Dealing with implant restoration is challenging, and this process would be impossible if we could not communicate freely between the clinic and laboratory. At the start, we do not know what type of framework design we will have to make, nor what the pink and white proportions will be. The starting point is working as a team, maintaining constant communication through emerging technologies in photography or digital smile design.
In a treatment protocol for complete edentulism with digital design information, we transfer the ratios of white and pink aesthetics to the scanner, turning it into an analogue test for a first analysis inside the mouth via CAM. When we know how far we need to go with the case, we select the type of material that will result in the best outcome, combining materials with appropriate techniques as required throughout the treatment. The patient’s needs are always taken into account in pursuit of greater durability of our prostheses over time.
Case presentation
A patient with inadequate crown and bridgework attended the clinic because several abutment teeth had failed. Owing to the Class III occlusal pattern and the small number of remaining teeth with a good long-term prognosis, we decided on an implant-supported restoration in the maxilla and a combined tooth–implant restoration in the mandible.
Today, these technologies are basic tools for approaching and establishing treatment. We combined digital smile design and the patient’s photographs, and we entered them into the GC Aadva Lab Scan’s exocad software. We merged the patient’s facial contours with the Anteriores Templates Contour Library provided by Jan Hajtó (Figs. 1a–c). Once the teeth matching the facial features had been selected, we started to adjust the tooth shapes, keeping a close eye on length–width ratio, midline, and labial and pupillary plane. When the white aesthetics had been finished, we designed the pink aesthetics together with the implants, taking the anatomical design and the cleansable basal area into account (Fig. 2). After the aesthetic design, we sent this digital information to the CAM software to create a mock-up structure in PMMA. This can be done by either milling or printing (Fig. 3).
Fig. 1a: Digital mock-up.
Fig. 1b: Digital mock-up.
Fig. 2: Digital design of the gingiva.
Fig. 3: Mock-up in PMMA with pink and white aesthetics.
Fig. 4a: Evaluating the integration of the mock-up in the patient’s mouth.
Fig. 4b: Evaluating the integration of the mock-up in the patient’s mouth.
To check the precision, we systematically link our aesthetic mock-up to the implants. We do this by screwing three implant interfaces to the implants with the correct occlusion, providing a tripod of accuracy. With constant, good communication between dentist and laboratory, we did several aesthetic tests, working to a high degree of accuracy. In this phase, we need to work precisely and consistently before we can continue with the treatment. All necessary changes were made to clear any doubts until we achieved the desired integration of the mock-up into the patient’s mouth and face (Figs. 4a & b).
During the treatment protocol for edentulous patients, we take the time to evaluate the aesthetic mock-up to verify what the best obtainable result would be and which material would be ideal for the definitive restoration: a conventional porcelain-fused-to-metal (PFM) restoration or a white material, such as zirconia, combined with metal interfaces (Figs. 5a–d). For this type of design, there are many elements that we have to take into account: the length from the implant to the incisal edge, implant–restoration ratio, widths of the design, occlusion, etc.
Fig. 5a: Choice of different definitive materials.
Full-arch rehabilitation with lithium disilicate secondary crowns_5b
Full-arch rehabilitation with lithium disilicate secondary crowns_5c
Full-arch rehabilitation with lithium disilicate secondary crowns_5d
Fig. 6a: Single-crown design on different framework materials for easy repair.
Fig. 6b: Single-crown design on different framework materials for easy repair.
Fig. 6c: Single-crown design on different framework materials for easy repair.
We take great care to ensure that every patient has a prosthesis customised to his or needs. The restoration should be durable and, in case of an accident, easy to repair. Therefore, in some metal–ceramic and in zirconia restorations, we make single-crown designs on a primary framework (Figs. 6a–c). This enables us to repair or replace a broken element. In this case, where we had sufficient length, a change from a Class III to Class I occlusion with a considerable adaptation in the vestibular direction and long tooth structures in proportion to the gingiva, we opted for a PFM framework. We scanned the aesthetic mock-up with the GC Aadva Lab Scan and determined implant positions with its dedicated scan flags (Fig. 7).
Thanks to the tilt and swivel unit, 90° angulation and dual camera system, we were able to scan the basal side of the mock-up. With the exocad software, we could make a quick design of the restoration with a proportioned reduction (Fig. 8).
