Search Dental Tribune

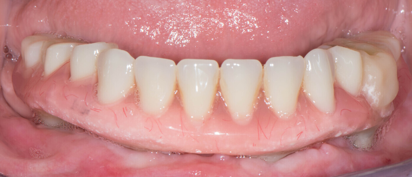
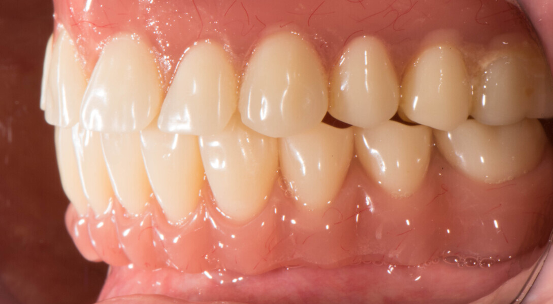
Straumann Pro Arch concept with fully guided implant and abutment placement

advertisement
advertisement