Search Dental Tribune

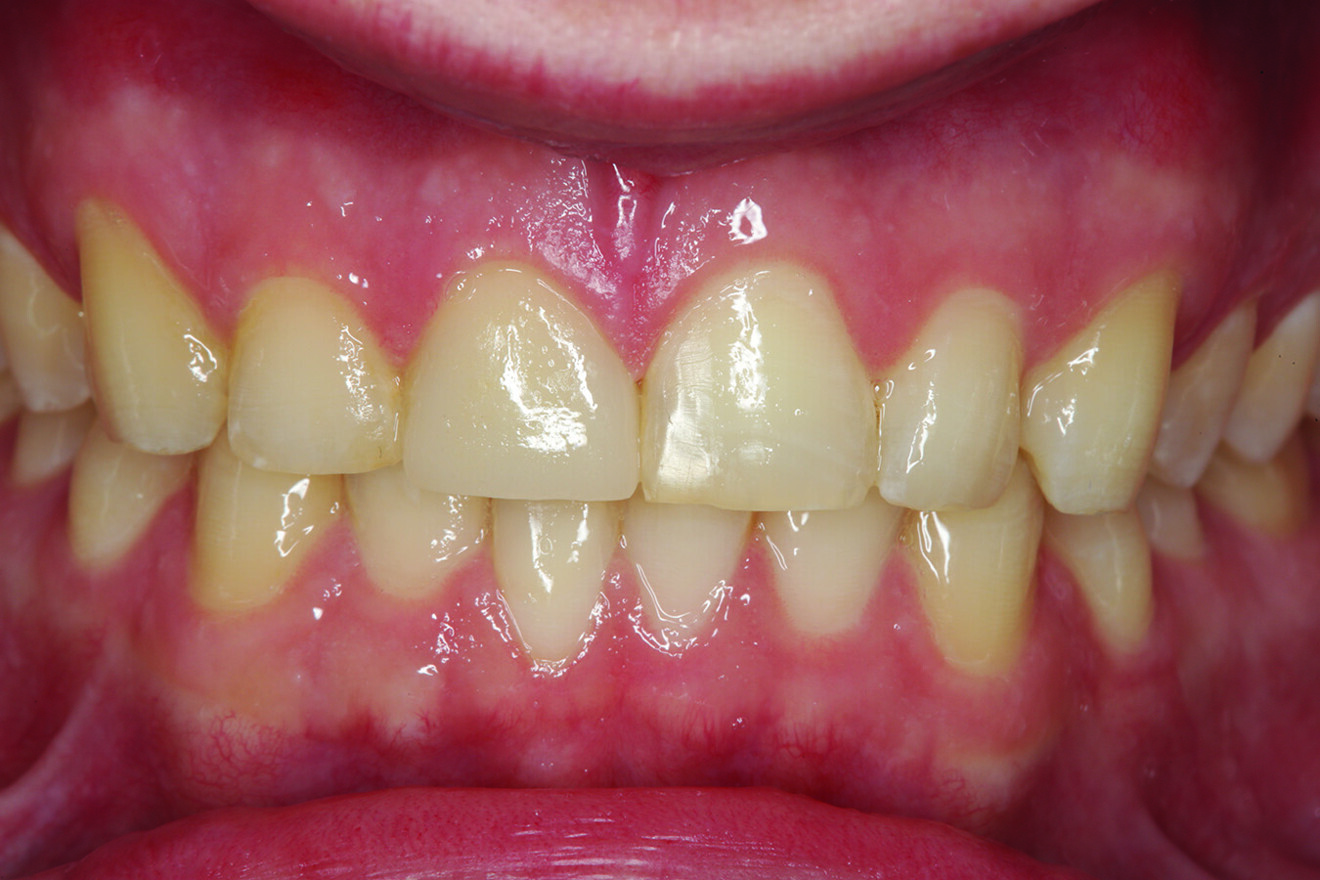
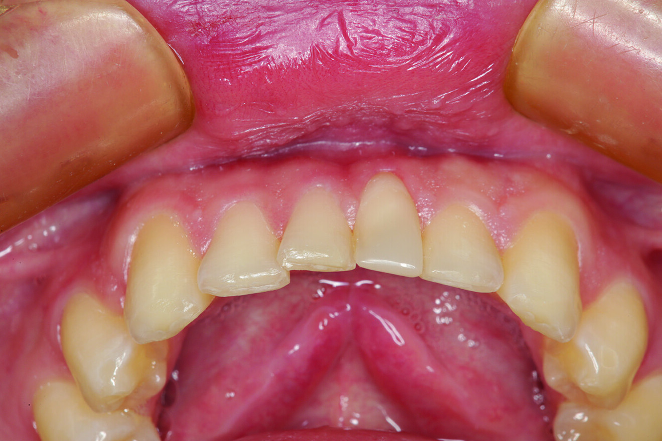
Fig. 1: Pre-op retracted facial view of the fractured composite restoration on tooth #11 with the teeth in maximum intercuspation. (All images: Robert A. Lowe)

