When working with dental implants, a number of specific rules must be followed regarding both the implant surgery and the prosthesis itself (fixed protheses tending to have a more favourable prognosis than overdentures). If these rules are not adhered to, the results are often unsatisfactory, requiring retreatment. In such cases, and despite the patient’s desire to quickly forget the previous treatment, a very strict protocol must be followed, specifically concerning the length of healing periods. Despite an increase in the overall treatment duration, this will ensure success of each stage of treatment. The implant retreatment case outlined in this article will emphasise these different stages in this type of clinical situation.
Initial case
At the age of 28, the patient was involved in a traffic accident, which resulted in significant trauma to her maxilla, including the loss of her central and lateral incisors and left canine. The shock also led to the loss of alveolar bone in the same area. The first premolars were absent, probably owing to previous orthodontic treatment.
The original treatment consisted of placing two implants in the residual bone and an anchorage reinforcement screw-retained bridge to maintain a removable prosthesis, which included five teeth and a large false gingiva (Fig. 1).
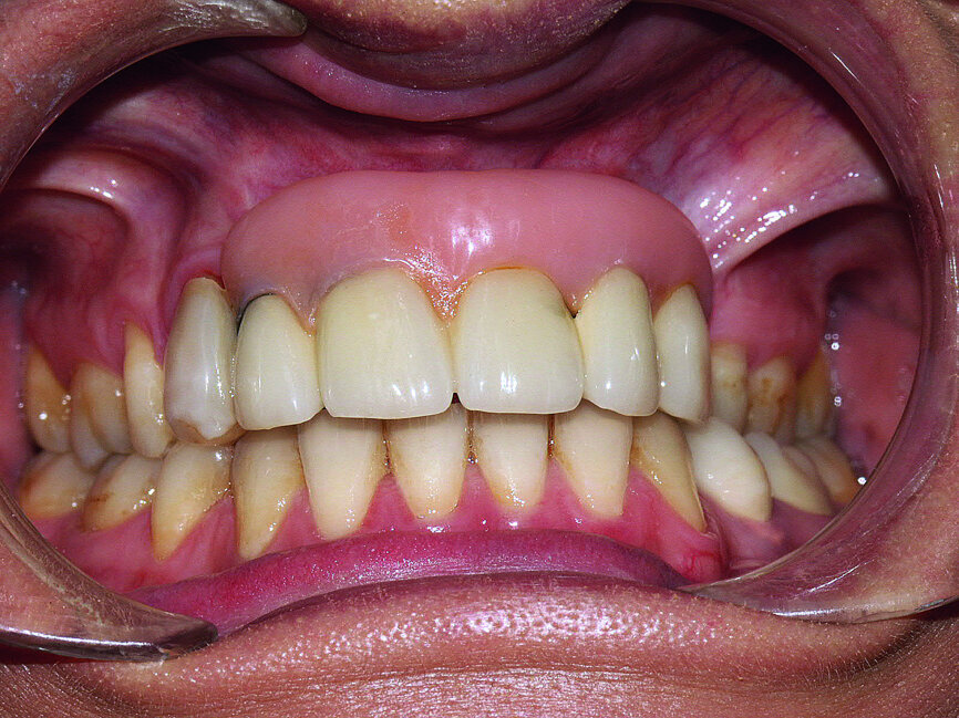
Fig. 1 : Initial prostheses: Lip support was ensured by a large false gingiva, and fractured cosmetic material at the right maxillary canine was evident. The patient’s smile showed the prosthetic teeth placed off-centre and an infiltration at the right lateral incisal level.
Fig. 2 : Initial prostheses: Lip support was ensured by a large false gingiva, and fractured cosmetic material at the right maxillary canine was evident. The patient’s smile showed the prosthetic teeth placed off-centre and an infiltration at the right lateral incisal level.
Fig. 3: Examination after three years revealed
a negative short-term prognosis for the implants owing to significant recession at the right implant and hyperplastic tissue.
