Caring for a partially dentate patient is a long-term process that has three main pillars: a pretreatment/assessment phase, a treatment phase and a post-treatment/long-term care phase. (Image: trailak amtim/Shutterstock)
Rates of natural tooth retention are rising globally; rather than losing all their teeth as they age, people are increasingly reaching old age with at least a few of their natural teeth still intact. During this first webinar of a two-webinar series, experts Prof. Finbarr Allen, Prof. Angus Walls and Dr William Cheung will present the literature and scientific evidence supporting the pretreatment, treatment and maintenance options specific to partially dentate patients.
Dr Cheung, what are the greatest challenges when it comes to caring for partially dentate patients? The major challenge of caring for partially dentate patients is introducing the concepts of preventive care, comprehensive care and long-term care. Patients often want a quick and economical resolution to their problems, and this approach may not be the best for their health. It’s also important for patients to understand the importance of long-term maintenance in order to prolong the success of the treatments they receive. Last but not least, they need to understand that treatments often do fail in the long run, and they need to know what the implications are when these treatments fail.
Do you think that the approach to treatment and care of the growing number of partially dentate adults is currently comprehensive enough, or does more work need to be done in this regard? We still have a lot to do to encourage our patients to take good care of their mouths in order to avoid serious problems that result in tooth loss. When extraction becomes necessary, we often select replacement methods according to our own preferences. Our preferences are not what matters most. Instead, we need to make an overall assessment in relation to the patient’s oral health history, his or her overall health condition, his or her expectations, his or her ability to maintain a high standard of oral hygiene, the long-term prognosis of the proposed treatments and possible responses to failed treatment. We need to communicate clearly to our patients before we start treatment and to ensure that care objectives are shared with a common understanding between clinician and patient.
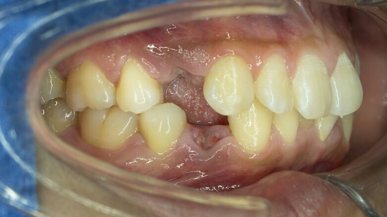
Multiple missing teeth, resulting in poor aesthetics. (Image: William Cheung)
What are the main learning objectives for those who will be watching your webinar? The main learning objectives are to understand the importance of a personalised patient assessment, including the patient’s overall health, age, preference and expectations, and to understand the relevance of knowledge translation to clinical practice in relation to managing partially dentate patients. Lastly, the audience will learn about the new FDI deliverables for managing partially dentate patients.
Editorial note: The 1-hour webinar, titled “Partially dentate patients”, will be presented live on Wednesday, 7 October, at 12 p.m. BST by Prof. Finbarr Allen, Prof. Angus Walls and Dr William Cheung. Participants will have the opportunity to ask questions about the topic, as well as earn a continuing education credit by answering a questionnaire after the lecture. Registration on the FDI Oral Health Campus website is free of charge.
SAN FRANCISCO, U.S.: As dentistry has evolved, so too has the oral health of the aging population. With people now not only living longer, but many also ...
GENEVA, Switzerland: FDI World Dental Federation (FDI) recently released its first white paper on endodontic care, providing an important resource for ...
The recent ADA FDI World Dental Congress 2019, held at the Moscone Center in San Francisco from Sept. 4–8, saw the conclusion of Dr. Kathryn Kell’s ...
Head and neck cancer may have drastic, long-lasting consequences, and dental professionals can play a crucial role in the patient’s treatment plan. Dental...
Vision 2030: Delivering Optimal Oral Health for All is central to FDI’s advocacy strategy. Since its launch in 2021, it has guided efforts to address ...
Celebrated every year on 20 March, World Oral Health Day (WOHD) is the largest global awareness campaign on oral health. The WOHD task team oversees the ...
As the global dental community prepares to gather in Shanghai for the 2025 FDI World Dental Congress (FDIWDC25), FDI had the opportunity to speak with Prof....
SHANGHAI, China: After nearly two decades, the FDI World Dental Congress (FDIWDC) returns to mainland China this week. Co-hosted by FDI World Dental ...
In a rapidly evolving healthcare landscape, the integration of medical and dental care is gaining increasing attention. Prof. Mark S. Wolff, Morton ...
GENEVA, Switzerland: The FDI World Dental Congress (WDC) 2026 will take place in Prague in the Czech Republic from 4 to 7 September, bringing the global ...
GENEVA, Switzerland: Held annually on 20 March, World Oral Health Day (WOHD) highlights the role of oral health in overall health and quality of life. This...
Every year on 20 March, the global dental community marks World Oral Health Day (WOHD) in the spirit of improving global oral health and overall well-being....
To post a reply please login or register