LEGNICA, Poland: A composite restoration should be homogeneous in order to ensure the seal of the filling and its durability. However, air bubbles are a common issue either within the composite layers or on their surface, regardless of the material type, the restoration method and the application area. This article discusses their causes and provides a solution from Kuraray Noritake Dental.
The first cause of air bubble formation is the homogeneity of the material itself. Bubbles can be incorporated in the syringe at the manufacturing stage or during use. By opting for premium products, it is possible to ensure that the highest-quality material is supplied and that the syringe’s structure and design allow for proper operation in order to reduce the formation of air bubbles within the material. Flowable composites, while easy to apply, are sensitive to incorrect application.
CLEARFIL MAJESTY ES Flow composite (Kuraray Noritake Dental) is designed to prevent the formation of air bubbles during dispensing. The special design of the syringe and plunger limits the possibility of the dripping and backflow of the material during or after dispensing. A unique safety feature inside the syringe is its special O-ring construction, which prevents the material from flowing after pressure is released and ensures minimal retraction, thereby preventing the plunger from retracting too much.
Another cause of air bubble formation is the incorporation of air into the syringe by deliberately retracting the plunger. If the practitioner or ancillary staff member has a habit of retracting the plunger after administering the composite, he or she may cause air to enter the syringe. During subsequent use, the air will more than likely appear in the restoration as an air void.
In the flowable injection technique, a silicone index is used in which the material is applied to build up the tooth. The index should fit tightly to the tooth and should not move or be moved during injection. If it does, air bubbles may appear. Pressing and then releasing the index will cause a suctioning effect and pull the composite away from the tooth as well as from the index. To avoid defects, constant pressure on the index should be maintained from the moment the material is injected until polymerisation.
Various modifications of the silicone index can be used to limit its mobility and reduce the risk of uncontrolled pressure on the tooth. One example is an index made on the “Treat one, skip one” model, which provides a high degree of stability and working safety.
Another cause of air in the restoration is the width of the injection hole. If the hole is too small, the index can be moved by the application tip during insertion or application. To avoid this problem, the hole could be widened to allow free insertion and manipulation of the tip during injection. A wider opening also allows any air present to escape during dispensing. However, most important is the use of continuous pressure when applying the material and avoidance of the pulling out and reinsertion of the tip into the index. This could result in a non-uniform composite layer.
The CLEARFIL MAJESTY ES Flow composite syringe and plunger features a special design that limits the possibility of the dripping and backflow of the material during or after dispensing. (Image: Kuraray Noritake Dental)
The O-ring construction prevents the material from flowing after pressure is released and ensures minimal retraction. (Image: Kuraray Noritake Dental)
Retracting the plunger after administering the composite may cause air to enter the syringe. (Image: Kuraray Noritake Dental)
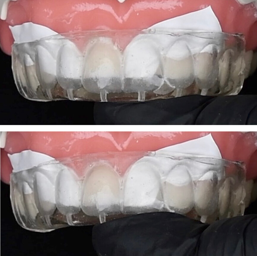
When using a silicone index in the flowable injection technique, the appearance of air bubbles can be avoided by ensuring that the index fits tightly to the tooth and is not moved during injection. (Image: Kuraray Noritake Dental)
If the injection hole is too small, the index may be moved by the application tip during insertion or application, resulting in air bubbles in the restoration. (Image: Kuraray Noritake Dental)
Topics:
Tags:
Alexander Aronin is a master dental technician dedicated to the creation of high-end handmade porcelain restorations. He runs a dental laboratory and ...
Editor-in-chief of the International Journal of Esthetic Dentistry and a pioneer of digital dental photography, Dr Alessandro Devigus uses universal ...
TOKYO, Japan: Some companies mainly use basic technologies developed by others to improve their products and introduce new ones, whereas others conduct ...
TOKYO, Japan: To complement its comprehensive portfolio of multilayered zirconias—KATANA Zirconia Multi-Layered series—and veneering porcelain for ...
TOKYO, Japan: People make up to 30,000 decisions every day, and they often must do so very quickly, particularly in busy environments such as that of the ...
MDT Andreas Chatzimpatzakis
Dr. Algimante Lošytė – Jančė
To post a reply please login or register