Search Dental Tribune

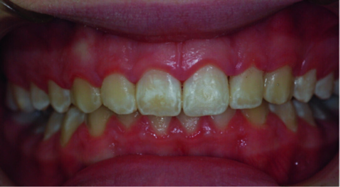
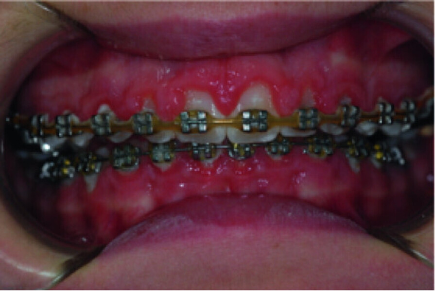
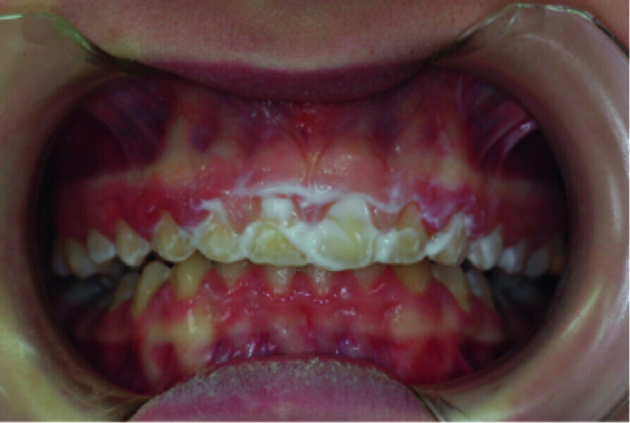
Use of diode laser in the treatment of gingival enlargement during orthodontic treatment

advertisement
advertisement