Patients facing the loss of their natural dentition have more treatment options than ever before. The traditional complete denture, once the standard of care for the fully edentulous patient, is slowly but surely giving way to fixed full-arch implant restorations as their superior stability, function and aesthetics become more well known. Further, prosthetic materials have advanced in leaps and bounds, and monolithic zirconia can now be milled for fixed full-arch indications. By moving beyond acrylic and its vulnerability to wear, chipping, stains and fracture, this adds long-term durability to the qualities that make the fixed implant prosthesis the ultimate restorative option for fully edentulous cases.
Owing to the versatility of dental CAD/CAM technology and the material properties of monolithic zirconia, high-strength restorations can be fabricated for the fully edentulous patient in various configurations. For example, because of its flexural strength of up to 1,465 MPa, BruxZir Solid Zirconia (Glidewell Laboratories) can be milled into thin layers and maintain the high level of durability for which the material has become known. This allows for the fabrication of restorations ranging from the monolithic zirconia full-arch implant prosthesis, which resembles a screw-retained hybrid denture in form, to cementable prostheses that attach to custom abutments in the manner of traditional crown and bridge work.
While the screw-retained monolithic zirconia full-arch implant restoration has grown increasingly popular in recent years, the cementable alternative is well suited for many patients. When sufficient hard and soft tissue are present, prostheses can be designed that emerge directly from the gingiva, creating the aesthetics and feel of natural dentition. Additionally, the use of custom abutments to support a cementable full-arch bridge allows for low-profile restorations with minimal faciolingual width. This is appealing to many patients and can indicate a fixed solution in cases of limited vertical clearance.
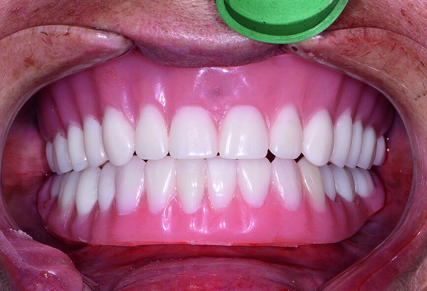
Fig. 1: Pre-op retracted view.
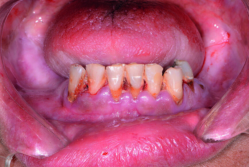
Fig. 2: Pre-op retracted view without denture.
Fig. 3: Proposed treatment of maxillary arch.
Fig. 4: Proposed treatment of mandibular arch.
Fig. 5: Dentofacial analysis of proposed implants in maxillary arch.
Fig. 6: Dentofacial analysis of proposed implants in mandibular arch.
Fig. 7: Surgical guide for maxillary implants.
Fig. 8: Surgical guide for mandibular implants.
Fig. 9: Placement of maxillary surgical guide.
Fig. 10: Paralleling pins placed.
Fig. 11: Hahn dental implant being inserted.
Fig. 12: Healing caps placed.
Fig. 13: Mandibular arch anaesthetised.
Fig. 14: Mandibular surgical guide stabilised.
Fig. 15: Implants and healing caps with surrounding grafting.
Fig. 16: Immediate dentures with soft relining.
Fig. 17: Maxillary ridge four months post-op.
Fig. 18: Mandibular ridge four months post-op.
Fig. 19: Inclusive CAD/CAM abutments.
Fig. 20: PMMA Smile Composer.
Fig. 21: Post-op retracted open-bite view.
Fig. 22: Post-op retracted closedbite
view.
Cementable monolithic zirconia implant prostheses can be fabricated in various designs as described by Dr Carl Misch’s prosthodontic classifications.[1] While they are most commonly indicated in fixed prosthesis (FP) 1 and 2 cases, in which the prosthetic teeth rise from the gingivae like natural teeth, they can also be used in FP 3 cases, where the monolithic prosthesis includes pink gingival areas in order to reconstitute the soft tissue.[1] Whichever prosthesis type is indicated, the precision of dental CAD/CAM technology and versatility of full-contour zirconia allow the entire restoration to be milled from a single block of the material, adding to the overall strength. All of these prosthesis types afford bone preservation, improved dental function, psychological benefits and enhanced quality of life associated with fixed implant prostheses, which come the closest to natural dentition of all restorative options. [2, 3]
The use of custom abutments for this type of restoration—and all cementable prostheses for that matter—is essential, as it allows for the creation of margins that are gingival or just slightly subgingival, enhancing crown retention, cervical soft-tissue margins and the final emergence profile. [4, 5] The precision and flexibility in prosthetic positioning allowed for by custom abutments also make it easier to achieve a passive fit for the restoration and correct for divergent angulation of implants.
The following case report features a full-mouth reconstruction via cementable full-arch BruxZir bridges over Inclusive Titanium Custom Abutments (Glidewell Laboratories). The treatment protocol for this type of restoration will be illustrated, as well as the general parameters for determining whether this solution is indicated for the individual patient. Standard denture technique, digital treatment planning and CAD/CAM technology were used to achieve an excellent result in an aesthetically challenging case.
