Search Dental Tribune

Tooth wear and bruxism: Dentistry’s hidden struggle

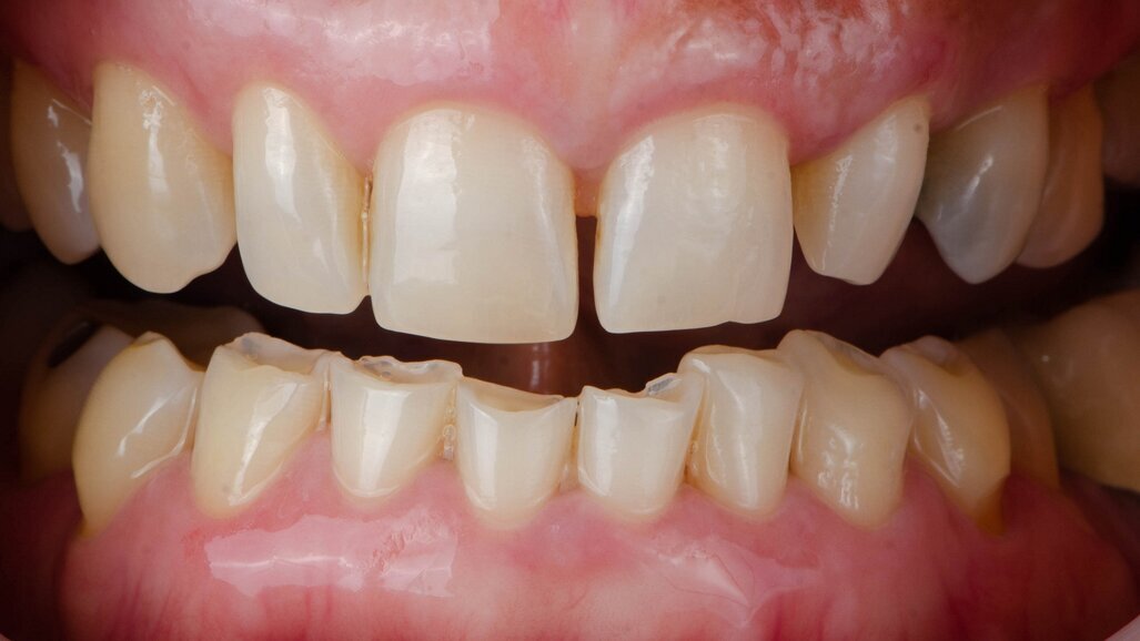
Dietary acids and stress-induced bruxism have a significant impact of on tooth wear. (Image: thitinonjong/Shutterstock)

Fri. 8. March 2024

save

When it comes to tooth wear, there are two primary aetiologies that I as a practising dentist encounter most frequently. The first, erosion, is often linked to dietary habits. An excessive intake of acidic beverages, including fizzy drinks and alcohol, particularly those with added citrus like lemon, contributes significantly to dental erosion.

Additionally, the prevalence of modern diets high in acidic fruits further exacerbates this condition. Medical issues such as bulimia and gastro-oesophageal reflux disease also play a role, as they introduce gastric acids to the oral environment. The second major aetiology is attrition, largely due to bruxism. This physical wear is often a response to psychological stress, which has become increasingly common in our fast-paced society.

The prevalence and consequences of bruxism

Various reports suggest that 5%–30% of the population clench and grind their teeth to some degree, and virtually everyone will brux at some point. It is, in fact, a more significant issue than dental caries and periodontal disease in terms of prevalence.

“Managing bruxism and occlusal disease requires a multifaceted strategy.”

Bruxism-induced tooth wear gives rise to occlusal disease. Occlusal disease encompasses problems arising from abnormal or harmful contact between the maxillary and mandibular teeth. This includes joint and muscle problems, breakdown of dental restorations, and broader implications for overall health and well-being. The condition often affects one or possibly two components of the masticatory system, typically not all at once. If the temporomandibular joints are affected, it can lead to joint pain, difficulties in chewing and joint sound phenomena. Muscle involvement often results in headaches, myofascial pain and retro-orbital discomfort. Besides tooth wear, fillings and other restorations can break, and the periodontal ligaments can become stressed, leading to tooth mobility.

