The digitalisation of the workflow in dentistry has gained ground in recent years owing to the technical advances in regards to intraoral scanning and software programmes. Here, Drs Miguel Stanley, Ana Gomes Paz, Inês Miguel, and Christian Coachman outline a correction of a patient’s vertical dimension of occlusion (VDO) that was conducted using a completely digital workflow.
The development of the digital workflow has also resulted in improved communication between the dentist and dental technician. Digital smile design (DSD) is a digital tool for planning the aesthetic restoration of facial symmetry. It not only aids communication between specialists, but also improves the treatment results which can be expected.1 Dynamic documentation of the smile is an important step in the 2D/3D DSD process. The process can be fully digitalised and also supports the rehabilitation procedure. The advantages of video documentation lie in the fact that this renders documentation, the smile design, the analysis of the facial symmetry, treatment planning, team communication and patient education both simpler and more effective.2 The DSD can be converted into a conventional or virtual diagnostic model to simplify the subsequent clinical treatment, for example CAD/CAM restoration.3–7 The combination of the adhesive technique with light-transmissive restoratives makes preparing for minimally invasive restorative dentistry intervention simpler. Materials such as lithium disilicate ceramic8–11 boast similar properties to those of natural teeth, which, in turn, enable positive results to be achieved.12, 13
Intra-oral scanners are an important tool in the digital workflow. These handy devices allow the impression quality to be checked directly and the models to be transferred simply, cost-effectively and quickly via email to the laboratory.14 However, there is little information in the literature about the ability of intra-oral scanners to produce high-quality impressions.15–24
CAD software is invaluable, as it controls the fully automated devices which create the objects and assemblies in a virtual environment.25
In this report, a clinical case is represented in which the workflow was fully digitalised. After minimally invasive preparation, the DSD protocol and the monolithic veneers and crowns made from lithium disilicate ceramic by means of CAD/CAM were used to remedy the loss of bite height, as well as the associated aesthetic and temporomandibular joint (TMJ) impairments.
Case presentation
In 2015, a 47-year-old male patient presented complaining of pain in the TMJ. He also had an aesthetic request, since part of the veneer on one of the maxillary central incisors had broken off (Figs. 1–3). The clinical and radiographic analysis (Fig. 4) indicated a loss of bite height and tooth substance due to bruxism.
Fig. 1: Intraoral photograph prior to treatment, frontal view.
Fig. 2: Intraoral photograph prior to treatment, occlusal view of maxilla.
Fig. 3: Intraoral
photograph prior to treatment, occlusal view of mandible.
Fig. 4: Initial situation, panoramic radiograph (2015).
Fig. 5: DSD protocol: image of patient smiling wearing a lip and cheek retractor.
Fig. 6: Motivational mock-up made of bis-acryl (Structur 3).
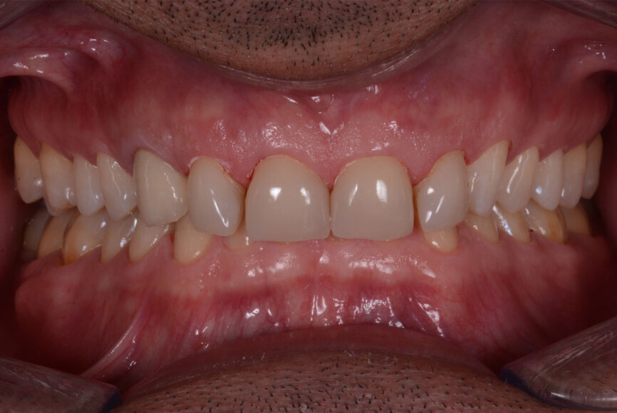
Fig. 7: Two years later, prior to treatment (2017).
Fig. 8: No preparation of the posterior teeth and minimal preparation of the mandibular anterior teeth. Teeth #11–13 and 21–23 had already been prepared.
Fig. 10: Final veneers and crowns digitally prepared using the Ceramill Mind design software and produced in a milling machine (Ceramill
Motion 2) from machinable lithium disilicate ceramic blocks (VITABLOCS TriLuxe forte).
Fig. 11: The crowns (#11–13 and 21–23) and veneers (#14–17, 24–27, 31–37 and 41–47) were secured to the abutments using a light-cured resin adhesive (Futurabond U and Bifix QM).