Once the frame structure had been designed, the STL file was sent to the milling unit to mill the metal framework. Although our protocol was carried out with rigid splinting of the impression copings, we still tested the framework’s passive fit, both on the model and in the mouth.
Fig. 7: Scanning the aesthetic mock-up.
Fig. 8: Framework design in GC’s exocad software.
Fig. 9: Porcelain-fused-to-metal framework: pink aesthetics with GC Initial MC.
Fig. 10: Single-crown frameworks ready to be pressed.
Fig. 11a: GC Initial LiSi Press ingot (a). Secondary frameworks pressed in GC Initial LiSi Press (b).
Fig. 11b: GC Initial LiSi Press ingot (a). Secondary frameworks pressed in GC Initial LiSi Press (b).
For layering, we have two different techniques, both with their advantages and disadvantages:
- pink layering technique with white aesthetic cut-back technique; and
- pink layering technique with white aesthetic full-contour painting protocol (as is also shown in the alternative method section at the end of this article).
GC Initial LiSi Press MT was used for the secondary crown frameworks. The cut-back technique was used in the anterior area and full-contour frameworks were used in the posterior area. For this technique, we use duplicated secondary crowns in milled PMMA or wax to fit the emergence profile correctly while layering the pink aesthetics with GC Initial MC.
After layering the pink aesthetics, we applied a very fine layer of highly chromatic ceramic (GC Initial MC) on to the die’s surface (Fig. 9). Once fired, this gives us the major advantage of being able to create a chemical bond between this feldspar-based ceramic and the future lithium disilicate secondary single crowns (GC Initial LiSi Press) that can now still be readjusted before pressing them (Fig. 10). We use this technique mostly for anterior restorations, leaving the lingual side monolithic with the correct occlusion and without any protrusive risk of chipping the ceramic. GC Initial LiSi Press looks very much like natural teeth, enabling excellent integration (Figs. 11a & b).
Fig. 12a: Light dynamics of natural teeth in direct and indirect light.
Fig. 12b: Light dynamics of natural teeth in direct and indirect light.
Fig. 12c: Light dynamics of natural teeth in direct and indirect light.
Fig. 12d: Light dynamics of natural teeth in direct and indirect light.
Fig. 12e: Light dynamics of natural teeth in direct and indirect light.
Fig. 12f: Light dynamics of natural teeth in direct and indirect light.
Fig. 12g: Light dynamics of natural teeth in direct and indirect light.
The best way to understand how the light dynamics of a material work is to conduct different tests with a natural tooth and play around, not only in direct light but also in indirect light (Figs. 12a–g) and even under black light or fluorescent light (Figs. 13a & b). By matching these optical properties, we can achieve good aesthetic results. GC Initial LiSi Press is available in degrees of translucency, from the most opaque to the most translucent (MO, LT, MT and HT).
The anterior area is the most aesthetically demanding area and was veneered using the polychromatic layering technique using GC Initial LiSi veneering ceramic. This ceramic is exactly matched to the lithium disilicate framework and ensures a perfect fusion (Figs. 14a–c). Once the macro- and microtexture surfaces have been finished, we mechanically polish the restoration for perfect integration with the pink aesthetics.
Fig. 13a: Light dynamics of natural teeth under fluorescent light.
Fig. 13b: Light dynamics of natural teeth under fluorescent light.
Fig. 14a: Layering with GC Initial LiSi.
Fig. 14b: Layering with GC Initial LiSi.
Fig. 14c: Layering with GC Initial LiSi.
Cementation and bonding protocol
The bonding protocol to cement the LiSi Press restorations on to the surface of the ceramic-covered dies starts by applying hydrofluoric acid to both ceramic surfaces and leaving it on for 20 seconds. After rinsing and drying, GC CERAMIC PRIMER II or G-Multi PRIMER (GC) is applied (Fig. 15).
Shade A2 of G-CEM Veneer (GC) was selected, verified with G-CEM try-in paste (GC) to check the shade and used to cement the restorations (Fig. 16). The cement was tack-polymerised for 1–3 seconds to remove excess material and then completely light-polymerised for 30 seconds. After completion, the restoration was finished and polished (Figs. 17 & 18).