Case presentation
A female patient in her mid-fifties presented for treatment with an edentulous maxilla and grossly decayed, hyper-erupted mandibular dentition (Figs. 1 & 2). The patient was a heavy smoker, had not seen a dentist in several years, and was not taking proper care of her remaining teeth owing to pain and discomfort. The patient’s maxillary denture had become increasingly loose-fitting since losing her teeth nearly a decade prior. Her desire for a restoration that felt and functioned more like natural teeth led her to my practice, where she could undergo the surgical and prosthetic phases of treatment under one roof. Intra-oral and radiographic evaluation indicated sufficient bone volume for full-arch implant therapy.
Treatment options were presented to the patient for her edentulous upper arch and non-restorable mandibular dentition, including various combinations of fixed and removable implant prostheses. This involved a discussion of complete edentulism and its problems, consequences and solutions, the effect of tooth loss on oral health, and the differences in stability and function afforded by each treatment option. Dental financing programmes were explained, which is an important part of treatment presentation, as it can help make implant therapy feasible for patients who cannot cover the entire cost upfront.
The patient strongly desired fixed restorations, as she had grown quite frustrated with her removable maxillary denture over the years. In addition, the patient had a pronounced gag reflex, making the fixed option optimal because it would free up the palate. An FP 3 prosthesis was required for the patient’s maxillary arch, which had undergone substantial bone resorption and gingival recession. The tissue contours would also need to be recreated in the mandible, where bone levelling was required to remove undercuts, create an ideal occlusal table, properly seat a bone-supported surgical guide and establish adequate bone width in which to place the implants.
The anatomy of the patient’s ridges called for a cementable solution, as the labiolingual bone volume required that several of the implants be tilted in a manner that would have required access holes too far to the facial aspect if screw-retained prostheses were to be prescribed. This would have been especially problematic for this patient, as cigarette smoking tends to darken the composite used to seal the screw access holes. The patient also desired prostheses that occupied as little faciopalatal space as possible, further indicating a cementable solution. Thus, custom abutments would be utilised to correct the angulation of the implants and support full-arch BruxZir restorations. The monolithic construction of the FP 3 prosthesis, in which both the gingival areas and teeth are milled from the same block of solid zirconia, would ensure the longest-lasting restoration possible.
The patient returned for the records appointment, where maxillary and mandibular impressions were taken so that immediate temporary dentures could be fabricated for delivery at the surgical appointment. CBCT scanning was performed using a CS 8100 3D scanner (Carestream Dental) to provide the information needed for virtual treatment planning. The 3-D data obtained from the CBCT scans was used to determine the ideal length, width and placement of the implants in the key positions of the patient’s edentulous arches, including the first molar, first premolar, canine and central incisor regions (Figs. 3–6). From the digital treatment plan created by 3D Diagnostix, bone-level surgical guides were produced for the maxilla and mandible (Figs. 7 & 8).
The Hahn Tapered Implant (The Hahn Tapered Implant System) was selected for the procedure because the pronounced thread design would help achieve optimal positioning and primary stability. The tapered shape and wide range of sizes also simplified the task of situating the implants in the key positions around the arch. Its conical internal hex connection results in a very stable seal between the implant and prosthesis, which is beneficial for crestal bone preservation and soft-tissue health.[3]
At the surgical appointment, intravenous sedation was administered to the patient. The bone-level surgical guide was seated over the patient’s maxilla once the tissue had been reflected, and the fixation pins were tightened (Fig. 9). The implant osteotomies were created following the simplified surgical protocol of the Hahn Tapered Implant System. Eight implants were placed from second molar to second molar in the maxillary arch (Figs. 10 & 11). Healing abutments were connected to the implants to help prepare the soft tissue for the restorative phase (Fig. 12).
Next, the patient’s untreatable mandibular teeth (Fig. 13) were extracted using the Physics Forceps (GoldenDent), a flap was reflected, and an alveoloplasty was performed. A bone-supported guide was seated in order to control the location and angulation of the implant osteotomies (Fig. 14). As the Hahn Tapered Implants were threaded into place, their deep, sharp threads engaged the walls of the socket sites and helped maintain proper position toward the lingual aspect. Because of anticipated tissue swelling as a result of the bone levelling procedure, 5 mm high healing abutments were connected to the implants in the lower arch (Fig. 15). The immediate dentures were soft-relined with Mucopren (Kettenbach) to seat over the Hahn Tapered Implant Healing Abutments, the hourglass shape and undercuts of which provided a degree of retention that enhanced dental function for the patient during healing (Fig. 16).
