Consider this the new era of painless teeth whitening and the end to soft tissue damage caused by hydrogen peroxide. Developments in the past five years have made a huge impact on the daily work of dentists, dental hygienists and well-trained dental nurses in the EU regarding the parameters for inoffice teeth whitening and the purchase of teeth bleaching products containing hydrogen peroxide or carbamide peroxide.
In 2011, a new EU regulation called the EU directive 2011/84/EU brought about massive changes in teeth whitening across the blossoming industry in Europe. Following the new EU regulations, patients must be under constant dentist supervision and see the dentist before, during and after the teeth whitening process. Delegated, supervised and welltrained dental assistants are still allowed to perform teeth whitening procedures if supervised by a dentist on-site.
Economic effect on dental hygienists and cosmetologists
In the Netherlands and other EU countries, self-employed dental hygienists have been severely economically affected. Professional hygienists are no longer allowed to whiten teeth as they did for many years as independent business owners. To continue teeth whitening therapy and running their own local clinics, self-employed dental hygienists had to hire dentists for supervision purposes to fulfil the new EU regulations.
Fig. 1a: Scanning electron microscope (SEM) images of unprotected open dentine tubuli before treatment with nHAp agent by PrevDent.
Fig. 1b: Scanning electron microscope (SEM) images of unprotected open dentine tubuli before treatment with nHAp agent by PrevDent.
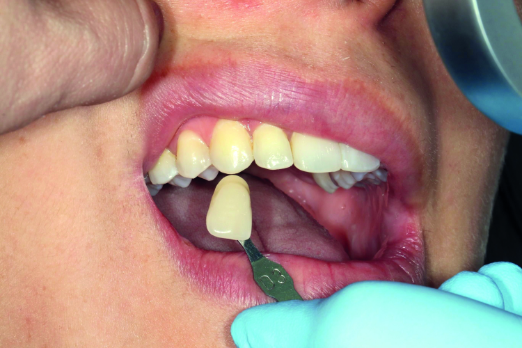
Fig. 4: Initial situation.
Fig. 5: Final result, after bleaching and remineralisation with nHAp by PrevDent.
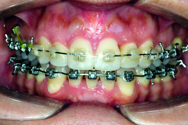
Fig. 3: nHAp agent by PrevDent can be used also during orthodontic treatment.
Fig. 2a: Scanning electron microscope (SEM) images of sealed and protected dentine surfaces after treatment with nHAp agent by PrevDent.
Fig. 2b: Scanning electron microscope (SEM) images of sealed and protected dentine surfaces after treatment with nHAp agent by PrevDent.
Cosmetologists and cosmetology studios were also required by the EU regulations to remove their teeth whitening practice. Even before the new EU regulations, some courts had already ruled that teeth whitening belonged in the dental field only and could only be performed by dentists and supervised by dental assistants and/or dental hygienists. In Germany specifically, teeth whitening in cosmetology studios where cosmeticians, dental students and dental assistants were employed, had to stop their non-regulated businesses or had to hire dentists for supervision.
Professional products banned in EU countries
Professional teeth whitening products above 6 % hydrogen peroxide and 16 % carbamide peroxide were banned from the market and are no longer available in all restricted EU countries. The only cosmetic products available to consumers for at-home teeth whitening contain less than 0.1 % hydrogen peroxide and can only be purchased online.
Reactions have been varied in different EU countries. Most of the countries are following and monitoring EU regulations completely. Several EU countries are only allowing teeth whitening by the dentist or dentist supervised dental assistants. The same countries are no longer allowing teeth whitening products above 6 % hydrogen peroxide or above 16 % carbamide peroxide. The current countries following these regulations are: the Netherlands, Belgium, Luxembourg, United Kingdom, Ireland, Slovenia, Croatia, France, Romania, Sweden, Finland, Norway and Denmark.
Different guidelines in Germany
Missing from this list is Germany. Usually Germany is the first country to follow new restrictive guidelines, no matter where they come from. However, hydrogen peroxide is still being used in higher concentrations and is still available in Germany.
At the moment, the German government allows higher concentrations above 6 % hydrogen peroxide. But patients receiving the bleaching therapy should have medical purposes and not cosmetic reasons for such a special, highly concentrated teeth whitening treatment.
The state control system has not yet detected the use of higher concentrations of hydrogen peroxide in Germany and these products should also be banned from the market because of EU directive 2011/84/EU. But, we expect German regulations to follow the EU directive for this year.
Off the market in France
France had some special reactions on the EU directive and control mechanisms. All teeth whitening products—even the ones that should have only 6 % hydrogen peroxide—were taken off the market for some months and went into a state control system. The Health Ministry of France wanted to be sure that all products contained the exact concentrations of the teeth whitening agents that were displayed on the packages. All teeth whitening products were analysed and double checked by a governmental state control.
