TOKYO, Japan: To complement its comprehensive portfolio of multilayered zirconias—KATANA Zirconia Multi-Layered series—and veneering porcelain for zirconia—CERABIEN ZR—Kuraray Noritake Dental has recently introduced a set of dyeing liquids. Esthetic Colorant for KATANA Zirconia is applied to the surface of a monolithic or anatomically reduced zirconia restoration prior to the final sintering procedure, making it possible to imitate typical internal colour effects of natural teeth easily. Depending on the desired outcome, users may add just a final layer of glaze, liquid ceramics or stains and porcelains to their zirconia restorations treated with Esthetic Colorant. The following two cases demonstrate two different procedures involving the use of these effect liquids.
Case 1
In the first case, we produced three two-unit splinted crown restorations for the six maxillary anterior teeth from KATANA Zirconia YML. The crowns were anatomically reduced and individualised with Esthetic Colorant mainly in the incisal and cervical areas immediately after milling. For the application of the selected liquids, we used the Liquid Brush Pen, which was specifically developed for Esthetic Colorant. We dried the restorations for 30 minutes, sintered them in the furnace according to the recommended protocol for KATANA Zirconia and subsequently finished them with CERABIEN ZR porcelains. Finally, we applied CERABIEN ZR FC Paste Stain Glaze for a high-gloss finish.
Fig. 1: Pre-sintered anatomically reduced crowns after milling.
Fig. 2: Esthetic Colorant applied to the milled restorations.
Fig. 3: Appearance of the individualized restorations after the final sintering procedure.
Fig. 4: Restorations after porcelain layering.
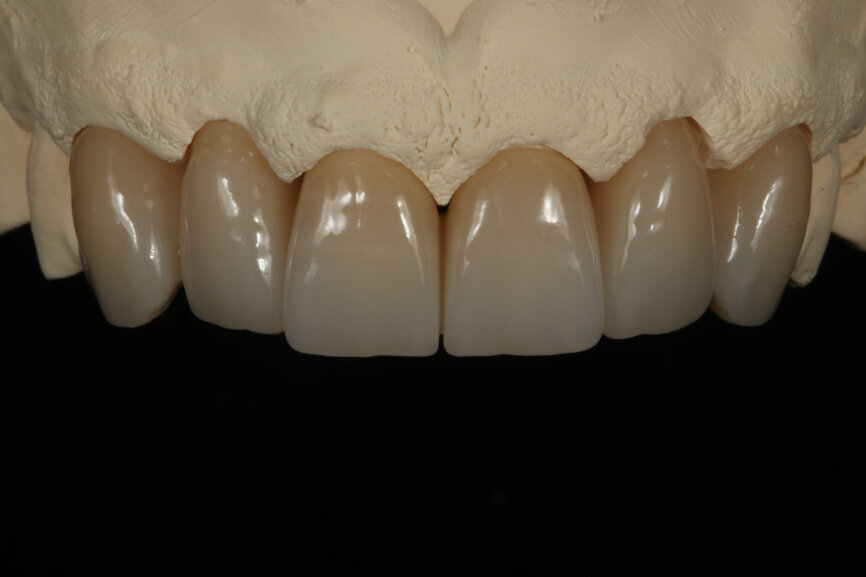
Fig. 5: Final restorations with a natural appearance. The effects created with Esthetic Colorant shine from deep within the restorations.