Four months later (Figs. 17 & 18), the healing abutments in the maxillary arch were surgically exposed and the tissue appropriately approximated and allowed to heal. Approximately two to three weeks later, Hahn Tapered Implant Impression Copings were seated and closed-tray impressions taken with a polyvinylsiloxane material (Panasil, Kettenbach), as was a bite registration (Futar, Kettenbach). Because the immediate dentures were well fitting and satisfactory to the patient, duplicates were provided to the laboratory to aid the restoration design process.
Based on the impressions, the laboratory poured and scanned stone models, creating a digital representation of the patient’s arches on which the designs for custom abutments and the cementable restoration were created. Inclusive Titanium Custom Abutments were fabricated with corresponding PMMA Smile Composers.
The patient returned for clinical evaluation of the prosthetic design. The custom abutments were delivered using laboratory-provided acrylic delivery jigs, which helped ensure proper orientation during seating (Fig. 19). Owing to the precision of the digital design process, the fit of the custom abutments was ideal, establishing margins that were at or a slight distance from the gingival surface. This simplified the removal of excess cement from the margins and illustrates the advantages of CAD/CAM produced abutments.
The PMMA Smile Composers were seated over the custom abutments, and slight alterations were made to fine-tune the gingival margins, length of teeth, and bite (Fig. 20). A bite registration was taken with the try-in bridges in place.
The PMMA Smile Composers were returned to the laboratory along with photographs, the bite registration and instructions for minor modifications, including lowering the gingival margins of the mandibular prosthesis and raising the gingival margins of the maxillary prosthesis. The laboratory scanned the adjusted PMMA try-in bridges, made the requested alterations to the prosthetic designs, and milled the final prostheses from BruxZir Solid Zirconia.
The final restoration was delivered at the next appointment and established accurate fit, function and interocclusal relationship (Figs. 21 & 22). No adjustments were needed for the monolithic zirconia prostheses because of the PMMA try-in process, which captured the precise modifications needed for proper form and aesthetics. Final radiography confirmed complete seating of the BruxZir restoration on the Inclusive Custom Implant Abutments. The patient was extremely happy with the reconstruction of her maxillary and mandibular arches, which restored aesthetics, dental function, comfort and confidence.
Conclusion
The accuracy of dental CAD/CAM technology and the versatility of prosthetic materials allow practitioners considerable flexibility in restoring the edentulous arch. For clinicians who prefer a cementable solution or cases in which bone anatomy precludes a screw-retained prosthesis, the monolithic zirconia restoration over custom abutments excels in restoring the teeth, as well as the hard and soft tissue of the fully edentulous patient.
Editorial note: A list of references is available from the publisher. This article was published in CAD/CAM - international magazine of digital dentistry No. 03/2018.
Patients facing the loss of their natural dentition have more treatment options than ever before. The traditional complete denture, once the standard of ...
Now more than ever, it behoves dentists and laboratories to work together as part of an interdisciplinary and collaborative team to coordinate treatment, ...
When a patient presents to your dental practice with questionable and/or non-restorable teeth requiring full-mouth extractions, the greatest concern is ...
With greater public awareness about cosmetic dental reconstructions, dentists are often challenged with greater demands from the patient. This increased ...
Prudent clinical judgement and careful consideration of the risks and benefits of various treatment options are essential for the treatment planning and ...
Dr. Gary Hack is an associate professor at the University of Maryland School of Dentistry, where he teaches in the Department of Advanced Oral Sciences and ...
CAD/CAM restorations made chairside with CEREC are among the most intensively studied restorations in dentistry. Numerous studies show that the clinical ...
A graduate of Paris Descartes University (now the University of Paris), Dr Léon Pariente currently runs a private practice in the French capital that ...
Guided surgery has been around for a long time. However, very few dentists in the UK place implants using surgical guides. The reasons for this are ...
No-preparation ultrathin veneer is one of the most minimally invasive restorations. Its thickness ranges from 0.3 to 0.5 mm. In the right circumstances ...
Live webinar
Thu. 14 May 2026
12:00 pm EST (New York)
Live webinar
Thu. 14 May 2026
2:00 pm EST (New York)
Prof. Hani Ounsi DDS PhD FICD
Live webinar
Tue. 19 May 2026
11:00 am EST (New York)
Live webinar
Tue. 19 May 2026
1:00 pm EST (New York)
Prof. Dr. med. dent. Ivo Krejci
Live webinar
Wed. 20 May 2026
7:00 am EST (New York)
Dr. Graham Carmichael BDSc (Hons), DClinDent (Pros), FRACDS, Dr. Robert Gottlander DDS
Live webinar
Wed. 20 May 2026
9:00 am EST (New York)
Live webinar
Wed. 20 May 2026
1:00 pm EST (New York)
Prof. Dr. med. dent. Tim Joda PhD, MSc, eMBA
Je veux bien recevoir des news latters de dti