In my experience, the cementation of glass-ceramic veneers is one of the most technique-sensitive procedures in restorative dentistry, owing to the minimal margin for error and the high aesthetic standards required to achieve a result that satisfies both clinician and patient. Current protocols emphasise conservative preparation, ideally remaining entirely within the enamel or, at the very least, minimising extension into the dentine. Preparation design and extent should not be planned in isolation, but coordinated through close collaboration between clinician and technician, ensuring that the final result is both biologically sound and aesthetically predictable.
Clinical presentation and treatment background
The case presented in this article is unusual in that it arose unexpectedly, without typical pretreatment planning steps such as a diagnostic wax-up or mock-up. These were omitted because of time and budget constraints on the patient’s part—a reality to which many clinicians can relate. Financial considerations often limit acceptance of comprehensive treatment plans; therefore, phased planning and effective communication are essential in fostering patient trust and long-term commitment. The rationale for this approach in the present case will become clearer as the case unfolds.
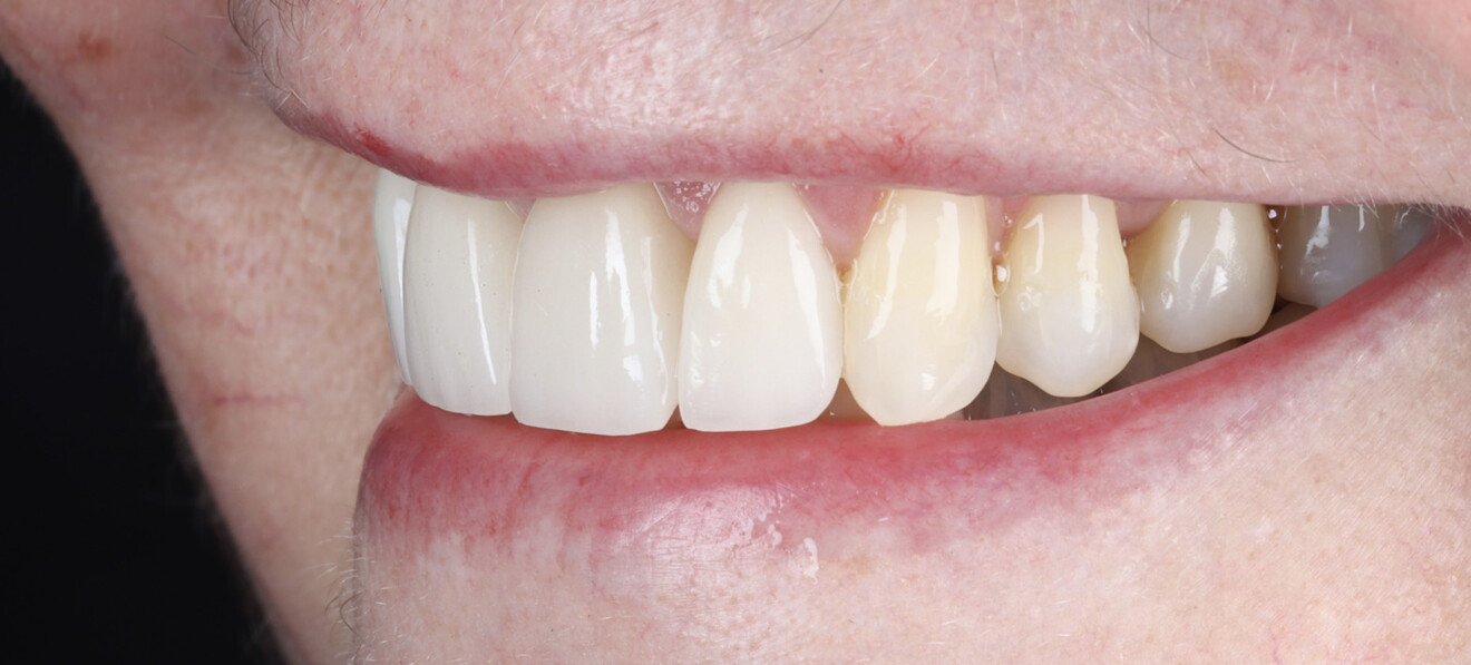
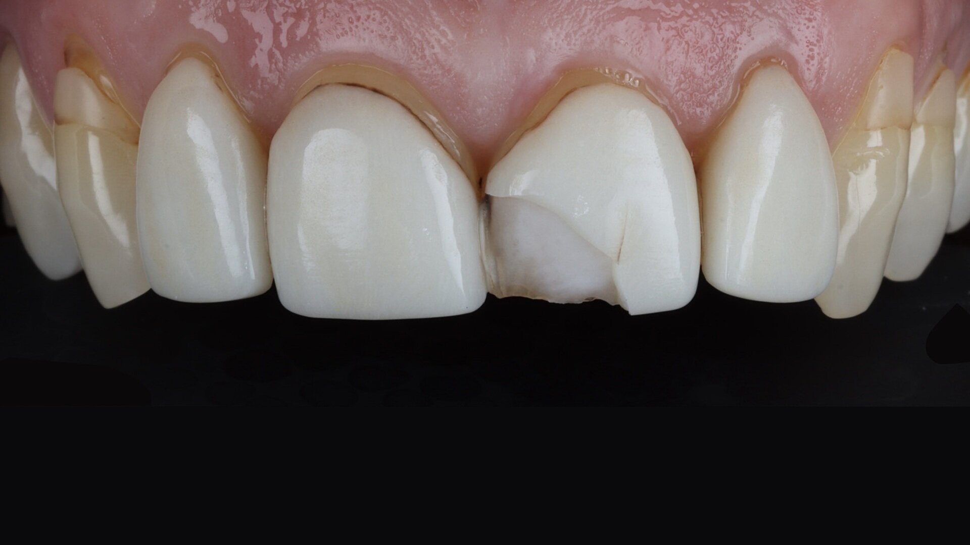
The patient was a 70-year-old female retiree whom I had been treating for several years. Treatment up to that point had focused on stabilising and gradually improving her posterior restorations, and the longer-term aim was to address the anterior dentition to enhance both function and aesthetics. The patient presented for an emergency appointment with a fractured porcelain veneer on tooth #21 (Fig. 1). Owing to the existing phased approach to her care, it was possible to transition into aesthetic restoration with minimal resistance or hesitation by the patient.
Fig. 2: Treatment planning using digital smile design, including four porcelain veneers and four direct composite restorations.
