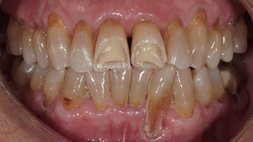
The 85-year-old female patient presented after osteosynthesis of multiple mandibular fractures she had sustained in a fall (Figs. 1 & 2). During fixation, the left posterior region of the mandible was moved such that teeth #34–37 were brought out of occlusion (Fig. 3). The patient naturally wished to be able to chew properly again in this area. After endodontic treatment of the two avulsed central incisors, which had been replanted in the hospital, and periodontal therapy, occlusal elevation was planned on the left side.
The aim was to restore the teeth and elevate the occlusion with three onlays and a crown made of lithium disilicate (IPS e.max CAD, Ivoclar Vivadent). During tooth preparation, however, a longitudinal root fracture of the first molar was detected. Therefore, only the first premolar was restored in this session. For this purpose, an onlay was produced chairside using the CEREC system (Dentsply Sirona) and adhesively luted with PANAVIA V5 (Kuraray Noritake Dental). The first molar was extracted.
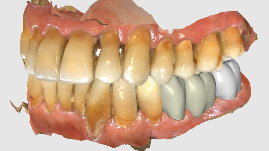
One week later, the extraction socket, which was still healing, was modelled for the ovoid pontic using an electrotome loop. The second premolar and molar were prepared as abutment teeth for a bridge. The bridge was then designed (Figs. 4–6) and milled from KATANA Zirconia Block for Bridge in Shade A3.5 and individualised with CERABIEN ZR FC Paste Stain (both Kuraray Noritake Dental; Figs. 7–10). A further week later, the bridge was luted with the self-adhesive resin cement PANAVIA SA Cement Universal after sandblasting (Figs. 11–13).
Fig. 1: Situation after multiple mandibular fractures on the left side.
Fig. 2: Clinical situation at the initial appointment in the dental practice.
Fig. 3: Open bite in the mandibular left posterior region.
Fig. 4: Bridge design using CEREC Software.
Fig. 5: Bridge design using CEREC Software.
