ...
Besides adequate knowledge of root canal morphology in general, it is of utmost importance to evaluate each individual case for aberrant anatomy and to ...
Over the last two decades, extensive research has been carried out to alleviate the two major shortcomings of orthodontic treatment: visibility and ...
A 72-year-old patient presented to our clinic for whom crown treatment of tooth #37 was planned owing to the patient complaining of recent pain on biting ...
Dental technicians have so many different restorative materials and design and finishing concepts available to them that it can seem difficult to select the...
AARHUS, Denmark: Besides everyday diagnoses, there are some real rarities to be found in the world of medicine. This was true for a patient at the ...
Mineral trioxide aggregate (MTA) was introduced as an alternative to traditional materials for the repair of root perforations and pulp capping and as a ...
The minor apical foramen should be maintained at its initial position and size after chemomechanical endodontic procedures. If the apical constriction is ...
Live webinar
Fri. 13 February 2026
12:00 pm EST (New York)
Live webinar
Mon. 16 February 2026
12:00 pm EST (New York)
Live webinar
Tue. 17 February 2026
12:00 pm EST (New York)
Live webinar
Wed. 18 February 2026
9:00 am EST (New York)
Dr. Anna Lella, Ms. Francesca Nava
Live webinar
Wed. 18 February 2026
12:00 pm EST (New York)
Prof. Dr. João Caramês CODE expert, Dr. Robert Gottlander DDS
Live webinar
Mon. 23 February 2026
3:00 am EST (New York)
Ass. Prof. Elizabeth Shick, Dr. Zehra Yonel
Live webinar
Tue. 24 February 2026
1:00 pm EST (New York)
Prof. Dr. Markus B. Hürzeler
To post a reply please login or register