The latest generation of two-piece ceramic implants (zirconia) is considered an alternative treatment option to titanium implants owing to their excellent biological and material properties.[1–11] Their handling and workflow now meet the requirements of modern implantology.[12] In the following, a clinical case is described to demonstrate the use of a two-piece ceramic implant.
Clinical case
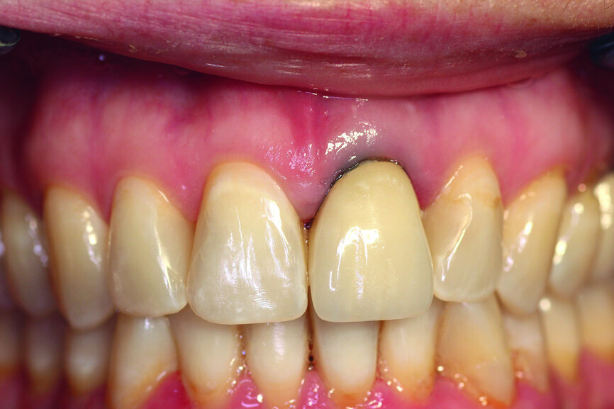
A 40-year-old female patient presented to our dental surgery with an irreparable tooth #21 (Fig. 1). The periapical radiograph revealed an approximately 7 mm periapical translucency with widening of the periodontal ligament in the upper third of the root (Fig. 2). Owing to the clinical conditions (high smile line and good oral hygiene), we decided to use a two-piece ceramic implant, ZERAMEX XT (Dentalpoint).
Fig. 1: Initial clinical situation.
Fig. 2: Initial radiographic examination.
Fig. 3: After the extraction, the apical granulation tissue was excochleated.
Fig. 4: The implant site was uncovered after five months.
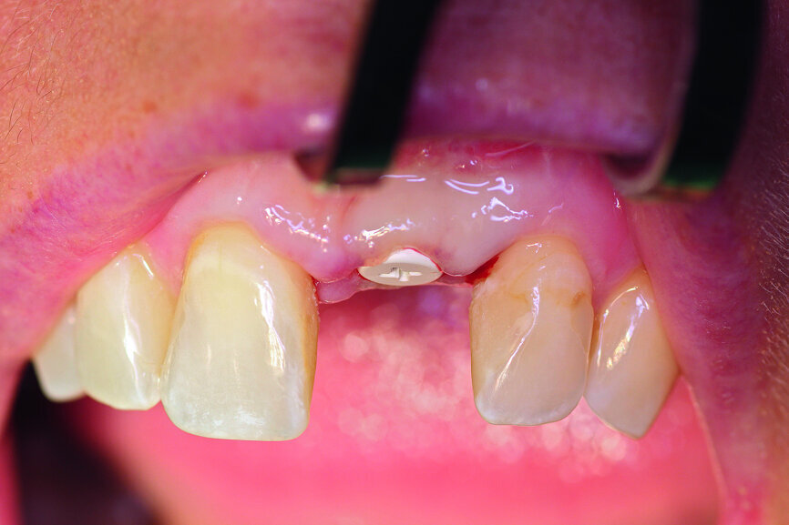
Fig. 5a: A two-piece ceramic implant was inserted.
Fig. 5b: A two-piece ceramic implant was inserted.
Fig. 6a: Transversal bone augmentation was performed.
Fig. 6b: Transversal bone augmentation was performed.
Fig. 7: Implant exposure after another four months.
Fig. 8a: A PEEK abutment as the base for the long-term temporary restoration.
Fig. 8b: A PEEK abutment as the base for the long-term temporary restoration.
Fig. 9a: The definitive zirconia crown was fixed to the customised abutment made of alumina-toughened zirconia.
Fig. 9b: The definitive zirconia crown was fixed to the customised abutment made of alumina-toughened zirconia.
Fig. 10a: The definitive zirconia crown was fixed to the customised abutment made of alumina-toughened zirconia.
Fig. 10b: The definitive zirconia crown was fixed to the customised abutment made of alumina-toughened zirconia.
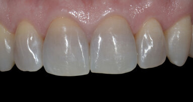
Fig. 11: The final result.
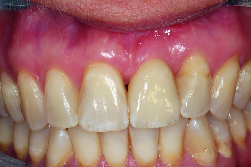
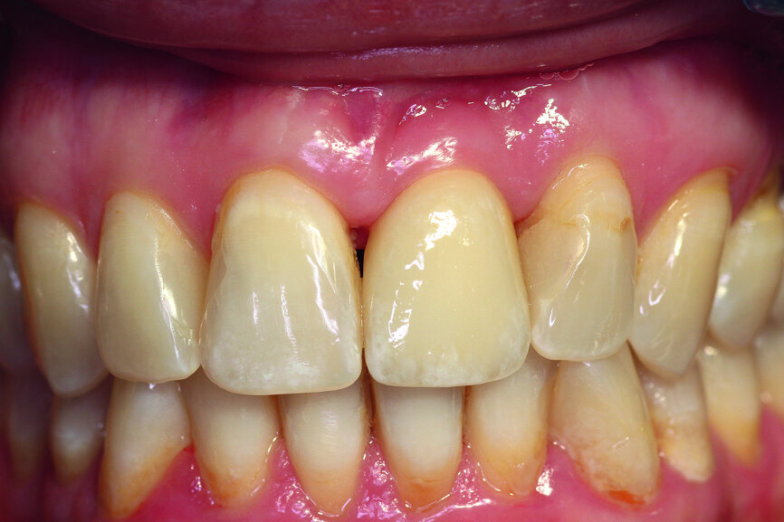
Fig. 12a: Clinical situation at the examinations after a) six and b) 12 months.
