Search Dental Tribune

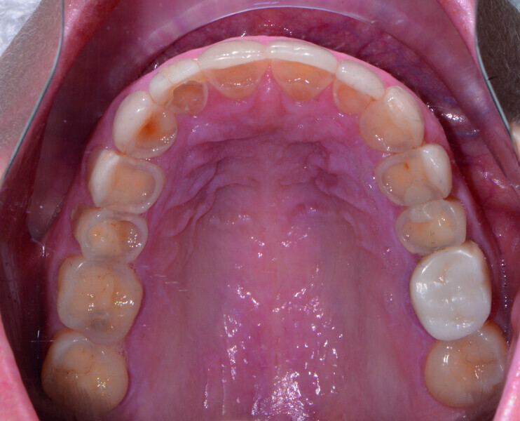
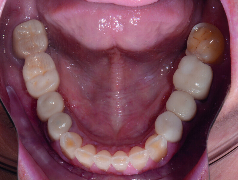
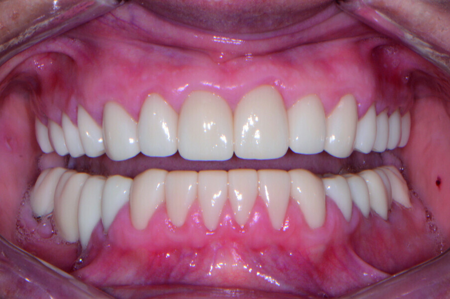
Restoring function and aesthetics with monolithic zirconia restorations

advertisement
advertisement