Treatment planning and objectives
After careful discussion, it was decided to remove and replace the four existing porcelain veneers and to replace four existing Class V stained composite restorations with new direct composite restorations. The proposed plan was considered appropriate for meeting the patient’s aesthetic expectations.
At the emergency appointment, time was limited, and only temporary restoration of the fractured veneer with direct composite was feasible. Time remained an important factor because the patient wished to complete treatment as soon as possible.
Tooth preparation, digital workflow and provisional restorations
Guided by the digital smile design plan (Fig. 2), the teeth were built up with a flowable composite to create a rough direct mock-up (Fig. 3). This mock-up provided a visual and functional prototype, from which an impression was taken to fabricate provisional restorations. These provisional restorations were placed after tooth preparation and worn until delivery of the definitive veneers.
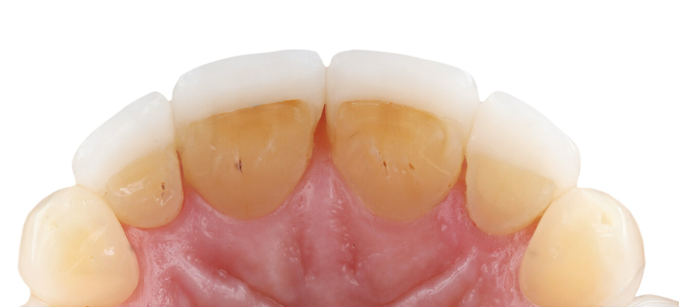
Tooth preparation was carried out with an OptraGate latex-free lip and cheek retractor (Ivoclar) in place. The existing veneers were removed using high-grit diamond burs at high speed. Once the bulk of the material had been removed, gingival retraction was achieved with retraction cord to improve visibility and access. The preparations were then refined with lower-grit diamond burs at reduced speed to ensure precision and tissue safety. The primary objectives were to cover the cervical defects evident in the previous restorations (Fig. 4) and to establish harmonious gingival zeniths after preparation (Fig. 5).
Fig. 3: Additive mock-up fabricated using a flowable composite to evaluate the proposed aesthetic outcome.
Fig. 4: Clinical situation after replacement of the Class V composite restorations on teeth #13, 23, 24 and 25.
Fig. 5: Clinical situation after preparation of the maxillary incisors.
