Radiographic imaging forms an essential part of the diagnosis, treatment planning and follow-up, in modern endodontics. 1 Cone beam computer tomography (CBCT) allows for the visualisation of root canal systems in three dimensions without the superimposition of anatomic structures that occurs with conventional radiographs. 2–4 CBCT units reconstruct the projection data to produce interrelational images in the axial, sagittal and coronal planes. 5 Due to the higher resolution of limited field of view CBCT units (Fig. 1) their application in endodontics has been expanded. High-resolution CBCT images are ideal for diagnosis of periapical lesions, identification of root fractures and resorption lesions and for the evaluation of root canal morphology, root length and root curvatures [6, 7].
Dentsply Sirona recently launched 3D Endo Software that allows the clinician to perform pre-endodontic treatment planning of simple and complex endodontic cases, using DICOM (Digital Imaging and Communications in Medicine) data from a CBCT scan. The innovative software allows for the identification of anatomical complexities, design of access cavities, working length measurement, and identification of canal curvatures before the actual procedure.
In addition, the software also allows one to choose (from a preloaded database of endodontic file systems), a file or system that will most likely result in optimal canal preparation for that specific shape or diameter of a canal.
The purpose of this article is to demonstrate the benefit of the 3D Endo Software in a complex clinical case that required endodontic treatment. In addition, a different approach to glide path management and root canal preparation for canals that present with multi-planar anatomy will be discussed.
Case report
Preoperative evaluation
The patient, a 25-year-old female, reported with irreversible pulpitis on her maxillary second left molar. The tooth was temporarily restored with Intermediate Restorative Material (IRM, Dentsply Sirona) and the patient complained about continuous food impaction between her maxillary left, first and second molar teeth (Fig. 2). A periapical radiograph revealed that the temporary restoration was not sealing at the gingival margin (Fig. 3). Also, visible on the periapical radiograph was evidence of possible curvatures in the mesiobuccal and distobuccal roots. It was decided, with the consent of the patient, to take a limited field of view CBCT scan to explore the anatomy of this tooth. The CBCT scan revealed the presence of three root canal systems when viewed in the axial plane; and in the sagittal plane, evidence of severe root curvatures were present in the mesiobuccal and distobuccal root canal systems. It was decided to do a more in-depth investigation as a result of this complex anatomy, using the 3D Endo Software (Dentsply Sirona).
Fig. 1: Orthophos SL 3D (Dentsply Sirona) capable of taking limited field of view images with a resolution of 80 μm in the endo mode, ideal for endodontic applications.
Fig. 2: Preoperative view of the maxillary second left molar temporarily restored with IRM. Note the food impaction between the first and second molar teeth.
Fig. 3: Preoperative periapical radiograph showing a temporary restoration with poor marginal seal at the gingival margin.
Fig. 4a: The imported scan can be reviewed in the axial (a), sagittal (b), and coronal (c) planes and the software presents a 3-D reconstruction view (d) where the transparency of the teeth can be changed.
Figs. 4b: The imported scan can be reviewed in the axial (a), sagittal (b), and coronal (c) planes and the software presents a 3-D reconstruction view (d) where the transparency of the teeth can be changed.
Figs. 4c: The imported scan can be reviewed in the axial (a), sagittal (b), and coronal (c) planes and the software presents a 3-D reconstruction view (d) where the transparency of the teeth
can be changed.
Fig. 5a: Selection of the tooth to be examined.
Fig. 5b: Selection of the tooth to be examined.
Fig. 6: Identification of the palatal canal orifice and radiographic apical foramen.
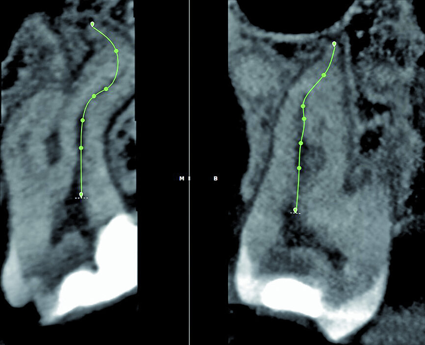
Fig. 7: The 3D Endo Software proposal of the canal anatomy that can be corrected by the operator, according to the canal configuration viewed in different planes in the software. In most cases, the proposal is very good but in this case it was not accurate because of the multi-planar canal anatomy.
