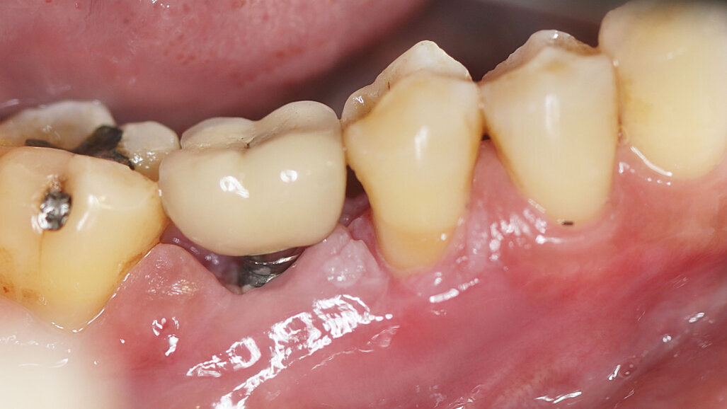
MADRID, Spain: The global dental implant market was worth US$4.6 billion (€4.2 billion) in 2022 and is expected to grow annually by 10% until 2030, according to market analysis. Considering that recent research indicates that the rates of peri-implantitis exceed 19%, clinicians have valid reason to be concerned with its prevention. The European Federation of Periodontology (EFP) has therefore published the highest-quality level (S3) clinical practice guideline for the prevention and treatment of peri-implant mucositis and peri-implantitis. The guideline promotes an interdisciplinary approach and is targeted at oral health clinicians, health systems decision makers, other medical professionals and the public.
According to the guideline, clinicians should be strategising prevention from the moment the decision to pursue implant treatment has been made. Utilising a patient-centred and evidence-based decision-making process, the new guideline outlines specific interventions that can be undertaken for both prevention and treatment of peri-implant disease. The guideline also offers a handy evaluation of the available scientific information for a number of popular implant processes and methods. These evidence-based recommendations are provided with the aim of helping clinicians maintain the health of peri-implant tissue and increase implant longevity.
By gathering and synthesising relevant data from research globally and additionally evaluating the strength of existing recommendations, the guideline disseminates a vast amount of knowledge in an easy-to-digest form. In sections devoted to preoperative, perioperative and postoperative interventions as well as diagnostic classifications, the guideline emphasises specific care pathways for appropriate treatment.
It is even possible to break the recommendations down into sections should group instruction be desired. From assessment to intervention, the guideline includes relevant data for a select number of co-morbid conditions such as diabetes and for specific implant-related conditions. The guidance covers surgical interventions as well as the non-surgical management of peri-implantitis.
Because the EFP specifically commissioned the thirteen mentioned reviews, undertook additional information gathering, debate and consensus in various forums, the guideline is a very powerful resource for improved case management and prevention of peri-implant disease.
The study titled, “Prevention and treatment of peri-implant diseases—the EFP S3 level clinical practice guideline”, was published online on 4 June 2023 in the Journal of Clinical Periodontology, ahead of inclusion in an issue.
Prof. Darko Božić is the new president of the European Federation of Periodontology (EFP), the leading global voice in periodontics and implant dentistry,...
It is increasingly recognised that general medical care and dental care should be more closely linked. To that end, the European Federation of ...
BRUSSELS, Belgium: “Healthy gums look good on you! Protect them!” is the slogan for Gum Health Day 2023, a worldwide public health campaign held on 12 ...
MADRID, Spain: The global dental implant market was worth US$4.6 billion (€4.2 billion) in 2022 and is expected to grow annually by 10% until 2030, ...
BASEL, Switzerland: In pursuit of peri-implantitis treatment options, Straumann has announced the acquisition of GalvoSurge Dental, a Swiss company centred ...
Live webinar
Tue. 12 May 2026
1:00 pm EST (New York)
Live webinar
Thu. 14 May 2026
12:00 pm EST (New York)
Live webinar
Thu. 14 May 2026
2:00 pm EST (New York)
Prof. Hani Ounsi DDS PhD FICD
Live webinar
Tue. 19 May 2026
11:00 am EST (New York)
Live webinar
Tue. 19 May 2026
1:00 pm EST (New York)
Prof. Dr. med. dent. Ivo Krejci
Live webinar
Wed. 20 May 2026
7:00 am EST (New York)
Dr. Graham Carmichael BDSc (Hons), DClinDent (Pros), FRACDS, Dr. Robert Gottlander DDS
Live webinar
Wed. 20 May 2026
9:00 am EST (New York)
To post a reply please login or register