Fig. 12: The crowns (#11–13 and 21–23) and veneers (#14–17, 24–27, 31–37 and 41–47) were secured to the abutments using a light-cured resin adhesive (Futurabond U and Bifix QM).
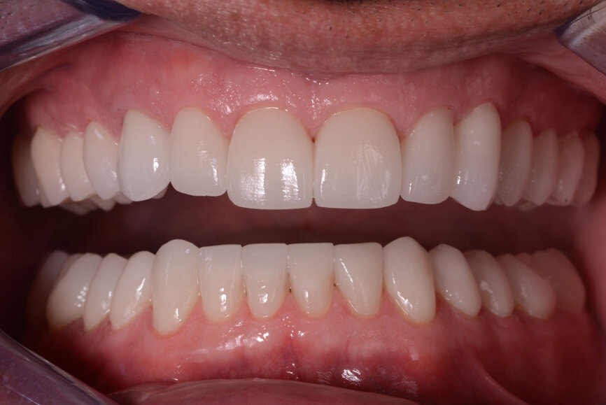
Fig. 13: Intraoral photographs after treatment.
Figs 14: Intraoral photographs after treatment.
Fig. 15: Panoramic image at the end of treatment.
Digital intra-oral photographs were taken of the frontal view under retraction and from the occlusal and lateral perspectives. Further photographs were also taken using a digital single-lens reflex camera (frontal, lateral and 45°). A diagnostic impression of both jaws was produced with an intra-oral scanner (Carestream 3500). The maximum intercuspal position was determined intra-orally using the Carestream 3500 intra-oral scanner, and the new vertical dimension of occlusion (VDO) was obtained by opening the virtual articulator to the desired width in the CAD/CAM software.
The dynamic documentation protocol of the DSD was used. Videos were recorded with a smartphone from four different calculated angles to achieve harmonious facial symmetry for the smile: a frontal video of the smiling face with and without the lip and cheek retractor, a profile video, a 12 o’clock video and an anterior occlusion video perpendicular to the occlusal level without a mirror.
Four supplementary videos were recorded for the functional, structural and facial analysis: a consultation as to the patient’s expectations, a 180° phonetic video, an intra-oral functional video and intra-oral structural video with lip and cheek retractor (Fig. 5). The information was transmitted to the DSD laboratory. The main goal of the DSD technique is to combine the photographs from the three views (occlusal, frontal and 12 o’clock) with a digital ruler in order to recreate the correct smile proportions by means of a video analysis (smile frame).
The smile frame was then created as follows, taking the facial symmetry into account: digital facebow, form and position of the smile curve, determination of width using the recurring aesthetic dental proportion, tooth length proportions, gingival margin papillary curve, Cupid’s bow and jaw curve. The 2D proportions of the smile were converted in the CAD software into a digital 3D simulation model. The resulting 3-D file in STL format was transmitted to a printer, which created the model with the new design. It was then used to produce a matrix made of bis-acryl (Structur 3, VOCO) for the motivational mock-up (Fig. 6).
The vertical dimension (VD) was increased in the new model, and for this reason, the patient tested the mock-up over the course of two weeks to ensure that the new bite height met his expectations. The bite trial showed no stability problems, and the patient was happy with the result. As such, there was no need for further deprogramming of the occlusion and definition of a new centric relation. The patient felt comfortable with this new VD and experienced no pain in the TMJ. The treatment plan was presented, yet the patient chose not to continue treatment for financial reasons.
The patient returned to the practice in 2017 to resume treatment (Fig. 7), and a new intra-oral scan (Carestream 3600) was produced. A new mock-up for the tooth preparation was printed on a 3D printer (SolFlex, VOCO) with bis-acryl (Structur 3) using a vacuum-formed matrix (V-Print ortho, VOCO). The abutment teeth were minimally prepared on the basis of the mock-up (Fig. 8).
The old tooth preparations in the second sextant were retained. The maxillary posterior teeth (#14–17 and 24–27) and the mandibular posterior teeth (#34–37 and 44–47) were not prepared, and the mandibular anterior teeth were minimally prepared. A new intra-oral scan was produced. The information was transmitted to the DSD laboratory (Fig. 9), which created an STL file with virtual models produced in the laboratory (Anatomic Lab). These 3D models (V-Print model, VOCO) were created in a 3D printer (SolFlex 650, VOCO).