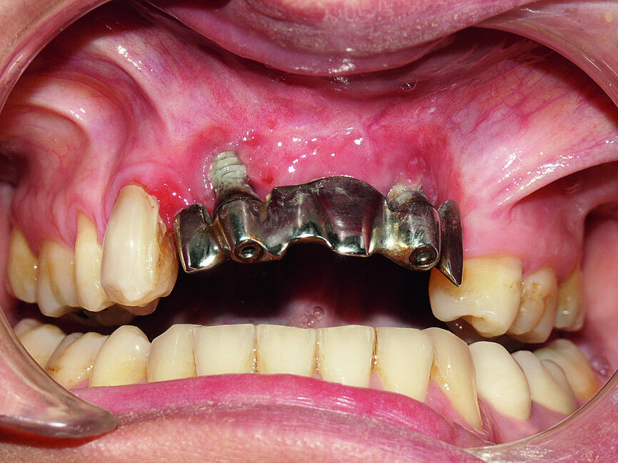
Fig. 4: The framework was unscrewed, abutments removed and implants easily removed.
Fig. 5: Implant removal site showing even greater deterioration in bone volume.
Fig. 6: The grafts were harvested from the chin symphysis and firmly attached by surgical screws in the recipient site.
Fig. 7: The grafts were harvested from the chin symphysis and firmly attached by surgical screws in the recipient site.
Fig. 8: The properly compressed PRF membranes permitted complete coverage of the surgical site, in this instance on the maxilla.
Fig. 9: The properly compressed PRF membranes permitted complete coverage of the surgical site, in this instance on the maxilla.
Fig. 10: Panoramic radiograph showing the grafts to be correctly healed and satisfactorily adhered to the recipient bone sites.
Fig. 11: Increased vestibular bone volume allowed positioning of the teeth at the crestal bone level and reduction of the false gingiva.
Fig. 12: A key of the added wax was taken and fabricated in clear casting resin.
Fig. 13: The reopened site showing correct graft integration, a notable increase in cortical bone and excellent vascularity.
Fig. 14: Testing of the sterilised
surgical drilling guide proved drilling would be at the centre of the reconstructed bone ridge.
Fig. 15: Aadva self-tapping implants were placed.
Fig. 16: All five implants equipped with threaded cover screws and the surrounding tissue sutured.
Fig. 17: Loaded implants, healing abutments in situ.
Fig. 18: The healing abutments were removed and replaced with pick-up impression copings secured with self-curing resin.
Fig. 19: Removal of the impression and fitting of the impression copings with their laboratory equivalent.
Fig. 20: Removal of the impression and fitting of the impression copings with their laboratory equivalent.
Fig. 21: Model of the framework, temporarily including the canine, cast in pattern resin.
Fig. 22: The model was scanned before being transferred to a machining centre.
Fig. 23: The model was scanned before being transferred to a machining centre.
Fig. 24: After scanning, the computer prefi guration of the framework was validated.
Fig. 25: Testing of the titanium framework on the working model and verifi cation of stability.
Fig. 26: Testing of the titanium framework on the working model and verifi cation of stability.
Fig. 27: The cosmetic material placed onto the framework.
Fig. 28: The prosthesis was attached with screws and the necessary occlusal verification was conducted.
Fig. 29: The prosthesis was attached with screws and the necessary occlusal verification was conducted.
Fig. 30: The patient’s smile showing now well-balanced
incisors in line with the face’s sagittal plane, lip support appearing to be correct.
Fig. 31: Removal of the validation prosthesis and examination of the
areas of compressed mucosa and difficult for dental hygiene. Reinstallation of validation prosthesis after correction.
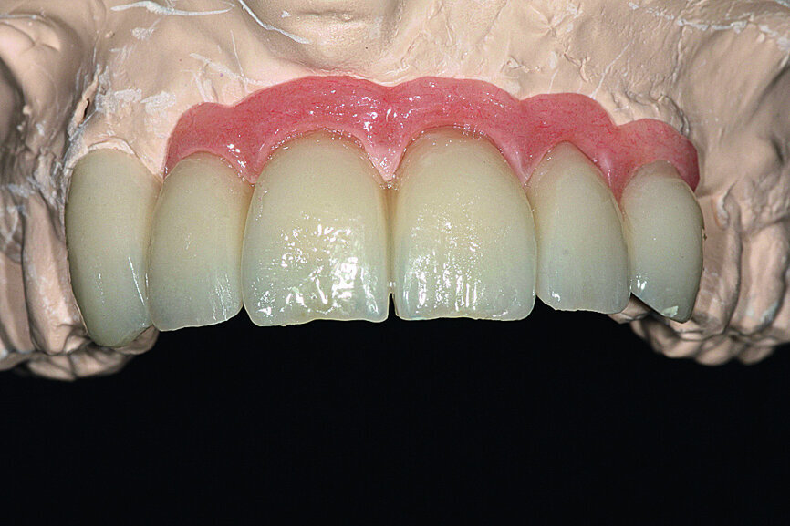
Fig. 32: Final prosthesis framework and the coping for the right canine tested on the working model.
