Fig. 1: Single-tooth exposure of tooth #21 after recurrent marginal gingivitis. Owing to the initial diagnosis of extensive resorption, the tooth could not be preserved.
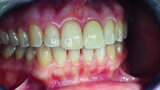
Fig. 2: Initial situation: tooth #21 exhibited marginal redness of the gingiva that bled when probed.
Fig. 3: The initial situation in 3-D in the Sidexis 4
imaging software (Dentsply Sirona) showed good apical bone substance with the possibility of immediate implantation.
Fig. 4: Tooth #21 was deleted in CEREC to simulate the initial post-op situation.
Fig. 5: The prosthetic proposal was also used as the basic file for producing the surgical guide with the gap at position #21.
Fig. 6: The intraoral CEREC scan superimposed over 3-D image data for optimal positioning of the implant in the Galileos Implant planning software.
Fig. 7: Gentle extraction preserving the vestibular lamina.
Fig. 8: The resorption of tooth #21, external view. This confirmed the accuracy of the diagnosis from
the imaging procedure.
Fig. 9: Preparing the implant bed according to the recommended drill sequence, insertion of the implant using the SICAT surgical guide.
Fig. 10: Intra-op CEREC scanning with a ScanPost.
Fig. 11: Augmentation of the vestibular alveolus.
Fig. 12: The screw-retained crown as a finished polished temporary.
Fig. 13: Sealing the screw channel with composite.
Fig. 14: Situation immediately after insertion of the crown.
Fig. 15: Situation after one week: activation of wound healing with a soft laser of 660 nm.
Fig. 16: Inserting the abutment with the transfer key.
Fig. 17: Complete preservation of the vestibular contour.
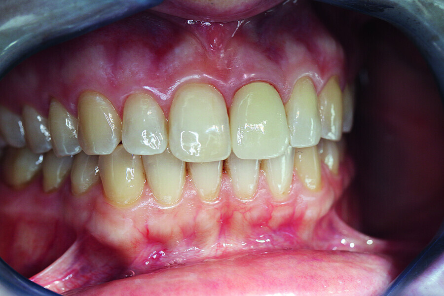
Fig. 18: Final image immediately after inserting the crown with an ideal red–white aesthetic.
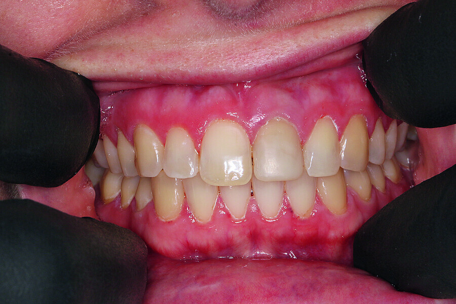
Fig. 19: Ideal osseointegration four months post-op.