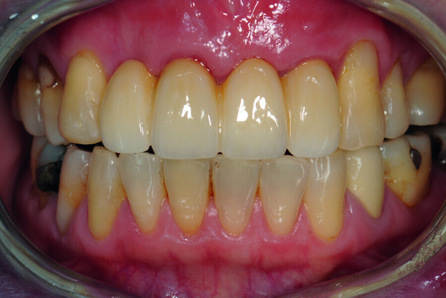
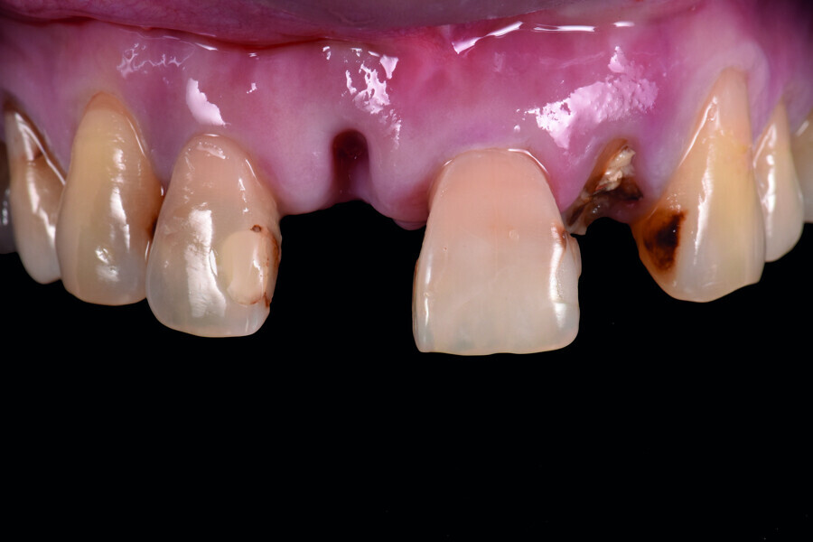
Fig. 1: Pre-op frontal view of the anterior teeth.
Fig. 2: Pre-op occlusal view of the anterior teeth.
Fig. 3: Pre-op panoramic radiograph.
Fig. 4: Pre-op CT analysis.
Fig. 5: Frontal view of the anterior teeth immediately post-op.
Fig. 6: Occlusal view of the anterior teeth immediately post-op.
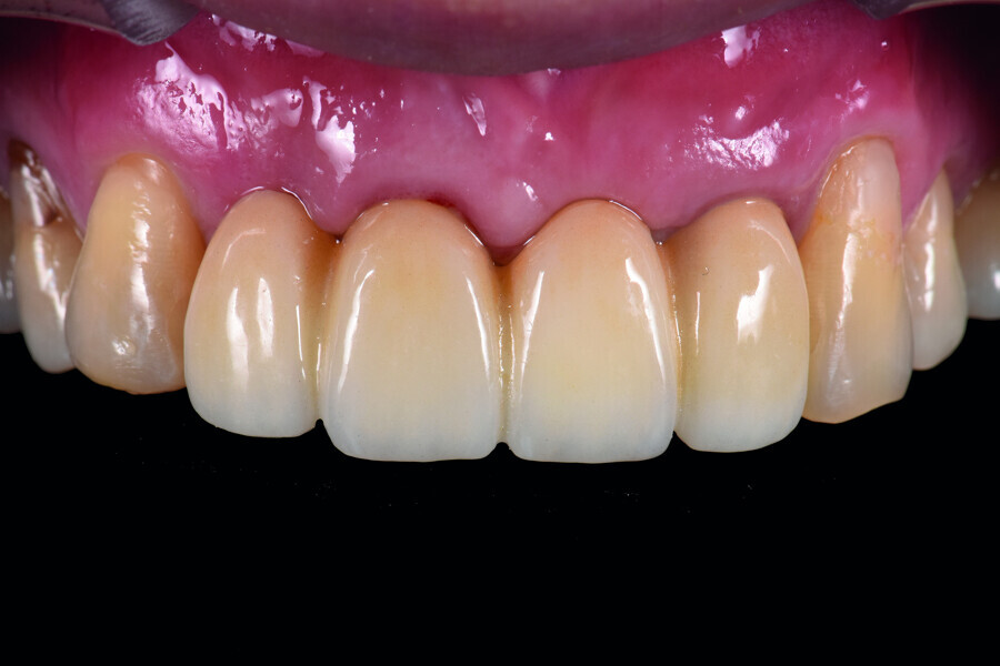
Fig. 7: Frontal view of the anterior teeth three months post-op.
