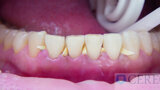
Fig. 1: Initial situation.
Fig. 2: Considerably shortened tooth crowns due to bruxism.
Fig. 3: Clinical situation initially. Worn anterior dentation and compensatory overeruption.
Fig. 4: Clinical situation after nine months of clear aligner therapy. Total of 2 mm of intrusion was achieved.
Fig 5: Result after nine months of orthodontic treatment.
Fig. 6: …and after placement of the veneers in the maxilla.
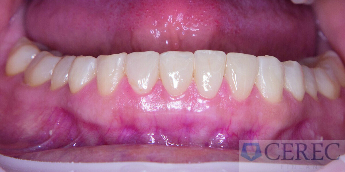
Fig. 7: Preparing the mandible for the veneers.
Fig. 8: Veneers produced chairside prior to fitting.
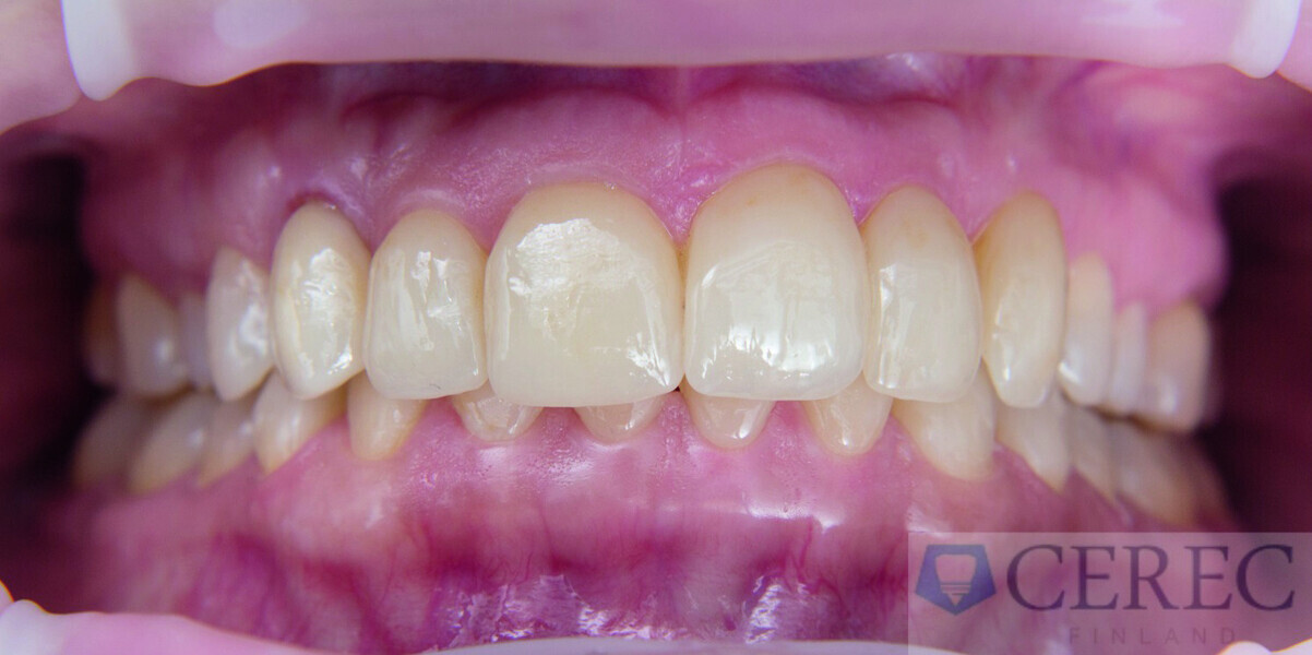
Fig. 9: Image after fitting the veneers.
Fig. 10: Perfect adaptation of the veneers with optimal margin design.
Fig. 11: Final appearance on lip rest position showing good amount of tooth structure.
Fig. 12: Good support for the upper lip.