Material selection and considerations for veneer cementation
Glass-ceramic veneers have traditionally been cemented using a wide range of resin cements. Recently, the use of flowable or preheated paste resin composite for cementation has gained attention.
A key advantage of this approach is clinicians’ familiarity with composite shade systems, typically based on the VITA classical A1–D4 guide (VITA Zahnfabrik), which many clinicians find more intuitive than resin cement shade designations such as “warm”, “light” or “neutral”. To address this limitation, some resin cement systems offer try-in pastes corresponding to cement shades, enabling accurate evaluation during try-in. PANAVIA Veneer LC (Kuraray Noritake Dental) is one such system, and PANAVIA V5 try-in pastes correspond to its shades (Fig. 6).
Using a cement shade that matches the intended final appearance is crucial when bonding glass-ceramic veneers because it decisively affects both immediate and long-term aesthetics, particularly owing to the light diffusion properties of glass-ceramic materials such as IPS e.max CAD and IPS e.max Press (both Ivoclar). In minimally invasive cases, restorations can be as thin as 0.3 mm. The thinner and more translucent the restoration, the greater the influence of the cement shade on the final outcome.
Fig. 7: Selection of IPS e.max translucency to support shade matching and masking of the underlying tooth structure.
The shade of the prepared tooth also substantially affects cement selection, as do decisions regarding restoration thickness and ceramic translucency. IPS e.max is available in low translucency, medium translucency and high translucency (Fig. 7). When the prepared teeth are dark and a brighter result is desired, selecting a ceramic with lower translucency is advisable. Documenting the prepared teeth photographically and sharing this information with the ceramist is therefore essential.
In the present case, the prepared tooth structure appeared relatively dark in the incisal third. A medium-translucency IPS e.max CAD material in Shade A1 was therefore selected to allow minimal thickness while achieving a natural outcome.
Material overview: PANAVIA Veneer LC system
Based on the considerations for veneer cementation, PANAVIA Veneer LC was selected. This light-polymerising resin cement is indicated for ceramic and composite restorations of less than 2 mm in thickness. It is available in four shades—Clear, Universal (A2), White and Brown (A4; Fig. 8a)—and PANAVIA V5 try-in pastes are available in corresponding shades (Fig. 8b), enabling simulation of the final restoration appearance. The system consists of four components: a 35% phosphoric acid etching gel (K-ETCHANT Syringe, Kuraray Noritake Dental), a tooth primer (PANAVIA V5 Tooth Primer), a ceramic primer (CLEARFIL CERAMIC PRIMER PLUS, Kuraray Noritake Dental) and PANAVIA Veneer LC paste (Figs. 9a–d).
Figs. 8a & b: Available shades of PANAVIA Veneer LC paste (a) and the corresponding PANAVIA V5 try-in pastes (b).
Figs. 9a–d: Cementation system: phosphoric acid etchant (a), resin cement paste (b), ceramic primer (c) and tooth primer (d).
Try-in procedure and shade selection
After fabrication of the four lithium disilicate veneers in the selected translucency and shade (Fig. 10), the resin cement shade was evaluated. A bright result that would harmonise with the adjacent dentition was desired; therefore, the Universal shade was selected. The patient and clinical team were satisfied with the simulated outcome (Fig. 11), and the veneers were cleaned and pretreated for definitive placement.
Fig. 10: Laboratory-fabricated IPS e.max CAD veneers prior to clinical try-in, showing medium translucency.
Fig. 11: Clinical try-in of the veneers using PANAVIA V5 try-in paste Universal (A2) to assess fit and shade integration.
Adhesive cementation protocol
For adhesive cementation of the veneers, the teeth were isolated using a latex-free dental dam (Isodam HD, heavy gauge, Four D; Fig. 12). After placement of the dental dam, clamps were placed and the veneers tried in again to confirm fit (Figs. 13a & b).
Afterwards, tooth surface pretreatment began with the central incisors. Adjacent teeth were protected with a metal strip, and air abrasion with a 35 μm aluminium oxide powder was performed (Fig. 14a). After roughening of the surface (Fig. 14b), the phosphoric acid etching gel was applied and left for 15–30 seconds (Fig. 15), followed by thorough rinsing and drying. The lateral incisors were then isolated with PTFE tape to facilitate removal of excess cement (Fig. 16).
