Search Dental Tribune

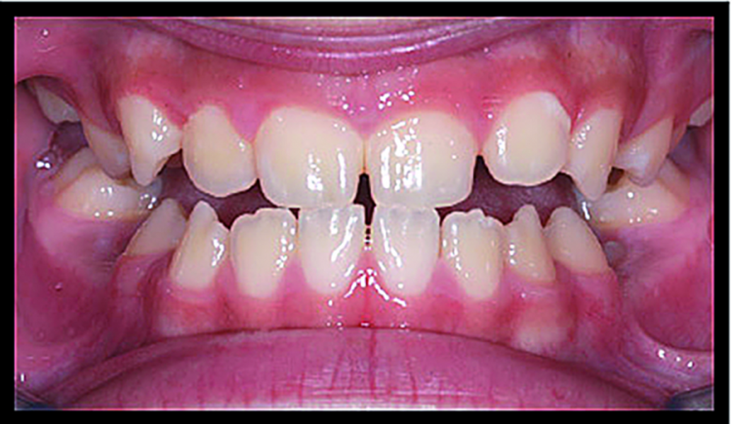
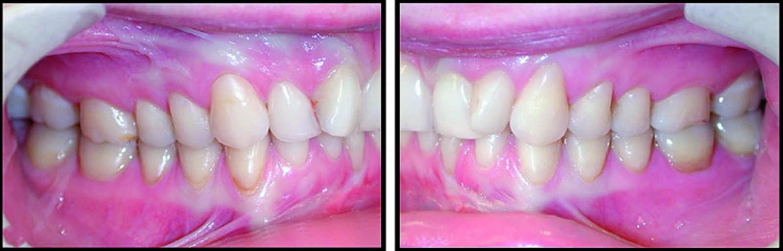
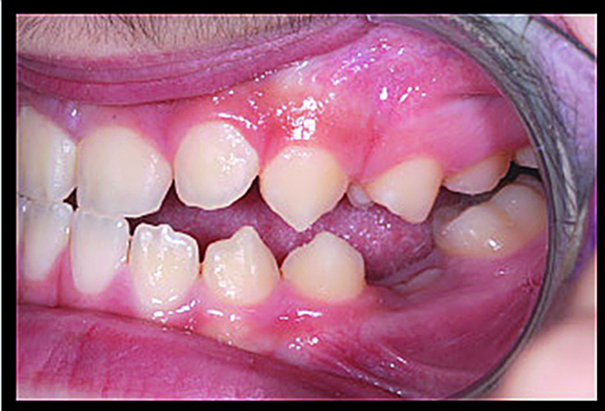
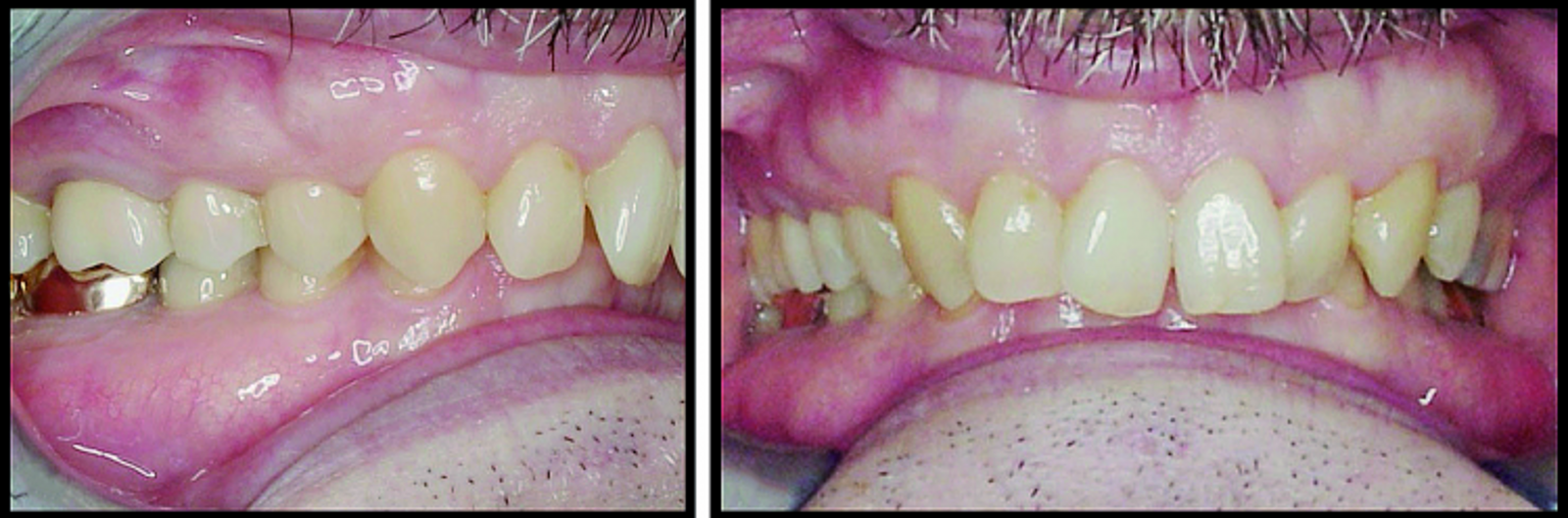
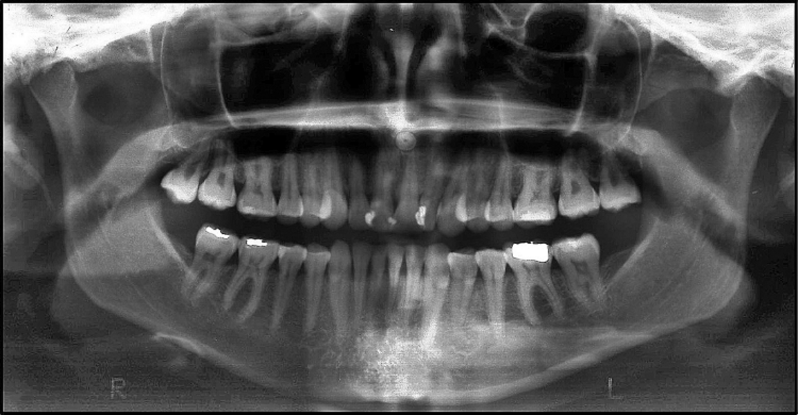
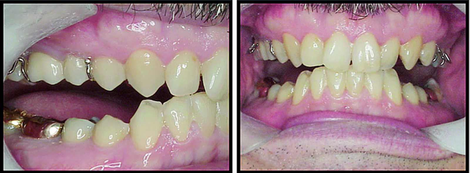
BiTurbo2 system for rapid deep overbite correction

advertisement