Fig. 1: A virtual image of a scanned model with abutments and telescopic crowns.
Fig. 2: Design of the construction with the transparency mode on.
Fig. 3: Ready-made construction on a virtual model.
Fig. 4: Scan of the temporary prosthesis (blue color) visible against the design of the construction.
Fig. 5: Design of the framework visible from the palatal side. Visible abutments prior to the placement of telescopic crowns at the frontal section with abutments to be attached by
means of screws at the lateral section.
Fig. 6: Design of the telescopic crowns placed onto the abutments at the frontal section.
Fig. 7: Project of the construction with transparency mode on.
Fig. 8: Ready-made construction on a virtual model.
Fig. 9: A planted scan of a temporary prosthesis (blue colour) on the construction design.
Fig. 10: Ready-made project of the supra-structure visible from the intragingival side.
Fig. 11: Suprastructure cut out and transferred onto the model.
Fig. 12: Test of the construction within the oral cavity—visible opening for screws.
Fig. 13: Porcelain crowns prepared for testing.
Fig. 14: Porcelain crowns based on a model prior to veneering by means of a pink composite.
Fig. 15: Test of the construction together with crowns and the mouth slightly open.
Fig. 16: Maximum smile of the patient with crowns.
Fig. 17: Maximum smile of the patient without crowns.
Fig. 18: Preparation of the structure for gum modelling. (Photo: courtesy of Inter-dent laboratory)
Fig. 19: A model with a gingival mask.
Fig. 20: Prosthetic work based on a model where veneering of the gum was started and with crowns.
Fig. 21: Openings for screws are located before placing the crowns.
Fig. 22: Comparison of the pattern, that is, the temporary prosthesis and the final prosthetic work.
Fig. 23: Final restoration prior to handover and the placing of crowns.
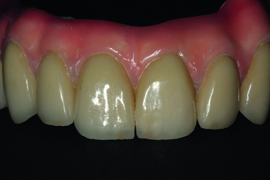
Fig. 24: Final restoration—frontal view.
Fig. 25: Magnification showing precision in the making of the crowns and in veneering by means of pink composite.
Fig. 26: Transparency of the final restoration.
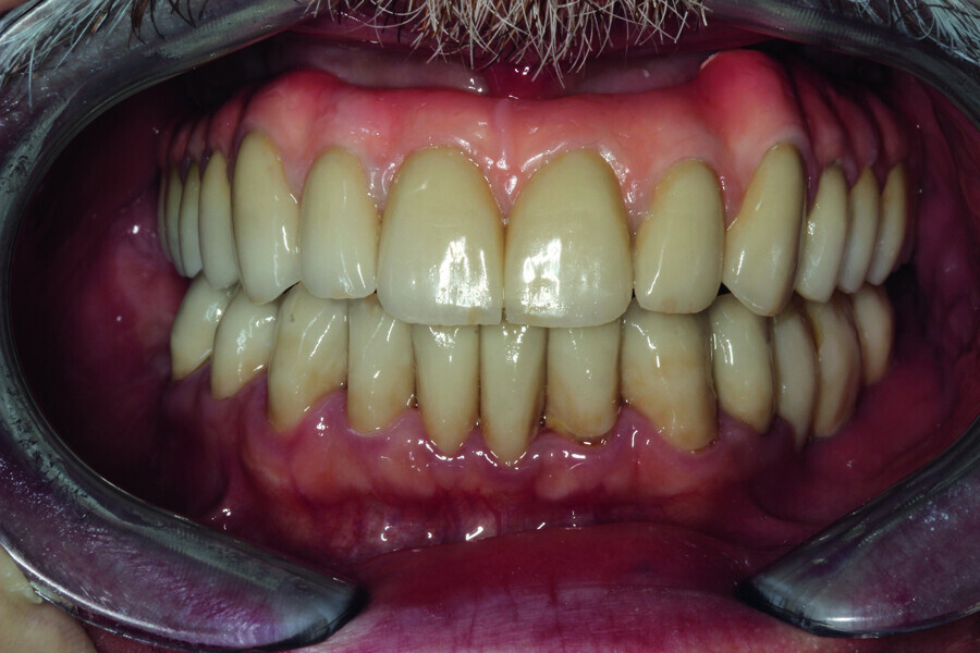
Fig. 27: Final prosthetic restoration in patients’ mouth.
Fig. 28: Patient’s smile at the end of
the treatment.
Fig. 29: OPG prior to treatment.
Fig. 30: OPG after placing implants.
Fig. 31: OPG after exposing implants at the lateral section and having used a temporary prosthesis based on telescopes.
Fig. 32: OPG after treatment.