The actual cementation steps included priming of the tooth structure with PANAVIA V5 Tooth Primer (Fig. 17), left for 20 seconds and gently air-dried. The intaglio surfaces of the veneers were treated with hydrofluoric acid for 20 seconds and, after thorough rinsing, primed with CLEARFIL CERAMIC PRIMER PLUS (Fig. 18) and dried.
PANAVIA Veneer LC was then applied to the pretreated ceramic surfaces, and the veneers were seated carefully (Figs. 19a & b). Gentle, controlled pressure using a soft instrument ensured accurate seating. When light-polymerising resin cements are used, excess material can often be removed prior to polymerisation, thereby reducing excess and simplifying clean-up.
The resin cement provides a seamless marginal transition between tooth and restoration, enhancing both aesthetic and functional integration of the veneers. Glycerine gel was applied to the restoration margins before light polymerisation to prevent formation of an oxygen inhibition layer (Fig. 19c).
Fig. 12: Dental dam isolation using Isodam HD.
Fig. 13a: Additional retraction achieved using B4 clamps to facilitate dry try-in of the veneers.
Fig. 13b: Verification of veneer fit with clamps in place to ensure complete seating.
Fig. 14a: Air abrasion of the prepared tooth surfaces using a 35 μm aluminium oxide powder.
Fig. 14b: Surface appearance after air abrasion, showing a uniformly roughened substrate.
Fig. 15: Total etching of the prepared surfaces with a 35% phosphoric acid.
Fig. 16: Isolation of adjacent teeth with PTFE tape to facilitate excess cement removal.
Fig. 17: Application of the tooth primer to the prepared surfaces.
Fig. 18: Conditioning of the intaglio surface of the veneer prior to cementation.
Fig. 19a: Controlled seating of the veneer using a cushioned instrument to ensure complete adaptation.
Fig. 19b: Simultaneous placement of the central incisor veneers prior to removal of excess cement.
Fig. 19c: Application of glycerine gel at the restoration margins to prevent oxygen inhibition during light polymerisation.
Fig. 20a: Use of dental floss to aid gingival retraction during clampless placement of the lateral incisor veneers.
Fig. 20b: Close-up.
Fig. 21a: Lateral incisor veneers after placement and initial removal of excess cement.
Fig. 21b: All four ceramic veneers in place after cementation.
Fig. 21c: Final appearance after interproximal cleaning with floss and removal of excess material.
The lateral incisor veneers were cemented in the same manner; however, floss was used for gingival retraction instead of clamps (Figs. 20a & b). Sequencing the procedure by first cementing the central incisors and subsequently the lateral incisors is recommended. This protocol gives the practitioner full control over the positioning of the central incisor veneers, which is particularly important because their position has a considerable impact on the overall appearance of the smile. When the lateral incisor veneers are cemented first, the risk of positioning errors in the central incisor region and resulting aesthetic issues is increased. However, any error with the positioning of the central incisor veneers can also lead to problems such as the misfit of the lateral incisor veneers. Therefore, the whole procedure needs to be carried out with utmost care and precision.
A comprehensive polymerisation protocol, including palatal, incisal and facial light exposure, is necessary to ensure complete polymerisation. After placement of the veneers, excess cement was removed using ultra-high molecular weight polyethylene floss (Gorilla Floss, Erskine Products) to protect the margins (Figs. 21a–c). Final polishing of the ceramic–tooth interface was performed using polishing rubbers. The dental dam remained stable throughout the procedure.
Fig. 22: Immediate postoperative result after cementation, showing mild gingival erythema, consistent with a transient tissue response after adhesive procedures.
Fig. 23: Follow-up after three weeks showing complete soft-tissue healing, stable marginal integration and healthy gingival contours.
The immediate outcome after cementation showed slightly erythematous and tender gingival tissue, reflecting a transient response to the adhesive procedure (Fig. 22). This represents a temporary tissue response and typically improves over the following days as healing progresses. With a consistent and appropriate oral hygiene routine, full recovery of the soft tissue can be expected. This should be clearly communicated to the patient after removal of the dental dam.