The finished restoration placed in the mouth showed good integration (Figs. 19 & 20). The correct implant seating was verified with a CT scan (Fig. 21). The basal adaptation was perfect to enable optimal cleaning of the mucosa. Occlusal fit was checked with active posterior cusps and canine and protrusive guidance.
Fig. 15: Etching and pretreatment of the ceramic surfaces.
Fig. 16: Cementation using G-CEM Veneer in Shade A2.
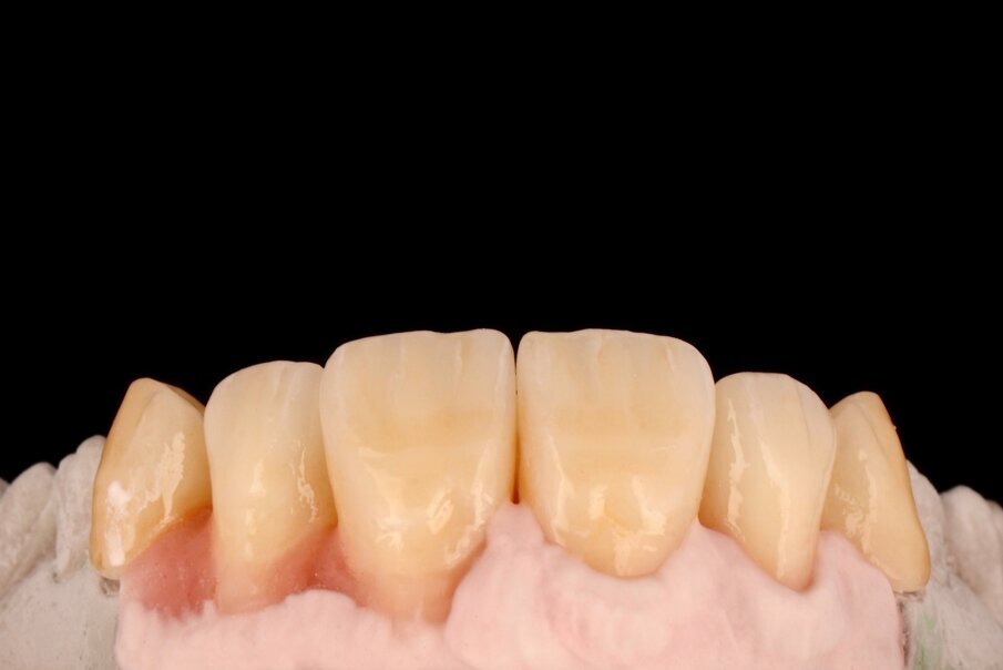
Fig. 17: Perfect integration of the pink and white parts after mechanical polishing.
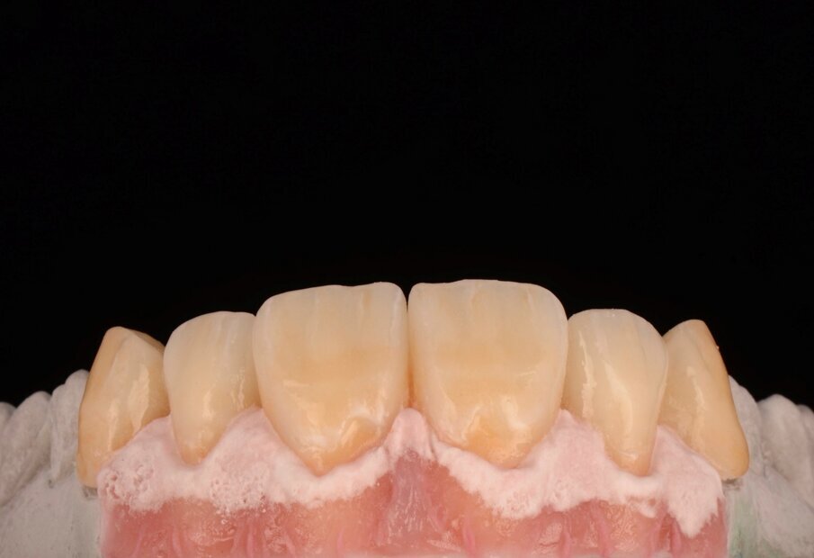
Fig. 18: Definitive restoration.