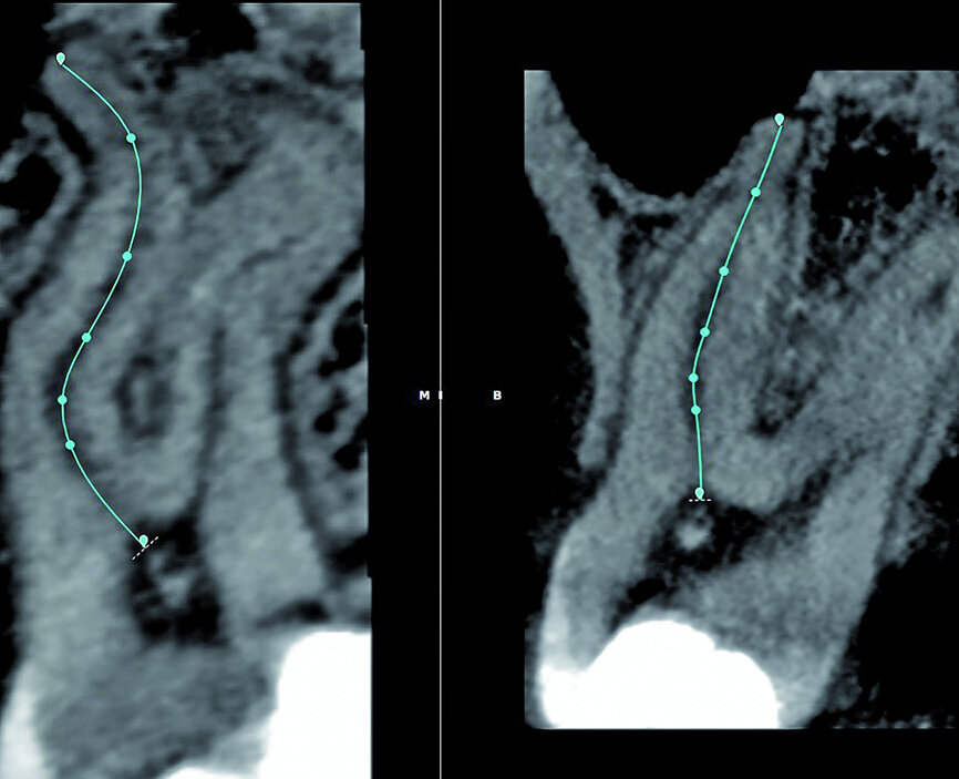
Fig. 8: Corrections made for the palatal root canal according to the canal configuration that can be viewed in different planes in the software.
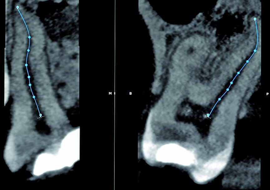
Fig. 9: Corrections made for the mesiobuccal root canal according to the canal configuration that can be viewed in different planes in the software.
Fig. 10: Corrections made for the distobuccal root canal according to the canal configuration that can be viewed in different planes in the software.
Fig. 11: The software projects ISO size 06 instruments into the canals that allows the operator to visualise the internal anatomy of the root canals.
Fig. 12: This software allows the operator to rotate the image in 3-D to alert the operator of the angle and direction of curvatures in the root canal systems. Note the sharp apical curvatures in different planes.
Fig. 13: Master files from a preloaded database of endodontic file systems are selected and projected in the root canal systems.
Fig. 14: The instruments can also be digitally rotated and visualise the root canal anatomy in 3-D.
Fig. 15: Temporary filling material was removed and there was evidence of caries as indicated by a caries indicator solution.
Fig. 16: After caries removal, the pulp was exposed.
Fig. 17: Palodent V3 matrix system assemblage.
Fig. 18: Pre-endodontic restoration using a combination of SDR bulk fill flowable resin and ceram.x SphereTEC one composite resin.