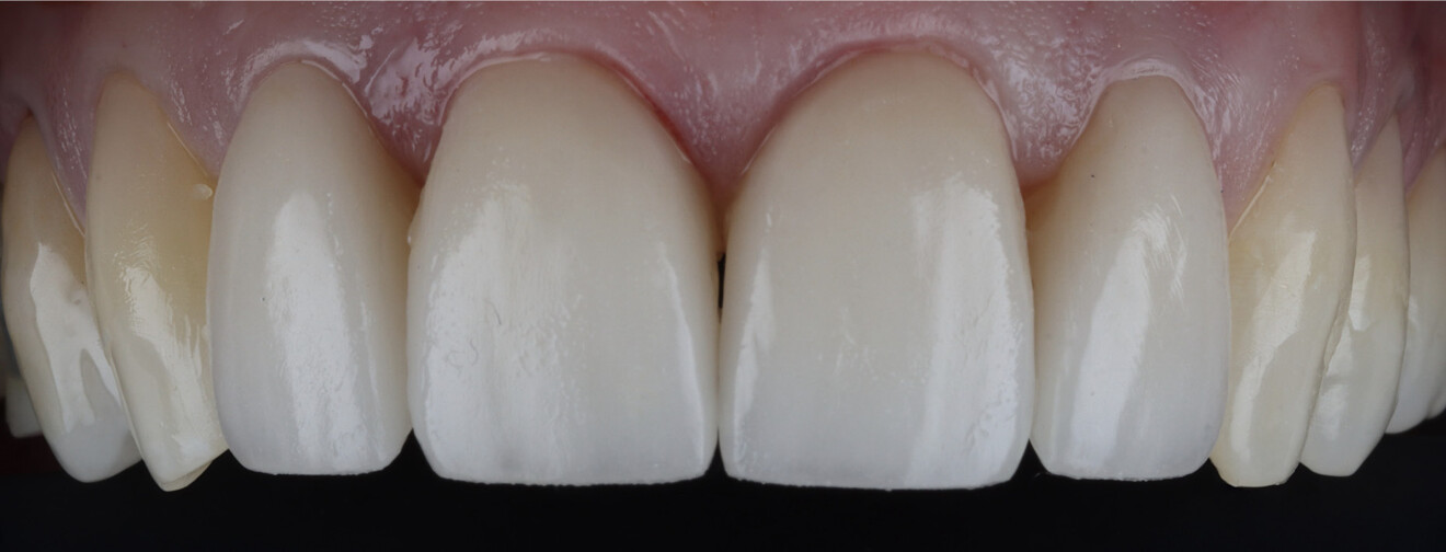
Fig. 24a: Final aesthetic outcome. Frontal close-up view showing symmetry and surface texture.
Fig. 24b: Lateral view from the left side.
Fig. 24c: Lateral view from the right side.
Fig. 24d: Palatal view.
Clinical follow-up
At the follow-up appointment, soft-tissue healing and patient adaptation were assessed. The gingival tissue had fully recovered after three weeks (Fig. 23). This visit also provided an opportunity for final photographic documentation (Figs. 24a–d). At this appointment, careful evaluation of the interproximal areas is essential to detect any residual cement, which may result in chronic inflammation and compromise aesthetics. Inspection from the occlusal aspect helps ensure complete removal of excess material and supports long-term gingival health.
HATTERSHEIM AM MAIN, Germany: Prosthodontic treatment concepts have evolved greatly over the past decades. Whereas porcelain-fused-to-metal crowns and ...
Case presentation: A male patient reported to the clinic with two discoloured composite corner build-ups on teeth #11 and #21 (Fig. 1). These vital teeth ...
HATTERSHEIM AM MAIN, Germany: Veneer treatment can be challenging. The aesthetic expectations of patients opting for veneers are extraordinarily high. It is...
In this clinical case, Irfan Abas, an expert in the field of oral implantology and restorative dentistry, shows how excellent, lasting aesthetic results can...
The use of porcelain veneers to improve and restore the shape, shade and visual position of anterior teeth is a common technique in aesthetic dentistry. The...
HATTERSHEIM AM MAIN, Germany: Is it possible to reduce the number of different cements used in a dental office? In most cases, it is. Kuraray Noritake ...
TOKYO, Japan: Have you ever wondered why the products of the PANAVIA brand offer such outstanding performance? You probably know that they all contain the ...
Needing no separate primer or silane, PANAVIA SA Cement Universal simplifies the bonding of any restoration to implant abutments—thanks to its proprietary...
In 1983, Kuraray introduced the patented MDP monomer in its PANAVIA EX cement. 35 years later, MDP monomer-based resin cements have been scientifically ...
In prosthodontics, assessing the individual needs and expectations of every patient is a crucial factor for successful treatment. In the production of fixed...
To post a reply please login or register