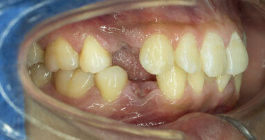
SAN FRANCISCO, U.S.: As dentistry has evolved, so too has the oral health of the aging population. With people now not only living longer, but many also with relatively good oral health, the number of partially dentate patients is growing. In response to this, FDI World Dental Federation has launched a series of tools that offer a tailored, comprehensive approach to treatment and care of this group of patients.
“Our work is focused on a personalized approach to managing partially dentate patients,” said FDI President Dr. Kathryn Kell. “We know that good patient–practitioner communication is linked not only to increased patient satisfaction, but also with better adherence to treatment.”
FDI’s tailored approach is detailed in two main resources. The first is a white paper titled Collaborative Care Continuum: The 3Cs Pathway for Partially Dentate Patients and the second is Collaborative Care Continuum: Professional Guidelinesdesigned for oral health care professionals that support patient–practitioner communication and offer advice on how to manage patients who are partially dentate.
This new focus from FDI is supported by the science-led health care company GlaxoSmithKline. “We are excited to collaborate with FDI to improve the treatment and care for this unique group of patients,” said Dr. Roshan Varghese, Global Medical Affairs Director for Denture Care at GlaxoSmithKline. “We believe that the most successful treatment relies on comprehensive patient education. A focus on long-term care and maintenance needs to become an integral part of any treatment for partially dentate patients.”
Tags:
Rates of natural tooth retention are rising globally; rather than losing all their teeth as they age, people are increasingly reaching old age with at least...
BUENOS AIRES, Argentina: Sunstar proudly announces the launch of Oral Cancer: Prevention and Patient Management, an FDI World Dental Federation chairside ...
GENEVA, Switzerland: A comprehensive new survey by FDI World Dental Federation has revealed that illegal dental practice is an escalating global public ...
As the global dental community prepares to gather in Shanghai for the 2025 FDI World Dental Congress (FDIWDC25), the spotlight turns to the next generation ...
SHANGHAI, China: The third edition of the highly anticipated FDI Young Dentists Forum is designed to support and inspire the next generation of dental ...
SYDNEY, Australia: From 26 to 29 September, the Australian Dental Association and FDI World Dental Federation will present a special edition of the World ...
PRAGUE, Czech Republic: From 4 to 7 September 2026, dental professionals from across the globe will gather in the heart of Europe for an event that ...
SHANGHAI, China: After nearly two decades, the FDI World Dental Congress (FDIWDC) returns to mainland China this week. Co-hosted by FDI World Dental ...
Prof. Ian Needleman, who is a member of FDI World Dental Federation’s Sports in Dentistry Task Team, is moderating a discussion on 24 September about the ...
SAN FRANCISCO, U.S.: The American Dental Association (ADA) and FDI World Dental Federation invite all dental professionals to participate at the ADA FDI ...
Assoc. Prof. Aaron Davis, Prof. Sarah Baker
Dr. Anna Lella, Ms. Francesca Nava
Prof. Hani Ounsi DDS PhD FICD, Dr. Amr Ghanem
Luís Lourenço, Dr. Nokukhanya Makwakwa
To post a reply please login or register