Search Dental Tribune

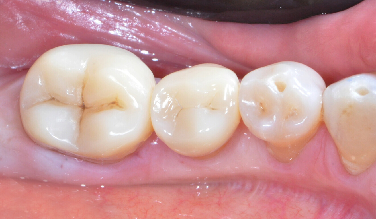
Fig. 1: Initial situation, occlusal view. (All images: Enzo Attanasio/Kuraray Noritake Dental)

Fri. 18. October 2024

save

LAMEZIA TERME, Italy: The selection of the restorative material is a crucial step in prosthodontics. Hybrid ceramics offer a range of properties well suited to various therapeutic situations, including applications for both vital teeth and endodontically treated teeth. Using the example of a clinical case, this article explores the advantages associated with the use of hybrid ceramics in a case of cracked tooth syndrome.

Initial situation

The affected tooth in this case was a mandibular right second premolar with an old amalgam restoration (Figs. 1 & 2). The patient experienced pain upon chewing, specifically upon release of occlusal pressure. Clinically, there were horizontal and vertical crack lines. The tooth was vital and showed no signs of pulpal pathology. It was decided to replace the amalgam restoration and restore the tooth with an overlay of the hybrid ceramic KATANA AVENCIA Block (Kuraray Noritake Dental). There were two main reasons for this decision. First, if root canal treatment was necessary in the future, the hybrid ceramic material would facilitate access cavity preparation and subsequent restoration with composite filling material. Second, hybrid ceramics offer greater resistance and improved mechanical properties compared with composite filling materials applied in an incremental layering technique.

Fig. 2: Initial situation, buccal view.

Fig. 2: Initial situation, buccal view.

Preparation and immediate dentinal sealing

To remove the amalgam restoration and weakened surrounding tooth structure, the occlusal surface of the tooth was reduced by approximately 2 mm. For a smooth colour transition between the tooth and the restoration, the preparation outline was designed to include interproximal boxes with a vestibularly inclined plane (Fig. 3). Subsequently, immediate dentinal sealing was carried out. This technique involves the use of a universal adhesive like CLEARFIL Universal Bond Quick (Kuraray Noritake Dental), which is applied to the preparation without prior etching of the peripheral enamel (Figs. 4 & 5), followed by application of a highly filled flowable composite. In the present case, the material of choice was CLEARFIL MAJESTY ES Flow Super Low, applied to a thickness of just 0.5 mm (Fig. 6). The preparation was refined using ultrasonic instrumentation: SFM7 and SFD7 sonic tips (Komet Dental) for refining the boxes, and SFD1F and SFM1F (Komet Dental) for the margins and steps (Fig. 7). The sharp edges were rounded with abrasive discs and then polished with fine polishers (Figs. 8–10). It is crucial that the residual occlusal thickness (prosthetic space) is 1.5 mm, as required by the selected material.

From scanning to try-in

Ater digital scanning with the Primescan intra-oral scanner (Dentsply Sirona), master dental technician Daniele Rondoni produced the restoration (Figs. 11 & 12). The cementation process involved an initial try-in phase to assess the marginal fit of the overlay and the contact areas. Testing occlusion at this stage could be risky as it may lead to fracture of the restoration in case of excessive premature contacts. After try-in (when carried out without dental dam isolation), the restoration may be contaminated by blood, saliva or the glycerine gel used for the evaluation of fit and aesthetics. Therefore, it is necessary to clean the restoration before proceeding with the adhesive phase. The use of a cotton pellet soaked in alcohol is an option, but a cleaning agent like KATANA Cleaner may be even better, as it cleans the restoration chemically and eliminates any contaminants.

Fig. 11: Hybrid ceramic overlay on the printed model.

Fig. 11: Hybrid ceramic overlay on the printed model.

Fig. 12: Hybrid ceramic overlay.

Fig. 12: Hybrid ceramic overlay.

Conditioning of the tooth and the restoration

The intaglio surface of the restoration was sandblasted (as recommended for most hybrid ceramics) with 50 μm aluminium oxide using AquaCare (Akura Medical; Fig. 13) and then immersed in distilled water in an ultrasonic bath for 5 minutes. Meanwhile, a dental dam was placed over the entire sextant, the build-up was sandblasted like the intaglio surface of the overlay (Fig. 14), and a phosphoric acid etchant (Ultra-Etch, Ultradent) was applied to the enamel and rinsed off and the area dried (Figs. 15–17). The clean restoration was subsequently conditioned with a primer containing 10-MDP and a silane coupling agent (CLEARFIL CERAMIC PRIMER PLUS) according to the manufacturer’s instructions (Fig. 18). CLEARFIL Universal Bond Quick was then applied to the intaglio surface of the overlay and to the preparation, and light polymerisation was performed on both sites (Figs. 19 & 20). One of the advantages of universal adhesives compared with three-step adhesive systems is their minimal film thickness, which does not compromise the fit of the restoration.

It is important to protect adjacent teeth with metal matrix strips during the adhesive phase to provide proper fitting. These elements do not create operational difficulties, and after restoration placement, the composite or cement used for placement will be easily removable from the mesial and distal surfaces of the adjacent teeth, as they will be free of adhesive.

Definitive placement

In the present case, a composite paste heated to a temperature of 55 °C was extruded into the restoration, which was then placed by applying gradual and strong pressure (Figs. 21 & 22). Excess composite was removed with a scaler in the buccal and lingual areas and floss (Superfloss, Oral-B) in the interproximal areas. Pressurisation was applied several more times until no more composite was observed at the tooth–restoration interface. The composite was then polymerised for 30 seconds from the buccal and lingual sides with two curing lights before applying glycerine gel to the margins and polymerising from the occlusal surface for another minute (Fig. 23). If thorough attention is given to removing excess composite during placement, the subsequent finishing steps will be quick and easy.