Fig. 33: Final prosthesis framework and the coping for the right canine tested on the working model.
Fig. 34: After fitting of the zirconia framework, the ceramic was cast using the exact parameters validated by the resin prosthesis.
Fig. 35: After fitting of the zirconia framework, the ceramic was cast using the exact parameters validated by the resin prosthesis.
Fig. 36: Installation of the final prosthesis and verification of
correct occlusion. Screw channels filled with composite.
Fig. 37: Installation of the final prosthesis and verification of
correct occlusion. Screw channels filled with composite.
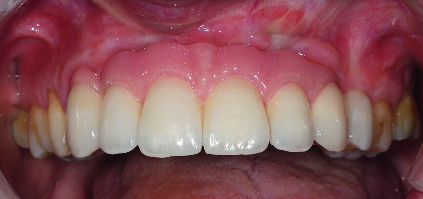
Fig. 38: Final cosmetic check-up showing correct lip support with the new extremely reduced false gingiva.
Fig. 39: Final cosmetic check-up showing correct lip support with the new extremely reduced false gingiva.
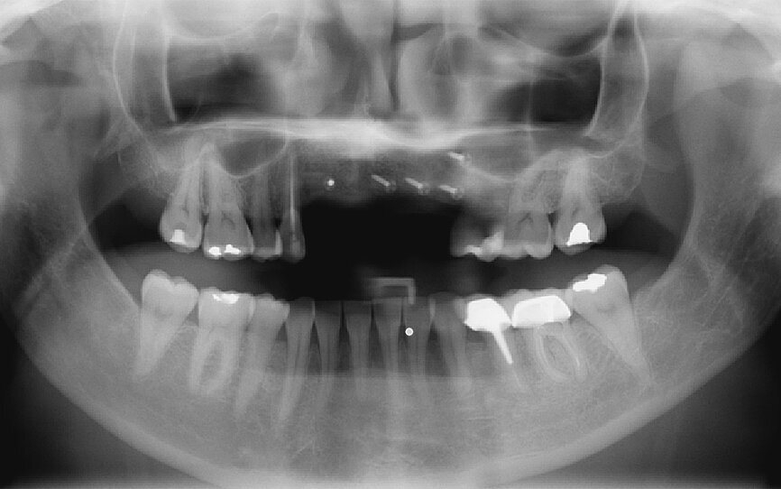
Fig. 40: Radiographic check-up after seven years.
Dissatisfied with the treatment, the patient was re-examined three years after the initial treatment. The patient’s smile showed an infiltration at the right lateral incisal level and that the prosthetic teeth were placed off-centre. The lip support, ensured by a large false gingiva, was correct. The cosmetic material of the right maxillary canine was fractured (Figs. 1 & 2).
Once the patient’s prosthesis had been removed and an examination of the site conducted, an extremely negative prognosis was determined for the implants (Fig. 3), which is often the case with maxillary overdentures. The right implant showed a loss of the majority of its vestibular bone, causing significant recession. The tissue was hyperplastic, making hygiene difficult. The framework was off-centre presumably because of the implants, which explained the off-centre axis of the prosthetic teeth.
Over the past several years, many authors have observed recurrent gingival inflammation as a reaction to using implants for this indication. Engquist noted a gingival increase in 25 per cent of the cases [1]; Naert et al. showed that out of 86 overdentures (6 maxillary, 80 mandibular), 8 observed gingival hyperplasia, primarily in the maxilla (9.3 per cent) [2]; and Jemt et al. observed that after one year out of 92 maxillary overdentures, 19 patients showed gingival hyperplasia (20.9 per cent), 13 patients had one gingival correction and five had two corrections. [3] In a 1993 study on maxillary overdentures, Smedberg et al. observed: “The results show that the prevalence (p < 0.05) for Lactobacillus, Prevotella (subspecies) and yeasts in the subjects with removable prostheses was significantly higher than in subjects with fixed prostheses. Removable prosthetics were accompanied by a more aggressive peri-implant plaque.”[4] In view of our patient’s unsatisfactory treatment results, it was thus decided to restart treatment completely.