After this analysis, some products failed the new restrictions; in reality they contained a higher concentration than what was printed on the packages. Of course these products were taken off the market, along with the products with officially higher concentrations of the teeth whitening agents.
Other reactions from EU countries
In countries like the Netherlands or the United Kingdom, the new rules have led to a massive change to teeth whitening treatments. Market shelves were completely empty because of all the banned products and the dentists were sending patients away from in-office teeth whitening to home teeth whitening. Products containing only 16 % carbamide peroxide for home teeth whitening had a massive increase in sales.
The UK market also had an increase in home teeth whitening products. For in-office teeth whitening, UK dentists no longer saw a safe and effective alternative therapy. In general, the market appeared confused and nervous based on a lack of alternative new teeth whitening products and lack of information.
The UK’s Commonwealth States had similar reactions to the regulations and availability of products. India and Australia adapted the EU regulations to the local market and made plans to reduce hydrogen peroxide concentration down to 3 % instead of 6 %. By following the EU regulations like the UK, the market opportunities in these countries are growing more in the home teeth whitening business.
Studies and new product compliant with EU regulations
To put professional teeth whitening therapy back into the hands of qualified dentists, new technology had to be developed to deliver great and safe results and still comply with the EU regulations. This applied not only to whitening agents with just 6 % hydrogen peroxide, but also finding new additives to increase the value and results of teeth whitening treatment, and on challenging cases with hypersensitive teeth and gums.
The regulations made it necessary to go back to studies carried out in 2010 by a Japanese University (Kawamata et al.) as well as the University of Indianapolis to find a new product. All over the world, teeth whitening scientists were waiting for the discovery—or rather, rediscovery—of the additive nHAp: nanohydroxyapatite.
Discovery of nHAp—nanohydroxyapatite
Multiple studies had previously shown several positive effects of nHAp on solid tooth structures as enamel, dentine and on gingival soft tissues leading to reduction of tooth decay and periodontitis or gum disease.
The application of nHAp provides a remineralisation of the tooth surface and seals sensitive dentine tubules. The nHAp remineralisation is an active agent against white spots and early enamel lesions. Nanohydroxyapatite helps to effectively remineralise the erosions on teeth caused by soft drinks, for example. With a new smoother tooth surface, bacterial adhesion is decreased and fewer periodontal infections occur.
As result of the studies, the World Health Organization (WHO) announced that nHAp could become the effective and economical prevention therapy for third world countries. Thanks to the University of Indianapolis for discovering that teeth whitening with 6 % hydrogen peroxide simultaneously with nHAp reduces all the well-known painful and negative side effects of teeth whitening. Currently, their studies are leading to brilliant teeth whitening results without sensitivities during and after the teeth whitening process. This is a massive breakthrough in teeth whitening over the past few decades.
Results of nHAp
From these results, the Dutch company PrevDent created patents for teeth whitening combined with nHAp, the first EU-legal teeth whitening product with an intensive simultaneous remineralisation. The new developments and changes by this technology for the sensitive patient are visible, detectable and remarkable.
In the past, hypersensitive patients with exposed dentine structures had severe challenges with teeth whitening products. To make these conditions possible to treat, patients visited the clinic several times for desensitisation therapy before the teeth whitening appointment. Multiple fluoridations of the tooth surface and multiple use of amorphic calcium phosphate (ACP) started weeks in advance of the treatment and were standard procedure.
Before, during and after the teeth whitening procedure, the patient had to consume painkillers and anti-inflammatories as a recommended therapy. Without any kind of preventive desensitization programme, teeth whitening therapy was not possible.
Now even patients with sensitive teeth and exposed dentine can have painless teeth whitening without other side effects. The combined teeth whitening therapy is called ‘In-Office Repair Whitening’ by PrevDent.
How to achieve excellent results with only 6 % hydrogen peroxide
PrevDent did their homework, used scientific research, and patented a device to arrive at the best and safest results while at the same time meeting EU regulations. The active ingredients in in-office repair whitening create an interactive reaction between 6 % hydrogen peroxide combined with a special stabilising molecule, which bonds with the surface of the teeth and is applied with a special mixing device and container that seals and preserves both liquids—nHAp and hydrogen peroxide.
Technical evolution
For each patient, the solution is mixed to freshly activate the ingredients into a foam with a solid structure that physically adheres to the tooth surface. This foam mixture is another technical evolution. Because of the way it bonds with the tooth surface, the teeth whitening process works immediately and actively.
Time and sequence of results
PrevDent’s standard application is six times every ten minutes. In each sequence, the foam is always mixed and freshly applied and fully concentrated. Applying the fresh foam mixture with those extremely active ingredients each time is key in reaching the predictable perfect results within the estimated time of one hour. When necessary, a few extra applications are possible.