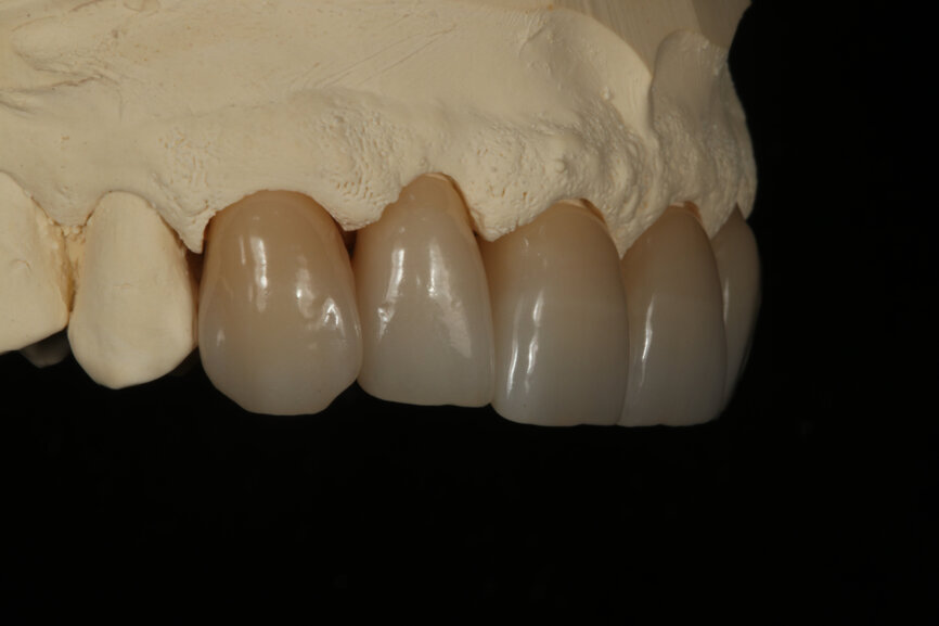
Fig. 6: Lateral view of the final restorations from the left.
Fig. 7: Lateral view of the final restorations from the right.
Case 2
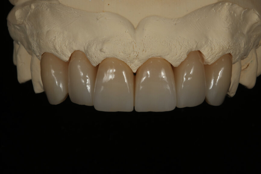
In this second case, we designed and milled two three-unit restorations in full contour using KATANA Zirconia YML in Shade A3. We then reduced them with hand instruments by 0.2 mm and added texture effects to the surface before applying Esthetic Colorant. In this case, we played with different shades of Esthetic Colorant. Even when applied to a minimally reduced or monolithic surface, the liquids create a nice depth effect by diffusing into the zirconia structure. The amount of liquid applied is easily controlled with the Liquid Brush Pen, enabling predictability of the intensity of the colours. After sintering, we added internal stains, CERABIEN ZR Luster porcelain and a final layer of CERABIEN ZR FC Paste Stain Glaze to finish the restorations. The outcome speaks for itself.
Fig. 8: Milled monolithic restorations with a pronounced surface texture.
Fig. 9: Vestibular and palatal surfaces individualised with Esthetic Colorant to create and intensify some natural colour effects.
Fig. 10: Appearance of the restorations immediately after sintering.
Fig. 11: Restorations after internal staining.
Fig. 12: A layer of luster porcelain applied to the minimally reduced restorations.
Fig. 13: Final outcome after glazing.
A useful set of liquids
Esthetic Colorant can be used to intensify and complement the effects offered by the high-translucency, pre-shaded KATANA Zirconia blanks. Whether you would like to add some chroma to the canines, highlight the mamelon structures or create individual effects, these effect liquids allow you to do so with minimal effort. In cases with metal implant abutments or discoloured abutment teeth, the White and Opaque modifier shades are very useful. Applied to the intaglio of the restoration, they are able to mask the dark structures underneath by blocking incoming light deep within the zirconia, while the translucency on the external surface remains high. All in all, the new liquids support the efficient creation of highly aesthetic restorations.
Tags:
TOKYO, Japan: People make up to 30,000 decisions every day, and they often must do so very quickly, particularly in busy environments such as that of the ...
TOKYO, Japan: After a FirstLook evaluation that was published in May 2022, a team of evaluators from REALITY Ratings & Reviews thoroughly tested PANAVIA...
TOKYO, Japan: KATANA Zirconia STML is a highly popular material used in many dental laboratories around the world. Whereas the indications and technical ...
The prerequisite for adhesive luting is a reliable bond between the tooth and the restorative material. The quality of the bond depends on the resin cement ...
TOKYO, Japan/COLOGNE, Germany: In less than three weeks’ time, the world’s leading dental trade fair will take place for the 40th time. One of the ...
MDT Andreas Chatzimpatzakis
Dr. Algimante Lošytė – Jančė
To post a reply please login or register