Retreatment
The retreatment followed an extremely precise protocol, especially regarding the length of the healing periods. To begin, dental impressions were taken to create a resin-based temporary removable prosthesis. The prosthesis included palatal support to relieve the vestibular gingival tissue as much as possible. An aesthetic fitting of the appliance was conducted to straighten the axis of the incisors.
Implant removal
Owing to insufficient osseointegration, the removal of the implants was fairly easy (Fig. 4). Removal was accomplished with the aid of an implant removal tool.
Immediately after implant removal, the temporary removable resin prosthesis with palatal support was inserted. To permit the rapid elimination of inflammatory residue, it was contra-indicated to suture the recipient implant site.
Assessment after implant removal
Three months after implant removal, a clinical and radiographic assessment was conducted. The assessment showed further significant vertical bone loss and loss in bone volume (Fig. 5). Significant vertical bone loss is difficult to correct owing to random gingival recovery. It was thus decided to augment the bone volume by performing a chin bone graft.
Bone graft
Anaesthetic was administered in the maxillary and mandibular anterior region. For the mandible, the sample was taken from the cortical bone and a section of the cancellous bone by piezoelectric surgery. The grafts were harvested from the chin symphysis, as close as possible to the mandibular inferior ridge to avoid disturbing the incisor’s sensitive innervation, which can be a frequent complication of the procedure. The vestibular cortical bone scar was perforated with a small round bur, allowing for rapid revascularisation of the grafts. The grafts were then positioned and secured in place with mini-screws (Figs. 6 & 7).
To increase success, a blood sample was taken and centrifuged according to the Choukroun platelet-rich fibrin (PRF) technique [5] in order to recuperate the fibrin clots. The clots were compressed between two compresses to evacuate the serum and to form the membranes which were then applied to the surgical site and in the mandibular harvesting sites (Figs. 8 & 9).
Pre-implant prosthetic study
After four months, according to radiographic examination, the tissue had healed and the bone mass appeared stable (Fig. 10). New impressions were taken to prepare for the next step in treatment: the implant drilling guide. After four months of healing, the increased vestibular bone volume allowed positioning the teeth at the crestal bone and reduction of the false gingiva using additional wax (Fig. 11). A key of the added wax was taken and fabricated in clear casting resin. The implant positions were decided on and finalised by drilling placement holes, determining the exact position of the implants (Fig. 12). The correct positioning of implants in relation to the future prothesis is an important prerequisite for aesthetic and functional success.
Implant placement
Local anaesthesia was administered and the bone site reopened. The site showed correct integration of the grafts, a notable increase in cortical bone and excellent vascularity throughout the site (Fig. 13). The sterilised surgical drilling guide was tested and showed that drilling would in fact be at the centre of the reconstructed bone ridge (Fig. 14).
After removal of the screws stabilising the grafts, the guide was placed and drilling (using physiological saline solution) completed. Five Aadva (GC Tech.Europe) self-tapping Grade 5 titanium microstructure implants were inserted by slow drilling (Fig. 15). Aspiration with physiological saline solution was not used at this time so that the first contact with the titanium oxide would be the patient’s blood, thus promoting the implants’ osseointegration. This specific implantation technique was validated by Brun et al. [6] All of the implants were equipped with threaded cover screws and the surrounding tissue was sutured (Fig. 16).
To minimise risks, the implants were left unloaded for four months, as immediate loading of a site such as this one could have proven to be problematic.
Implant loading and impressions
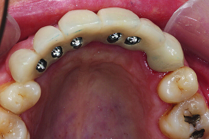
After four months, the implants were loaded using an apically positioned flap. The healing abutments were placed and the flap sutured around them (Fig. 17). Radiographic analysis and especially a percussion test showed the implants’ perfect osseointegration. After 15 days of gingival healing around the abutments, they were removed and the impression copings were placed and secured with a self-curing resin (Fig. 18). Impressions were taken and the healing screws were reinserted (Figs. 19 & 20).
