Search Dental Tribune

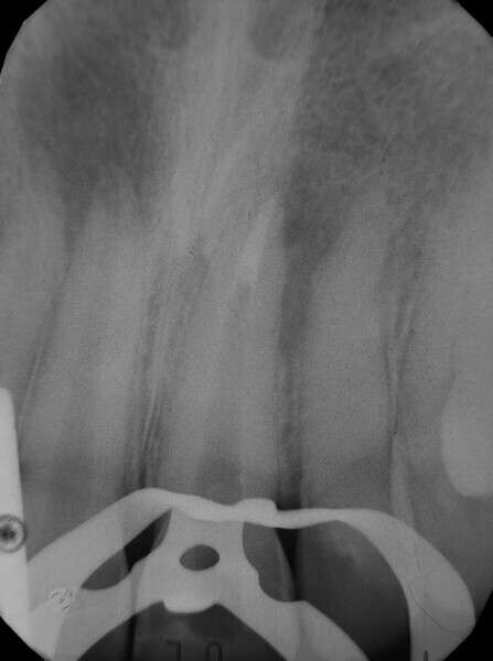
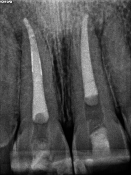
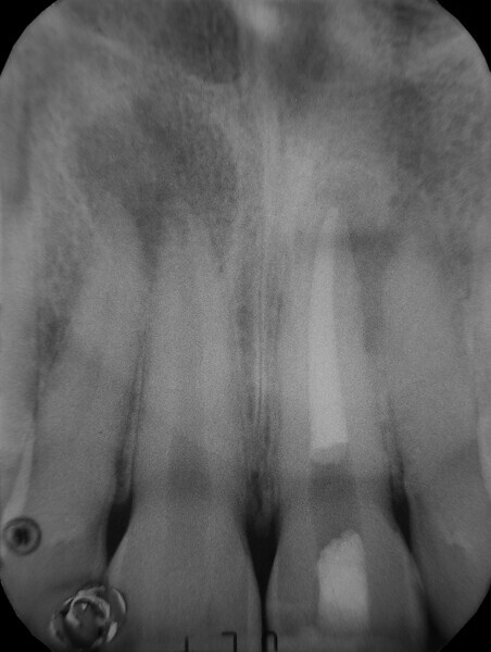
Irrigating the root canal: A case report

advertisement