Fig. 19: Canals were carefully negotiated to full working length using pre-curved size 08 K-Files.
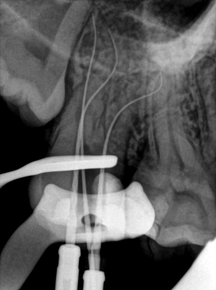
Fig. 20: Length determination radiograph.
Fig. 21: A size 08 K-File in the M4 reciprocating handpiece was used to initiate the preparation of a reproducible micro glide path.
Fig. 22: After the Size 08 K-File, a size 10 K-File was made ‘super loose’ to complete the preparation of the reproducible micro glide path.
Fig. 23: A ProGlider was used in a rotary motion to expand the glide path in the palatal root canal.
Fig. 24: A ProGlider, converted to a manual file, was used to expand the glide paths in the two buccal root canals.
Fig. 25: A WaveOne Gold Glider was used in a reciprocating motion to further expand the glide paths in the two buccal root canals.
Fig. 26: The Primary WaveOne Gold file (25/07) was used to complete canal preparation in the palatal root canal.
Fig. 27: The Small WaveOne Gold file (20/07) was used to complete canal preparation in the two buccal root canal systems.
Fig. 28: Periapical radiograph showing the result after obturation. Note the evidence of an additional canal loop in the mid-root area on the mesiobuccal root canal system that was obturated.
Fig. 29: Comparison between
ProGlider and WaveOne Gold Glider.
Fig. 30: Cutting envelope of the ProGlider and WaveOne Gold Glider.
3D Endo Software
The data of the limited field of view CBCT scan was exported as a DICOM file and imported into the 3D Endo Software. The 3-D planning of the case was then completed in five easy steps.
In the first step, ‘Diagnosis and Pathology’, the imported scan was reviewed in the axial, sagittal and coronal planes. The software has the ability to present a 3-D reconstructed view where the transparency of the teeth can be changed (Figs. 4a–d).
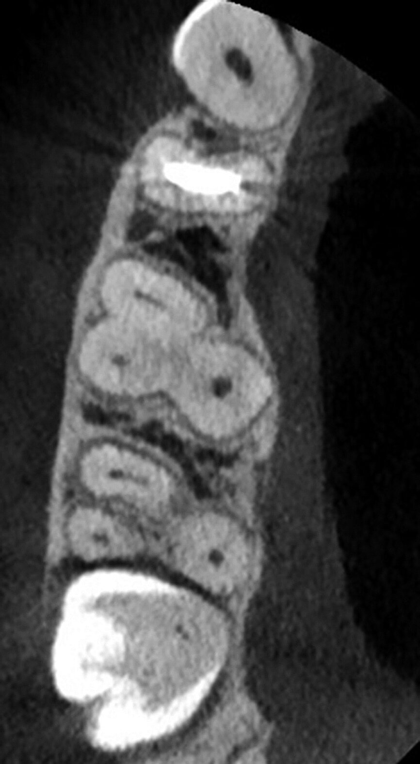
The second step, ‘3D Tooth Anatomy’, involved selecting the tooth to be examined and the entire volume was cropped to only leave the data of interest behind (Fig. 5). In the third step, ‘Canal System’, the number of root canals were identified and each root canal was then mapped separately by identifying the orifice and radiographic apical foramen of each root canal (Fig. 6).
With the fourth step, ‘3D Canal Anatomy’, the software made a proposal of the canal anatomy (Fig. 7), but the operator can make corrections according to the canal configuration that can be viewed in different planes in the software. Figures 8 to 10 show the mapping of the palatal, mesiobuccal, and distobuccal root canal systems.