It may have further repercussions, depending on the way sufferers respond to these symptoms. For instance, this condition often leads to heightened tooth sensitivity, prompting a shift towards softer food choices. Consequently, individuals tend to consume foods rich in carbohydrates while avoiding tougher textures, like meats, which are more challenging to chew. This dietary adjustment can result in a notable reduction in protein and fibre intake, thereby potentially affecting overall body health. Such changes in eating patterns not only affect oral health but can also have far-reaching implications on the individual’s general well-being, both physical and psychological.

Prevention and treatment

Managing bruxism and occlusal disease requires a multifaceted strategy, having the primary aim of alleviating stress. In treatment terms, the first line of defence in managing bruxism is the use of occlusal splints. These devices, when correctly designed and used, can prevent further damage to the teeth and jaw. However, their effectiveness depends on factors like design, cost and patient compliance.

Understanding the theory behind splints is crucial, as some types can worsen the condition. For example, soft splints, which are generally the only option available on the National Health Service, can be helpful for some but detrimental for others, whereas hard acrylic, fully adjusted splints offer more predictable results.

When teeth are already damaged, restorative treatment becomes necessary. This can range from using composite materials for minor repairs to full reconstructions using ceramics or gold, the latter of which is particularly well accepted by older patients. The choice of material and technique must be tailored to each patient’s specific needs and circumstances. Restorative treatments also need to take into consideration the correct occlusal principles to ensure longevity of the restorations and health of the masticatory system.

“The key to managing these conditions lies in education.”

The role of general dentists

General dentists can manage a significant proportion of cases involving bruxism and occlusal disease. Continuing education and practical training are crucial for dentists to diagnose, treat and manage these conditions effectively. About 80%–90% of treatments fall within the scope of general dental practice, the remaining cases requiring specialist referral.

It is not at all as daunting as you might think when you consider that to treat bruxism dentists need to understand just five principles:

  1. Establish temporomandibular joint position: Our initial approach focuses on aligning the temporomandibular joints into their proper position, that is, either centric relation or retruded axis position. Despite the different terminologies used in occlusion, both terms signify the same position, aiming to align the condyles correctly.
  2. Ensure tooth contact: Once the temporomandibular joints have been accurately positioned, it is crucial to verify that all teeth make simultaneous contact. This uniform contact across all teeth is essential for a comfortable occlusion.
  3. Ensure anterior guidance during movement: In protrusive, retrusive and lateral movement, it is important that the anterior teeth facilitate the sliding motion while the posterior teeth disengage. This anterior guidance is key to proper dental function.
  4. Avoid posterior tooth interference: During various movements, including bruxism, it is important to ensure that the posterior teeth do not interfere with one other. This means avoiding non-working side, or balancing side, interferences, which create Class 2 leverage, to maintain oral health.
  5. Establish posterior tooth stability: The focus here is on ensuring that the forces exerted on the posterior teeth are directed down the long axis of each tooth. This approach seeks to ensure that every posterior tooth has three points of contact to prevent tilting and maintain stability.

The key to managing these conditions lies in education. Understanding the principles of occlusion, the mechanics of splint therapy and the nuances of restorative treatments is essential. Dentists must be proactive in identifying signs of bruxism and occlusal disease and should not hesitate to implement appropriate interventions, such as splints, to prevent further damage.

Embracing a holistic approach

As dental professionals, we must integrate these insights into our practice, ensuring comprehensive care for our patients. This approach not only addresses immediate dental concerns but also considers the broader implications for the patient’s overall health and quality of life.

Editorial note:

Dental professionals who would like to know more about this topic are invited to attend Dr Tipton’s presentation titled “Treatment options for the bruxist and wear patient”, which he will be delivering on 17 May at the British Dental Conference & Dentistry Show in Birmingham. More information can be found at birmingham.dentistryshow.co.uk. This article was published in Dental Tribune UK & Ireland vol. 14, issue 1/2024.

Tags:
To post a reply please login or register
advertisement
advertisement