Search Dental Tribune

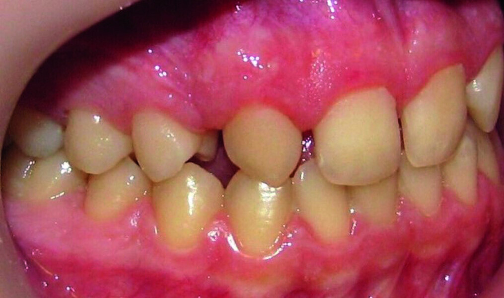
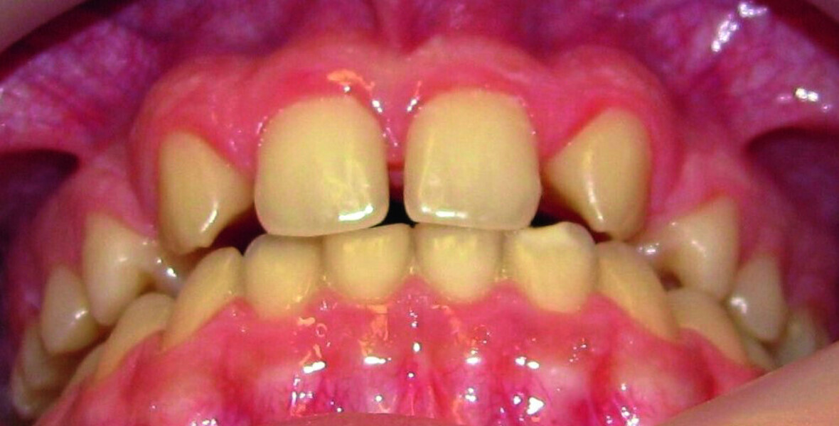
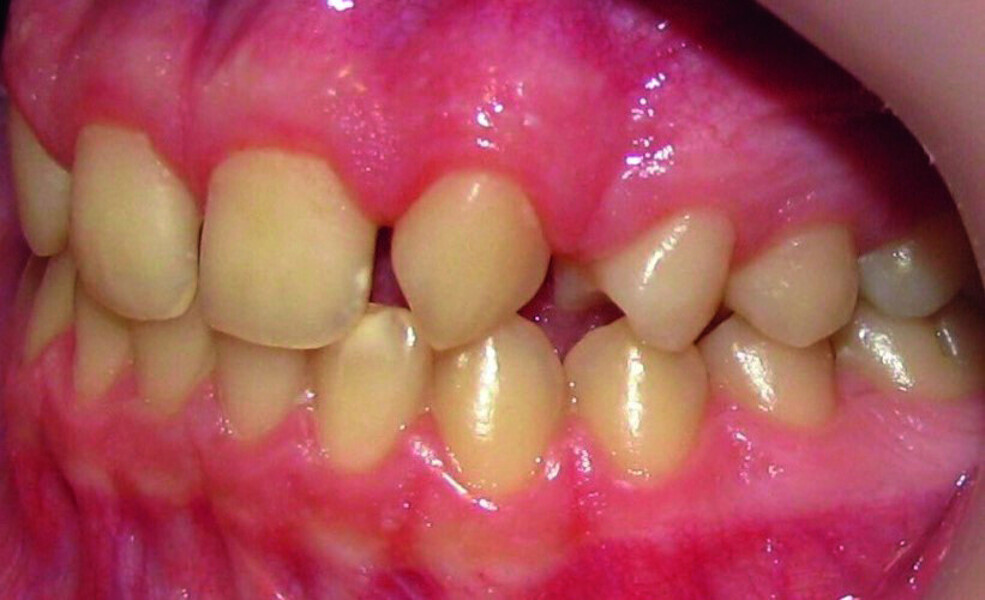
Orthodontic management of maxillary lateral incisors agenesis

advertisement
advertisement