During the fifth step, ‘Treatment Plan’, the software projected ISO size 06 instruments into the canals (Fig. 11), which allowed the operator to visualise the internal anatomy of the canals, check straight line access, and modify the proposed access if necessary. A rubber stop on the files can then be digitally adjusted to a coronal reference point of choice that will then indicate the proposed working length for each root canal system. This view can also be rotated in 3-D to alert the operator of the angle and direction of curvatures in the root canal systems (Fig. 12). The step after ‘treatment plan’ is to select a master file from a preloaded database of endodontic file systems that will most likely result in optimal canal preparation for that specific shape or diameter of a canal. Considering the s-shaped curvatures in all three root canal systems as well as the sharp curvatures in different planes, it was decided to use the Primary WaveOne Gold file (25/07) in the palatal canal and the Small WaveOne Gold file (20/07) for root canal preparation in the two-challenging buccal root canal systems (Fig. 13). The selected instruments were then displayed in the root canal systems and the operator again digitally rotated and visualised the root canal anatomy in 3-D (Fig. 14).
Pre-endodontic restoration
At the following visit, the tooth was anaesthetised, and a rubber dam placed. The temporary filling material was removed, revealing evidence of caries as indicated by caries indicator solution (Fig. 15). The caries was removed and the pulp was exposed (Fig. 16). A pre-endodontic restoration was performed using the Palodent V3 matrix system (Dentsply Sirona; Fig. 17) in combination with SDR bulk fill flowable resin (Dentsply Sirona) and ceram.x SphereTEC one composite resin (Dentsply Sirona; Fig. 18). After the pre-endodontic restoration, an access cavity was prepared and the canals were located under magnification.
Canal negotiation and glide path preparation
The pulp chamber was filled with Glyde (Dentsply Sirona) before the canals were carefully negotiated to full working using pre-curved size 08 K-Files (Fig. 19). Working length measurements obtained from an electronic apex locator reading corresponded with the lengths obtained from the 3D Endo Software. These measurements were also confirmed radiographically (Fig. 20). A reproducible glide path was prepared in each root canal system with the size 08 K-File in an M4 Reciprocating handpiece (Sybron Endo; Fig. 21), followed by making a size 10 K-File ‘super loose’ (Fig. 22). A ProGlider (Dentsply Sirona) was used in a rotary motion to expand the glide path in the palatal root canal (Fig. 23). Considering the sharp and severe curvatures in the two buccal canals, it was decided to convert the ProGlider instrument into a manual file to expand the glide path in these tortuous canals with more safety (Fig. 24). The manually adapted ProGlider was used in a balanced force motion up to working length. In addition, to create more safety during the canal preparation of the two challenging buccal root canals, it was also decided to use the reciprocating WaveOne Gold Glider (Dentsply Sirona; Fig. 25), after the ProGlider instrument to further expand the glide paths. The WaveOne Gold Glider was used in 4–8 backstroke brushing motions from working length, in the two buccal root canal systems.
Root canal preparation, irrigation, and obturation
As mentioned before, WaveOne Gold files (Dentsply Sirona) were selected for root canal preparation. The palatal canal was prepared with the reciprocating, Primary WaveOne Gold instrument (Fig. 26), and the two buccal root canals with the Small WaveOne Gold file up to working length (Fig. 27).
After canal preparation, the canals were flooded with 17 % EDTA solution (Ultradent) and the solution activated for 1 minute with the EDDY Endo Irrigation Tip (VDW) driven by an air scaler (SONICflex LUX 2000L, KaVo). Thereafter, final disinfection was achieved by activating 3.5 %, heated sodium hypochlorite for three minutes, again activated with the EDDY Endo Irrigation Tip.
The canals were dried with paper points and obturated using matching gutta-percha points, Pulp Canal Sealer (Kerr) and the Calamus Dual Obturation Unit (Dentsply Sirona). Figure 28 shows the final result after obturation.