Fig. 19: Intra-oral view after treatment.
Fig. 20: Frontal view after treatment.
Fig. 21: Radiograph after treatment.
Alternative method
In this case, zirconia was used for the primary framework. Before sintering, the dies were infiltrated with colouring liquids and fluorescent effects. The secondary complete anatomical crowns were adjusted to the zirconia framework. After pressing in GC Initial LiSi Press MT, the surface structure (macro- and microtexture) was engineered (Fig. 22). Here, the aesthetic details were painted on to the full-contour zirconia restorations using the GC Initial Spectrum Stains and fixated in the ceramic furnace. A great advantage of this approach is the ability to continue firing until the desired colour has been achieved (Fig. 23).
Once the desired colour has been achieved, the surface is mechanically polished. The inside of the crowns and the zirconia die surfaces are gently sandblasted with aluminium oxide. We pay close attention to the correct fit between the GC Initial LiSi Press restorations and thezirconia framework (Fig. 24). The most delicate step in this technique is the placement of highly fluid GC Initial LiSi ceramic on to the dies’ surface and manoeuvring of the crowns into their right position, taking the marginal fit and occlusion into consideration (Fig. 25).
A special firing for overall fusion of the secondary GC Initial LiSi Press crowns and the primary zirconia framework is conducted. Once both structures have been fired together, we layer the pink aesthetics with GC Initial Zr-FS. Multi-chromatic layering between different firing cycles is performed to reach the desired goal and achieve perfect gingival adaptation (Figs. 26a & b). The mucogingival surface is finished and mechanically polished together with the crowns (Figs. 27a & b), resulting in harmonious integration.
Fig. 22: Engineering of the micro- and microtexture of the surface.
Fig. 23: Application of the GC Initial Spectrum Stains.
Fig. 24: Fitting the GC Initial LiSi Press restoration on to the zirconia framework.
Fig. 25: Highly uid GC Initial LiSi ceramic is applied to the zirconia framework.
Fig. 26a: Multi-chromatic layering of gingival structures.
Fig. 26b: Multi-chromatic layering of gingival structures.
Fig. 27a: Polished gingiva and teeth, view from two different angles.
Fig. 27b: Polished gingiva and teeth, view from two different angles.
Tags:
Glass hybrid restoratives offer a unique combination of advantages in dentistry. They are biocompatible and require neither the application of bonding ...
Dr Andreas Kurbad established his private practice in Viersen in Germany in 1990 and started using CEREC in 1994. He has published more than 100 papers on ...
VIENNA, Austria: At EuroPerio11, which is currently being held in Vienna in Austria, GC will present a dedicated symposium focusing on the clinical ...
Biomimetic dentistry focuses on preserving tooth structure by reproducing the natural form and function of dental tissue. Few clinicians have shaped this ...
In October last year, GC Holding announced the appointment of Dr Per Falk as CEO of the company. At the International Dental Show (IDS), Dental Tribune ...
LEUVEN, Belgium: GC is committed to giving dental professionals easy access to educational resources. After a number of successful online symposia, the ...
LEUVEN, Belgium: In celebration of its 100th anniversary, GC is holding a symposium on 27 May dedicated to luting. During the online event, three ...
Alsip, Ill., U.S.: GC America will be hosting a one-day virtual symposium on Oct. 29 as part of the many events accompanying GC’s centennial celebrations....
Differences within material classes in CAD/CAM ceramics are not obvious at first glance. A knowledge of materials science is required in order to classify ...
GC, an internationally renowned manufacturer of dental materials, is committed to delivering dental professionals easily accessible, high-quality ...
Live webinar
Mon. 8 June 2026
1:00 pm EST (New York)
Dr. Anthony Mak B.D.S, Prof. Marleen Peumans
Prof. Judith Jones D.D.S; M.P.H., Prof. Kakuhiro Fukai D.D.S., Ph.D, Dr. Bathsheba (Bethy) Turton
Dr. Poonam Jain BDS, MS, MPH
Dr. Kostas Karagiannopoulos, MDT Stefan M. Roozen MDT
Dr. Julie Driscoll DMD, FAGD
To post a reply please login or register