Fig. 12b: Clinical situation at the examinations after a) six and b) 12 months.
Fig. 13a: Bone resorption was detected after six months and bone gain after 12 months. The yellow line represents the actual implant length (13.6mm). The red lines indicate the mesial and distal distances from the top of the implant to the first bone contact.
Fig. 13b: Bone resorption was detected after six months and bone gain after 12 months. The yellow line represents the actual implant length (13.6mm). The red lines indicate the mesial and distal distances from the top of the implant to the first bone contact.
Fig. 13c: Bone resorption was detected after six months and bone gain after 12 months. The yellow line represents the actual implant length (13.6mm). The red lines indicate the mesial and distal distances from the top of the implant to the first bone contact.
Surgical phase
After extraction of tooth #21, the apical granulation tissue was excochleated through a semilunar incision (Fig. 3). A two-stage procedure was performed to prevent failure of osseointegration of the ceramic implant and to preserve the soft-tissue structures (papillae and attached gingiva). A claspless prosthesis made from Valplast (Valplast International) served as a temporary restoration. The implant site in region #21 was uncovered after five months (Fig. 4). A two-piece ceramic implant (diameter: 4.2 mm; length: 12.0 mm) was then inserted (Figs. 5a & b). The guidelines for implant placement in the aesthetic zone and the drilling procedure specified by the manufacturer were observed.13, 14 Both vertical and transverse insertion depth are decisive for prosthetic success. The implant can be placed between 1.6 mm and 0.6 mm supracrestally because of a special thermal etching procedure in the collar region; the insertion depth is determined by the gingival height and the existing bone of the adjacent teeth. The implant positioning should be approximately 2–3 mm subgingivally because the abutments are added 1 mm above implant shoulder level. Transversal bone augmentation was performed with a mixture of autogenous bone chips (retrieved from the retromolar mandible), xenograft (Geistlich Bio-Oss, Geistlich Biomaterials) and guided bone regeneration (Jason membrane, botiss biomaterials; Figs. 6a & b). The exposure was performed after four months using a PEEK gingiva former (Fig. 7).
Prosthetic phase
A provisional crown made of GRADIA (GC), a microceramic composite, was fabricated to achieve optimum contouring of the marginal gingiva in the highly aesthetic zone. A PEEK abutment (ZERAMEX Provisional RB; 180-day maximum period of wear), with a screw (maximum torque of 15 Ncm), acted as the base for the long-term temporary restoration (Figs. 8a & b). After eight weeks and adjusting the long-term temporary restoration in the basal area twice to optimise the emergence profile, the definitive zirconia crown (Ceramill substructure, Amann Girrbach; Creation veneer) was fixed to the customised abutment made of alumina-toughened zirconia (Figs. 9 & 10). After exact positioning (checked by probing or by taking a radiograph) the abutment is firmly fixed by utilising the VICARBO screw which is part of the ZERAMEX system. This unique screw made of carbon fibre-reinforced high-performance polymer is tightened to a torque of 25 Ncm. The final result is shown in Figure 11. The examinations after six and 12 months found no irritation of the soft tissue, and the BOI test was negative. The pink aesthetic score according to Fürhauser was 12 out of a maximum of 14 points (Figs. 12a & b).15 The process of peri-implant bone remodelling was of particular interest. Examinations were performed with periapical radiographs (right angle technique) and DBSWIN software (Dürr Dental).
Bone resorption was detected six months after exposure (mesial bone: 0.6 mm; distal bone: 0.4 mm), and a gain of bone was observed 12 months after exposure (mesial bone: 0.0 mm; distal bone: 0.3 mm; Figs. 13a–c). In accordance with the findings in the relevant literature, bone resorption in our patient was the greatest in the first six months.16 However, the literature findings are in reference to one-piece ceramic implants, in contrast to the two-piece implant system used in this case. This phenomenon of bone resorption is a relatively rare occurrence in implantology and should be confirmed by evidence-based long-term studies before a definitive conclusion can be drawn. Evaluations are in progress.
Summary
Ceramic implants are a viable alternative to titanium implants. Having experienced the advantages of zirconia ceramics yourself, you will appreciate them and will never look back. Besides providing the option of metal-free restorations, they offer a practical addition to the existing range of treatments for many risk groups, taking into account the respective indications. I would recommend user training courses for this relatively new, but somewhat different, material. This is a requirement that is increasingly addressed in the literature.12, 17
Acknowledgement: The author would like to thank dentist Frank van Doorn (Meckenheim in Germany) and master dental technician Jürgen Hopp (Mund Zauber Zahntechnik in Meckenheim) for their kind support in the field of prosthetics.
Editorial note: A list of references is available from the publisher. This article was published in ceramic implants–international magazine of ceramic implant technology Vol. 4, Issue 2/2020.
To post a reply please login or register