Discussion
According to the European Society of Endodontology’s position statement, the use of CBCT in endodontics should only be considered if additional information from the reconstructed three-dimensional images will potentially aid in the diagnosis and/or enhance the management of the tooth with an endodontic problem.[8] A limited field of view CBCT scan should be considered as the imaging modality of choice for teeth with the potential for extra canals and suspected complex root canal morphology.[9]
The 3D Endo Software that was used in this case report not only allowed the operator to scroll through the tomographic slices in the coronal, axial and sagittal planes, but facilitated a 3-D image of the root canal anatomy prior to treatment. Only after visualising the severe curvatures and their projection in the buccal palatal direction was the complexity of this case realised. This information was vital for the treatment-planning phase of this case. According to the information obtained from the 3D Endo Software, the authors could select the ideal instruments for canal negotiation, glide path and canal preparation, irrigation and obturation. According to Tchorz (2017), the option to plan endodontic cases in 3-D before treatment is a significant gain for modern endodontics, and can help to prevent procedural errors, especially in complex cases. [10] It is important to note that in this case report the working length measurements obtained from the 3D Endo Software and the apex locator correlated with each other. However, it always advised to verify the software readings with an apex locator, as several parameters such as the access cavity design and position, the amount of coronal preflaring and the choice of reference point can have an influence on the working length measurement. [10]
The most challenging clinical aspect of this case was to negotiate the canals to patency, to create reproducible micro glide paths, and to expand the glide paths to a level where the maximum safety could be secured before introducing the root canal preparation instruments. The glide path preparations were managed with manual K-Files, K-Files in the reciprocating M4 handpiece followed by expanding the glide paths with the ProGlider and the WaveOne Gold Glider instruments.
In 2006, West recommended using K-Files with an initial watch winding motion to remove restricted dentine in very narrow canals, followed by a vertical in and out motion with a 1 mm amplitude and gradually increasing the amplitude as the dentine wall wears away and the file advances apically. [11] Several authors have described the use of a small K-Files driven by a reciprocating handpiece for initial glide path preparation, especially in very constricted or curved canals. [12, 13] The main advantages of using the reciprocating M4 handpiece is to reduce the glide path preparation time, hand fatigue, and to secure the canal in narrow, multi-planar root canals faster compared to the conventional manual technique. [14] Securing the two multi-planar buccal root canal systems in this case, with a size 08 K-File in the M4 reciprocating handpiece, facilitated further glide path enlargement.
The ProGlider, a single file rotary glide path instrument was the first instrument used to expand the glide paths. This file is manufactured from M-wire NiTi alloy that shows more flexibility and resistance to cyclic fatigue compared to conventional NiTi alloy. It has a semi-active tip, size ISO 016 (D0) with a 2 % taper that progressively increases up to 8 % (D14; Fig. 29). The cross section of the ProGlider instrument is square and the file is used in a continuous rotary motion at 300 rpm and a torque setting of 2–4 Ncm. [14] Considering the severe curvatures in different planes of the buccal root canal systems, the ProGlider instrument was first used in a manual mode up to working length in these two canals. It was also then decided to further expand the glide path in these canals by using the WaveOne Gold Glider, also a single, reciprocating glide path file designed for glide path enlargement. Here, a second glide path instrument was used because the cutting envelope of the WaveOne Gold Glider is more than the ProGlider instrument (Fig. 30). The rationale for this double file approach for glide path expansion was to enhance safety for the preparation files that followed.
The file tip of the WaveOne Gold Glider at D0 has a ISO 015 tip size with a 2 % taper, and the taper progressively increases up to 6 % (D16; Fig. 29). The file has a semi-active tip and a parallelogram-shaped cross-section. The WaveOne Gold Glider is manufactured using NiTi wire subjected to a post-manufacturing thermal process, whereby a new phase-transition point between martensite and austenite is identified to produce a file with super-elastic NiTi metal properties. [15] This process gives the file a gold finish with enhanced flexibility and resistance to cyclic fatigue compared to conventional NiTi and M-wire alloys. The WaveOne Gold Glider was driven by the X-Smart motor, on the WaveOne setting. The file was taken up to working length in the already secured and expanded glide path and the glide path was further expanded by using a 4–8 backstroke brushing motions, until the file felt completely loose in the challenging canal systems.