Therapy for sensitivities and remineralisation
Using results based on scientific research, PrevDent also developed DeSensiDent—a tooth serum of highly concentrated nHAp. DeSensiDent has become the universal desensitising tool and is used for all kinds of treatments against dental sensitivities and for tooth surface remineralisation.
In the field of orthodontic treatment, PrevDent has opened doors for intensive preventive therapy, which is being studied and discussed by the World Health Organization (WHO). Before, during and after the orthodontist performs corrective treatments with braces, the tooth surface is treated with the highly concentrated nHAp. PrevDent’s OrthoCare products help prevent tooth decay and remineralises enamel erosion occurring at the contact points between teeth and braces.
Medical treatment
Preventive therapy with nHAp is a focused medical treatment and not an aesthetic, cosmetic treatment. This therapy is not based on aesthetical in dications or patients’ wishes, and is therefore considered a medical treatment without additional taxes for the dental and orthodontist businesses.
In some countries like Germany, similar surface sealant therapy is paid by insurance as a preventive therapy for every single tooth before, during and after orthodontic treatment with braces (GOZ No. 2000a).
Mineral restoration and surface sealant therapy follows the GOZ No. 2000a, which is the fissure sealant and surface sealant therapy of healthy tooth surfaces. The general office of the German private insurances declares that such a treatment is medically necessary and will be covered by all German private insurance companies.
Availability for professional treatments facilities
The DeSensiDent product line is currently available on the market, meets EU regulations, and is the number one professional product developed by PrevDent for mineral restoration and surface sealants. PrevDent has opened a big and important scientific door for dental professionals performing orthodontic procedures and who want to include remineralising and desensitising treatments into their preventive and restorative therapy portfolio.
To summarise, based upon scientific results PrevDent’s in-office repair whitening is a combined teeth whitening and remineralisation product that is fulfilling all national and international restrictive parameters that occurred out of the EU directive 2011/84/EU. As additional complementary products, they developed new desensitising and remineralisation tools based on the usage of nHAp for intermediate short-term applications and intensive long-term applications as sealant products.
As another future perspective, this nHAp technology of PrevDent can become a successful partner for surface sealant technology in the perioprevention concept.
Editorial note: A list of references is available from the publisher. This article was published in cosmetic dentistry beauty & science No. 1/2017.
Adding to the already very strict laws and restrictions in the area of dental hygiene, on top of the constantly growing demands placed on dental practices, ...
Many dentists continue to have reservations about bleaching and are hesitant to include tooth whitening in the range of services they offer to their ...
STRASBOURG, France: In a recent market surveillance study, the European Network of Official Cosmetics Control Laboratories (OCCLs) has assessed cosmetic ...
SHANGHAI, China: A new approach to tooth whitening could offer a safer option for home use. Researchers have developed a biocompatible powder that ...
White teeth have long been cosmetically desirable. Studies suggest that at least a third of dental patients are not satisfied with the colour or aesthetic ...
A beautiful smile tends to be associated with health, self-confidence, and happiness, and because of this, it influences a person’s self-esteem and ...
COLOGNE, Germany: A recent review on the remineralisation of tooth enamel published in the Journal of Dental Research stated that the goal of modern ...
AMMAN, Jordan: A new comparative study has found that leading artificial intelligence (AI) chatbots provide largely accurate and reliable information on ...
ORLANDO, Fla., U.S.: In three new studies, researchers have recently found that hydrogen peroxide, even at the concentration used in over-the-counter ...
LONDON, UK: In recent years, tooth whitening has become an increasingly common form of aesthetic dental treatment. Though its provision is legally limited ...
Live webinar
Tue. 12 May 2026
1:00 pm EST (New York)
Live webinar
Thu. 14 May 2026
12:00 pm EST (New York)
Live webinar
Thu. 14 May 2026
2:00 pm EST (New York)
Prof. Hani Ounsi DDS PhD FICD
Live webinar
Tue. 19 May 2026
11:00 am EST (New York)
Live webinar
Tue. 19 May 2026
1:00 pm EST (New York)
Prof. Dr. med. dent. Ivo Krejci
Live webinar
Wed. 20 May 2026
7:00 am EST (New York)
Dr. Graham Carmichael BDSc (Hons), DClinDent (Pros), FRACDS, Dr. Robert Gottlander DDS
Live webinar
Wed. 20 May 2026
9:00 am EST (New York)
My question is for colleagues who perform whitening treatment. Has anyone heard about the possibility to save on Zoom whitening by buying a special chip from bleach-infiniter.com I’ve heard that many of doctors use Beyond Max 5 in Zoom whitening treatment because it’s much cheaper if you have the chip which gives the unlimited number of sessions. What do you think about this?