Fig. 6: Owing to the bright shade of the teeth in the cuspal area, the restoration was positioned high in the multilayered KATANA Zirconia Block.
Fig. 7: Surface texturing in the pre-sintered state (prior to the final sintering procedure).
Fig. 8: Bridge after a 7-hour sintering cycle.
Fig. 9: Appearance of the bridge after individualisation with CERABIEN ZR FC Paste Stain.
Fig. 10: Appearance of the bridge after two glaze firings.
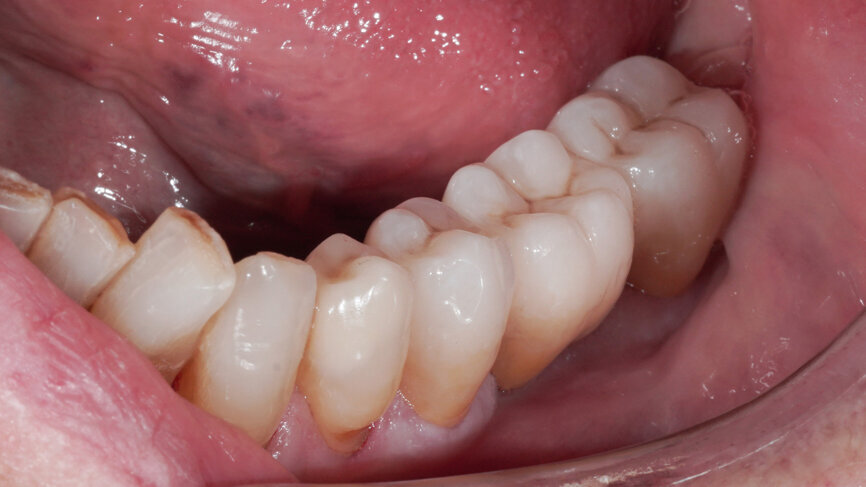
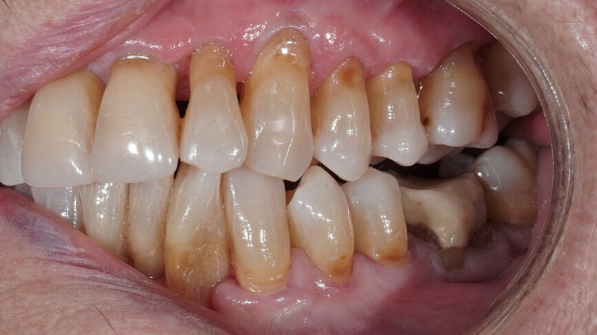
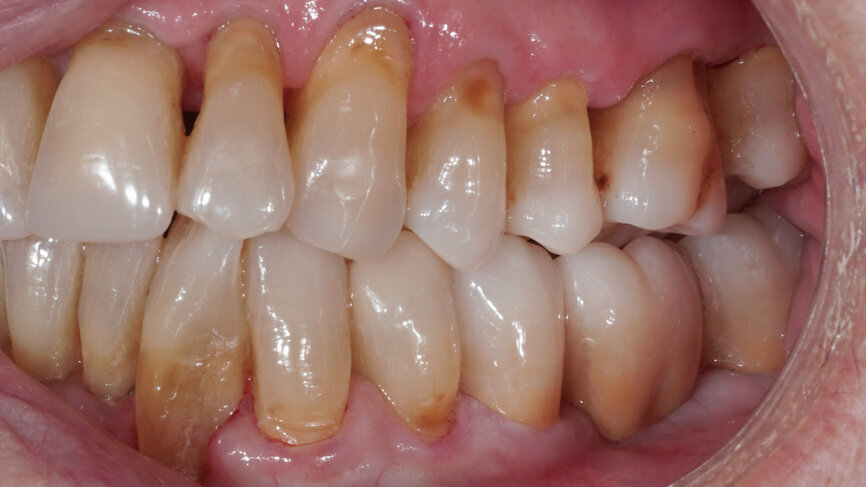
Fig. 11: Clinical situation after restoring the teeth with a lithium disilicate onlay and a zirconia bridge.
Fig. 12: Clinical situation after restoring the teeth with a lithium disilicate onlay and a zirconia bridge.
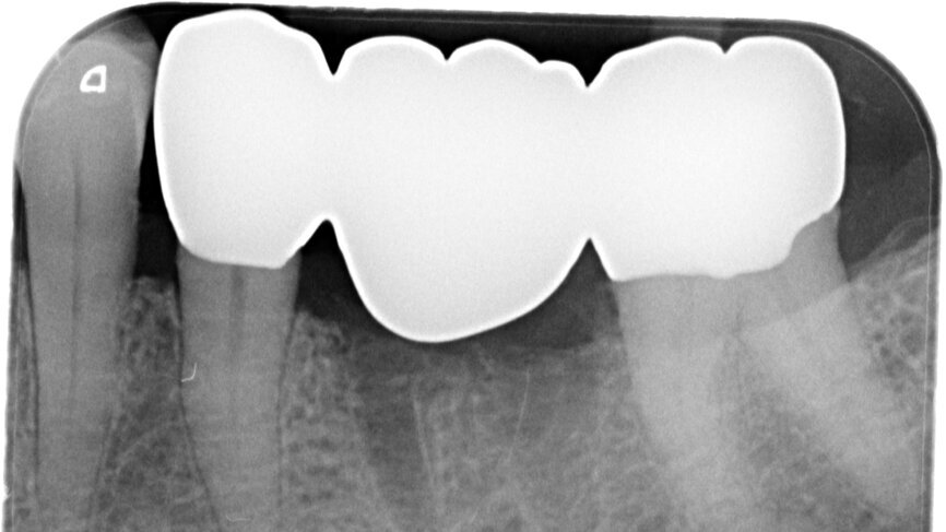
Fig. 13: Final radiograph used to check for excess cement around the bridge.
Tags:
Alexander Aronin is a master dental technician dedicated to the creation of high-end handmade porcelain restorations. He runs a dental laboratory and ...
TOKYO, Japan: Have you ever wondered why the products of the PANAVIA brand offer such outstanding performance? You probably know that they all contain the ...
Editor-in-chief of the International Journal of Esthetic Dentistry and a pioneer of digital dental photography, Dr Alessandro Devigus uses universal ...
TOKYO, Japan: Some companies mainly use basic technologies developed by others to improve their products and introduce new ones, whereas others conduct ...
TOKYO, Japan: To complement its comprehensive portfolio of multilayered zirconias—KATANA Zirconia Multi-Layered series—and veneering porcelain for ...
TOKYO, Japan: People make up to 30,000 decisions every day, and they often must do so very quickly, particularly in busy environments such as that of the ...
MDT Andreas Chatzimpatzakis
Dr. Algimante Lošytė – Jančė
To post a reply please login or register