Fri. 25. October 2024

save

As has been stated by Dr Harold M. Shavell, “Occlusion and morphology are the common denominators of all dentistry.”1 A single tooth or restoration can profoundly affect a patient’s function and comfort if it is not properly integrated into the patient’s natural occlusal function. It is un­fortunate that “modern” dentistry has such a “conformative” approach under the guise of being con­servative or avoiding overtreatment. With the “one-tooth-at-a-time” or “if it’s not broken, don’t fix it” approach, are we really doing our best to help patients keep their teeth for the rest of their lives? How many teeth, as Dr Shavell would say, have been sacrificed on the altar of false conservatism? These are questions we all wrestle with every day in private practice. One thing that is important to remember is that the muscles always win! Without proper integration into a non-interfering occlusal scheme, the best restorative effort will ultimately fail re­gardless of the material used. The following is a case report that illustrates these premises while ad­dressing a single-tooth restor­ative failure.2, 3

A Class IV composite failure: Case history and restorative plan

The patient presented with a fractured Class IV mesial–incisal composite restoration on tooth #11 (Fig. 1). It had been repaired three times dur­ing the past year and had fractured again. Was this due to poor technique, maybe inferior materials? More than likely, it was due to occlusion. Aside from the amount of composite on the facial sur­face that extended beyond the fractured area, most of the palatal surface of the tooth was worn through to the dentine due to hyperfunction in protrusive and lateral excursion over many years, creating a functional and aes­thetic dilemma for the patient. A “conservative” approach may have been to bond the tooth again with composite and hope for the best. However, this may not have been the best long-term approach considering the functional stress in this area, even with the best tooth alignment. After all, how conservative is it to continually assault the tooth with rotary instrumentation to keep fixing a composite that continues to fracture?