Fig. 21: Heated composite paste placed into the overlay.

Fig. 21: Heated composite paste placed into the overlay.

   Fig. 22: Restoration placed under dental dam isolation.

Fig. 22: Restoration placed under dental dam isolation.

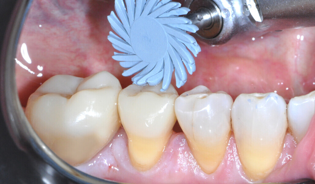
Finishing and polishing of the interproximal areas were accomplished with a fine-grained EVA handpiece and Sof-Lex finishing strips (3M; Fig. 24). For finishing of the buccal and lingual areas, a medium-grit flame-shaped diamond bur (diameter: 14/16; Figs. 25 & 26) was used. Finally, the margins were polished using composite polishers (TWIST DIA for Composite, Kuraray Noritake Dental; Figs. 27–29). After the local anaesthesia wears off, one should observe the cessation of pain symptoms, as seen in the present case.

Conclusion

For posterior teeth that have been restored with amalgam and that have a significant level of destruction, replacement of the restorations with hybrid ceramic overlays can be a great option. The mechanical material properties are usually superior to those of layered composites, and processing is comparatively quick and possible chairside or in the laboratory (no firing required). Furthermore, the clinical placement procedure is similar to that involved in placing glass-ceramics—the major difference being the use of sandblasting on the intaglio surface of the restoration instead of etching. However, one of the most important benefits of hybrid ceramics compared with glass-ceramics is the ability to modify the restoration whenever desired. Access cavities are easily prepared and closed with composite, contact points are quickly adjusted, and the surface is polished or repolished in next to no time. Moreover, the wear properties are similar to those of tooth structure, and patients are happy about the natural touch and feel. The aesthetic properties too are quite impressive!

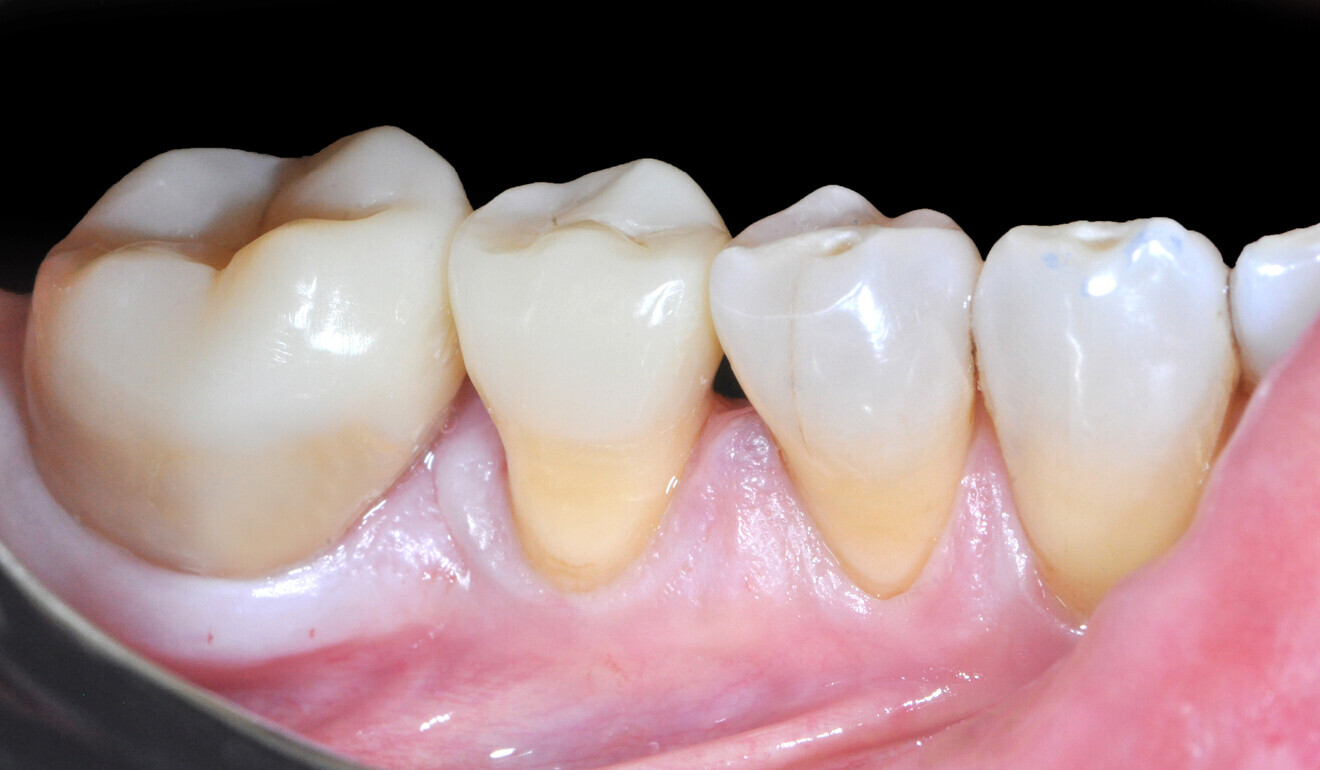
Fig. 28: Treatment outcome, buccal view.

Fig. 28: Treatment outcome, buccal view.

Fig. 29: Treatment outcome, occlusal view.

Fig. 29: Treatment outcome, occlusal view.

Topics:
Tags:
To post a reply please login or register
advertisement
advertisement