Fig. 1: Retracted preoperative view.
Fig. 2: Acquiring a CBCT scan with the CS 8100 3D (Carestream).
Fig. 3: Tooth-Borne Surgical guide by 3DDX.
Fig. 4: Guided Surgery Kit from OCO Biomedical.
Fig. 5: Engage dental implant depicting the thread pattern and auger tip.
Fig. 6: Prepared maxillary and mandibular teeth with implants already placed.
Fig. 7: Achieving full arch impressions with Panasil from Kettenbach.
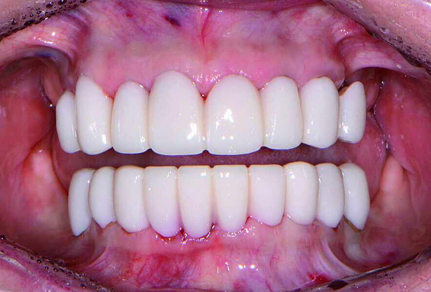
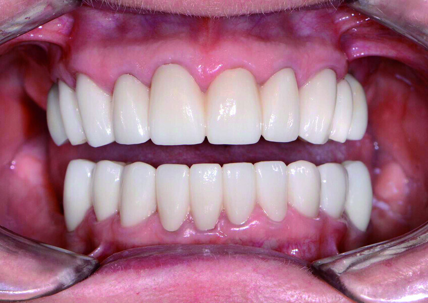
Fig. 8: Upper and lower provisional restorations.
Fig. 9: Virtual plan of Zenostar restorations.
Fig. 10: Milled restorations on Stratos 100 articulator from Ivoclar Vivadent.
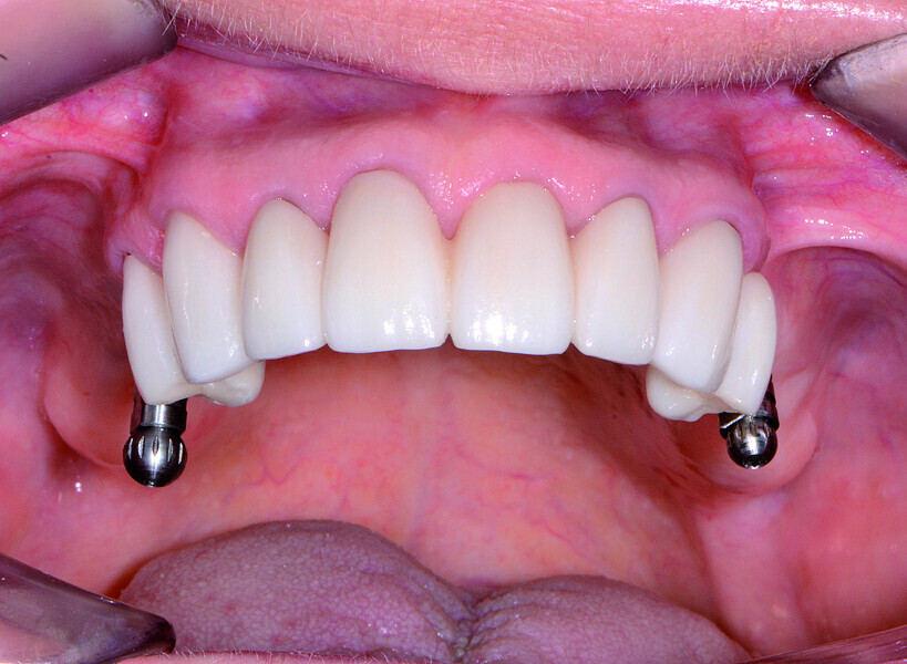
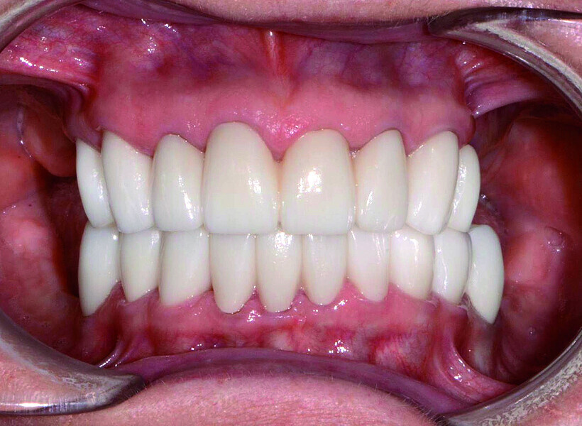
Fig. 11: Seated maxillary and mandibular restorations on teeth.
Fig. 12: Extended healing caps on implants creating an emergence
profile.
Fig. 13: Capturing an ISQ reading with Osstell.