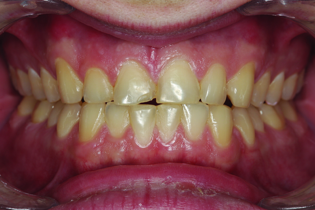
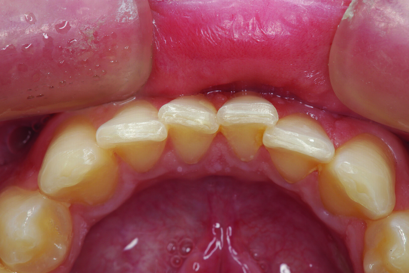
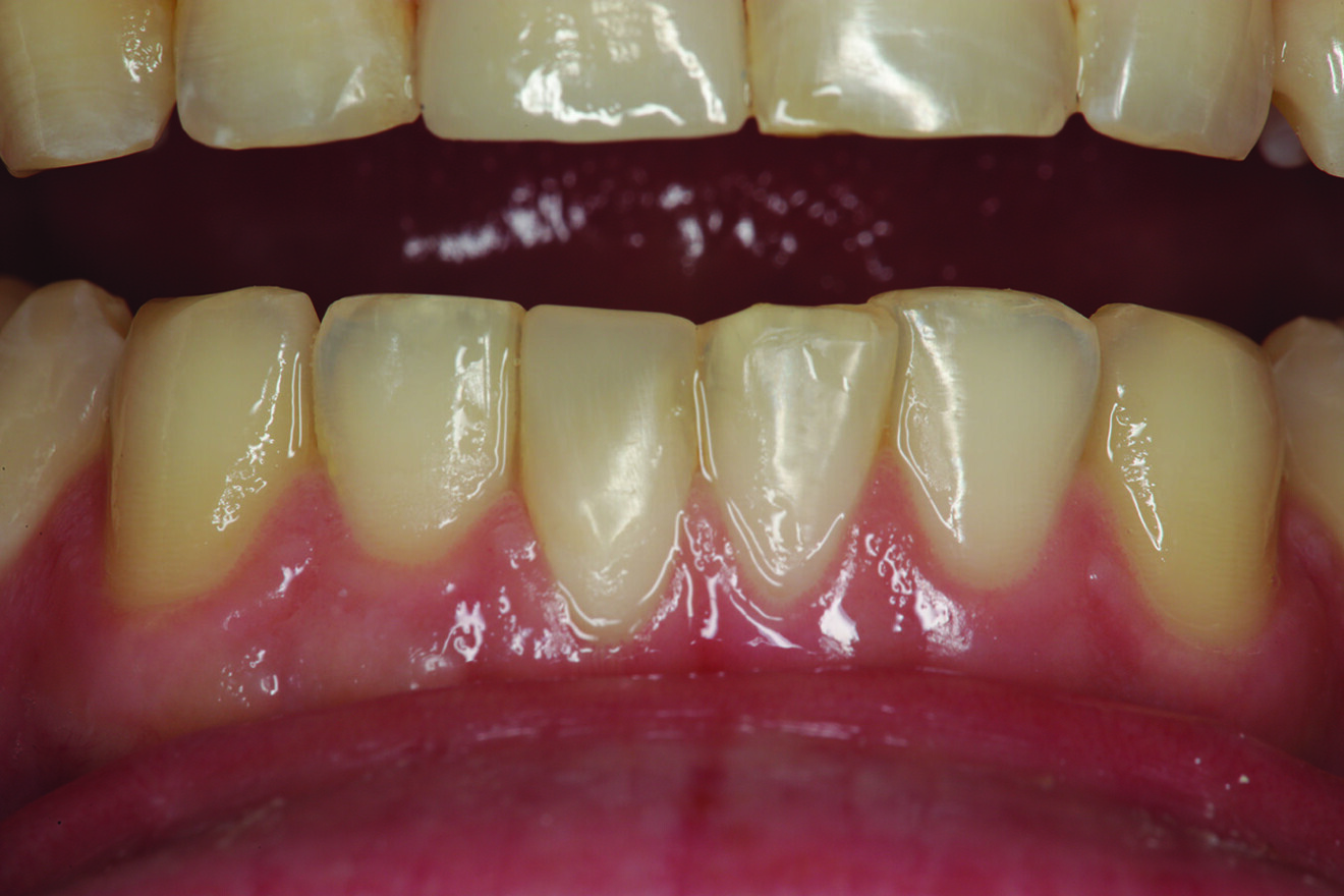
What about the alignment of the opposing teeth? It could be observed that excessive wear was present on the incisal edges of teeth #31 and 41 (Fig. 2). From the incisal view, exten­sive wear was seen on all mandibular inci­sal edges due to occlusal disease—which is often seen yet left untreated (Fig. 3). Tooth #41 was also facially positioned so that in pro­trusive excursion it engaged the palatal surface of tooth #11 prematurely, placing addi­tional stress on both the palatal surface and inci­sal edge of tooth #11 before coupling with the remainder of the maxillary anterior segment. This demonstrates that addressing these issues restoratively involves more than just fixing a chipped composite restoration.

Orthodontics to correct tooth alignment was dis­cussed with the patient, but the patient did not desire this option. An alternative treatment plan was to restore tooth #41 in such a way that the position of the tooth facially and its incisal edge would not engage the palatal sur­face of tooth #11 prematurely and then to restore the pal­atal surface and incisal–facial fractured area with ceramic to replace the lost enamel and reinforce the remaining tooth structure. The decision was made to restore tooth #11 with a ceramic crown and tooth #41 with a direct composite restoration. For tooth #11, an aesthetic match to tooth #21 could be bet­ter achieved in layered ceramic. Composite resin was chosen as a more conservative and less costly option for tooth #41, but the patient was told that it may require a ceramic restoration later.

Fig. 2: Teeth in protrusive excursion, showing excessive wear on the tooth (# 41) opposing tooth #11, indicating hyperfunction and increased functional stress on the restored area.

Fig. 2: Teeth in protrusive excursion, showing excessive wear on the tooth (# 41) opposing tooth #11, indicating hyperfunction and increased functional stress on the restored area.

Fig. 3: Incisal view showing that tooth #41 was the arch form’s most facially positioned mandibular incisor.

Fig. 3: Incisal view showing that tooth #41 was the arch form’s most facially positioned mandibular incisor.