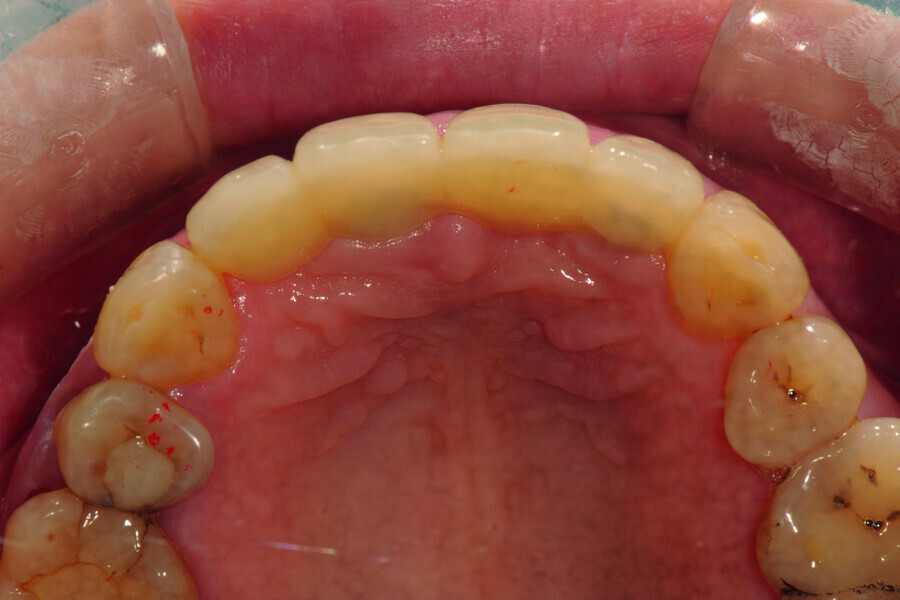
Fig. 8: Occlusal view of the anterior teeth three months post-op.
Fig. 9: Patient smiling three months post-op.
Fig. 10: The overjet and overbite between the implants and the mandibular anterior teeth.
Fig. 11: The emergence profile three months post-op.
Fig. 12: Two impression copings connected for the implant level impression.
Fig. 13: Reshaping of the artificial gingival contour on the model in order to obtain a good gingival aesthetic effect (performed by dental technician Samuel Chou).
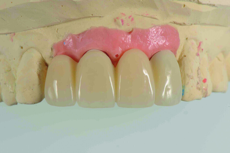
Fig. 14: Provisional restoration on the model.
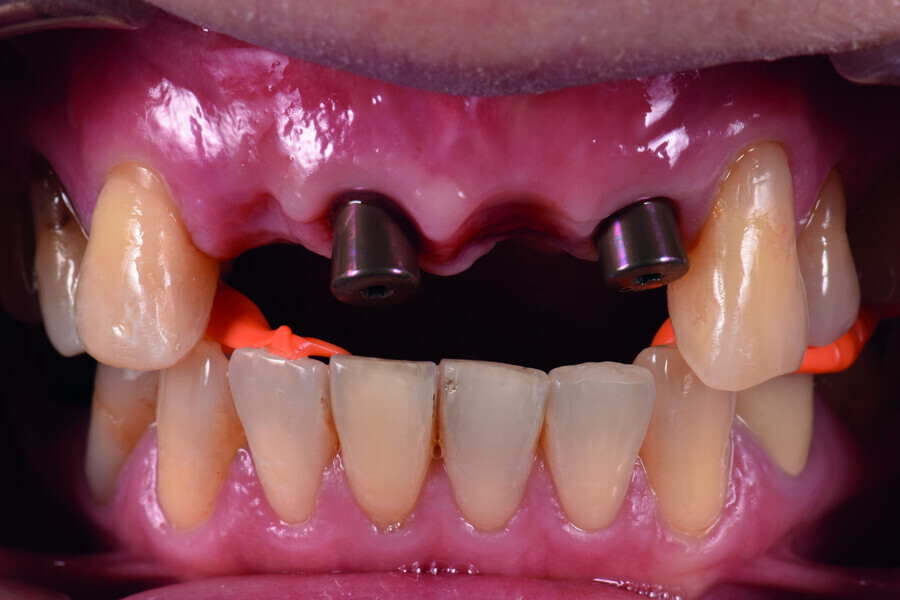
Fig. 15: Insertion of provisional abutments.