The final veneers and crowns were digitally prepared using the Ceramill Mind design software (Amann Girrbach) and produced in a milling machine (Ceramill Motion 2, Amann Girrbach) from machinable lithium disilicate ceramic blocks (VITABLOCS TriLuxe forte for Ceramill Motion 2, Amann Girrbach; Fig. 10). After confirming the marginal seal and the visual properties through trial insertion, a lip and cheek retractor (OptraGate, Ivoclar Vivadent) was placed in the patient’s mouth.
The abutment teeth and ceramic veneers and crowns were prepared in accordance with the manufacturer’s recommendations: The ceramic surface was prepared with 50 μm aluminium oxide and for 20 seconds with 5% hydrofluoric acid. It was then rinsed for 20 seconds before being treated with 37% phosphoric acid (Total Etch, Ivoclar Vivadent) and 96% alcohol in order to be cleaned and finally conditioned for 20 seconds with silane (Monobond Plus, Ivoclar Vivadent).
The crowns (#11–13 and 21–23) and veneers (#14–17, 24–27, 31–37 and 41–47) were secured to the abutments using a light-cured resin adhesive (Futurabond U and Bifix QM, VOCO). A high-performance LED light-curing device (Celalux 3, VOCO) was used for polymerisation (Figs. 11 & 12).
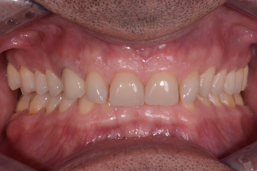
Excess luting material was removed, and the occlusion was adapted and checked with the T-Scan technology (Tekscan). A removable acrylic resin splint was used to protect the final restorations. The final restorations were checked after six months. The restorations were still stable and showed no signs of fracture (Figs. 13–15). The patient also reported that he no longer suffered from headaches with the new bite height.
Conclusion
Thanks to dental technological developments, fully digitalised treatment is possible, which can solve problems such as a loss of bite height successfully. However, further clinical studies are necessary in order to achieve reliable results as regards the digital work process compared with conventional techniques in the event of a loss of bite height. The functionality of permanent restorations must also be assessed in the long term.
Editorial note: A list of references is available from the publisher.
LEIPZIG, Germany: By this point, the benefits of employing CAD/CAM technologies in the dental practice and laboratory have been well documented. CAD/CAM was...
KOBLACH, Austria: With its Ceramill Direct Restoration Solution (DRS), Amann Girrbach has extended its integrated digital workflow to the dentist and thus ...
Although CAD/CAM technology is not new to our profession, its widespread use is increasingly becoming the norm rather than the exception among dental ...
ANKARA, Turkey: Given that the long-term performance of CAD/CAM restorative materials depends on both their intrinsic properties and response to staining ...
NEW YORK, U.S.: Everyday dentistry is becoming simple, guided, esthetic and more and more digital. Within the esthetic zone in particular, depending on the ...
Dr. Gary Hack is an associate professor at the University of Maryland School of Dentistry, where he teaches in the Department of Advanced Oral Sciences and ...
THESSALONIKI, Greece: As digital workflows become increasingly prevalent in restorative dentistry, the accuracy of intra-oral scanners in capturing complex ...
Modern dentistry should strive to preserve all maintainable natural teeth whenever possible, in line with the principles of minimal invasiveness and ...
SAWANGI, India: One thing is certain: technology is always changing. Whether a dental clinician is experienced in CAD/CAM or is a novice in digital ...
Do we need computer-fabricated lingual retainers? What are their advantages over conventional technology and how have they proven themselves in clinical ...
Live webinar
Tue. 14 April 2026
8:00 pm EST (New York)
Dr. Bruce McFarlane Certified Specialist in Orthodontics Fellow: Royal College of Dentists of Canada Diplomate: American Board of Orthodontics
Live webinar
Wed. 15 April 2026
2:00 pm EST (New York)
Live webinar
Wed. 15 April 2026
8:00 pm EST (New York)
Linda Hecker MS, BSDH, RDH
Live webinar
Thu. 16 April 2026
12:00 pm EST (New York)
Dr. Pär-Olov Östman, Dr. Robert Gottlander DDS
Live webinar
Fri. 17 April 2026
12:00 pm EST (New York)
Live webinar
Fri. 17 April 2026
1:00 pm EST (New York)
Dr. Stuart Yeaton BDentSc, MOrth
Live webinar
Mon. 20 April 2026
1:00 pm EST (New York)
Dr. Alberto Monje DDS, MS, PhD
To post a reply please login or register