First operative procedure: Direct composite veneer of tooth #41

The shade was chosen preoperatively and photographed for the ceramist for colour matching, using a digital camera with a function that isolates the tooth shade from the rest of the oral cavity (EyeSpecial C-II, Shofu; Fig. 4). Next, the facial surface of tooth #41 was prepared orthodontically to move the facial surface and incisal edge lingually (Fig. 5). After preparation, the bevelled facial surface of tooth #41 had a knife-edged cervical margin about 2 mm supragingivally. This long bevel would allow for a more aesthetic blend of composite and tooth structure while leaving the emergence profile of the natural tooth untouched.

Prior to place­ment of composite, the enamel surface was etched with phosphoric acid (Ultra-Etch, Ultradent Products) for 15 seconds, thoroughly rinsed and then air-dried. A universal bonding resin (Peak Universal Bond, Ultradent Products) was applied to the tooth surface, air thinned to evaporate the solvent and then light-polymerised for 20 seconds (VALO Grand, Ultradent Products). An initial increment of com­posite (Mosaic universal compos­ite, Ultradent Products) was used to build up the incisal one-third of the tooth to move the tip lingually. (Fig. 6). A Uveneer template (Ultradent Products) was chosen to properly restore the facial anatomy and contour of tooth #41 in composite, it being extremely difficult to contour properly freehand because of its small size. The template was filled with the chosen shade of composite and placed on the facial surface of the tooth in proper alignment with the adjacent teeth, and the composite was light-polymerised (Fig. 7). The template was then removed, some minor incisal adjustments made and the restoration polished (Figs. 8 & 9).

Fig. 4: Shade taking prior to restoration.

Fig. 4: Shade taking prior to restoration.

Fig. 5: Tooth #41 orthodontically prepared on the facial aspect to create space so that restoration of that surface could correct the facial position of the tooth in the occlusion.

Fig. 5: Tooth #41 orthodontically prepared on the facial aspect to create space so that restoration of that surface could correct the facial position of the tooth in the occlusion.

Fig. 6: Lingual aspect of tooth #41 being built up in composite to reposition the incisal edge of the tooth lingually into a more favourable alignment.

Fig. 6: Lingual aspect of tooth #41 being built up in composite to reposition the incisal edge of the tooth lingually into a more favourable alignment.

Fig. 7: Uveneer template placed on the facial surface of tooth #41 in proper alignment with the adjacent teeth.

Fig. 7: Uveneer template placed on the facial surface of tooth #41 in proper alignment with the adjacent teeth.

Fig. 8: Tooth #41 shown from the facial aspect after restoration of the facial surface and the incisal edge.

Fig. 8: Tooth #41 shown from the facial aspect after restoration of the facial surface and the incisal edge.

Fig. 9: Incisal view of the direct composite restoration of tooth #41, showing the incisal edge alignment compared with the pre-op situation (Fig. 3).

Fig. 9: Incisal view of the direct composite restoration of tooth #41, showing the incisal edge alignment compared with the pre-op situation (Fig. 3).

Second operative procedure: Ceramic restoration of tooth #11

Tooth #11 was prepared for a ceramic crown. It is important to stress that the preparation of the palatal surface is critical. It must be prepared for 1.0–1.5 mm of reduction following the curvature of the unprepared palatal surface (maxillary palatal concavity). This is so that the restoration can follow the nat­ural palatal curvature at the appropri­ate thickness of restorative material for strength. Remember, the maxillary palatal concavity is determined by the angle of the eminence and the enve­lope of function, both occlusal deter­minants that must be followed when restoring maxillary anterior teeth. Once the prepara­tion has been completed (Figs. 10, 11a & b), the master impression can be taken.

A two-cord technique for indirect impression making

A two-cord impression technique is an extremely predictable way to capture quality master impressions for complete and partial cov­erage restorations with either intra-sulcular or equi-sulcular margins (at the free gingival margin).4 If desired, both cords may be soaked in a haemostatic solution (e.g. ViscoStat Clear, Ultradent Products) and excess removed with a 5 × 5 cm gauze sponge prior to placement.

First, a #00 retraction cord (e.g. Ultrapak, Ultra­dent Products) is placed at the base of the gingival sulcus around each preparation, starting from the lingual aspect, around the proximal to the facial aspect, then back through the opposite proximal area to the lingual starting point. The excess at both lingual ends is trimmed, and the opposing ends of the cord are tucked into the lingual gingival sulcus so that they butt against one another but do not overlap. Once the first retrac­tion cord has been properly placed and prior to placement of the second retraction cord, any minor marginal correction can be done to the preparation using a coarse or fine diamond instrument of the appro­priate diameter. Next, using a cotton pledget, the preparation is wiped with a 2% chlorhexidine antibacterial solution (e.g. Consepsis, Ultradent Products) to make sure the surface is clean and free of preparation debris from the diamond instrument. Then, a #1 cord (e.g. Ultra­pak) is placed on top of the #00 cord in the same manner.