Fig. 16: Modification of the gingival contour under the pontic.
Fig. 17: Finishing of the reshaping of the gingiva.
Fig. 18: Frontal view of the provisional restoration just after delivery.
Fig. 19: The patient smiling with the provisional restoration in situ.
Fig. 20: The patient smiling
after adjustment of the labial contour of tooth #13.
Fig. 21: Frontal view of the anterior teeth after adjustment of the labial contour of tooth #13.
Fig. 22: ICP contact on tooth #13 after reshaping of the lingual surface with resin (12 μm occluding paper, red).
Fig. 23: Lateral guidance on tooth #13 after reshaping of the lingual surface with resin (12 μm occluding paper, red).
Fig. 24: Facebow transfer of the provisional restoration.
Fig. 25: Mounting of the provisional restoration.
Fig. 26: Mounting of the mandibular model according to ICP bite registration.
Fig. 27: According to the anterior guidance of the provisional restoration, the individual incisal guide table was set.
Fig. 28: Emergence profile after shaping by the provisional restoration.
Fig. 29: Individual impression coping.
Fig. 30: Implant level impression.
Fig. 31: Insertion of 5 mm healing abutments to obtain sufficient retention for the bite registration material. The same posterior ICP bite registration was used as for the provisional restoration in order to ensure the ICP was stable.
Fig. 32: ICP bite registration on the healing abutments.
Fig. 33: Cross-mounting of the maxillary cast model.
Fig. 34: Step-by-step model scanning.
Fig. 35: The provisional digital model was matched with the cast digital model.
Fig. 36: The incisal guide table was set
in the virtual articulator.
Fig. 37: Design of the abutment.
Fig. 38: Design of the bridge.
Fig. 39: Manufacture of the restoration with multilayer zirconia.
Fig. 40: Final restoration (performed by dental technician Chunyu Duan).
Fig. 41: The zirconia bridge without any ceramic veneer.
Fig. 42: The titanium-based zirconia abutment.
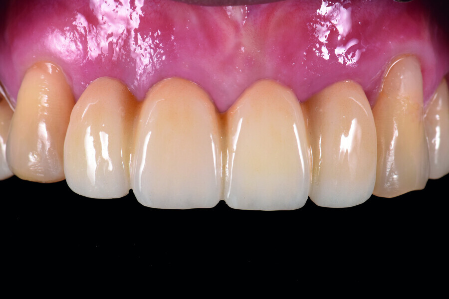
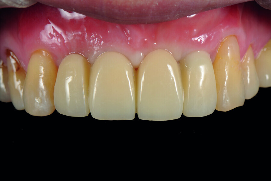
Fig. 43: Frontal view of the anterior teeth just after delivery.
Fig. 44: ICP occlusal contact (12 μm occluding paper, red).
Fig. 45: Protrusive contact just after delivery; only tooth #11 achieved contact (12 μm occluding paper, black).
Fig. 46: After occlusal adjustment, the protrusive contact was even on the restoration (12 μm occluding paper, black).
Fig. 47: Protrusion just after delivery.
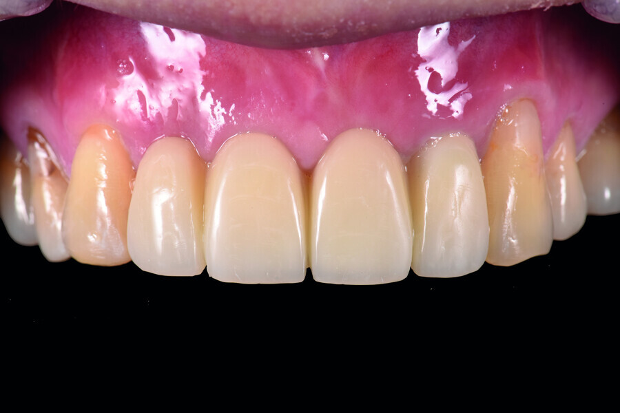
Fig. 48: Frontal view of the anterior teeth after two weeks.
Fig. 49: Patient smiling two weeks after delivery of the final restoration.
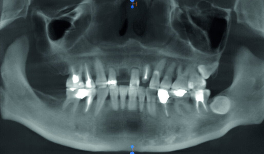
Fig. 50: CT analysis post-op.