The WaveOne Gold Primary and Small files were selected for root canal preparation in this case. These files are manufactured with the same technique as described above for the WaveOne Gold Glider, to produce a file with super-elastic NiTi metal properties. The WaveOne Gold Primary file (Dentsply Sirona) is 50 % more resistant to cyclic fatigue, 80 % more flexible, and 23 % more efficient than the conventional
WaveOne Primary instrument. [16–18] This unequal clockwise (CW) and counter-clockwise (CCW) reciprocating motion of the WaveOne Gold system has the following advantages over continuous rotation systems:
- Binding of the instruments into the root canal dentine walls is less frequent, reducing torsional stress. [19]
- Reduction of the number of cycles within the root canal during preparation results in less flexural stress on the instrument. [20]
- Improved safety, as the CCW disengaging angle is designed to be less than the elastic limit of the instrument. [17]
- There is decreased risk of instrument fracture. [19, 21]
- It allows the file to easily progress towards working length without using potentially dangerous inward pressure. [17, 21]
WaveOne Gold files are characterised by a parallelogram (with two 85 degree cutting edges), off-centred, cross-section. [18] According to Ruddle, this design limits the engagement between the file and the dentine to only one or two contact points at any given cross section. [17] This will subsequently reduce taper lock and the screw-in effect, improve safety, and cutting efficiency. [16, 17] The newly designed files is also manufactured with an ogival, roundly tapered and semi-active guiding tip to ensure that the files progress safely along canals with a secured and confirmed reproducible glide path.[17, 18]
Conclusion
The preoperative planning stage using the 3D Endo Software provided the authors with vital information regarding the complex root canal anatomy that influenced the choice of materials and techniques in this case report. Because the root canal anatomy could be visualised in 3-D preoperatively, the authors realised that there would be a high risk of either losing working length or instrument fracture during canal preparation. It was therefore very important to secure the canals by means of glide path preparation and enlargement prior to root canal preparation.
Editorial note: A list of references is available from the publisher. This article was published in roots – international magazine of endodontology No. 03/2017.
CHARLOTTE, N.C., US: WaveOne Gold, Dentsply Sirona’s clinically proven single-shaping reciprocating file system, celebrates its tenth anniversary this ...
As an orthodontist, I derive immense satisfaction from employing cutting-edge technologies that significantly improve treatment efficiency and patient ...
As dental professionals, we have all had that gut-wrenching moment when a cancer patient walks through our door mid-treatment. Their mouths are full of ...
COLOGNE, Germany: Align Technology’s interactive booth at IDS 2021 represents the company’s largest-ever presence at the show. The company has ...
COPENHAGEN, Denmark: 3Shape has recently announced that it has acquired LabStar—a cloud-based laboratory management software (LMS) provider headquartered ...
AMERICAN FORK, Utah, U.S.: Through its Henry Schein One joint venture, health care solutions company Henry Schein has acquired Lighthouse 360, a provider of...
Dr Elizabeth Himel’s path in dentistry is shaped by heritage and guided by a strong sense of purpose. From taking over her father’s private practice to ...
COLOGNE, Germany: International dental specialist COLTENE first presented itself as “Your Endo Guide” last autumn under the motto of “Practical. ...
REGENSBURG, Germany: In CAD workflows, differences in software algorithms and design strategies may result in clinically relevant variations in crown ...
Since nickel–titanium (NiTi) files were introduced into root canal therapy, engineers have been seeking the perfect design and combination for optimal ...
Live webinar
Tue. 19 May 2026
11:00 am EST (New York)
Live webinar
Tue. 19 May 2026
1:00 pm EST (New York)
Prof. Dr. med. dent. Ivo Krejci
Live webinar
Wed. 20 May 2026
7:00 am EST (New York)
Dr. Graham Carmichael BDSc (Hons), DClinDent (Pros), FRACDS, Dr. Robert Gottlander DDS
Live webinar
Wed. 20 May 2026
9:00 am EST (New York)
Live webinar
Wed. 20 May 2026
11:00 am EST (New York)
Live webinar
Wed. 20 May 2026
1:00 pm EST (New York)
Prof. Dr. med. dent. Tim Joda PhD, MSc, eMBA
Live webinar
Thu. 21 May 2026
12:00 pm EST (New York)
Dr. Leonardo Muniz DDS, MSC
To post a reply please login or register