When ready (usually after both cords are in place and the fit of the impression tray has been verified), the #1 cord is partially pulled out of the sulcus on the facial aspect of each preparation using an explorer, and the amount of retraction (and lack of moisture or blood contamination) is eval­uated. Remember, the master impression must capture not only the entire restor­ative margin but also 0.5 mm of the tooth or root surface apical to the mar­gin. If the marginal gingiva adjacent to the restorative margin rebounds to con­tact the tooth or margin after the top cord has been pulled, a small piece of a larger-diam­eter cord (#2 cord; e.g. Ultrapak) is placed into the affected area for an additional minute and then removed. This added retraction should be suffi­cient to create a space between the tooth surface and the inner dimension of the gingival sulcus. The goal of retraction is to create a moat (a space into which to inject a light-bodied impression material) around the castle (the tooth preparation).

Fig. 10: Inferior view of tooth #11 after preparation and with the teeth in maximum intercuspation. Note how the restoration of tooth #41 was needed to position the incisal edge and facial surface in a more lingual position to allow for the space required to restore the palatal surface of tooth #11 at the proper thickness while maintaining the natural palatal concavity determined in part by occlusal excursive patterns.

Fig. 10: Inferior view of tooth #11 after preparation and with the teeth in maximum intercuspation. Note how the restoration of tooth #41 was needed to position the incisal edge and facial surface in a more lingual position to allow for the space required to restore the palatal surface of tooth #11 at the proper thickness while maintaining the natural palatal concavity determined in part by occlusal excursive patterns.

Fig. 11a: Incisal view .

Fig. 11a: Incisal view .

Fig. 11b: Facial view of the completed preparation of tooth #11.

Fig. 11b: Facial view of the completed preparation of tooth #11.

A super-pulsed diode laser as an adjunct to cord packing

If any portion of the circumferential gin­gival tissue is not sufficiently retracted from the emergence profile of the tooth or preparation after placement of the #1 retraction cord, a diode laser can be used to perform a minor gingivoplasty on the overlapping gingival tissue above the top cord so that it is visible prior to its removal. This is common in inter­proximal areas where the gingival tis­sue (papilla) may be slightly enlarged. It is not recommended to hope that the heavy-bodied impression material will push the tissue out of the way to let the light-bodied impression material access the gingival sulcus.

“It is important to always consider that the restoration of a single tooth can affect the occlusion.”

In this case, after placement of the #1 retraction cord, there was excess tissue in the facial area of the preparation that may have interfered with the light-bodied impression material flowing subgingivally. A super-pulsed diode laser (Gemini, Ultradent Products) was used to meticulously remove the excess tissue incisal to the cord without damaging the cord (Figs. 12 & 13). The retraction cord was entirely visible before removal, allowing unimpeded access for the light-bodied impression material to flow into the retracted area.

When the cord is removed, an impression of the margin and 0.5 mm of the tooth or root surface apical to the margin is virtually assured. To capture a precise master impression, light-bodied impression material should be injected not only around the prepared tooth but also over all the occlusal and incisal surfaces so that the stone models can be accu­rately articulated. After injection of the light-bodied impression material, the impression tray with the heavy-bodied impression material is placed in the mouth accord­ing to the manufacturer’s recommendations.