Validation prosthesis
Rather than calling the appliance at this stage a “temporary prosthesis” or “provisional prosthesis”, it is more appropriate to call this temporarily placed prothesis, a “validation prosthesis of the implanto-occluso-prosthetic concept recommended to the patient” [7]. Over the course of several months, this prosthesis validates
–– the osseointegration of the implants;
–– the aesthetic aspect, especially for the anterior teeth;
–– phonation, which is also important for the maxillary anterior region; [8]
–– the patient’s ability to correctly clean the prothesis; and occlusion and, in this case, the ability of the anterior to guide the disclusion of the canine groups in protrusion.
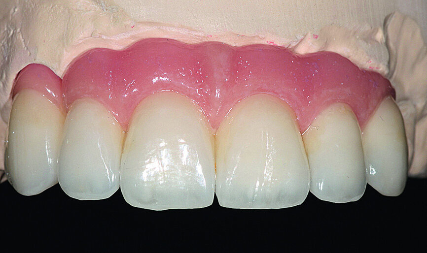
This prosthesis serves as a model for the final prosthesis. It is made with easily modifiable material like resin, but with a metal framework to guarantee a certain level of rigidity. In the first step, a model of the framework, which temporarily included the canine to increase stability, was cast in pattern resin (Fig. 21). The model was then scanned (Aadva, GC Tech.Europe; two cameras, 2 MP, precision: 10 μm) before being transferred to a machining centre (GM 1000, GC Tech.Europe; Figs. 22–24). Once back from the machining, the titanium framework was tested on the working model and its stability was verified (Figs. 25 & 26).
The cosmetic material (UNIFAST III resin; surface rendering: OPTIGLAZE color, GC Tech.Europe) was then placed on the framework (Fig. 27). The bone graft permitted a maximum reduction of the vestibular false gingiva.
In the following step, the prosthesis was attached in the mouth with screws and the necessary occlusal verification was conducted, including maximum intercuspation, protrusion and lateral excursion. The natural canine on the right was also equipped with a verification tooth. It should be noted, that in lateral excursion on the left, with the antagonist being the original tooth equipped with its periodontal ligament receptors, the canine function was retained; however the group function, which is usually preferred, was neurophysiologically inept (Figs. 28 & 29).
The patient’s smile showed that the incisors were now well balanced and in line with the face’s sagittal plane. Lip support appeared to be correct and, as often is the case, this would all be validated by the patient’s surrounding friends and family (Fig. 30).
After three months, the validation prosthesis was removed in order to examine the areas where mucosa had been compressed and dental hygiene difficult. These areas were corrected and the validation prosthesis reinstalled (Fig. 31).
Final prosthesis
After six months, all of the parameters were validated. The final prosthesis was then fabricated as an exact copy of the validation prosthesis, but in a more durable material: zirconia for the framework and ceramic for the aesthetic material.
As with the titanium validation prosthesis, the framework and the coping for the right canine were scanned and transmitted to the machining centre. They were then tested on the working model (Figs. 32 & 33). After fitting of the zirconia framework, the ceramic was cast using the exact parameters validated by the resin prosthesis (MB Dentaltechnik, Figs. 34 & 35).
In the following step, the final prosthesis was installed and the correct occlusion verified: maximum intercuspation, protrusion and lateral excursion. The screw channels were filled with composite (Figs. 36 & 37).
The final cosmetic check-up, validated by the resin prosthesis, showed the lip support with the new extremely reduced false gingiva to be correct (Figs. 38 & 39). This was achieved owing to the bone graft.
Regular check-ups
Retreatment was regularly monitored with patient check-ups (Fig. 40). All implant treatments, no matter of what type, must be rigorously monitored in all treatment phases, but a retreatment requires even more diligence. A patient affected by the failure of a previous treatment will not accept even the smallest problem. To this end, the role of healing periods is thus essential to retreatment success.
Editorial note: A list of references is available from the publisher. This article was published in implants - international magazine of oral implantology No. 03/2018.
Dealing with implant restoration is challenging, and this process would be impossible if we could not communicate freely between the clinic and laboratory. ...
Live webinar
Mon. 8 June 2026
1:00 pm EST (New York)
Dr. Anthony Mak B.D.S, Prof. Marleen Peumans
Prof. Judith Jones D.D.S; M.P.H., Prof. Kakuhiro Fukai D.D.S., Ph.D, Dr. Bathsheba (Bethy) Turton
Dr. Poonam Jain BDS, MS, MPH
Dr. Kostas Karagiannopoulos, MDT Stefan M. Roozen MDT
Dr. Julie Driscoll DMD, FAGD
To post a reply please login or register