Search Dental Tribune

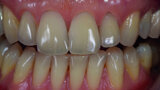
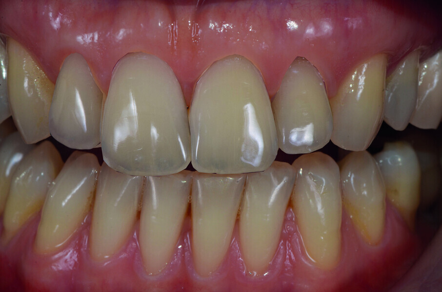
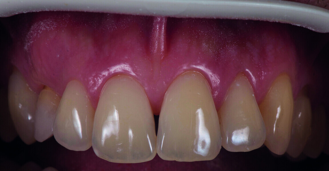
Aesthetic Digital Smile Design: 2-D-/3-D-assisted communication and software design

advertisement
advertisement