Delivery of the ceramic restoration

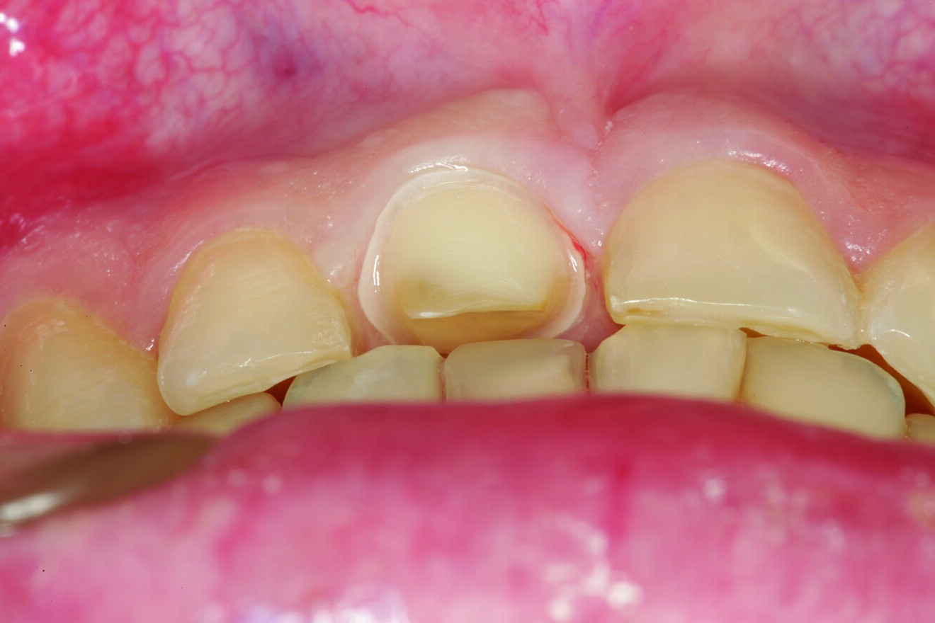
The provisional restoration is important in order to judge the aesthetic considerations and evaluate the functional occlusion, protrusion, anterior coupling and the envelope of function (Fig. 14). It is much more than just a temporary replacement! After removal of the provisional res­toration and of any remain­ing provisional cement, the restoration was tried in, the proximal contacts and occlu­sion were adjusted and then it was polished as neces­sary. Next, the preparation was disinfected with Consepsis. The laboratory had etched the definitive res­toration, so the etched surface was treated with a silane coupling agent before cementation according to the manufacturer’s instructions. The restoration was then luted using a dual-polymerised resin cement (PermaFlo DC Translucent, Ultradent Products; Figs. 15–17).

Fig. 12: Using a super-pulsed diode laser to remove the excess tissue incisal to the top cord.

Fig. 12: Using a super-pulsed diode laser to remove the excess tissue incisal to the top cord.

Fig. 13: Incisal view of the retracted preparation after the gingivoplasty had been completed.

Fig. 13: Incisal view of the retracted preparation after the gingivoplasty had been completed.

Fig. 14: Retracted facial view of tooth #11 after provisionalisation with the teeth in maximum intercuspation.

Fig. 14: Retracted facial view of tooth #11 after provisionalisation with the teeth in maximum intercuspation.

Fig. 15: Retracted facial view of the ceramic crown on tooth #11 after cementation with the teeth separated.

Fig. 15: Retracted facial view of the ceramic crown on tooth #11 after cementation with the teeth separated.

Fig. 16: Palatal view of the ceramic crown on tooth #11, showing replication of the palatal concavity with supragingival margin placement.

Fig. 16: Palatal view of the ceramic crown on tooth #11, showing replication of the palatal concavity with supragingival margin placement.

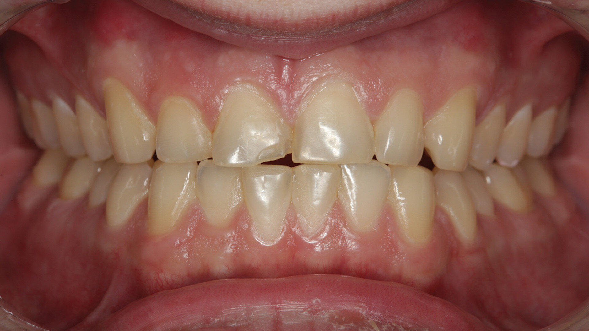
Fig. 17: Six-month post-op retracted facial view of the restored teeth #11 and 41 with the teeth in maximum intercuspation. Aesthetic and functional harmony had been achieved.

Fig. 17: Six-month post-op retracted facial view of the restored teeth #11 and 41 with the teeth in maximum intercuspation. Aesthetic and functional harmony had been achieved.

Conclusion

It is important to always consider that the restoration of a single tooth can affect the occlusion in a profound way. The reverse is also true: not considering the occlu­sion can affect a single restoration in both contour and longevity. It is always rec­ommended to consider these issues prior to any restorative endeavour.

Editorial note:

This article originally appeared in Oral Health Magazine, and an edited version is provided in cosmetic dentistry—beauty & science vol. 18, issue 1/2024 with permission from Newcom Media. A complete list of references can be found here.

Topics:
To post a reply please login or register
advertisement
advertisement