Search Dental Tribune

Dental News

Dentsply Sirona hosts event in Berlin

BERLIN, Germany: In the beautiful city of Berlin, Dental Tribune International was invited on Wednesday 14 March to an event at the Digital Dentistry ...

save

Atlantis Editorial to release new books for dental professionals

MADRID, Spain: Atlantis Editorial, a Spain-based publisher of scientific dental books, has announced the upcoming release of two new books, one on ...

save

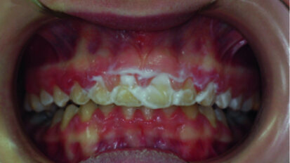
Study shows some toothpastes do not protect against erosion and hypersensitivity

BERNE, Switzerland: Over the years, more and more toothpastes have been released on to the market claiming to aid with one thing or another—with a ...

save

Endodontic expert to discuss ideal isolation in free webinar

LOS ANGELES, U.S.: As the ability to replace teeth with implants becomes more and more efficient and accurate, the importance of endodontics can sometimes ...

save

Google unveils new cloud-based health care application

LAS VEGAS, U.S.: As more technical areas of dentistry become digitalized, so too is the way in which patient data is used. Looking to address some of the ...

save
advertisement

MTA placement with the Produits Dentaires MAP System

More than 20 years ago, Torabinejad et al. first described a new root-end filling material called mineral trioxide aggregate (MTA).[1] MTA showed in vitro ...

save

W&H Ibérica celebrates 20-year anniversary at EXPODENTAL

MADRID, Spain: With the largest stand ever, plenty of innovations, giveaways and surprises, W&H is launching a number of festivities for the 20th ...

save
Event 12 - 16 March 2019

IDS 2019

Microneedles may increase the effectiveness of topical anesthesia

LUBBOCK, Texas, U.S.: Fear of injections is not an uncommon condition, and when coupled with a fear of dentists, some people may avoid dental treatment ...

save
advertisement

Research predicts growth of oral cancer treatment market

PUNE, India: According to the World Cancer Research Fund International, cancer of the oral cavity is one of the most common types of cancer worldwide, with ...

save

Dentists lead research into faster detection of Zika virus

NEW YORK, U.S.: Early detection of any disease or virus is critical. The 2015 Zika outbreak in Brazil, which led the World Health Organization to declare ...

save

Planmeca team up with manufacturer of mandibular advancement devices

HELSINKI, Finland: Known for its ease of use and accuracy, the Planmeca Emerald intra-oral scanner can now be used in the production of the mandibular ...

save

Master’s programme in laser dentistry

At the start of 2018, a new generation of dentists has begun the Laser and Health Academy’s (LA&HA) master’s programme in laser dentistry, consisting of...

save
advertisement

COLTENE reports positive growth for 2017 financial year

ALTSTÄTTEN, Switzerland: A report released earlier this week by COLTENE for the 2017 financial year points to a positive fiscal year. It stated that the ...

save

Australian private health insurance mergers could negatively impact consumer

CANBERRA, Australia: For Australians, private health insurance is a privilege. Now, further market consolidation in the private health insurance industry, ...

save

Getting to grips with general dental practitioner orthodontics

My learning pathway with the IAS Academy was slightly different from the normal route in that I took the ClearSmile Aligner course first, then the ...

save
advertisement

Children with tooth ache see pharmacist or emergency doctor rather than dentist

LONDON, UK: In England, dentists are often not the first person to see a child suffering from oral pain, a survey published in The BMJ has confirmed. ...

save

Wine polyphenols may prevent caries and periodontal disease

WASHINGTON, U.S.: Evidence suggests that sipping red wine has several health benefits for the body, possibly because of the beverage’s abundant and ...

save
advertisement

W&H acquires implant stability specialist Osstell

GOTHENBURG, Sweden: W&H, one of the world’s leading manufacturers of dental precision instruments and devices, has acquired medical technology company ...

save

Ancient dental plaque could hold secrets from the past

WASHINGTON, U.S.: The use of tobacco has forever been etched in human history. Now, for the first time, researchers in the U.S. have shown that nicotine ...

save

Previously lost fossilised human teeth produce new data

BURGOS, Spain: For the first time, scientists have been able to study the conserved original fossil remains of Peking Man. The six teeth belonging to Homo ...

save

Academy of Osseointegration to reflect on implant treatment health impacts

LOS ANGELES, U.S.: For the first time in its history, the Academy of Osseointegration (AO) will be hosting its annual meeting in Los Angeles. Shining the ...

save
advertisement

JUVORA showcases implant prostheses at AO meeting

LOS ANGELES, U.S.: With the 33rd annual meeting of the Academy of Osseointegration (AO) taking place in Los Angeles, attendees are eagerly awaiting the ...

save

3D Systems releases two new printers

CHICAGO, U.S.: With the broad scope of technological advancements in digital dentistry continually growing, it is obvious that digital is the future of ...

save

EAS Congress: “We reflect on the invisible and in return we just need a smile”

At the second EAS Congress, EAS President Dr Francesco Garino, immediate past President Dr Graham Gardner and EAS Scientific Chairman Dr Tommaso ...

save

Second EAS Congress proves its worth

VENICE, Italy: From an expected 400, the number of attendees at the second Congress of the European Aligner Society (EAS) rose to 500, confirming that, with...

save
advertisement