Search Dental Tribune

Prod Wed. 22. September 2021
Align Technology – iTero Element 5D

The first hybrid dental imaging system that simultaneously records 3D, intra-oral colour and near-infrared images and enables comparison over time using iTero TimeLapse Technology without harmful ...

save
Event Tue. 17. July 2018
DW 2018 – DENTAL WORLD INTERNATIONAL TRADE SHOW

Join us for Dental World Trade Congress. Meet, develop and cultivate international partnerships with a network from around the world, and especially from the Central-Eastern European Region. Our ...

save
News Thu. 28. April 2022
One step closer to nature: Occlusal concepts and sophisticated aesthetics in digital dentistry

A dental restoration is not just an aesthetic restoration; it must fulfil many more requirements and integrate perfectly into the existing system. In this ...

save
Event Wed. 17. October 2018
Indonesia Dental Exhibition & Conference (IDEC) 2019

The Premiere Dental Exhibition & Conference for Indonesian Market is Back

save
News Tue. 19. March 2013
Stop hurting your patients!

Deliver the “WOW experience” and watch your practice grow.

save
advertisement
Event Wed. 9. August 2017
DENTEXPO AFRICA 2017

The 20th MEDEXPO 2017 - International Trade Exhibition is the largest trade event held annually in Tanzania, concurrently held with East Africa Trade Exhibition (EAITE).The exhibition attracts ...

save
Event Thu. 28. January 2021
Thomas P. Hinman Dental Meeting 2021

in-person & online

save
Prod Thu. 3. March 2022
SprintRay – Temporary Crown and Teeth

Produce temporaries quickly and easily Long-term temporaries Denture teeth Fast fabrication The SprintRay EU Crown and Teeth resin series are biocompatible resins for temporary crowns ...

save
Event Wed. 22. January 2020
DGI Special: Knochenregeneration

Knochenregeneration - Basierend auf den Ergebnissen der Konsensuskonferenz der „European Federation of Periodontology und Osteology Foundation"

save
Event Fri. 30. April 2021
ADHA 2021

The American Dental Hygienists' Association welcomes back in-person events in 2021!

save
Prod Sun. 1. March 2020
exocad – training sessions

Exocad licensees can book exoplan training sessions via the exocad web shop

save
advertisement
Prod Tue. 21. July 2020
Straumann n!ce

Unique proprietary fully crystallised glass-ceramic developed and produced by Straumann

save
Event Wed. 31. March 2021
Dental Salon Moscow 2021

Dentalexpo invites the Russian dental community to its annual Dental Salon in Moscow.

save
Event Thu. 18. October 2018
ADA 2018 – American Dental Association Annual Meeting – Honolulu

The 2018 American Dental Association Annual Meeting will be held Oct. 18-22 in Honolulu. Known also as America’s Dental Meeting, ADA 2018 is geared toward anyone in the dental profession, ...

save
Event Sat. 4. February 2017
ICOI World Congress XXXV

 The 2017 ICOI World Congress will take in Vancouver in Canada. More information about the event will become available at www.icoi.org. 

save
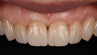
News Fri. 19. August 2022
Make veneer cementation a success with PANAVIA Veneer LC

HATTERSHEIM AM MAIN, Germany: Prosthodontic treatment concepts have evolved greatly over the past decades. Whereas porcelain-fused-to-metal crowns and ...

save
Prod Wed. 11. November 2015
RECIPROC®

Easy - Safe - Time saving Inspired to find a simpler and safer way to successfully prepare a root canal, whilst complying with the highest quality requirements, VDW developed ...

save
advertisement
Prod Wed. 29. November 2023
Patent – Patent Two-Piece Implants ⌀ 3.5 mm

The only two-piece zirconia implant with a narrow diameter, the Patent ⌀3.5 mm option gives dentists confidence in cases with compromised bone and limited space. Order here

save
Prod Tue. 18. June 2024
VOCO – Aligner Flow LC

Fluorescent composite for aligner attachments

save
Event Thu. 19. September 2019
Dental Wings User Meeting 2019

Join us for the 2019 coDiagnostiX User Meeting at the Dental Wings offices and training center in Berlin. A German language User Meeting will take place on September 27th and 28th.   More ...

save
advertisement
advertisement